医影在线

标题: CT18598:男47岁头晕头痛,烦操不安 [打印本页]

作者: mohaiyidi    时间: 2009-3-11 03:37
标题: CT18598:男47岁头晕头痛,烦操不安










[本贴已被 jiajie 于 2009-3-10 19:46:39 修改过]

作者: zsl6918    时间: 2009-3-11 03:39
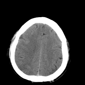
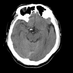
病灶似有多发,建议强化除外转移。
作者: 杀毒软件    时间: 2009-3-11 03:46
不好说,增强看看
作者: dyqCT    时间: 2009-3-11 04:13
右侧颞顶枕叶缺血性脑梗塞可能性大,建议增强进一步检查。
作者: xinliheng001    时间: 2009-3-11 04:17
不能排除转移瘤。
作者: czzj    时间: 2009-3-11 04:24
右侧颞顶叶脑沟变浅,片状低密度区内见略高密度影,考虑出血性脑梗塞,及时复查.
作者: zyyzzy    时间: 2009-3-11 04:31
右侧颞顶枕叶脑梗塞可能性大,建议增强进一步检查
作者: 学医    时间: 2009-3-11 04:51
脑梗塞可能性大,建议mri
作者: 随光逐影    时间: 2009-3-11 04:56
标题: 回复:ct18598:男47岁头晕头痛,烦操不安
以下是引用dyqct在2009-3-10 20:13:00的发言:[br]右侧颞顶枕叶缺血性脑梗塞可能性大,建议增强进一步检查。

作者: 卜一    时间: 2009-3-11 05:01
不能排除转移瘤。建议mri !!!
作者: dengkai    时间: 2009-3-11 05:39
右侧颞顶枕叶脑梗塞可能性大,建议增强进一步检查
作者: 黑白光影    时间: 2009-3-11 06:01
右侧颞顶枕叶缺血性脑梗塞可能性大,建议增强进一步检查排除转移瘤。
作者: 清晨的小雨    时间: 2009-3-11 06:11
右侧颞顶枕叶脑梗塞可能性大,建议mr
作者: huangxinghai    时间: 2009-3-11 06:28
右侧颞枕顶叶梗塞可能性大
作者: lxq2000    时间: 2009-3-11 06:32
右侧颞顶枕叶缺血性脑梗塞可能性大,建议增强进一步检查排除转移瘤。
作者: 闪光之点    时间: 2009-3-11 06:46
支持脑梗,请增强吧!
作者: wywly    时间: 2009-3-11 07:02
呵呵,看图像梗塞像,但临床不十分支持,要排除感染性疾病哦!
作者: SOS.LA    时间: 2009-3-11 15:01
右大脑多处低密度水肿灶,无明显占位效应,病灶分布于不同大脑动脉供血区域!多发性脑转移瘤.(ct+或mri可进一步验证).
作者: 肖永霞    时间: 2009-3-11 16:10
脑梗塞,右颞顶叶。
作者: 深泽交通    时间: 2009-3-11 17:18
标题: 回复:ct18598:男47岁头晕头痛,烦操不安
以下是引用dyqct在2009-3-10 20:13:00的发言:[br]右侧颞顶枕叶缺血性脑梗塞可能性大,建议增强进一步检查。

作者: xupengjie    时间: 2009-3-11 17:25
右侧颞顶枕叶缺血性脑梗塞可能性大,建议增强进一步检查。
作者: LIAOQIANG    时间: 2009-3-11 17:28
考虑右侧颞顶枕叶交界处脑梗塞可能性大。
作者: 边生丽    时间: 2009-3-11 19:40
不排除占位?建仪增强
作者: ncy888888    时间: 2009-3-11 19:45
考虑脑梗塞可能性大。建议增强。
作者: dsl555    时间: 2009-3-12 02:58
不能排除转移瘤。建议mri !!!
作者: 余辉    时间: 2009-3-12 03:21
考虑分水岭梗塞,建议增强排除其他
作者: zhengfaming    时间: 2009-3-12 03:48
右侧颞顶枕叶缺血性脑梗塞




欢迎光临 医影在线 (http://bbs.radida.com/bbs/) Powered by Discuz! X3.2