医影在线

标题: CT18628:女,64岁,2002年诊断为宫颈癌,当时只做过放,化疗 [打印本页]

作者: mzj-329    时间: 2009-3-12 17:21
标题: CT18628:女,64岁,2002年诊断为宫颈癌,当时只做过放,化疗
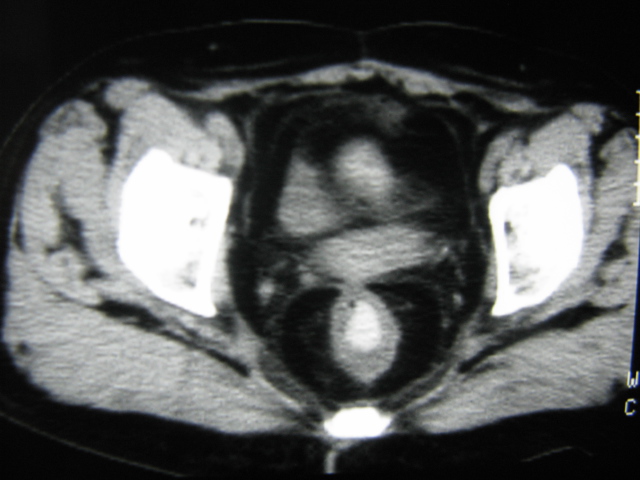
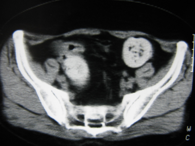
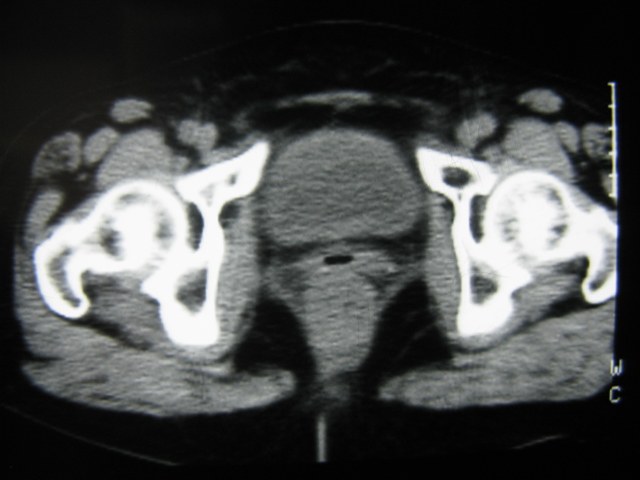
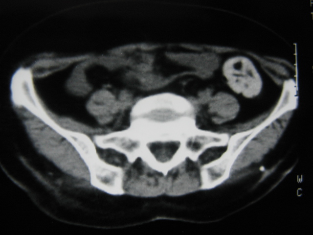
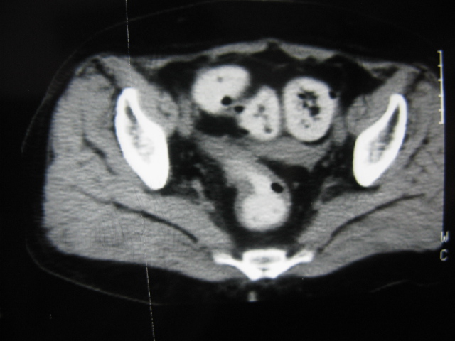
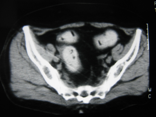
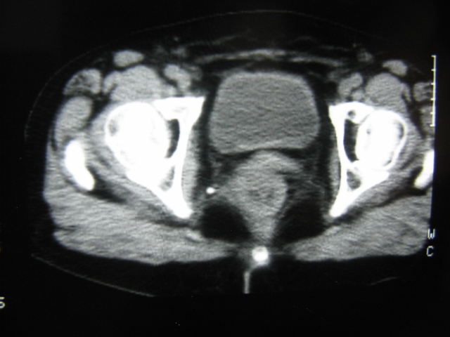
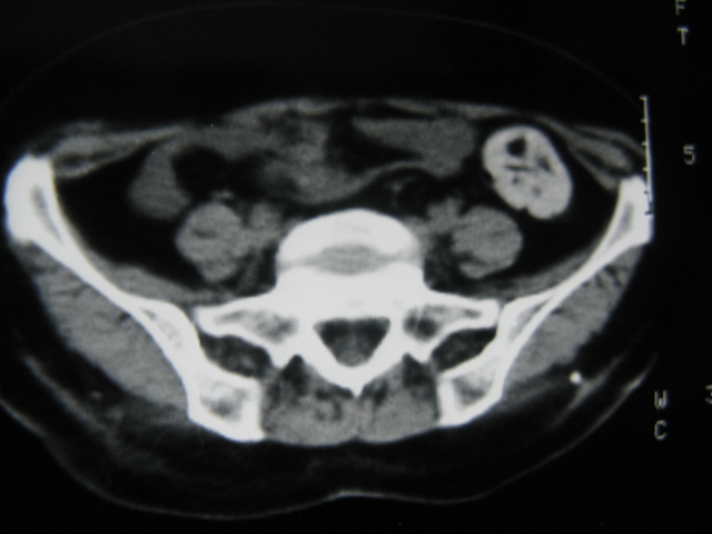
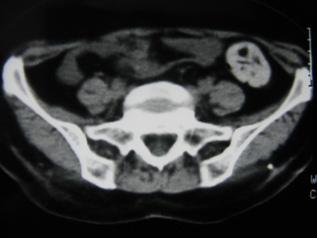
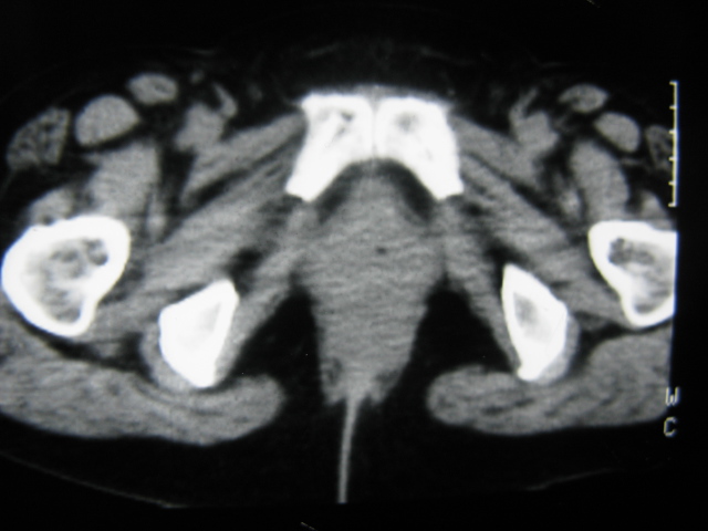
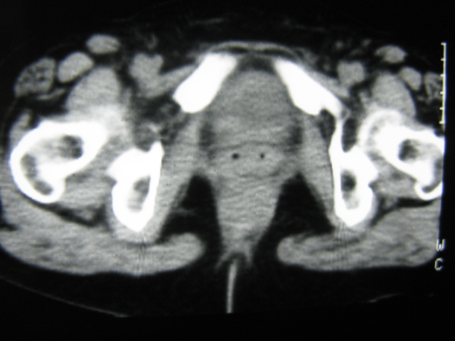
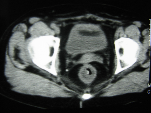
患者,女,64岁,2002年诊断为宫颈癌,当时只做过放,化疗。现在诊断:(1)宫颈癌。(2)直肠癌。请同道们讨论,探讨。另外肠壁为啥密度这么高,ct值约112hu。患者没有做过增强和造影。


















[本贴已被 jiajie 于 2009-3-12 18:21:55 修改过]

作者: 余辉    时间: 2009-3-12 17:49
高密度的不是肠管影,是肠管内的粪便影
作者: 深泽交通    时间: 2009-3-12 17:51
做过子宫切除术吗?
作者: 余辉    时间: 2009-3-12 17:51
患者直肠病变,排便不畅,粪便硬结造成,更高密度如钡灌肠者都可出现
作者: 野鹅    时间: 2009-3-12 18:35
硬结粪便能有如此高密度影?
作者: 杀毒软件    时间: 2009-3-12 19:38
标题: 回复:交流经验
以下是引用余辉在2009-3-12 9:51:00的发言:[br]患者直肠病变,排便不畅,粪便硬结造成,更高密度如钡灌肠者都可出现

支持
作者: mzj-329    时间: 2009-3-12 20:34
标题: 回复:交流经验
没有做过子宫切除术。
作者: dengkai    时间: 2009-3-12 21:52
硬结粪便能有如此高密度影?
作者: 卜一    时间: 2009-3-12 22:10
患者是否长期服用抗癌药物?应与服用药物有关!
作者: 深泽交通    时间: 2009-3-12 22:15
难定宫径癌,直肠癌
作者: 随光逐影    时间: 2009-3-13 00:55
是否与放、化疗有关?
作者: 余辉    时间: 2009-3-13 00:58
我也碰到过几例,最离奇的一例是全结肠呈造影样高密度,患者直肠癌(首次发现),以往没有吃药,只有约半年时间长的胃纳差,排便不畅(据患者说每次大便只能拉出少许黄水)
作者: 谨言慎行    时间: 2009-3-13 01:05
向老师、朋友们学习,没遇到过这种情况。
作者: dsl555    时间: 2009-3-13 02:11
标题: 回复:交流经验
以下是引用随光逐影在2009-3-12 16:55:00的发言:[br]是否与放、化疗有关?

作者: 黑白光影    时间: 2009-3-13 04:39
向老师、朋友们学习,没遇到过这种情况。
作者: xulianj    时间: 2009-3-13 05:14
粪便影!
作者: zsl6918    时间: 2009-3-13 20:50
不一定有意义,可清洁灌肠后复查




欢迎光临 医影在线 (http://bbs.radida.com/bbs/) Powered by Discuz! X3.2