













































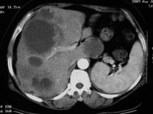
以下是引用余辉在2009-3-12 8:36:00的发言:[br]肝内多发囊性病变,部分囊内有单发或多发\"子囊\"表现,囊壁均较光整,多考虑多发包虫感染.[br]但本例做了增强,原平扫病灶高密度区有延迟强化(不知是不是对比错觉,建议提供具本对比ct值),如果真有强化的话应该是转移瘤了
以下是引用dyqct在2009-3-12 7:52:00的发言:[br]肝内多发性占位,转移性囊性癌可能大。支持!
| 欢迎光临 医影在线 (http://bbs.radida.com/bbs/) | Powered by Discuz! X3.2 |