医影在线

标题: CT18629:女性,76岁 急////// [打印本页]

作者: 网事随风    时间: 2009-3-12 20:56
标题: CT18629:女性,76岁 急//////
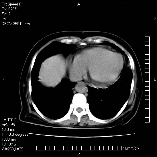
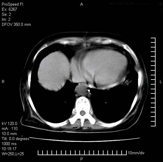
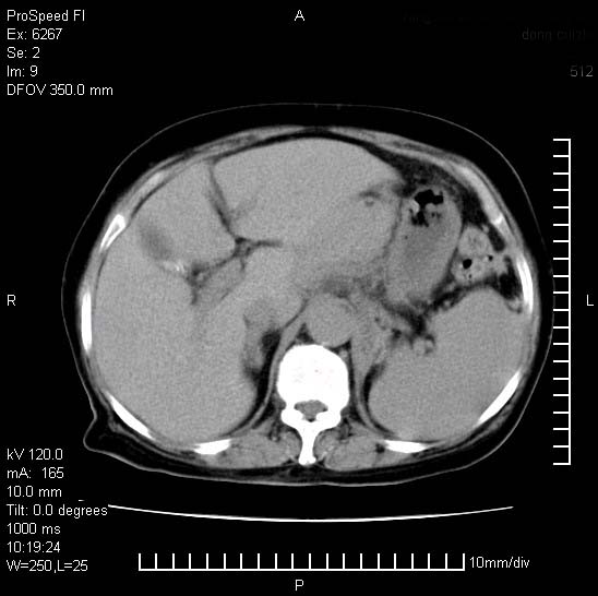
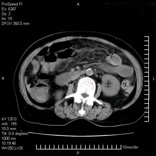
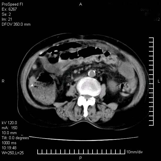
患者糖尿病,腹痛,恶心,呕吐。黄疸,意识较差,血糖很低(数值不详),临床以胆囊,胆管炎,低血糖反应收治。看的腹片少,各位帮忙看看,胰腺有问题吗??

























[本贴已被 jiajie 于 2009-3-12 18:23:48 修改过]

作者: 知其雄    时间: 2009-3-12 21:11
胆囊炎,胆石症;胰腺炎可以确定,但需要增强,除外肿瘤
作者: 草之原    时间: 2009-3-12 21:37
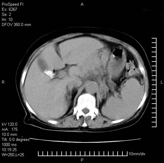
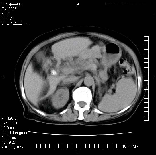
1.胰腺体积增大,胰周脂肪间隙消失,胰腺炎可以确定。必要时实验室进一步检查。
2.胆囊炎,胆石症。
作者: haha215315    时间: 2009-3-12 22:05
胰腺体积增大,胰周脂肪间隙消失,考虑胰腺炎。胆囊炎,胆石症。
作者: 卜一    时间: 2009-3-12 22:12
1.胰腺体积增大,胰周脂肪间隙消失,胰腺炎可以确定。必要时实验室进一步检查。
2.胆囊炎,胆石症。
支持!
作者: 深泽交通    时间: 2009-3-12 22:12
脾大,原因?胆结石;胰腺肿大,边缘模糊,建议查定性指标血尿淀粉酶,除外胰腺炎
作者: dengkai    时间: 2009-3-12 22:19
1.胰腺体积增大,胰周脂肪间隙消失,胰腺炎可以确定。必要时实验室进一步检查。
2.胆囊炎,胆石症。
支持!
作者: 晨星剑    时间: 2009-3-12 23:30
支持胰腺炎,胆囊炎,胆石症。
作者: guo430726    时间: 2009-3-12 23:52
支持胆囊炎、胆石症,胰腺炎。
作者: songyi    时间: 2009-3-13 00:15
考虑胰腺炎。胆囊炎,胆石症。脾大。
作者: 余辉    时间: 2009-3-13 00:45
考虑胰腺炎。胆囊炎,胆石症。脾大。  
   
支持
作者: 随光逐影    时间: 2009-3-13 00:58
1)考虑胰腺炎;建议查血尿淀粉酶。2)胆囊炎,胆囊结石。3)脾大。
作者: dsl555    时间: 2009-3-13 02:18
标题: 回复:腹部;女性,76岁 急//////
以下是引用草之原在2009-3-12 13:37:00的发言:[br]1.胰腺体积增大,胰周脂肪间隙消失,胰腺炎可以确定。必要时实验室进一步检查。[br]2.胆囊炎,胆石症。[br]

作者: 黑白光影    时间: 2009-3-13 04:37
胰腺体积增大,胰周脂肪间隙消失,考虑胰腺炎。胆囊炎,胆石症。
作者: xulianj    时间: 2009-3-13 05:11
胰腺炎;胆囊炎,胆石症。
作者: zsl6918    时间: 2009-3-13 20:53
支持胰腺炎,胆石症




欢迎光临 医影在线 (http://bbs.radida.com/bbs/) Powered by Discuz! X3.2