





















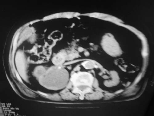
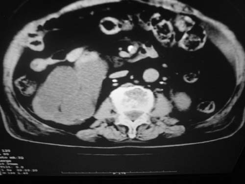
以下是引用余辉在2009-3-11 21:12:00的发言:[br]1肝脾多发钙化结节2右肾结石,右肾积水
以下是引用余辉在2009-3-11 21:12:00的发言:[br]1肝脾多发钙化结节2右肾结石,右肾积水
以下是引用jiangjing在2009-3-12 17:05:00的发言:[br]1肝脾多发钙化结节2右肾结石,右肾积水 3胆囊炎[br] [br] 左肾囊肿
| 欢迎光临 医影在线 (http://bbs.radida.com/bbs/) | Powered by Discuz! X3.2 |