医影在线

标题: CT18587:男 63岁 发热 家属描述有时高热 有时低热 抗酸杆菌 [打印本页]

作者: 星星点灯    时间: 2009-3-10 21:53
标题: CT18587:男 63岁 发热 家属描述有时高热 有时低热 抗酸杆菌
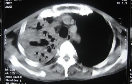
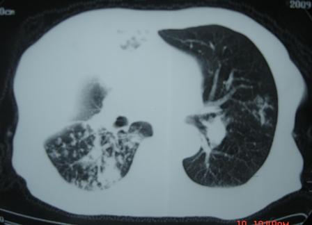
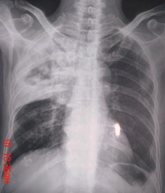
xx 男 63岁 发热 家属描述有时高热 有时低热 抗酸杆菌阴性 于2月21号 胸片及ct



















3月10号复查



[本贴已被 jiajie 于 2009-3-10 17:49:44 修改过]

作者: wangzhengyuan    时间: 2009-3-10 22:00
考虑结核。
作者: 野鹅    时间: 2009-3-10 22:06
考虑结核并霉菌感染的可能。
作者: dengkai    时间: 2009-3-10 22:11
考虑结核并霉菌感染的可能。
作者: 老单    时间: 2009-3-10 22:14
结核支气管播散
作者: 杀毒软件    时间: 2009-3-10 23:29
考虑---干酪性肺炎并播散
作者: 深泽交通    时间: 2009-3-10 23:36
标题: 回复:肺部
以下是引用wangzhengyuan在2009-3-10 14:00:00的发言:[br]考虑结核。

作者: 沉默是金    时间: 2009-3-11 00:59
标题: 回复:肺部
以下是引用杀毒软件在2009-3-10 15:29:00的发言:[br]考虑---干酪性肺炎并播散

作者: wangyong1977    时间: 2009-3-11 03:57
考虑---干酪性肺炎并播散
支持
作者: 影象小辈    时间: 2009-3-11 04:01
考虑---干酪性肺炎并播散
作者: zsl6918    时间: 2009-3-11 04:10
结核空洞并播散
作者: 随光逐影    时间: 2009-3-11 04:14
右肺上叶干酪性肺炎并两肺支气管播散。
作者: dyqCT    时间: 2009-3-11 04:19
考虑---干酪性肺炎并播散。
作者: 黑白光影    时间: 2009-3-11 04:29
考虑干酪性肺炎并播散。支持
作者: 无间道    时间: 2009-3-11 05:55
标题: 回复:ct18587:男 63岁 发热 家属描述有时高热 有时低热 抗酸
以下是引用杀毒软件在2009-3-10 15:29:00的发言:[br]考虑---干酪性肺炎并播散

作者: LIAOQIANG    时间: 2009-3-11 18:17
考虑右肺上叶干酪性肺炎并支气管播散。
作者: wsz9999    时间: 2009-3-11 19:07
考虑---干酪性肺炎并播散
作者: 星星点灯    时间: 2009-3-12 03:54
楼主  :谢谢大家发言  我和大家考虑的一样干酪性肺炎并播散




欢迎光临 医影在线 (http://bbs.radida.com/bbs/) Powered by Discuz! X3.2