医影在线

标题: CT18589:股骨头囊状阴影怎么下结论? [打印本页]

作者: frzh    时间: 2009-3-10 21:57
标题: CT18589:股骨头囊状阴影怎么下结论?
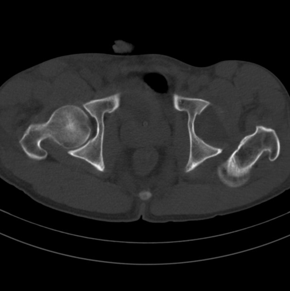
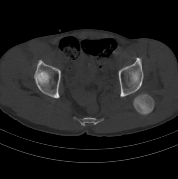
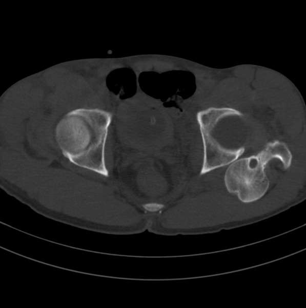
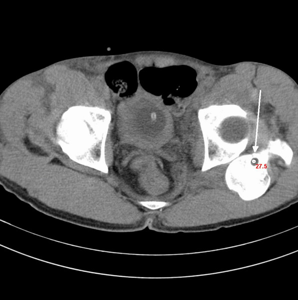
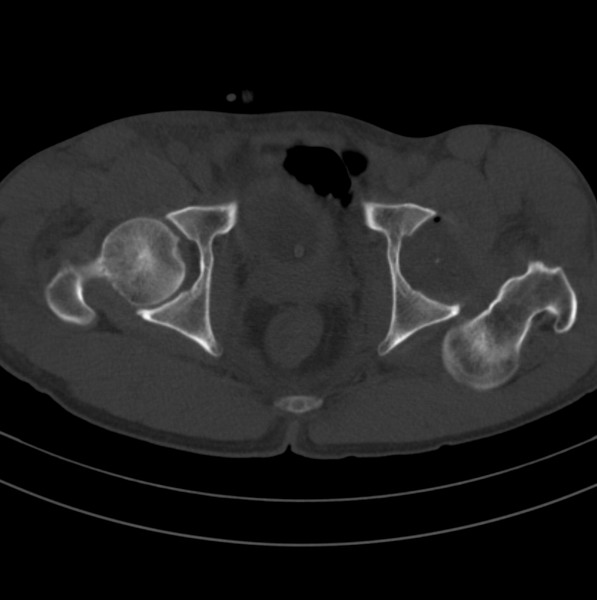
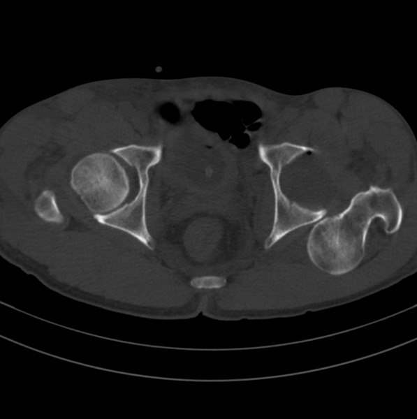
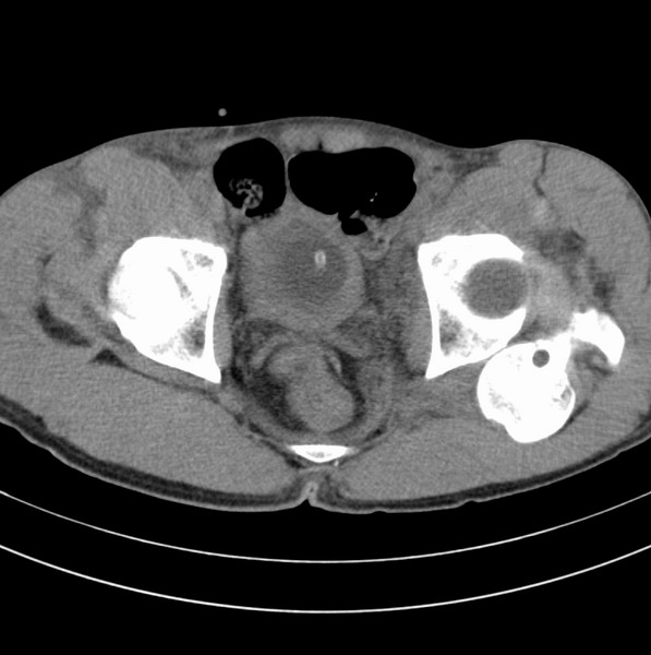
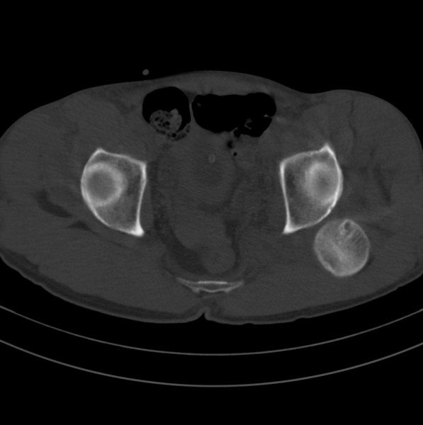
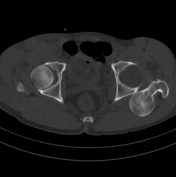
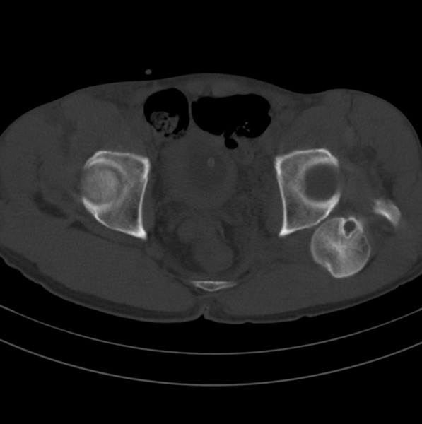
男、53

股骨头内的囊状阴影怎么下结论?













[本贴已被 jiajie 于 2009-3-10 17:50:57 修改过]

作者: 野鹅    时间: 2009-3-10 22:03
结合临床!
作者: 老单    时间: 2009-3-10 22:06
考虑;关节囊疝
作者: dengkai    时间: 2009-3-10 22:16
有脱位吧
作者: 吃草吐奶    时间: 2009-3-10 23:04
1.左髋后脱位。
2.囊状影考虑退变。
作者: 杀毒软件    时间: 2009-3-10 23:28
考虑----脱位---骨内腱鞘囊肿
作者: 深泽交通    时间: 2009-3-10 23:32
脱位,囊肿
作者: 同    时间: 2009-3-11 00:02
左髋脱位,考虑囊疝。
作者: gyh6308    时间: 2009-3-11 00:37
髋关节脱位,骨质是正常的,你以后注意留心,会经常看到,正常的
作者: xizhong    时间: 2009-3-11 01:05
髋关节脱位、股骨头疝窝。
作者: 余辉    时间: 2009-3-11 01:24
1、髋关节脱位2、股骨头疝窝不排除邻关节骨囊肿
作者: 道哥    时间: 2009-3-11 01:38
髋关节脱位、股骨头疝窝。
作者: 泪洒红尘    时间: 2009-3-11 03:23
象退变吗?还是个瘤巢?
作者: zsl6918    时间: 2009-3-11 03:25
脱位,软骨疝。
作者: wangyong1977    时间: 2009-3-11 03:52
左髋关节脱位,其内圆形低密度影,考虑为股骨头疝窝
作者: 影象小辈    时间: 2009-3-11 03:55
关节后脱位   关节囊空虚   内见积液
作者: dyqCT    时间: 2009-3-11 04:15
标题: 回复:ct18589:股骨头囊状阴影怎么下结论?
以下是引用xizhong在2009-3-10 17:05:00的发言:[br]左髋关节脱位、股骨头疝窝。

作者: 随光逐影    时间: 2009-3-11 04:21
左侧髋关节后脱位;左侧股骨头疝窝。
作者: 我爱影像    时间: 2009-3-11 04:28
骨内腱鞘囊肿
作者: 黑白光影    时间: 2009-3-11 04:35
左侧髋关节后脱位;左侧股骨头疝窝。
作者: zyyzzy    时间: 2009-3-11 04:39
股骨头脱位并滑膜囊肿
作者: 无间道    时间: 2009-3-11 05:57
标题: 回复:ct18589:股骨头囊状阴影怎么下结论?
以下是引用xizhong在2009-3-10 17:05:00的发言:[br]髋关节脱位、股骨头疝窝。

作者: 影像之路    时间: 2009-3-11 07:58
左侧髋关节后脱位;左侧股骨头疝窝        
    脱位够厉害的
作者: shenhs    时间: 2009-3-11 08:01
左髋脱位,考虑囊疝
作者: LIAOQIANG    时间: 2009-3-11 18:04
左侧髋关节后脱位、左侧股骨颈疝窝。
作者: ct诊断高手    时间: 2009-4-28 01:07
髋关节脱位、股骨头疝窝。
作者: qxhxf    时间: 2009-4-28 01:13
左侧髋关节脱位,软骨岛
作者: ldj2004    时间: 2009-4-28 01:41
可能是退变,退变也可能有囊变的
作者: hejie    时间: 2009-4-28 04:34
股骨颈疝窝

一、发病机制
股骨颈疝窝是发生于股骨头基底和股骨颈的一种较少见的良性病变。发病率约在4% 一5% ,好发于中老年人,多无明显症状,常因其他病变检查时偶然发现 。病变多单侧发生,少数为双侧。影像学的正确诊断,可避免不必要的外科手术。
股骨颈疝窝系股骨颈反应区(reaction area)的纤维结缔组织和(或)液体在前部关节囊、髂股韧带及髂腰肌(腱)的机械性压迫下,通过骨皮质疝入松质骨内而形成的窝状骨质缺损 。人体站立或行走时,髋关节囊前方结构处于不断的紧张和松弛交替状态,前部关节囊(尤其是股骨颈轮匝韧带前部环绕区)和相邻的股骨头基底和股骨颈近段前外侧皮质问存在长期的压迫和相互摩擦,使邻近覆盖的滑膜组织可能因受刺激致纤维软骨化生而形成纤维结缔组织和新生软骨,相互摩擦致皮质反应性成骨,后3者成分和其内的液体共同组成了股骨反应区 。
二、影像学表现
x线平片和ct上多表现为位于股骨头基底和股骨颈近段前侧皮质下、股骨颈中轴线外侧的圆形或卵圆形透亮区或软组织密度灶,边界清楚,多伴有薄层硬化缘。病灶最大径线通常<10 mm。病灶或相邻上下层面上相邻皮质大多可见与病灶相连的局限性裂隙样缺损,可作为诊断此病的特异性征象。病灶内通常为纤维结缔组织和(或)液体。内为液体时,病灶呈均匀长t1、长t2信号。纤维结缔组织和液体同时存在时,病灶于t1wi上呈低信号,t2 wi上呈不均匀高信号。
作者: 不学无术    时间: 2009-4-28 04:44
左侧髋关节脱位 退变
作者: baogan    时间: 2009-4-28 08:39
左侧髋关节后脱位;左侧股骨头疝窝;软骨岛???
作者: yuhongjun    时间: 2009-4-28 14:15
股骨头脱位并滑膜囊肿
作者: LIAOQIANG    时间: 2009-5-1 23:07
左髋关节脱位、股骨颈疝窝。
作者: yangyang2000    时间: 2009-5-10 17:57
谢谢29楼,学习了.
作者: 奥特之父    时间: 2009-5-10 18:48
左髋关节后脱位,左股骨颈疝窝.
作者: yuhongjun    时间: 2009-5-11 01:52
左髋脱位,考虑囊疝。
作者: chinanyd    时间: 2009-5-11 03:40
学习了
作者: 张辉9999    时间: 2009-5-11 20:28
左侧髋关节后脱位;左侧股骨头疝窝。
作者: 513ytb    时间: 2009-6-29 01:36
髋关节脱位、股骨头疝窝。




欢迎光临 医影在线 (http://bbs.radida.com/bbs/) Powered by Discuz! X3.2