医影在线

标题: CT18636:F 44Y,头痛三个月,左侧肢体麻木一周。临床诊断, [打印本页]

作者: 平安是福    时间: 2009-3-12 23:53
标题: CT18636:F 44Y,头痛三个月,左侧肢体麻木一周。临床诊断,





















[本贴已被 jiajie 于 2009-3-12 18:36:13 修改过]

作者: 余辉    时间: 2009-3-13 00:08
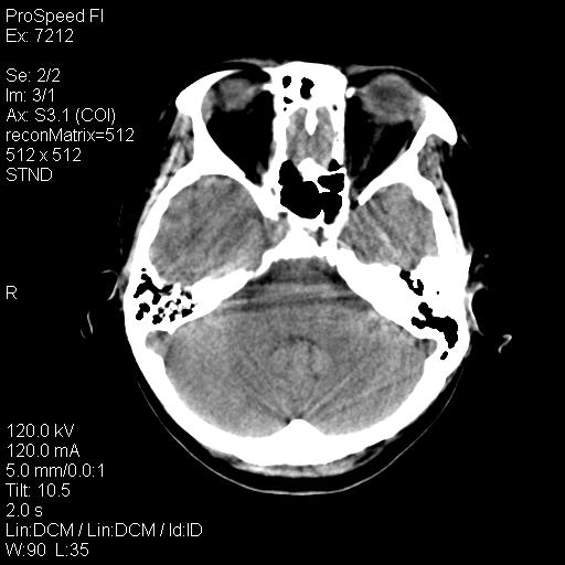
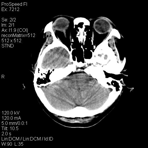
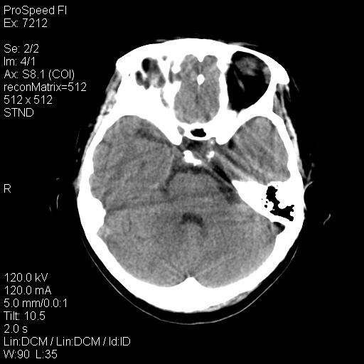
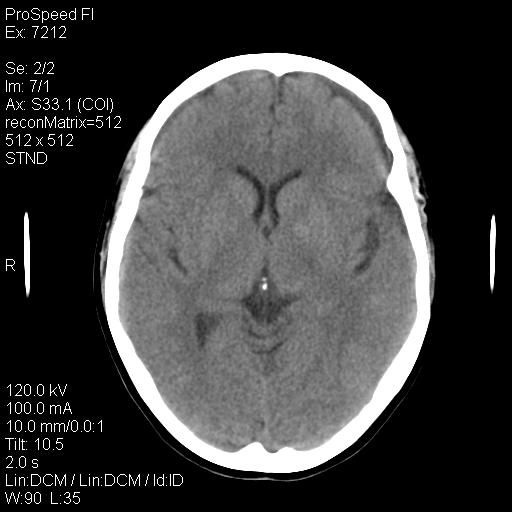
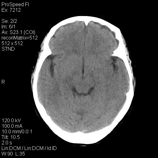
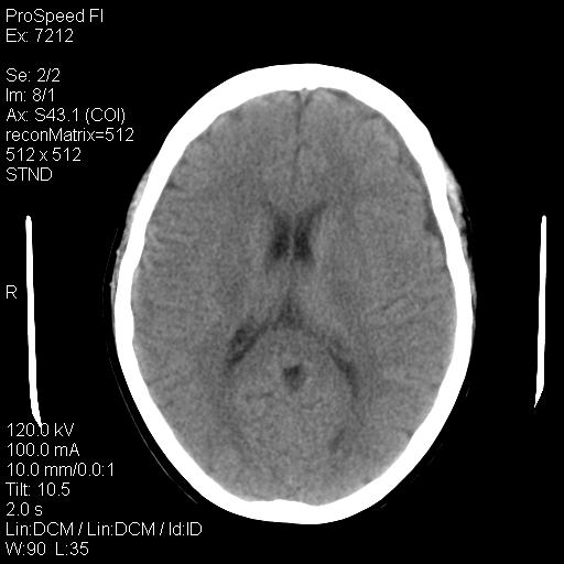
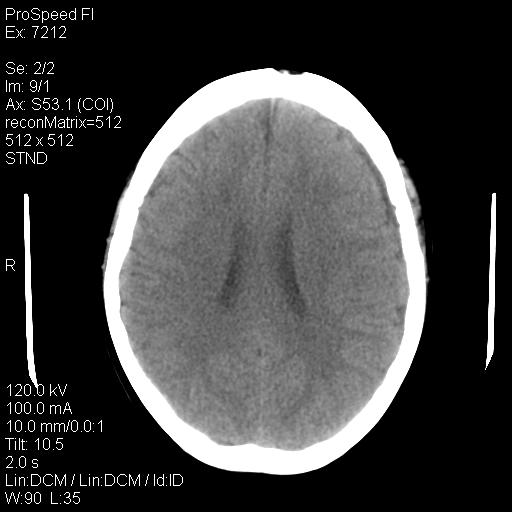
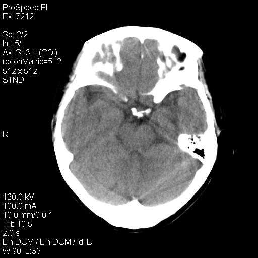
右额叶脑沟变浅,脑表面见新月形稍高密度影,考虑慢性硬膜下出血可能。
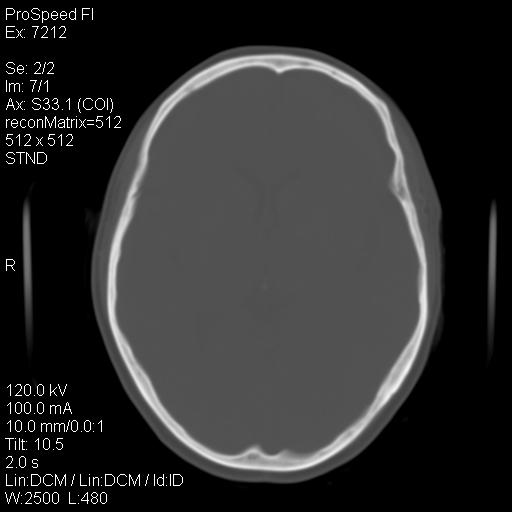
额顶骨多发穿凿样骨缺损区,不排除骨髓瘤等改变,进一步检查。
作者: dengkai    时间: 2009-3-13 00:19
右额叶脑沟变浅,脑表面见新月形稍高密度影,考虑慢性硬膜下出血可能。
额顶骨多发穿凿样骨缺损区,不排除骨髓瘤或嗜酸性肉牙肿等改变,进一步检查。
作者: jhz1218    时间: 2009-3-13 00:50
左侧额颞部慢性英模下血肿。
作者: 随光逐影    时间: 2009-3-13 01:06
1)考虑左侧额部慢性硬膜下血肿(或硬膜下积液)。2)颅骨骨髓瘤不排除;建议行进一步检查。
作者: 沉默是金    时间: 2009-3-13 01:09
考虑慢性硬膜下出血可能,建议查本周蛋白排除骨髓瘤
作者: 杀毒软件    时间: 2009-3-13 01:19
标题: 回复:f 44y,头痛三个月,左侧肢体麻木一周。临床诊断,
以下是引用随光逐影在2009-3-12 17:06:00的发言:[br]1)考虑左侧额部慢性硬膜下血肿(或硬膜下积液)。2)颅骨骨髓瘤不排除;建议行进一步检查。

支持
作者: aka502    时间: 2009-3-13 01:54
1)考虑左侧额颞部及右侧额部慢性硬膜下血肿(或硬膜下积液)。2)颅骨骨髓瘤不排除;建议行进一步检查。
作者: dsl555    时间: 2009-3-13 01:57
标题: 回复:f 44y,头痛三个月,左侧肢体麻木一周。临床诊断,
以下是引用沉默是金在2009-3-12 17:09:00的发言:[br]考虑慢性硬膜下出血可能,建议查本周蛋白排除骨髓瘤

作者: wangyong1977    时间: 2009-3-13 03:50
考虑慢性硬膜下出血可能,建议查本周蛋白排除骨髓瘤
作者: xulianj    时间: 2009-3-13 05:00
考虑左侧额部慢性硬膜下血肿(或硬膜下积液)。
作者: 黑白光影    时间: 2009-3-13 05:03
1)考虑左侧额部慢性硬膜下血肿(或硬膜下积液)。2)颅骨骨髓瘤不排除;建议行进一步检查。
作者: guanaishengming    时间: 2009-3-13 06:12
1)考虑左侧额部慢性硬膜下血肿(或硬膜下积液)。2)颅骨骨髓瘤不排除;建议行进一步检查。
作者: 影像孺子牛    时间: 2009-3-13 07:10
支持:
1)考虑左侧额部慢性硬膜下血肿(或硬膜下积液)。
2)颅骨骨髓瘤不排除;建议行进一步检查。
作者: 形影不离    时间: 2009-3-13 07:29
1)右侧半卵圆中心腔隙性脑梗塞。2)考虑左侧额部慢性硬膜下血肿(或硬膜下积液)。3)颅骨骨髓瘤不排除;建议行进一步检查。
作者: luanhai    时间: 2009-3-13 07:44
我顶一下我楼上吧
建议还需除外血液病或者转移瘤之类的
作者: xiaomeng    时间: 2009-3-13 08:07
腔梗
作者: xiaoniu684    时间: 2009-3-13 08:11
硬膜下出血和硬膜下积液有何区别谁能说说?
作者: zsl6918    时间: 2009-3-13 16:21
慢性硬膜下积液,颅骨改变建议结合本周氏蛋白及其他检查除外骨髓瘤 。
作者: 晓杰    时间: 2009-3-13 17:54
右额叶脑沟变浅,脑表面见新月形稍高密度影,考虑慢性硬膜下出血可能。
额顶骨多发穿凿样骨缺损区,不排除骨髓瘤等改变,进一步检查。




欢迎光临 医影在线 (http://bbs.radida.com/bbs/) Powered by Discuz! X3.2