医影在线

标题: CT18633:M,64Y。腰痛十余天。 [打印本页]

作者: 随光逐影    时间: 2009-3-12 23:10
标题: CT18633:M,64Y。腰痛十余天。
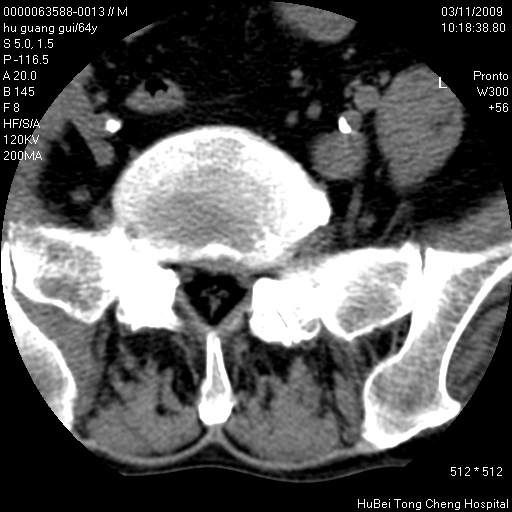
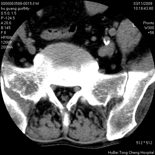
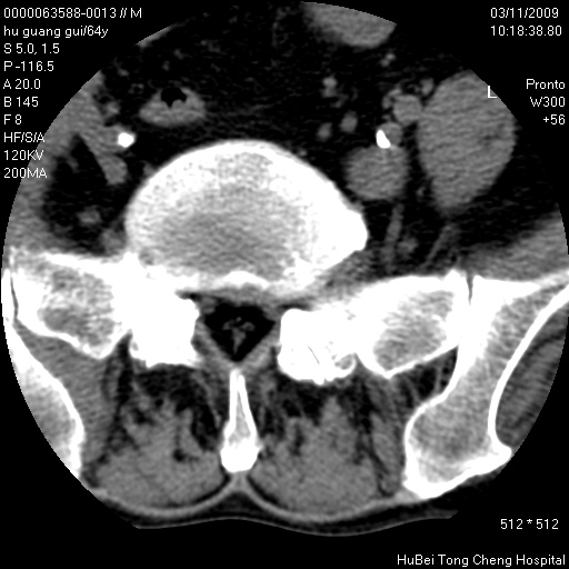
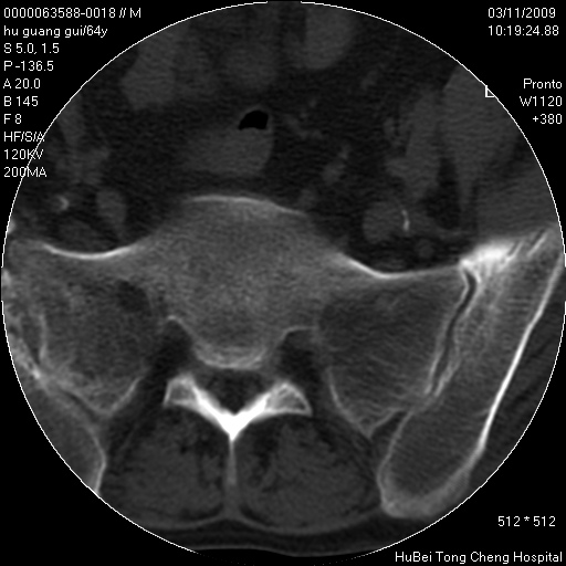
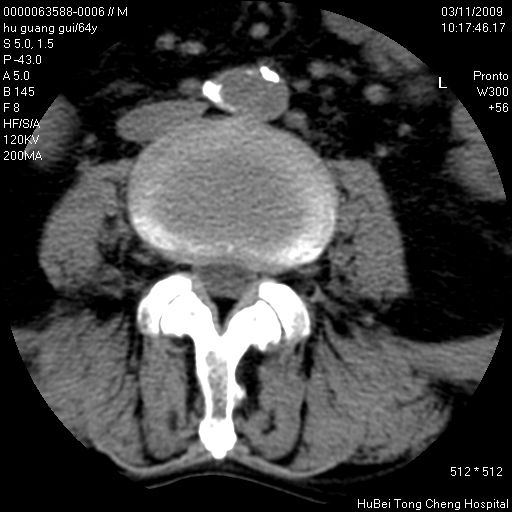
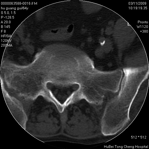
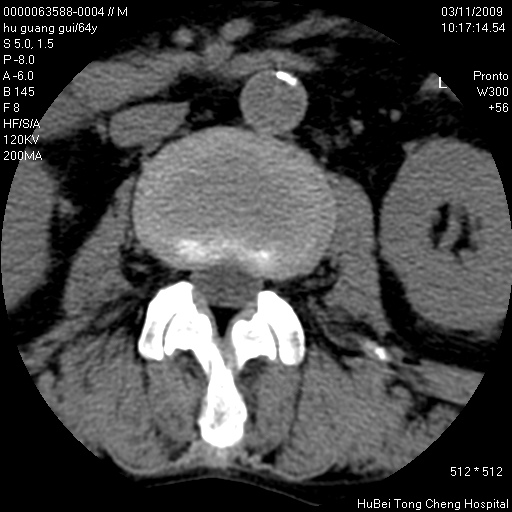
患者 男,64岁。腰痛十余天。(临床未提供其他病史)

临床诊断:腰痛原因待查(腰椎间盘突出症?)。

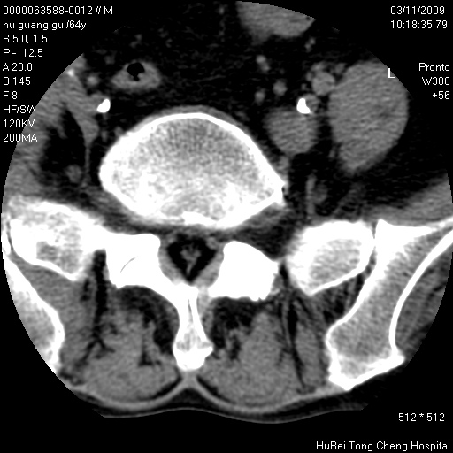
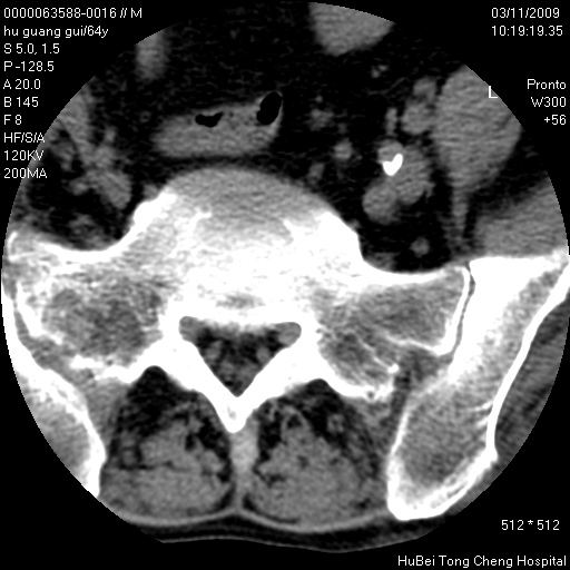
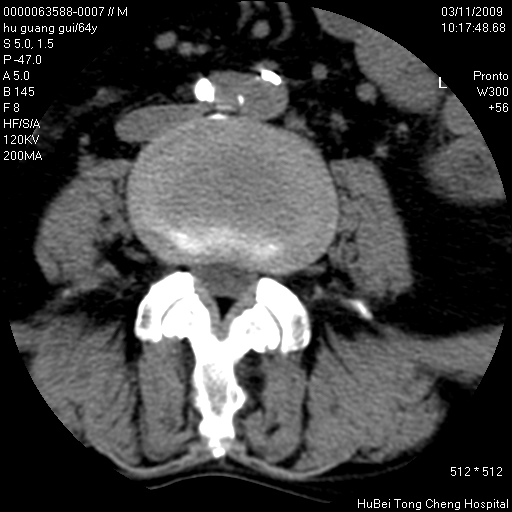
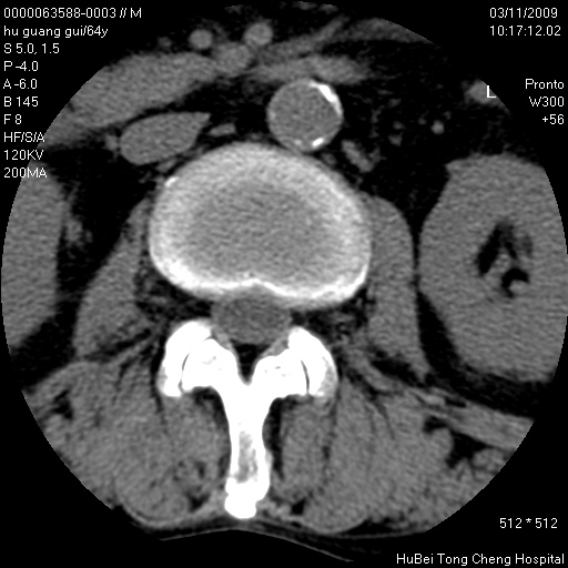
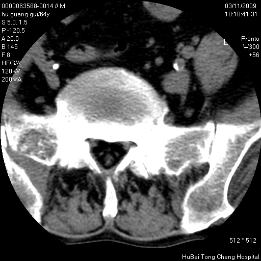
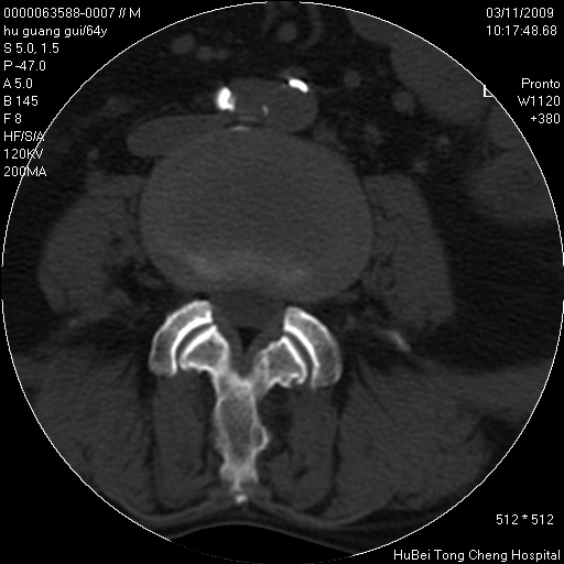
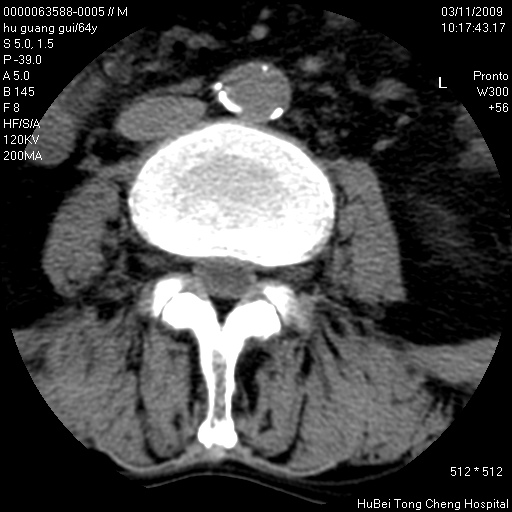
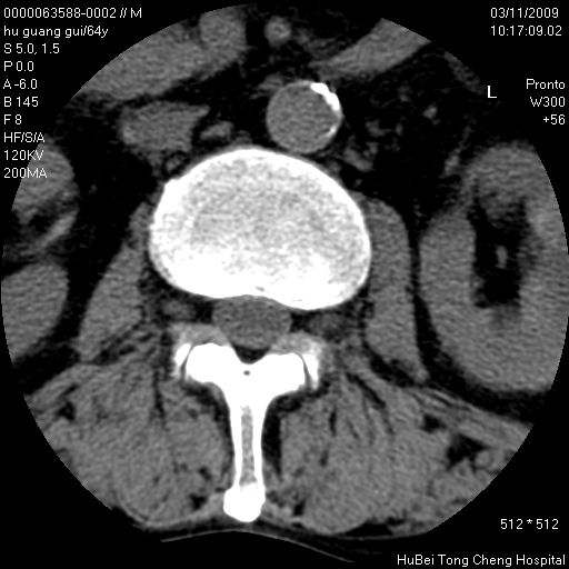
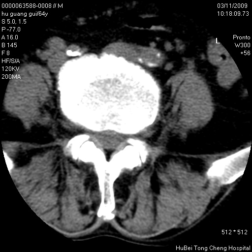
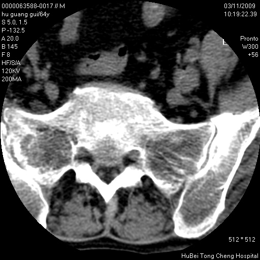
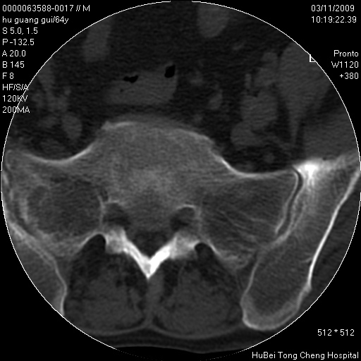
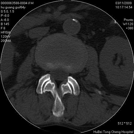
腰椎间盘ct轴位平扫(层厚5mm,层距4mm),图像如下:







































[本贴已被 jiajie 于 2009-3-12 18:33:54 修改过]

作者: 余辉    时间: 2009-3-13 00:19
腰椎退行性变,腰4—5椎间盘膨出。
右侧骶骨侧块骨侵蚀,骶髂关节骨性关节面破坏,并见软组织肿块,考虑骨转移瘤可能,进一步检查。
作者: dengkai    时间: 2009-3-13 00:21
支持2 楼
作者: aka502    时间: 2009-3-13 01:33
标题: 回复:m,64y。腰痛十余天。
以下是引用余辉在2009-3-12 16:19:00的发言:[br]腰椎退行性变,腰4—5椎间盘膨出。[br]右侧骶骨侧块骨侵蚀,骶髂关节骨性关节面破坏,并见软组织肿块,考虑骨转移瘤可能,进一步检查。

作者: dsl555    时间: 2009-3-13 01:59
支持2 楼
作者: wangyong1977    时间: 2009-3-13 03:53
支持2 楼  建议查原发灶
作者: 草之原    时间: 2009-3-13 04:26
1.腰椎退行性变,腰4—5椎间盘膨出。
2.右侧骶骨侧块骨侵蚀,骶髂关节骨性关节面破坏,并见软组织肿块,考虑:脊索瘤,骨转移瘤可能,进一步检查。
作者: 黑白光影    时间: 2009-3-13 04:55
1)腰椎退行性变,l4—5椎间盘膨出。2)骶骨右侧块骨转移瘤可能,3)水平骶椎。建议作一步检查。
作者: xulianj    时间: 2009-3-13 05:23
1椎间盘膨隆;2腰椎退变;3右侧骶髂关节炎。
作者: zsl6918    时间: 2009-3-13 20:44
支持退变,转移征象不足。




欢迎光临 医影在线 (http://bbs.radida.com/bbs/) Powered by Discuz! X3.2