医影在线

标题: CT18604:男,60岁,咳嗽一月余 [打印本页]

作者: 边生丽    时间: 2009-3-11 19:26
标题: CT18604:男,60岁,咳嗽一月余




































[本贴已被 jiajie 于 2009-3-11 13:07:44 修改过]

作者: 随光逐影    时间: 2009-3-11 20:03
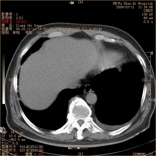
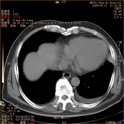
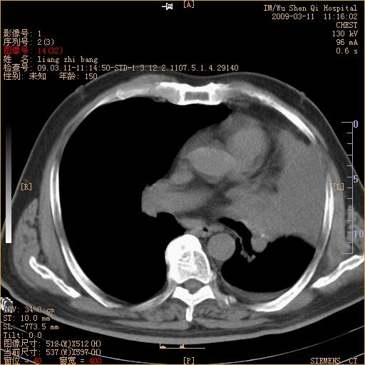
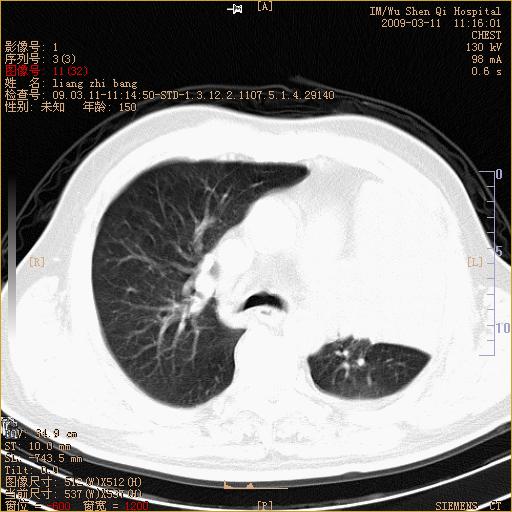
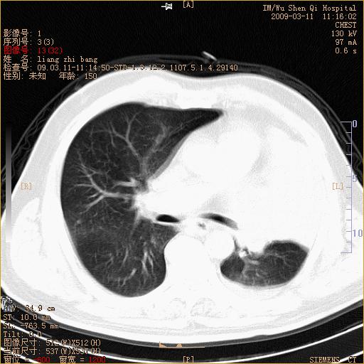
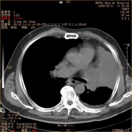
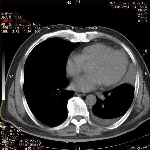
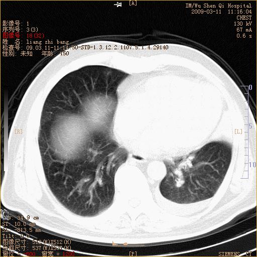
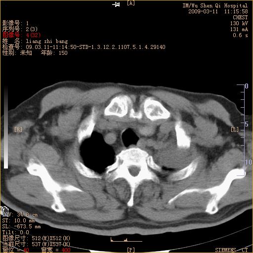
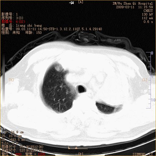
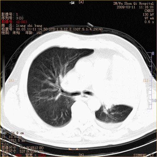
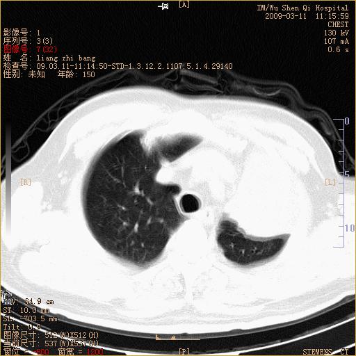
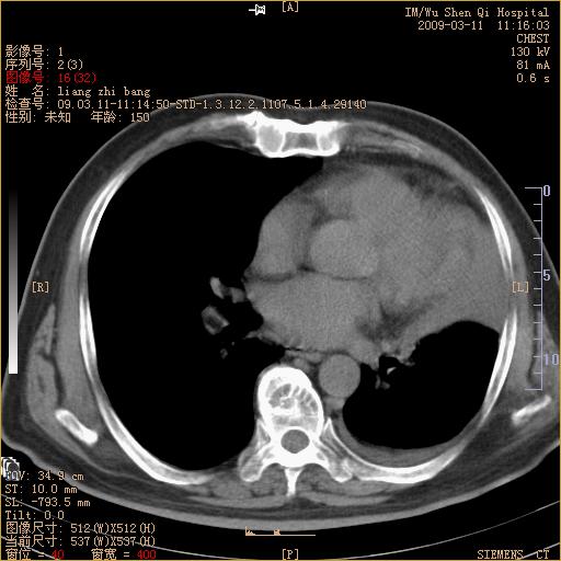
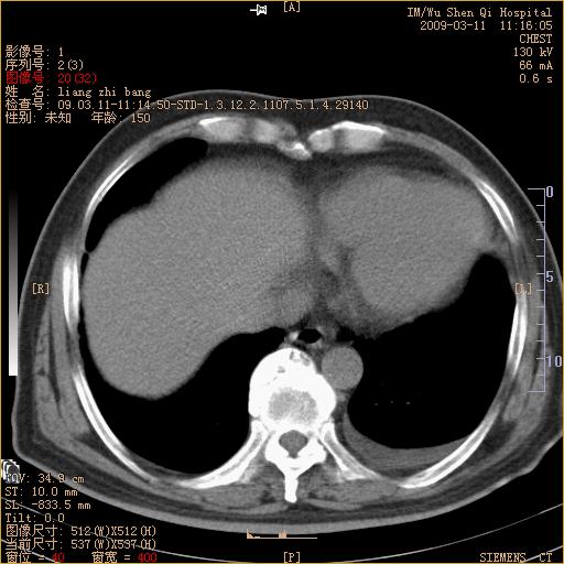
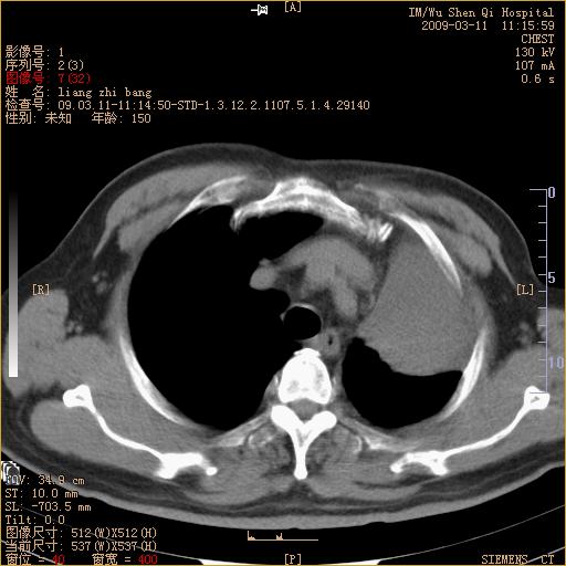
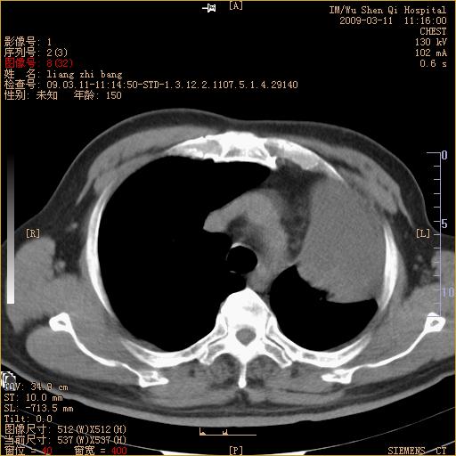
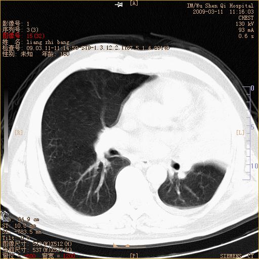
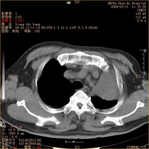
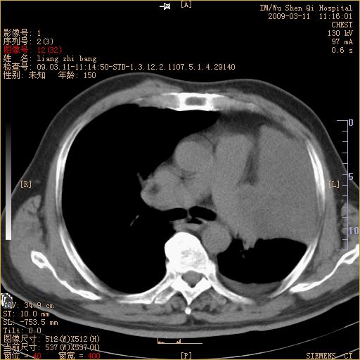
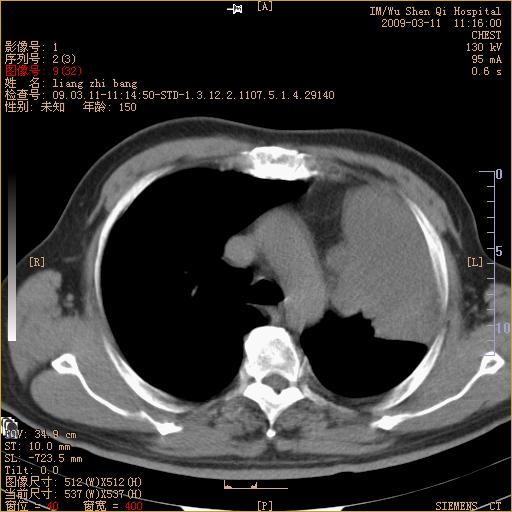
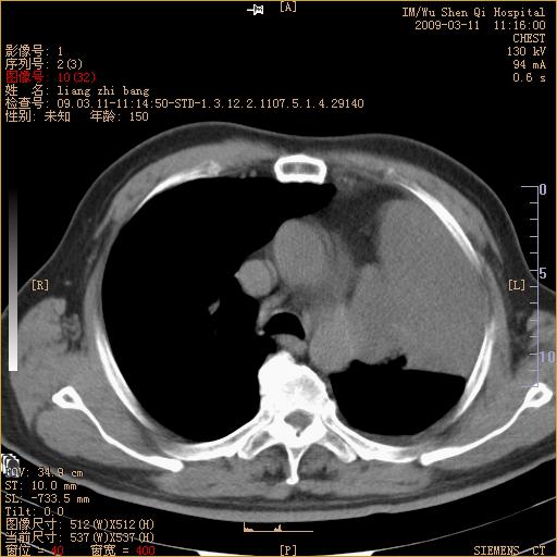
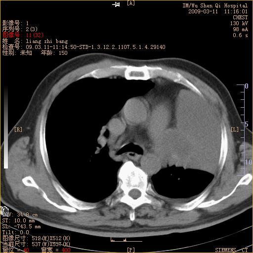
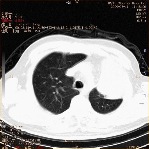
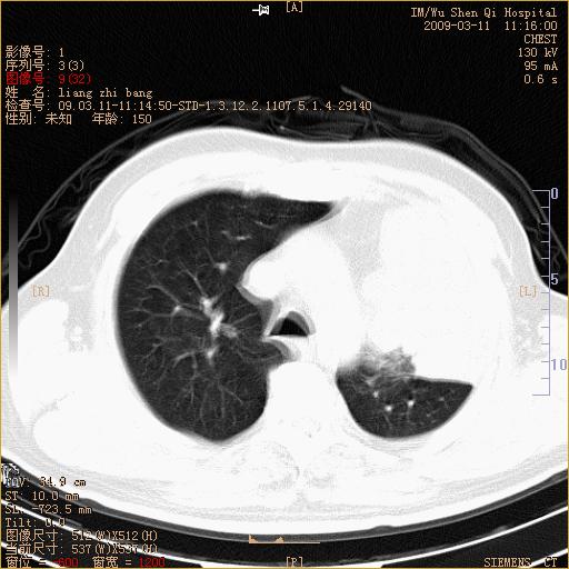
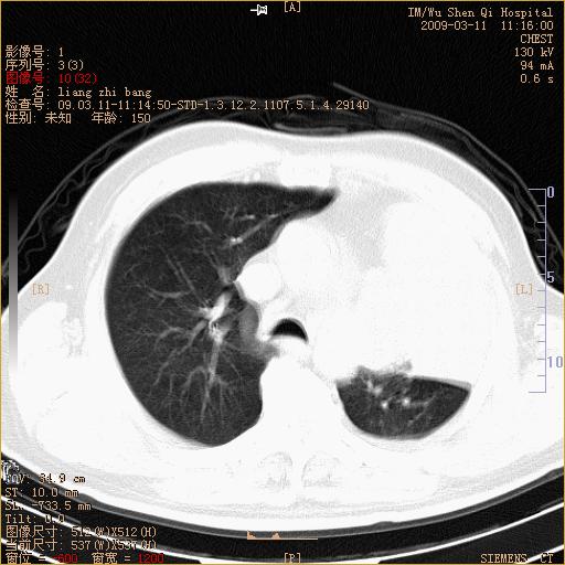
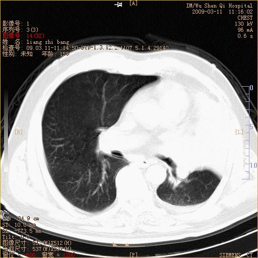
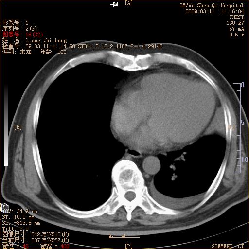
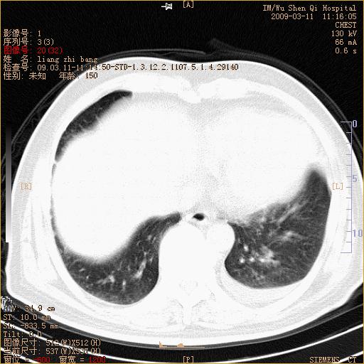
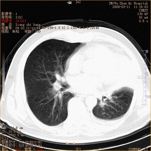
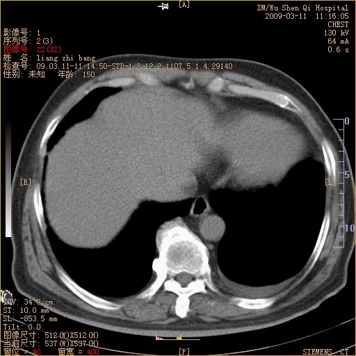
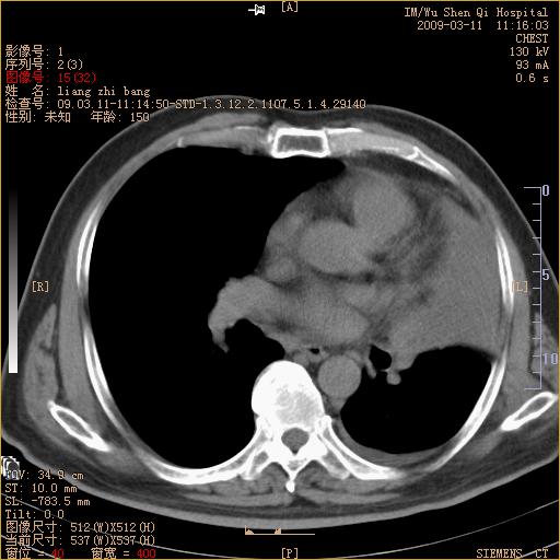
1)考虑左肺上叶中央型肺癌并左肺上叶肺不张;建议必要时行纤支镜检查进一步明确诊断。2)左侧胸腔积液。
作者: dengkai    时间: 2009-3-11 21:17
考虑左肺上叶中央型肺癌并左肺上叶肺不张
作者: yzt222    时间: 2009-3-11 22:24
1)考虑左肺上叶中央型肺癌并左肺上叶肺不张;建议必要时行纤支镜检查进一步明确诊断。2)左侧胸腔积液。
作者: 卜一    时间: 2009-3-11 22:37
考虑左肺上叶中央型肺癌并左肺上叶肺不张
作者: 影象小泰斗    时间: 2009-3-11 22:43
肺门肿块、支气管开口闭塞伴肺不张及胸水!典型的中心型肺癌变现!
作者: zbp537    时间: 2009-3-11 22:43
1、左肺上叶中央型肺癌并上叶阻塞性肺不张。
2、左侧胸腔少量积液,右侧胸膜轻度增厚。
作者: 光影相伴    时间: 2009-3-12 01:33
1)考虑左肺上叶中央型肺癌并左肺上叶肺不张;建议必要时行纤支镜检查进一步明确诊断。2)左侧胸腔积液。
作者: 杀毒软件    时间: 2009-3-12 02:01
标题: 回复:ct18604:男,60岁,咳嗽一月余
以下是引用随光逐影在2009-3-11 12:03:00的发言:[br]1)考虑左肺上叶中央型肺癌并左肺上叶肺不张;建议必要时行纤支镜检查进一步明确诊断。2)左侧胸腔积液。

支持
作者: dsl555    时间: 2009-3-12 02:52
1)考虑左肺上叶中央型肺癌并左肺上叶肺不张;建议必要时行纤支镜检查进一步明确诊断。2)左侧胸腔积液。
作者: xulianj    时间: 2009-3-12 05:02
1)考虑左肺上叶中央型肺癌并左肺上叶肺不张;建议必要时行纤支镜检查进一步明确诊断。2)左侧胸腔积液。
作者: 黑白光影    时间: 2009-3-12 05:55
标题: 回复:ct18604:男,60岁,咳嗽一月余
以下是引用随光逐影在2009-3-11 12:03:00的发言:[br]1)考虑左肺上叶中央型肺癌并左肺上叶肺不张;建议必要时行纤支镜检查进一步明确诊断。2)左侧胸腔积液。

作者: LIAOQIANG    时间: 2009-3-12 18:58
考虑左肺上叶中央型肺癌并左肺上叶肺不张,左侧胸水。建议纤支镜检查。
作者: zyyzzy    时间: 2009-3-12 19:12
左肺们肿块并左肺上叶不张。考虑左肺中心性肺癌并左肺上叶不张及左侧胸腔积液




欢迎光临 医影在线 (http://bbs.radida.com/bbs/) Powered by Discuz! X3.2