医影在线

标题: CT18615:请各位老师帮忙看看 [打印本页]

作者: zhaozejun1    时间: 2009-3-12 02:31
标题: CT18615:请各位老师帮忙看看







































[本贴已被 翁志蓬 于 2009-3-11 21:59:58 修改过]

作者: zhaozejun1    时间: 2009-3-12 02:50
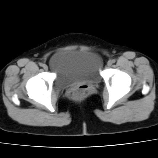
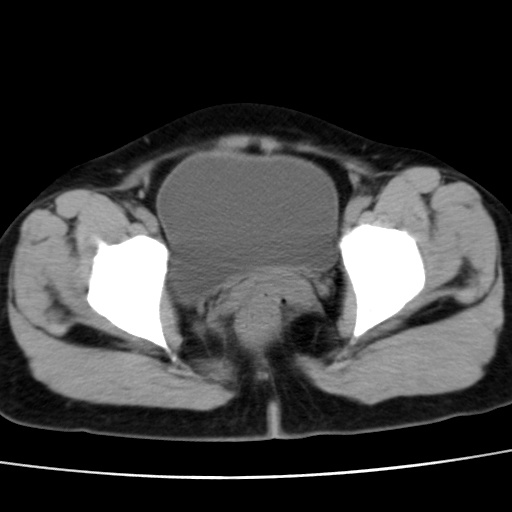
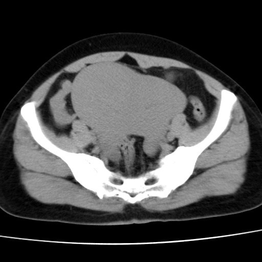
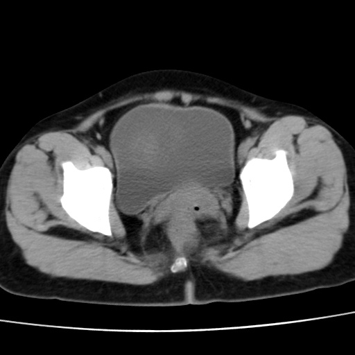
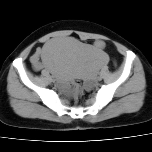
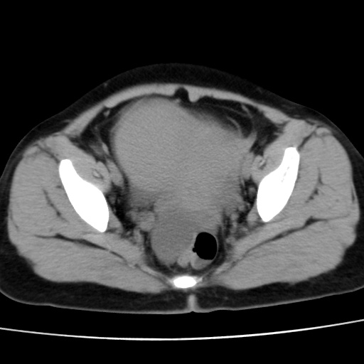
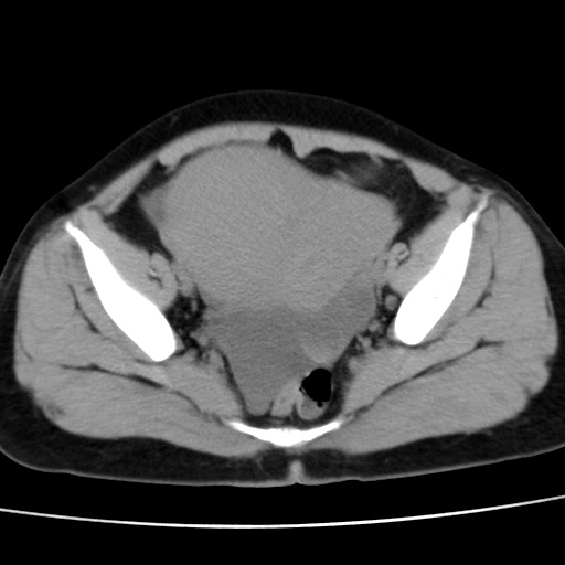
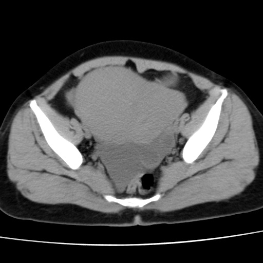
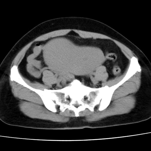
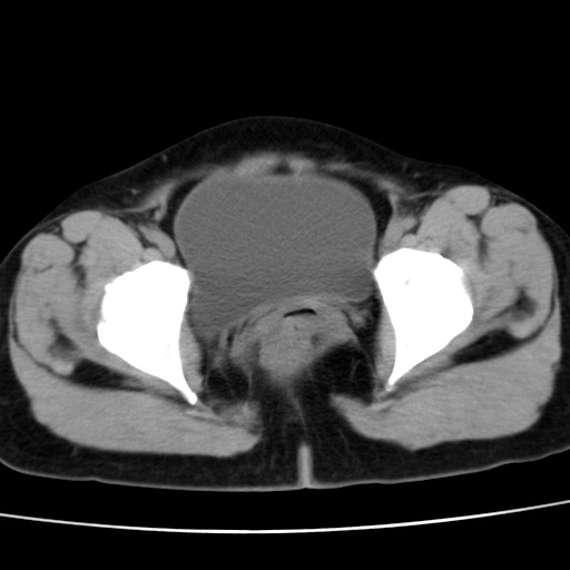
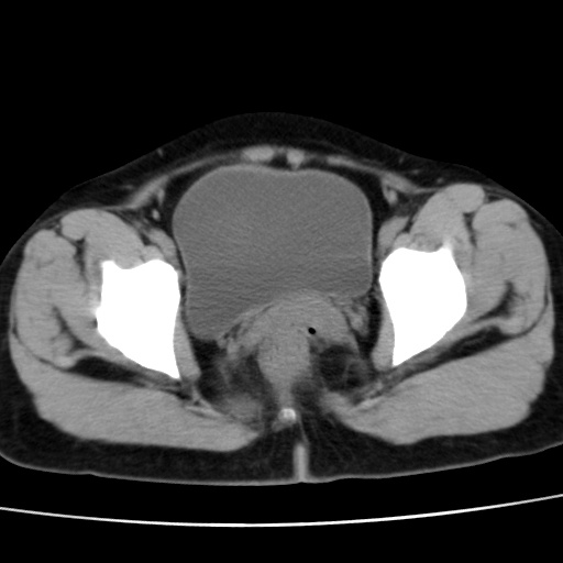
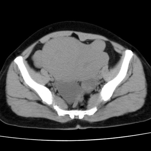
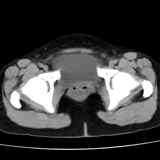
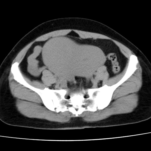
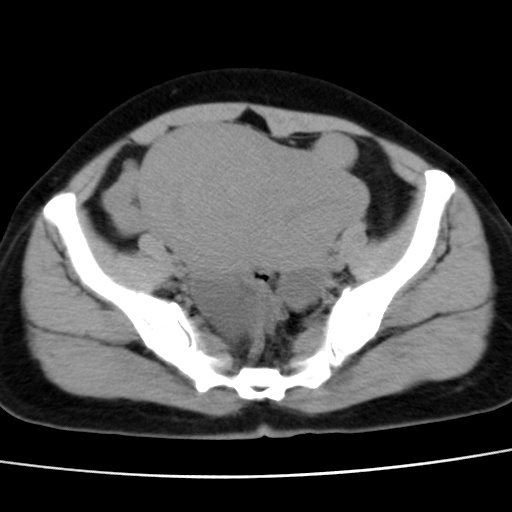
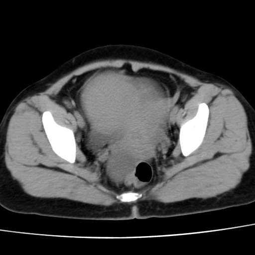
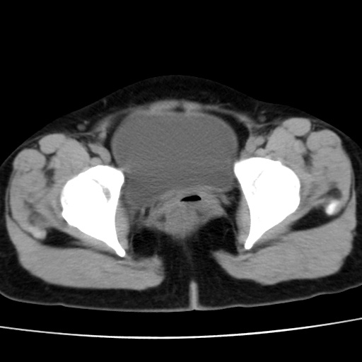
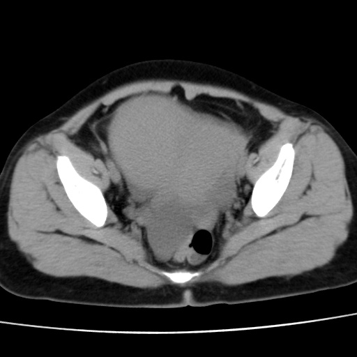
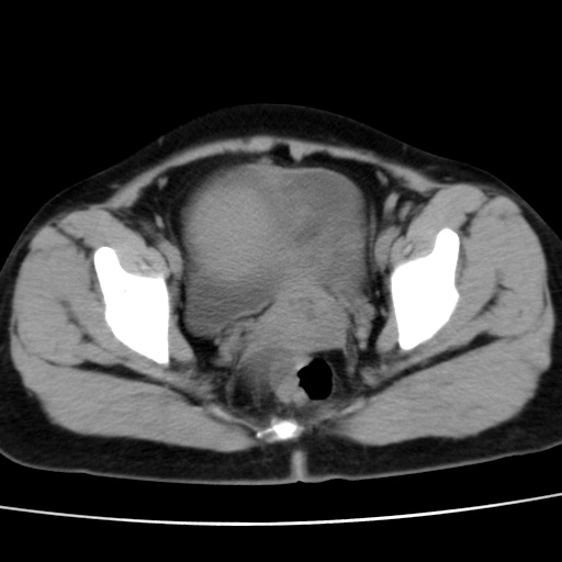
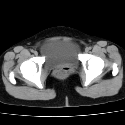
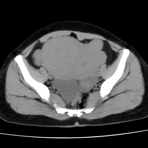
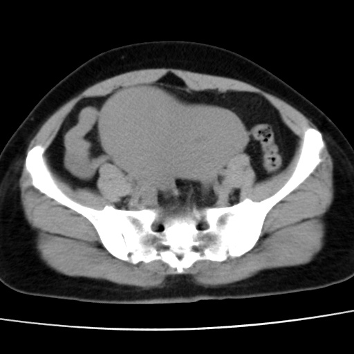
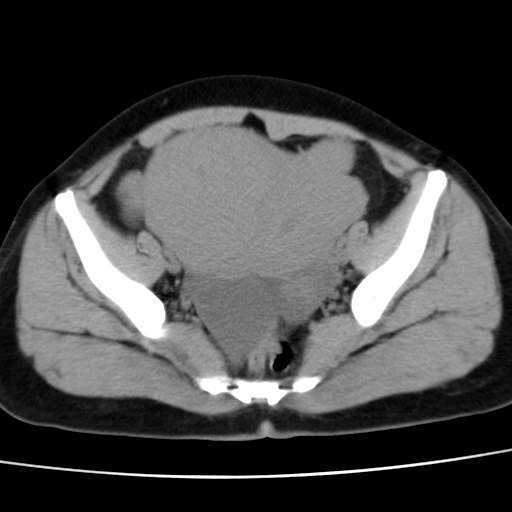
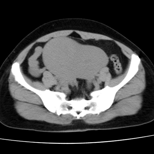
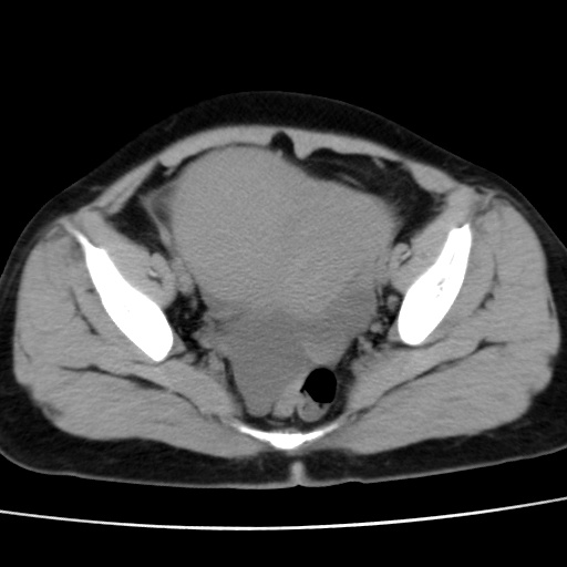
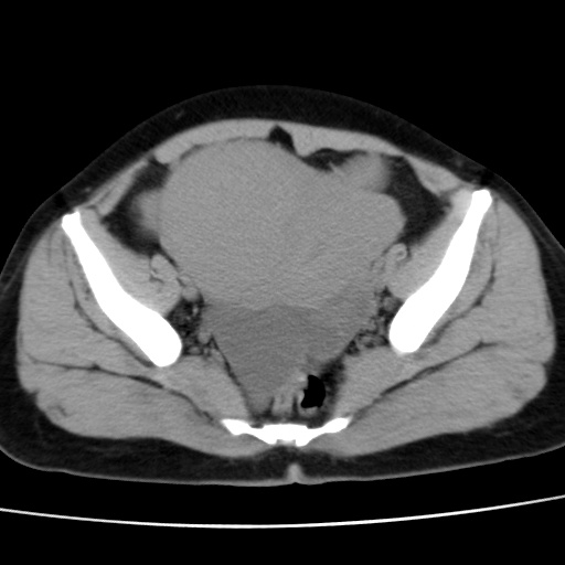
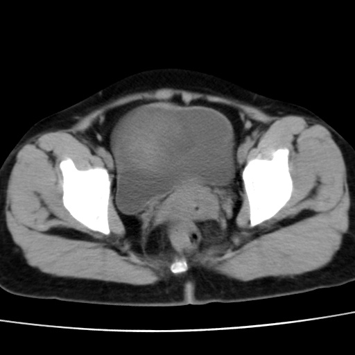
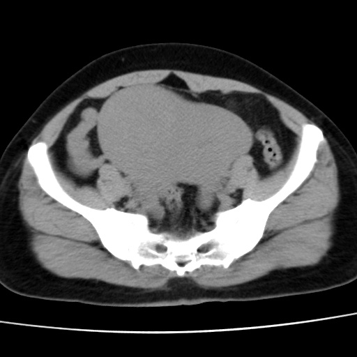
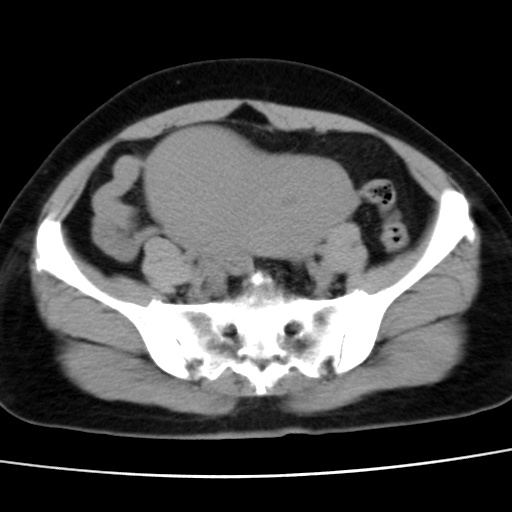
子宫多发肌瘤吗
作者: 光影相伴    时间: 2009-3-12 03:03
多发性子宫肌瘤.
作者: 余辉    时间: 2009-3-12 03:15
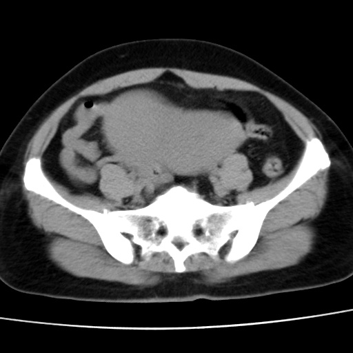
考虑多发子宫肌瘤,子宫直肠窝双囊性占位,另直肠周围脂肪密度增高,不知有何病史
作者: zhaozejun1    时间: 2009-3-12 03:18
标题: 回复:请各位老师帮忙看看
请问老师直肠窝的占位影能给在图上标示出来吗?谢谢了。
作者: zhaozejun1    时间: 2009-3-12 03:21
患者因发烧来就诊,查彩超说是子宫颈旁边有无回声区,故来做ct。
作者: andymaomao    时间: 2009-3-12 03:39
支持考虑多发子宫肌瘤~!子宫直肠陷凹积液?
作者: 卜一    时间: 2009-3-12 03:44
支持考虑多发子宫肌瘤~!子宫直肠陷凹积液!
作者: hg7503847    时间: 2009-3-12 04:09
子宫肌瘤,宫体部后方见液性密度影,是肠道还是子宫与直肠陷窝积液不好说,我觉得它的位置有点高
作者: xulianj    时间: 2009-3-12 05:20
支持考虑多发子宫肌瘤!子宫直肠陷凹积液!
作者: 余辉    时间: 2009-3-12 05:27
患者发热,而子宫直肠窝液性灶有明显边缘且局限且囊性,不除外为包裹性积液或脓肿
作者: 黑白光影    时间: 2009-3-12 06:29
支持考虑多发子宫肌瘤,子宫直肠陷凹积液可能。
作者: dengkai    时间: 2009-3-12 06:31
考虑多发子宫肌瘤
作者: 随光逐影    时间: 2009-3-12 16:20
1)考虑子宫肌瘤可能性大。2)子宫后方囊性占位性病变,不排除卵巢囊肿可能。
作者: zsl6918    时间: 2009-3-12 16:23
提醒楼主!会诊首先需提供临床资料.
作者: LIAOQIANG    时间: 2009-3-12 18:17
考虑多发子宫肌瘤。子宫后方囊性占位性病变,不排除卵巢囊肿可能。
作者: 晓杰    时间: 2009-3-12 18:28
支持考虑多发子宫肌瘤!子宫直肠陷凹积液!
建议做mri检查
作者: 杀毒软件    时间: 2009-3-12 19:52
标题: 回复:ct18615:请各位老师帮忙看看
以下是引用随光逐影在2009-3-12 8:20:00的发言:[br]1)考虑子宫肌瘤可能性大。2)子宫后方囊性占位性病变,不排除卵巢囊肿可能。

支持




欢迎光临 医影在线 (http://bbs.radida.com/bbs/) Powered by Discuz! X3.2