医影在线

标题: CT18637:F,51Y。术前胸部X线检查发现:右上肺结节病灶。 [打印本页]

作者: 随光逐影    时间: 2009-3-13 00:14
标题: CT18637:F,51Y。术前胸部X线检查发现:右上肺结节病灶。
x5437:http://www.radida.com/bbs/forum.php?mod=viewthread&tid=50611

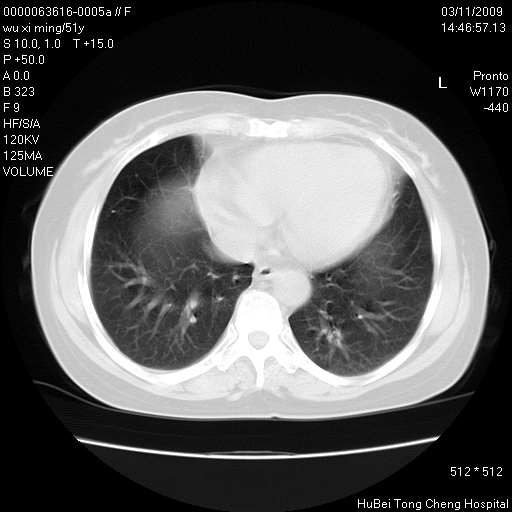
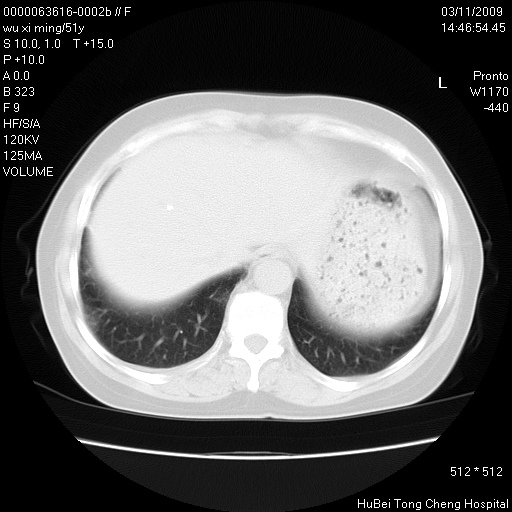
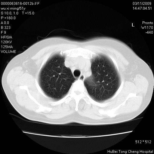
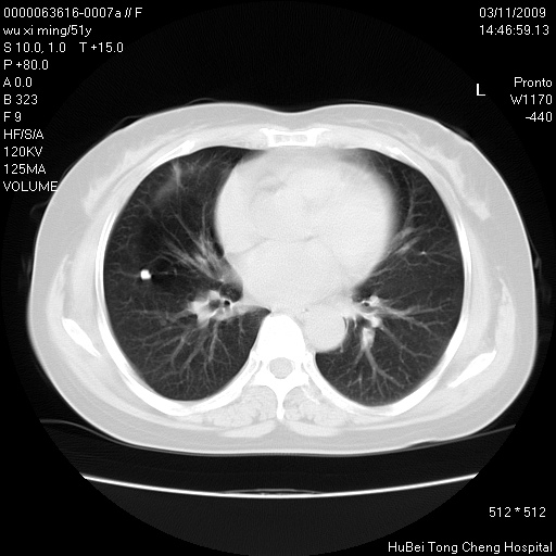
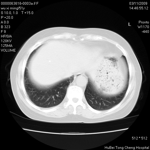
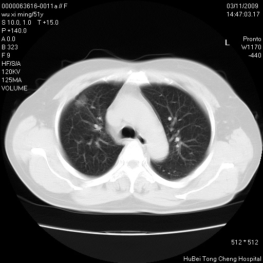
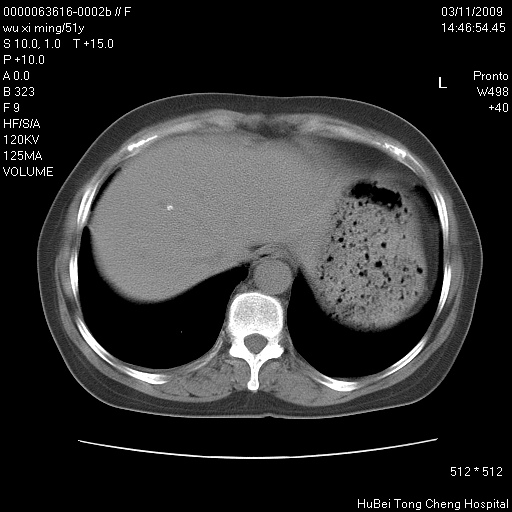
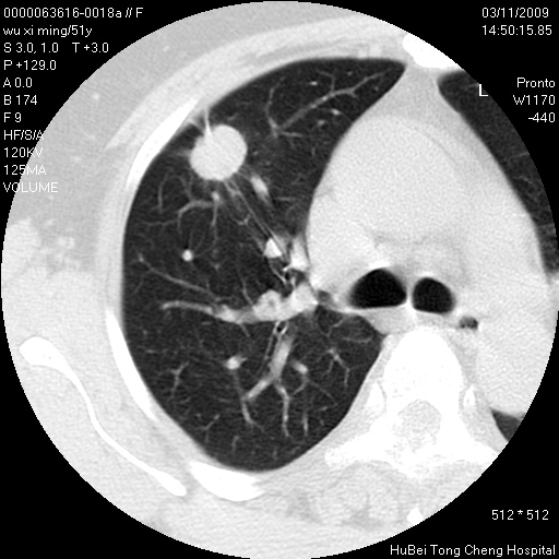
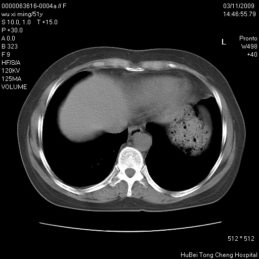
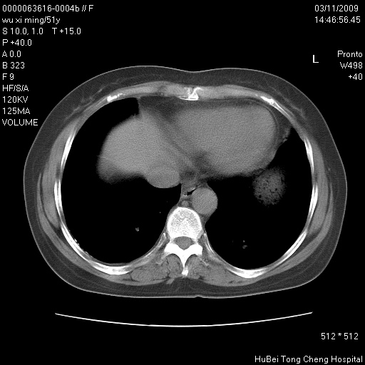
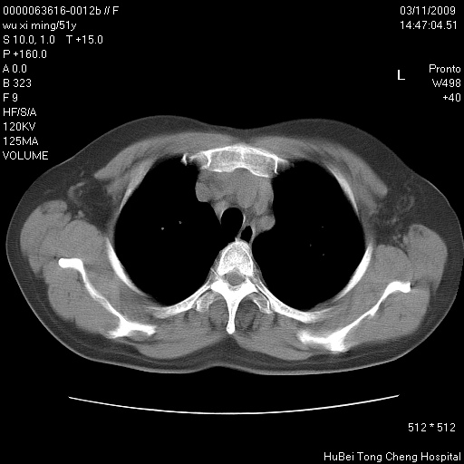
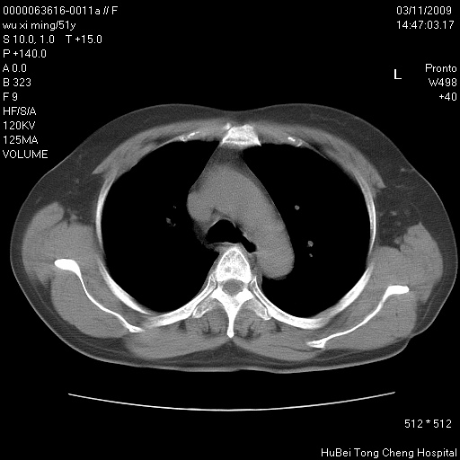
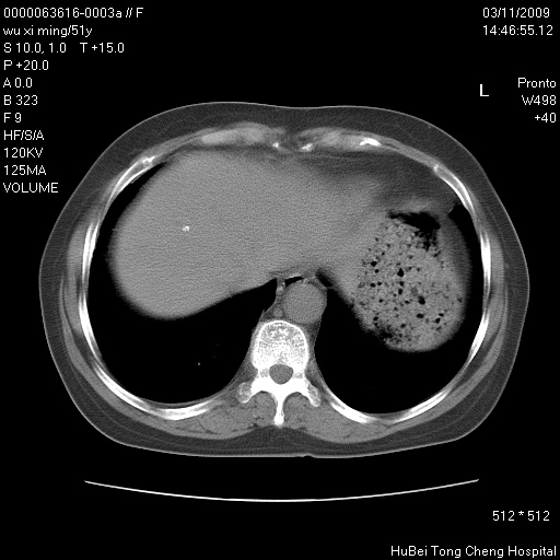
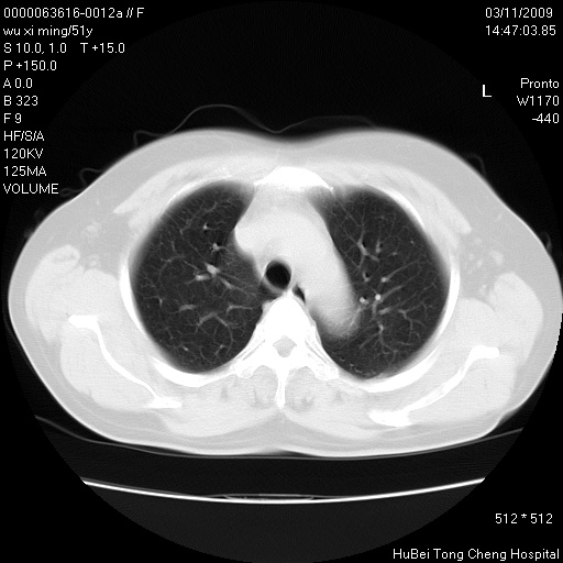
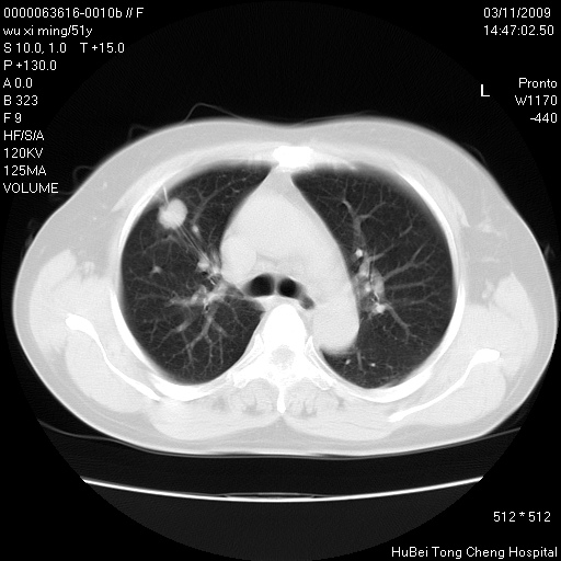
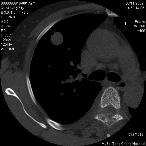
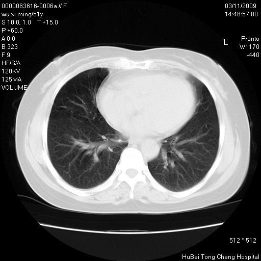
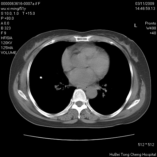
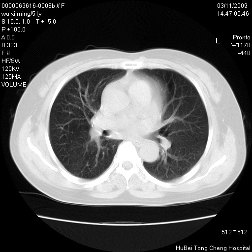
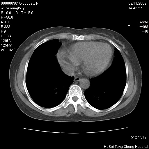
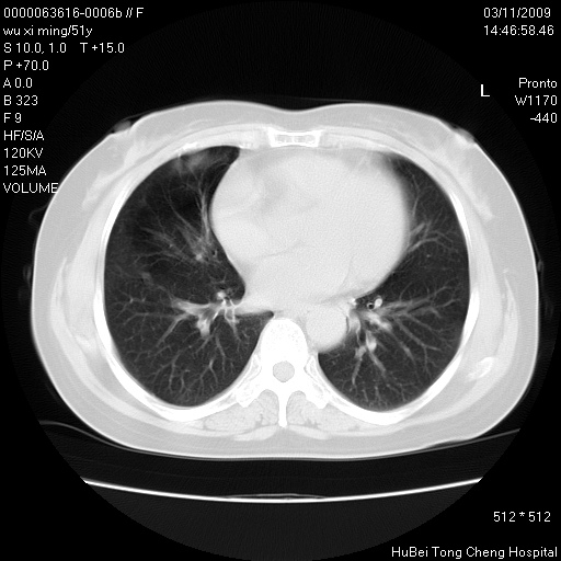
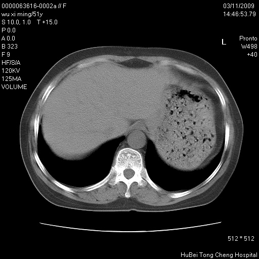
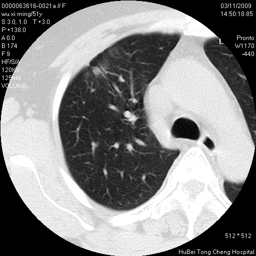
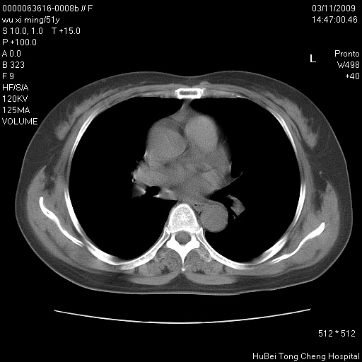
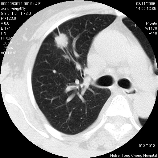
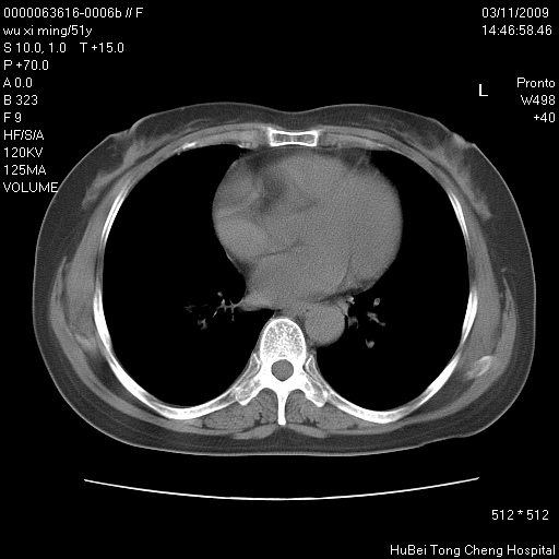
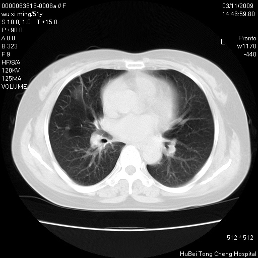
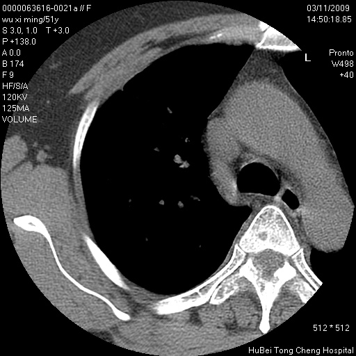
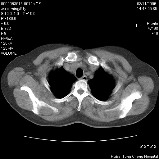
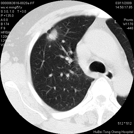
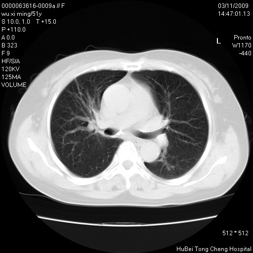
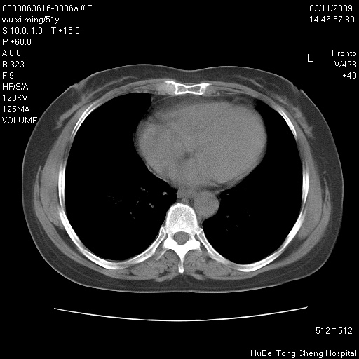
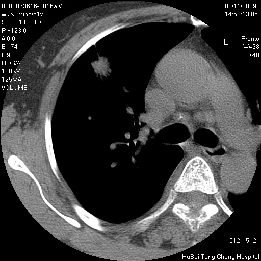
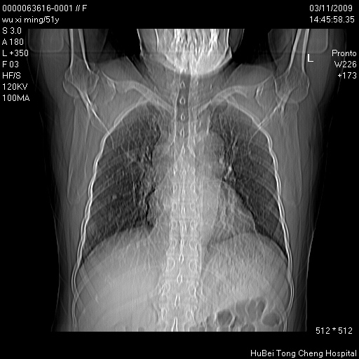
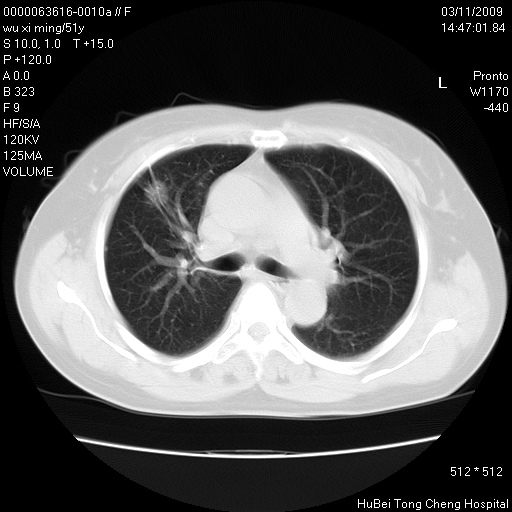
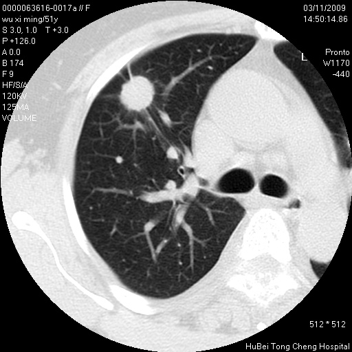
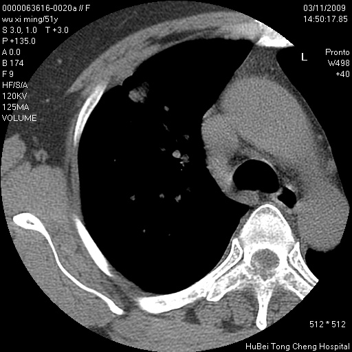
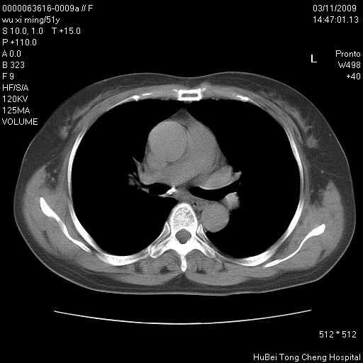
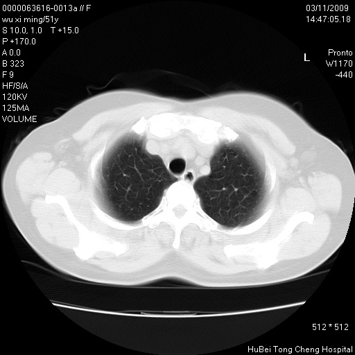
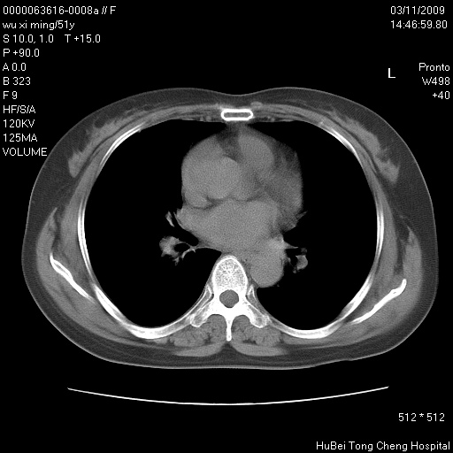
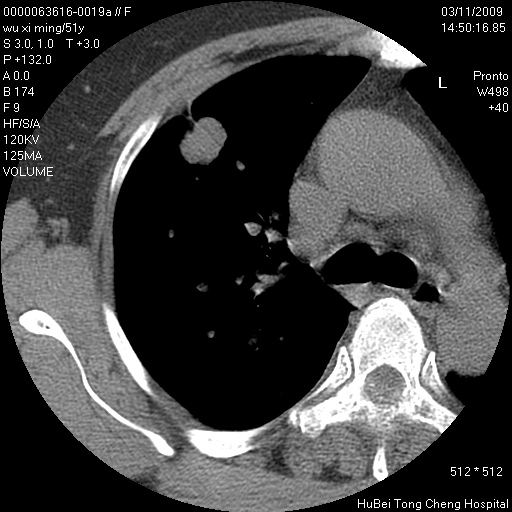
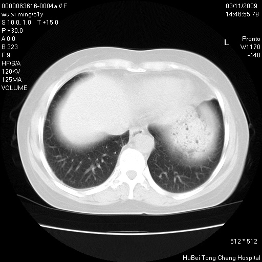
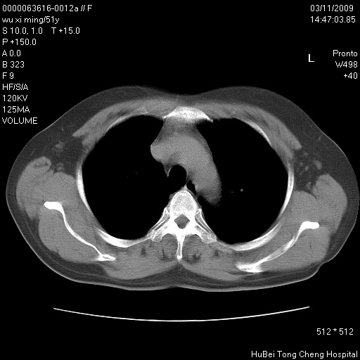
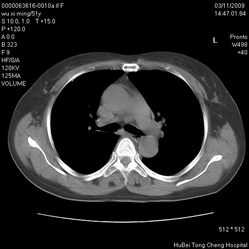
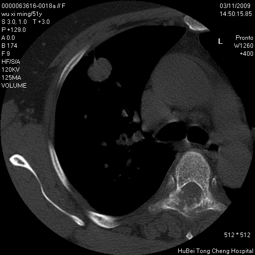
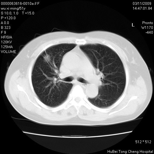
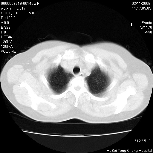
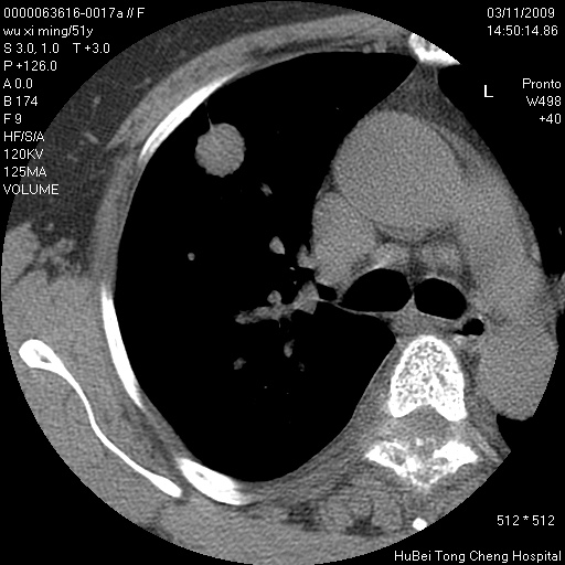
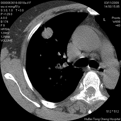
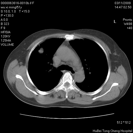
患者 女,51岁。因“胆囊炎,胆囊结石”,行常规术前胸部x线检查发现:右上肺结节病灶,建议行进一步检查。患者无咳嗽、咳痰及咯血等呼吸道症状,近期出现背部疼痛不适。

胸部ct轴位平扫(层厚10mm,螺距1.5,重建间隔10mm;部分层面:层厚3mm,螺距1.0,重建间隔3mm),图像如下:






























































[本贴已被 jiajie 于 2009-3-12 18:37:15 修改过]

作者: dengkai    时间: 2009-3-13 00:28
考虑右肺癌肺内转移!
作者: 余辉    时间: 2009-3-13 00:34
右肺周围型肺癌伴肺内转移信胸椎转移
作者: jhz1218    时间: 2009-3-13 00:48
1、周围型肺癌。(毛刺正、血管束集征,分叶。)
2、陈旧性结核球。
作者: 杀毒软件    时间: 2009-3-13 01:09
支持--右肺周围型肺癌---胸椎转移
作者: zgb5618    时间: 2009-3-13 01:29
周围性肺癌
作者: aka502    时间: 2009-3-13 02:00
标题: 回复:f,51y。术前胸部x线检查发现:右上肺结节病灶。
以下是引用余辉在2009-3-12 16:34:00的发言:[br]右肺周围型肺癌伴肺内转移信胸椎转移

作者: dsl555    时间: 2009-3-13 02:02
标题: 回复:f,51y。术前胸部x线检查发现:右上肺结节病灶。
以下是引用杀毒软件在2009-3-12 17:09:00的发言:[br]支持--右肺周围型肺癌---胸椎转移

作者: 黑白光影    时间: 2009-3-13 03:36
支持--右肺周围型肺癌---胸椎转移。
作者: zhg2005    时间: 2009-3-13 03:48
支持右上肺肺癌并胸椎转移
作者: LWZ    时间: 2009-3-13 04:16
集束征,胸膜牽拉征,毛刺,淺分葉高度提示ca.
作者: wangyong1977    时间: 2009-3-13 04:17
有周围性肺癌胸椎转移
作者: xulianj    时间: 2009-3-13 05:07
支持--右肺周围型肺癌---胸椎转移
作者: hexue    时间: 2009-3-13 05:35
支持--右肺周围型肺癌---胸椎转移。
作者: guanaishengming    时间: 2009-3-13 06:10
周围型肺癌。(
作者: zsl6918    时间: 2009-3-13 16:41
右肺周围型肺癌伴肺内转移及胸椎转移。已无手术机会。
作者: 晓杰    时间: 2009-3-13 17:42
支持--右肺周围型肺癌---胸椎转移。
作者: wxhjlw    时间: 2009-3-13 17:59
支持--右肺周围型肺癌---胸椎转移




欢迎光临 医影在线 (http://bbs.radida.com/bbs/) Powered by Discuz! X3.2