医影在线

标题: CT18634:M,45Y。胸痛,咳嗽伴痰中带血1月余。 [打印本页]

作者: 随光逐影    时间: 2009-3-12 23:27
标题: CT18634:M,45Y。胸痛,咳嗽伴痰中带血1月余。
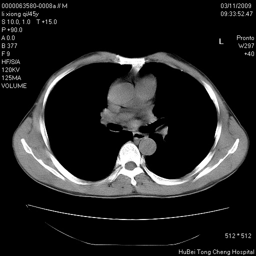
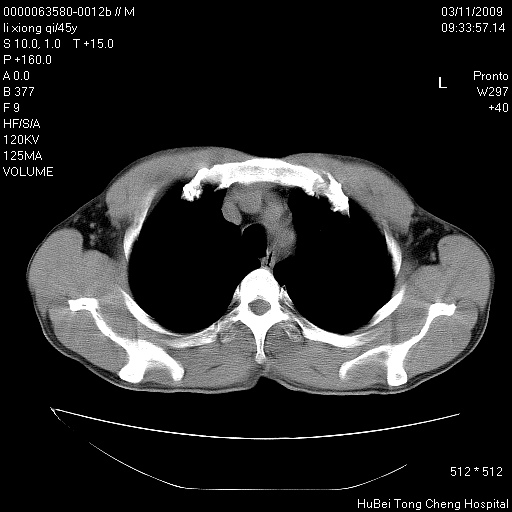
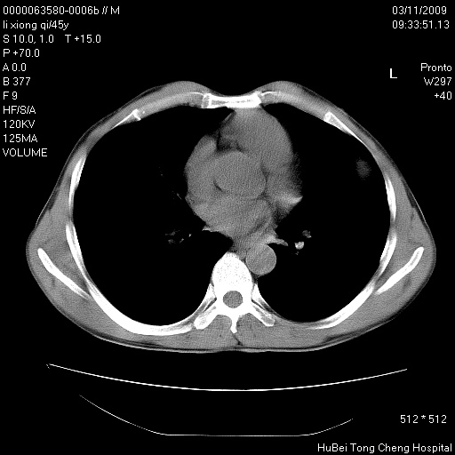
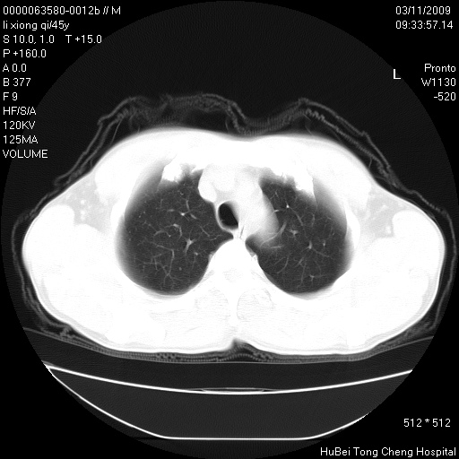
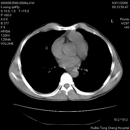
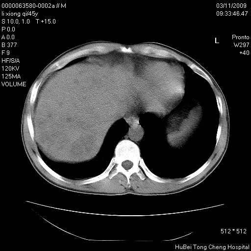
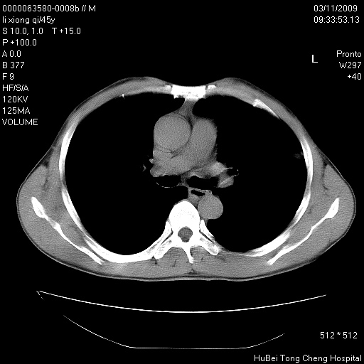
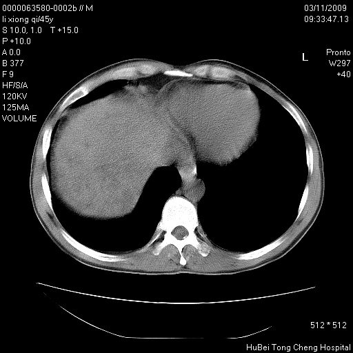
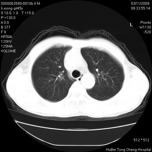
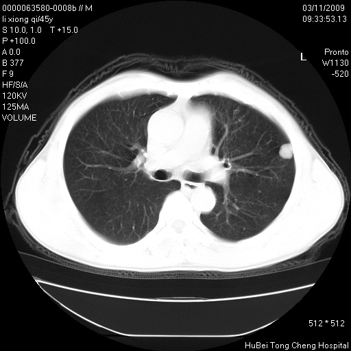
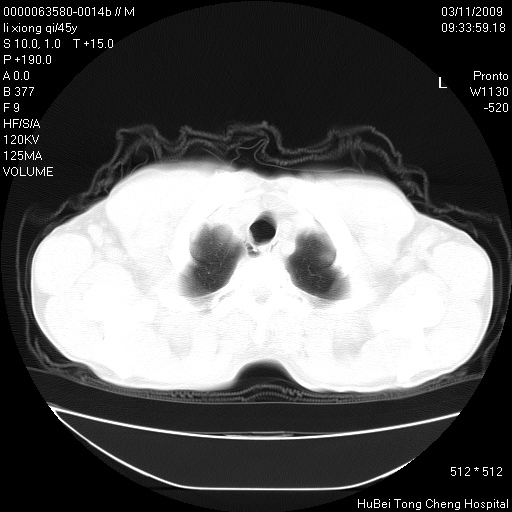
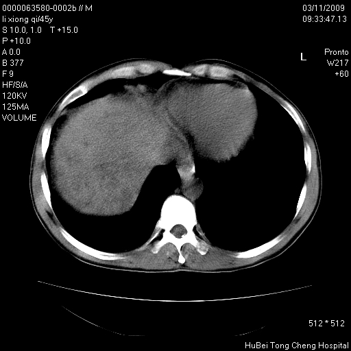
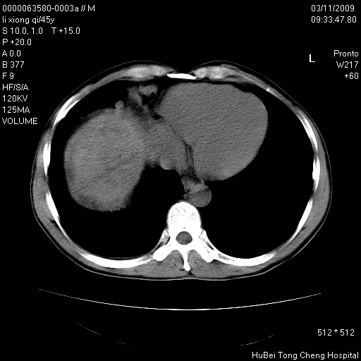
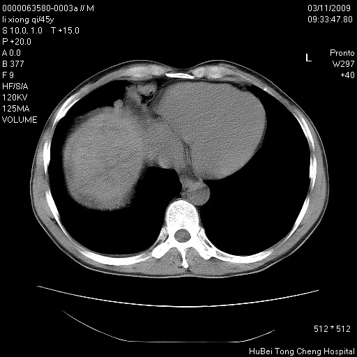
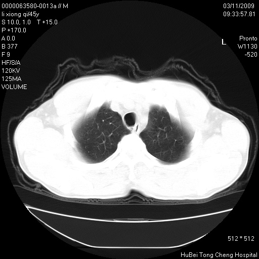
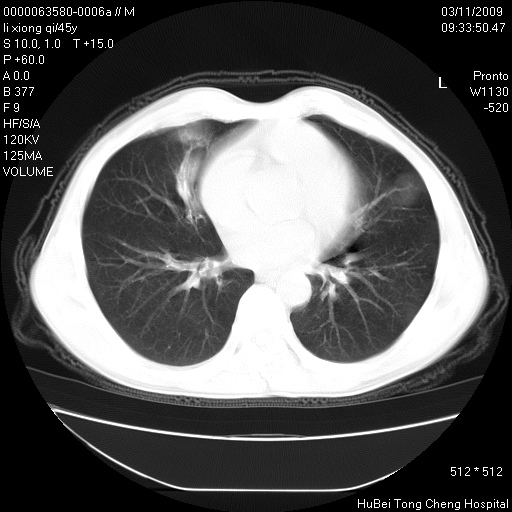
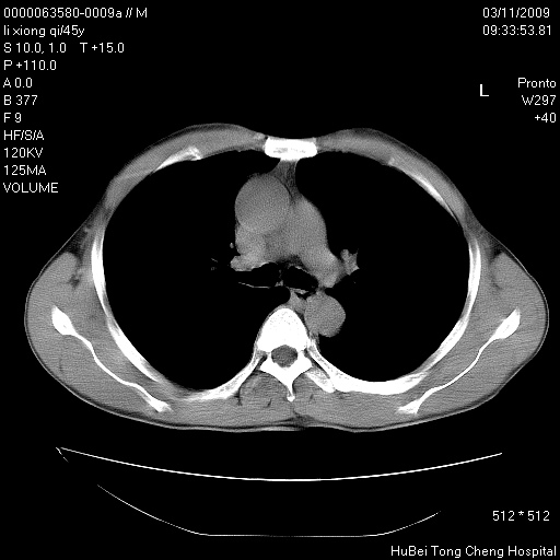
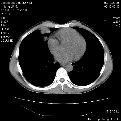
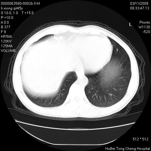
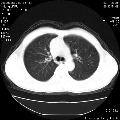
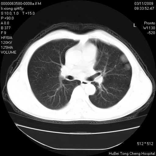
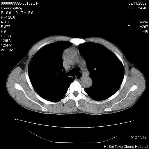
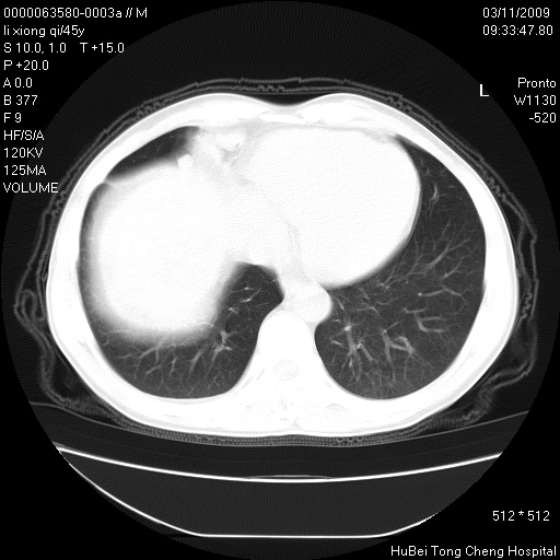
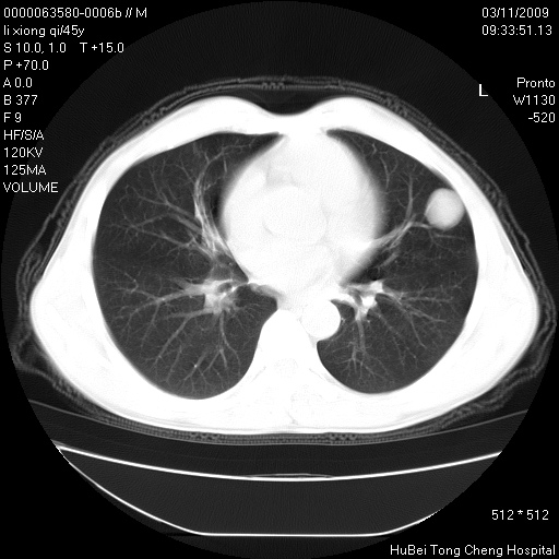
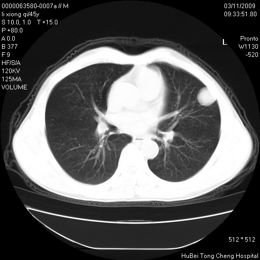
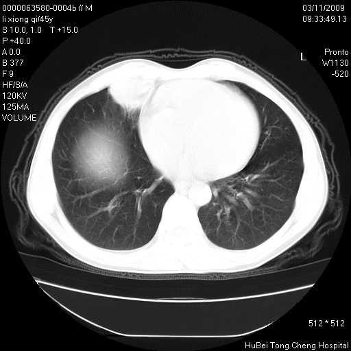
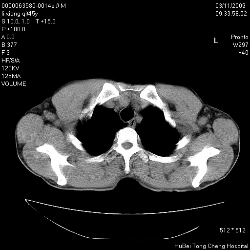
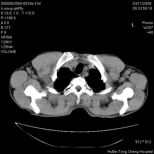
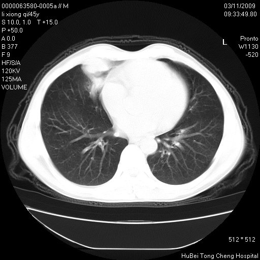
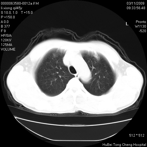
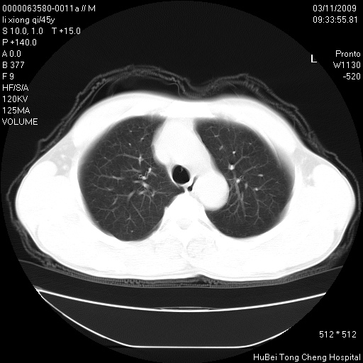
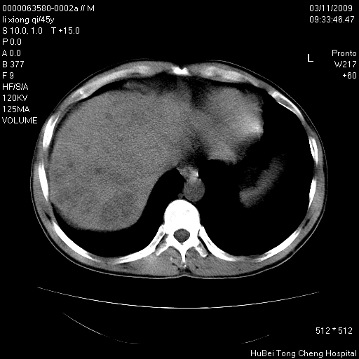
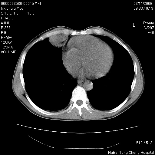
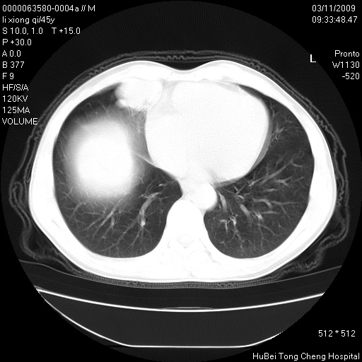
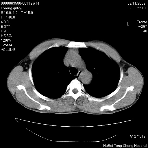
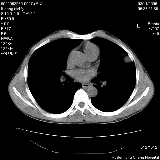
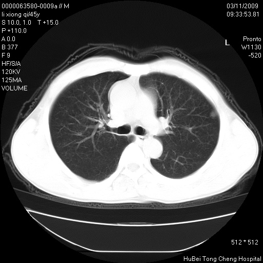
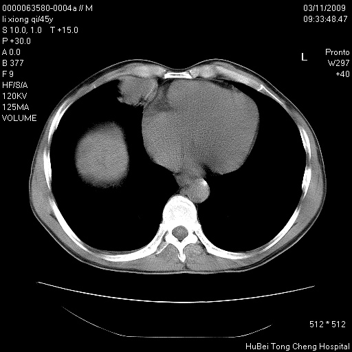
患者 男,45岁。胸痛,咳嗽伴痰中带血1月余。

临床诊断:肺结核?

胸部ct轴位平扫(层厚10mm,螺距1.5,重建间隔10mm),图像如下:
















































[本贴已被 jiajie 于 2009-3-12 18:34:36 修改过]

作者: yxltc    时间: 2009-3-12 23:33
考虑肝癌肺转移
作者: 平安是福    时间: 2009-3-12 23:39
考虑肝癌肺转移。
作者: zjgdzq    时间: 2009-3-12 23:49
肝癌肺转移
作者: 余辉    时间: 2009-3-13 00:12
支持
作者: dengkai    时间: 2009-3-13 00:14
考虑肝癌肺转移。
作者: aka502    时间: 2009-3-13 01:38
肝癌肺转移。
作者: 帅河马    时间: 2009-3-13 01:46
肝癌肺转移
作者: dsl555    时间: 2009-3-13 01:55
支持  考虑肝癌肺转移。
作者: liangshusheng    时间: 2009-3-13 02:21
考虑肝癌肺转移。
作者: 黄毛小子    时间: 2009-3-13 03:01
支持
作者: jianghui508    时间: 2009-3-13 03:48
考虑肝癌肺转移
作者: guo430726    时间: 2009-3-13 03:56
支持  考虑肝癌肺转移。
作者: wangyong1977    时间: 2009-3-13 03:59
肝癌肺转移
作者: GUDU医生    时间: 2009-3-13 04:36
支持肝癌肺转移
作者: 伍星    时间: 2009-3-13 04:40
支持。
作者: 黑白光影    时间: 2009-3-13 04:58
考虑肝癌肺转移,支持。
作者: xulianj    时间: 2009-3-13 05:28
支持
作者: 晓杰    时间: 2009-3-13 18:34
考虑肝癌肺转移。




欢迎光临 医影在线 (http://bbs.radida.com/bbs/) Powered by Discuz! X3.2