医影在线

标题: CT18630:男,54岁,乙肝,大家看怎么样? [打印本页]

作者: wz_221    时间: 2009-3-12 21:03
标题: CT18630:男,54岁,乙肝,大家看怎么样?
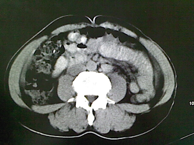
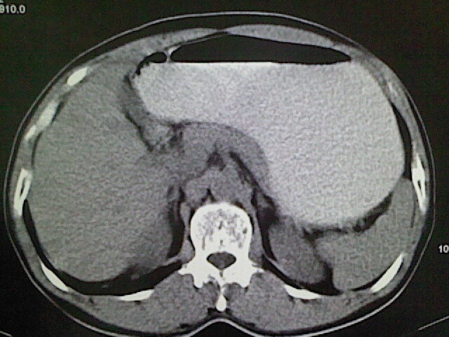
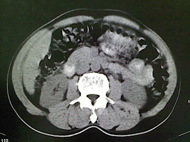
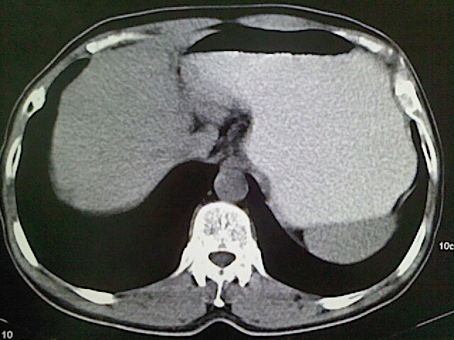
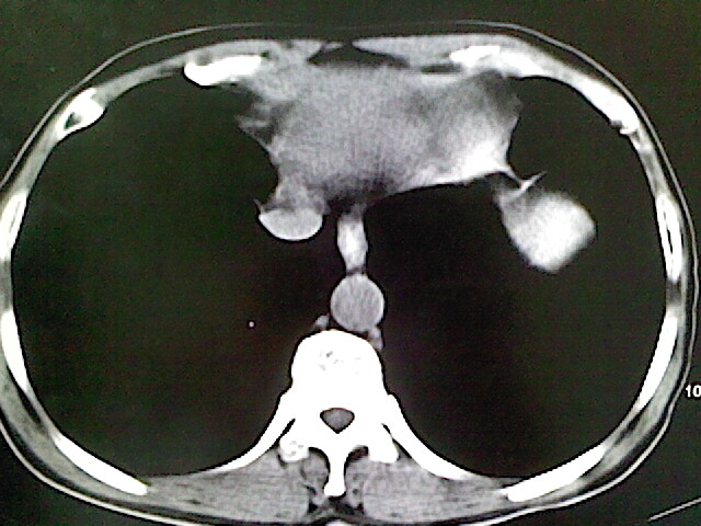
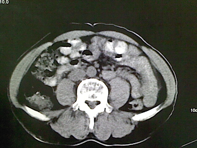
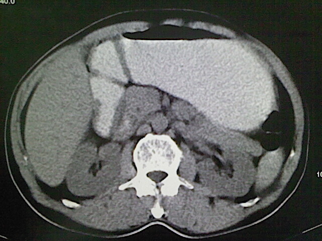
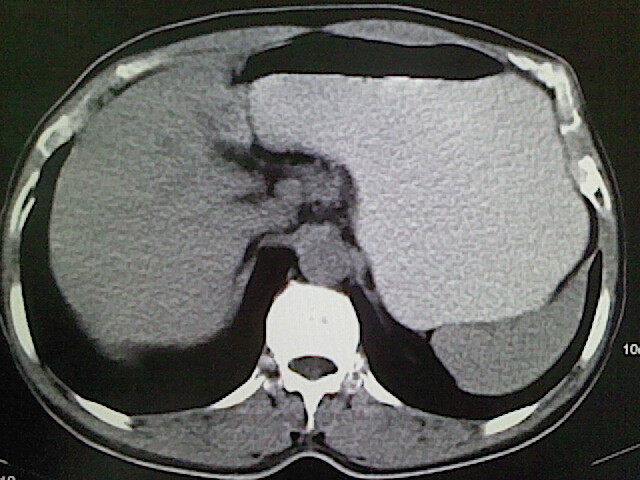
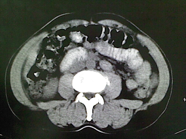
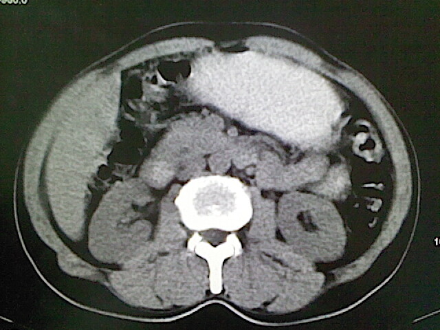
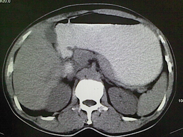
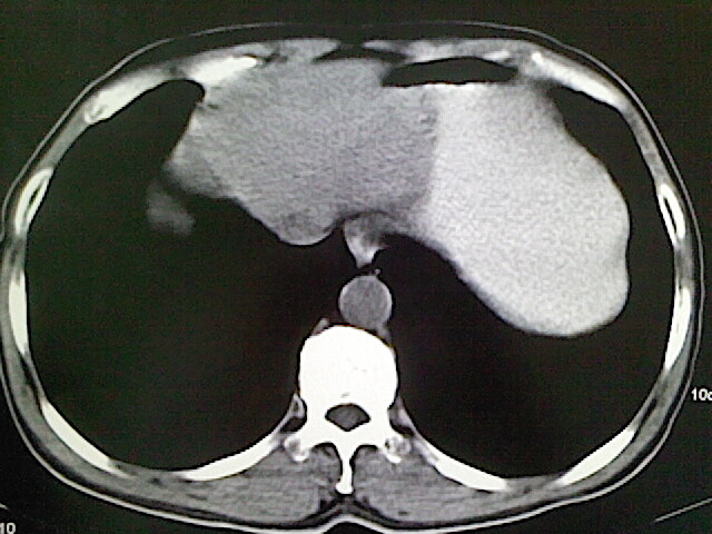
男,54岁,乙肝,大家看怎么样?



















[本贴已被 jiajie 于 2009-3-12 18:26:46 修改过]

作者: ct诊断高手    时间: 2009-3-12 21:46
未见明显异常
作者: 深泽交通    时间: 2009-3-12 22:03
标题: 回复:大家看看
以下是引用ct诊断高手在2009-3-12 13:46:00的发言:[br]未见明显异常

作者: xizhong    时间: 2009-3-12 22:14
未见明显异常
作者: 卜一    时间: 2009-3-12 22:15
未见明显异常!(另:患者有乙肝病史,应定期做彩超检查!)
作者: 姜晓辉    时间: 2009-3-12 22:40
肝脏的要有增强敢说话
作者: 晨星剑    时间: 2009-3-12 23:23
医学影像诊断的基本原则之一是密切结合临床,请你提供简明扼要的病史。
作者: 肖永霞    时间: 2009-3-12 23:35
未见异常
作者: dengkai    时间: 2009-3-13 00:08
未见明显异常
作者: 余辉    时间: 2009-3-13 00:53
未见明显异常
作者: 随光逐影    时间: 2009-3-13 01:00
未见明确异常;建议必要时行ct增强扫描检查。
作者: dsl555    时间: 2009-3-13 02:17
标题: 回复:大家看看
以下是引用余辉在2009-3-12 16:53:00的发言:[br]未见明显异常  [br]   [br]

作者: 黑白光影    时间: 2009-3-13 04:41
未见明确异常;建议必要时行ct增强扫描检查。
作者: xulianj    时间: 2009-3-13 05:15
平扫未见明显异常
作者: huangxun4321    时间: 2009-3-13 05:58
可以.
作者: zsl6918    时间: 2009-3-13 20:41
强化再讨论




欢迎光临 医影在线 (http://bbs.radida.com/bbs/) Powered by Discuz! X3.2