










































以下是引用hhcckk在2009-3-11 15:43:00的发言:[br]3、4、5腰椎及骶1椎体前上缘不规则,椎间隙改变不明显,结合患者年龄轻考虑:脊椎骨软骨病可能性大[br][br]脊椎骨软骨病又称青年性驼背(scheuerman)。[br][br]1964年sorenson首先提出x线影像学诊断标准:胸段脊柱至少3个相邻椎体有5°或5°以上楔形改变。椎体的楔形变是scheuermann病的基本特点,还可以有其它一些特征,如椎间隙变窄、schmorl结节、椎体终板变窄、不规则或扁平,顶椎前后径增长。
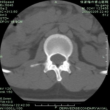
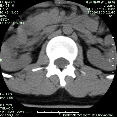
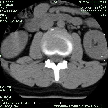
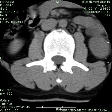
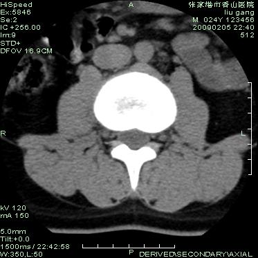
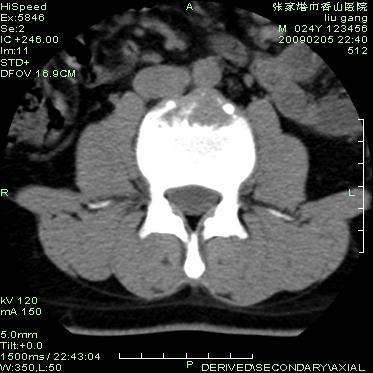
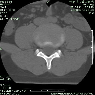
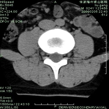
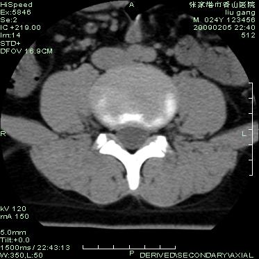
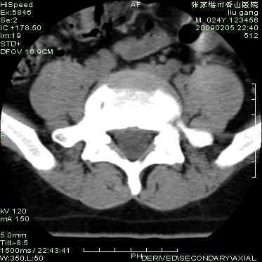
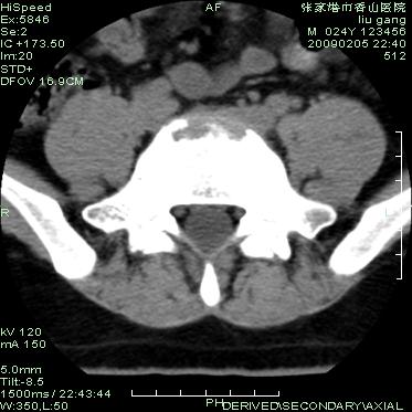
以下是引用随光逐影在2009-3-11 14:43:00的发言:[br]平片:l3、4、5及s1前上缘见类似“切角征”。[br]ct扫描:腰椎多个节段椎间盘向椎体内(椎体前部)突出。
以下是引用hhcckk在2009-3-11 15:43:00的发言:[br]3、4、5腰椎及骶1椎体前上缘不规则,椎间隙改变不明显,结合患者年龄轻考虑:脊椎骨软骨病可能性大[br][br]脊椎骨软骨病又称青年性驼背(scheuerman)。[br][br]1964年sorenson首先提出x线影像学诊断标准:胸段脊柱至少3个相邻椎体有5°或5°以上楔形改变。椎体的楔形变是scheuermann病的基本特点,还可以有其它一些特征,如椎间隙变窄、schmorl结节、椎体终板变窄、不规则或扁平,顶椎前后径增长。
| 欢迎光临 医影在线 (http://bbs.radida.com/bbs/) | Powered by Discuz! X3.2 |