医影在线
标题: X5443:左胫骨上段破坏性改变 [打印本页]
作者: 王明发 时间: 2009-3-13 05:17
标题: X5443:左胫骨上段破坏性改变
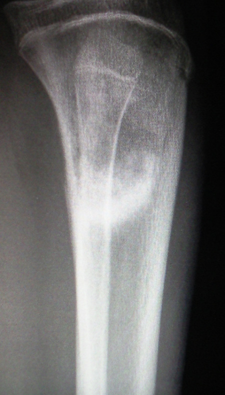
男18m岁,左下肢肿痛四天,体检左下肢肿胀,皮温高,压痛


[emb10]
[本贴已被 jiajie 于 2009-3-13 7:06:39 修改过]
作者: 子期 时间: 2009-3-13 05:20
骨髓炎?
作者: 黑白光影 时间: 2009-3-13 05:26
标题: 回复:左胫骨上段破坏性改变
以下是引用王明发在2009-3-12 21:17:00的发言:[br]男18m岁,左上肢肿痛四天,体检左上肢肿胀,皮温高,压痛
楼主把上下弄混了。
作者: 王明发 时间: 2009-3-13 05:30
标题: 回复:左胫骨上段破坏性改变
以下是引用黑白光影在2009-3-12 21:26:00的发言:[br][quote]以下是引用王明发在2009-3-12 21:17:00的发言:[br]男18m岁,左上肢肿痛四天,体检左上肢肿胀,皮温高,压痛
[br]楼主把上下弄混了。[/quote]
不好意思
作者: 伍星 时间: 2009-3-13 06:11
骨髓瘤不排除。
作者: PANPAN 时间: 2009-3-13 06:13
外缘层状骨膜反应,内缘可见骨质破坏,首先考虑急性化脓性骨髓炎
作者: guanaishengming 时间: 2009-3-13 06:14
考虑骨肉瘤
作者: wangyong1977 时间: 2009-3-13 06:33
考虑骨肉瘤
作者: ○┢┦aΡ 时间: 2009-3-13 07:04
我觉得是急性化脓性骨髓炎~
作者: 笑笑天 时间: 2009-3-13 08:36
发贴者分析影像可能是不太负责任,只发骨头,没有一个完整包括软组织的图片.
本人提出将胫骨上段疲劳骨折放在首位的诊断.
作者: luoyanmin 时间: 2009-3-13 14:34
尤文氏瘤?疲劳骨折?
作者: 姜晓辉 时间: 2009-3-13 16:08
首先考虑急性化脓性骨髓炎
作者: 随光逐影 时间: 2009-3-13 16:35
考虑左胫骨上段成骨肉瘤。
作者: 医盲 时间: 2009-3-13 17:48
骨皮质破坏,且见斑状密度增高影。考虑急性骨髓炎。
作者: 余辉 时间: 2009-3-13 18:09
男18m岁,左下肢肿痛四天,体检左下肢肿胀,皮温高,压痛
患者临床病史较短,面骨质改变较明显,显然不符合急性骨髓炎改变。
内侧骨皮质呈明显的破坏征像,不像慢性骨折修复,显然不是彼劳骨折。
骨质破坏,硬化,骨膜反应,患者年龄符合骨肉瘤发病年龄,因此可以考虑,但要排除慢性骨髓炎。
因此本病鉴别在于病史,进一步询问病史,如无确切骨髓炎症史及相应症状等,多考虑骨肉瘤
作者: xizhong 时间: 2009-3-13 18:22
首先考虑急性化脓性骨髓炎。
作者: songyi 时间: 2009-3-13 18:39
支持 男18m岁,左下肢肿痛四天,体检左下肢肿胀,皮温高,压痛
患者临床病史较短,面骨质改变较明显,显然不符合急性骨髓炎改变。
内侧骨皮质呈明显的破坏征像,不像慢性骨折修复,显然不是彼劳骨折。
骨质破坏,硬化,骨膜反应,患者年龄符合骨肉瘤发病年龄,因此可以考虑,但要排除慢性骨髓炎。
因此本病鉴别在于病史,进一步询问病史,如无确切骨髓炎症史及相应症状等,多考虑骨肉瘤
作者: xly 时间: 2009-3-13 19:31
典型混合型骨肉瘤表现。
作者: SOS.LA 时间: 2009-3-13 20:14
左胫骨上段成骨肉瘤.
作者: jiangjing 时间: 2009-3-13 23:28
请发完整的图像
胫骨上段疲劳骨折可能性大
作者: zsl6918 时间: 2009-3-14 00:34
建议ct检查,高度提示肿瘤
作者: 随影如流 时间: 2009-3-14 00:38
考虑骨肉瘤
作者: 杀毒软件 时间: 2009-3-14 01:54
考虑左胫骨上段成骨肉瘤
作者: cxc1971101 时间: 2009-3-14 02:10
支持骨肉瘤。有以下证据:1. 年龄 18岁 (好发年龄10-25岁,20岁左右占3/4) 2. 临床符合 --疼痛和肿胀为常见的表现。局部压痛、皮温升高。3.影像表现符合---较有特征性的改变为骨质增生、以肿瘤性新骨形成为其特点。
作者: qsbaomingcheng 时间: 2009-3-14 03:19
考虑左胫骨上段成骨肉瘤
作者: 宋定川 时间: 2009-3-14 04:10
学习
作者: 拾荒者 时间: 2009-3-14 05:10
标题: 回复:x5443:左胫骨上段破坏性改变
以下是引用余辉在2009-3-13 10:09:00的发言:[br]男18m岁,左下肢肿痛四天,体检左下肢肿胀,皮温高,压痛[br]患者临床病史较短,而骨质改变较明显,显然不符合急性骨髓炎改变。[br]内侧骨皮质呈明显的破坏征像,不像慢性骨折修复,显然不是彼劳骨折。[br]骨质破坏,硬化,骨膜反应,患者年龄符合骨肉瘤发病年龄,因此可以考虑,但要排除慢性骨髓炎。[br]因此本病鉴别在于病史,进一步询问病史,如无确切骨髓炎症史及相应症状等,多考虑骨肉瘤
支持版主分析,首先考虑混合型骨肉瘤。
作者: dengkai 时间: 2009-3-14 05:29
考虑: 左胫骨上段成骨肉瘤.
作者: mg42mp44 时间: 2009-3-14 06:03
支持成骨肉瘤诊断.
作者: china 时间: 2009-3-14 06:50
骨肉瘤
作者: 寻芳者 时间: 2009-3-14 07:04
可以考虑骨肉瘤
作者: wanchuanyi1982 时间: 2009-3-14 08:13
骨肉瘤?尤文?
作者: 王仕学 时间: 2009-3-14 17:37
考虑左胫骨上段成骨肉瘤
作者: 泪洒红尘 时间: 2009-3-14 19:07
标题: 回复:x5443:左胫骨上段破坏性改变
以下是引用余辉在2009-3-13 10:09:00的发言:[br]男18m岁,左下肢肿痛四天,体检左下肢肿胀,皮温高,压痛[br]患者临床病史较短,面骨质改变较明显,显然不符合急性骨髓炎改变。[br]内侧骨皮质呈明显的破坏征像,不像慢性骨折修复,显然不是彼劳骨折。[br]骨质破坏,硬化,骨膜反应,患者年龄符合骨肉瘤发病年龄,因此可以考虑,但要排除慢性骨髓炎。[br]因此本病鉴别在于病史,进一步询问病史,如无确切骨髓炎症史及相应症状等,多考虑骨肉瘤
“显然不符合急性骨髓炎改变”????开天大的玩笑!!!!起病较急,红、肿、热、痛,可有病理性骨折;这些都是急性化脓性骨髓炎的典型临床表现!!!应该说存在着“各花入各眼”的不同看法。这是大家认为不同病变的同一种x线表现而已。
作者: jinguoji 时间: 2009-3-14 22:05
考虑左胫骨上段成骨肉瘤。
作者: 余辉 时间: 2009-3-14 22:11
标题: 11111111
发错了
[本贴已被 余辉 于 2009-3-14 21:19:57 修改过]
作者: 柯雷 时间: 2009-3-14 22:34
我不支持疲劳性骨折
作者: 程思致 时间: 2009-3-14 23:16
胫骨疲劳骨折?
作者: dyqct 时间: 2009-3-15 01:06
考虑左胫骨上段成骨肉瘤。
作者: kaisar 时间: 2009-3-15 01:58
支持 男18m岁,左下肢肿痛四天,体检左下肢肿胀,皮温高,压痛
患者临床病史较短,面骨质改变较明显,显然不符合急性骨髓炎改变。
内侧骨皮质呈明显的破坏征像,不像慢性骨折修复,显然不是彼劳骨折。
骨质破坏,硬化,骨膜反应,患者年龄符合骨肉瘤发病年龄,因此可以考虑,但要排除慢性骨髓炎。
因此本病鉴别在于病史,进一步询问病史,如无确切骨髓炎症史及相应症状等,多考虑骨肉瘤
作者: 医盲 时间: 2009-3-15 02:31
期待结果!
作者: 泪洒红尘 时间: 2009-3-15 03:16
标题: 回复:x5443:左胫骨上段破坏性改变
以下是引用余辉在2009-3-14 14:11:00的发言:[br]看来34楼没有明白我的意思,当然,症状可以用急性骨髓炎来解释,但是你能把症状和x线征像合起来吗,患者症太出现才4天,但骨质改变如此明显,你觉得可能吗,影像诊断没有临床是不成事,但是话说回来,临床表现何尝也不是异病同征呢,就算合并病理骨折,出现这么明显的\"骨痂\"至少也要一个月以上的时间.我说了要结合病史,楼主提出的病史结合影像表现不能支持急性骨髓炎,如果您还要首先考虑急性骨髓炎,那就只能说虽然您重视临床,但您的临床思维方法有问题了[br]还有,我誓死捍卫您说话的权利,但个人认为您应该注意您说话的方式,做事可以高调,但做人有时候低调点好[br]对不起,今天心情不好[br][br][本贴已被 余辉 于 2009-3-14 14:13:26 修改过]
哈哈哈,“个人认为您应该注意您说话的方式,做事可以高调,但做人有时候低调点好”。难道我的说话方式也有得罪你的意思,天呀,就是现在事后回顾,我真的还看不出自己说了那句话让你敢到不爽。我只是强调了各人有各人的看法。我觉得影像这东西本身就是要结合起临床来考虑的啦。离开了临床,一切影像的诊断也无从谈起(个人认为)。再者,我觉得所有来这里讨论病例的网友,都是为了针对病例而言的,而绝非针对某一个人而言(这是所谓的对事不对人)。我不否认你水平高,有经验,见多识广。但就一个病例讨论,也硬要将做人的方式拉下来说吗?哈哈,连别人抗议一下你的诊断也不让?(那怕别人说的是错的,你再提出论证,不是更让人心悦诚服吗?有必要用你现在的说话口吻吗)说真的,我现在倒觉得你为人有点小肚量。无论怎么样也好啦,我在此向你说声sorry(在医影在线里,我无意得罪谁,也不想得罪谁,不是因为我怕得罪谁,而是我觉得大家都是为了学习而来,无论你水平高低也罢,总没必要把关系搞得这么疆)。请指教我那说错话啦,让我以后好注意自己的言词。别再得罪人了也不知。谢谢。
[本贴已被 泪洒红尘 于 2009-3-14 20:02:57 修改过]
作者: 余辉 时间: 2009-3-15 05:15
标题: 回复:x5443:左胫骨上段破坏性改变
以下是引用泪洒红尘在2009-3-14 19:16:00的发言:[br][quote]以下是引用余辉在2009-3-14 14:11:00的发言:[br]看来34楼没有明白我的意思,当然,症状可以用急性骨髓炎来解释,但是你能把症状和x线征像合起来吗,患者症太出现才4天,但骨质改变如此明显,你觉得可能吗,影像诊断没有临床是不成事,但是话说回来,临床表现何尝也不是异病同征呢,就算合并病理骨折,出现这么明显的\"骨痂\"至少也要一个月以上的时间.我说了要结合病史,楼主提出的病史结合影像表现不能支持急性骨髓炎,如果您还要首先考虑急性骨髓炎,那就只能说虽然您重视临床,但您的临床思维方法有问题了[br]还有,我誓死捍卫您说话的权利,但个人认为您应该注意您说话的方式,做事可以高调,但做人有时候低调点好[br]对不起,今天心情不好[br][br][本贴已被 余辉 于 2009-3-14 14:13:26 修改过]
[br]哈哈哈,“个人认为您应该注意您说话的方式,做事可以高调,但做人有时候低调点好”。难道我的说话方式也有得罪你的意思,天呀,就是现在事后回顾,我真的还看不出自己说了那句话让你敢到不爽。我只是强调了各人有各人的看法。我觉得影像这东西本身就是要结合起临床来考虑的啦。离开了临床,一切影像的诊断也无从谈起(个人认为)。再者,我觉得所有来这里讨论病例的网友,都是为了针对病例而言的,而绝非针对某一个人而言(这是所谓的对事不对人)。我不否认你水平高,有经验,见多识广。但就一个病例讨论,也硬要将做人的方式拉下来说吗?哈哈,连别人抗议一下你的诊断也不让?(那怕别人说的是错的,你再提出论证,不是更让人心悦诚服吗?有必要用你现在的说话口吻吗)说真的,我现在倒觉得你为人有点小肚量。无论怎么样也好啦,我在此向你说声sorry(在医影在线里,我无意得罪谁,也不想得罪谁,不是因为我怕得罪谁,而是我觉得大家都是为了学习而来,无论你水平高低也罢,总没必要把关系搞得这么疆)。请指教我那说错话啦,让我以后好注意自己的言词。别再得罪人了也不知。谢谢。[br][br][br][br][本贴已被 泪洒红尘 于 2009-3-14 20:02:57 修改过]
[/quote]
嘿嘿对不起,今天只有一个人上班,还要干三个科室的活,太忙了,还因为让病人等得太久了和病人起了冲突,同时又被院长k,心里憋着一肚子火没地方撒,正好碰上了,对不起了,请恕小弟无理,还望您海涵
[本贴已被 余辉 于 2009-3-14 21:17:54 修改过]
作者: zhanggenliang 时间: 2009-3-15 05:41
支持骨肉瘤
作者: 513ytb 时间: 2009-6-26 15:58
外缘层状骨膜反应,内缘可见骨质破坏,首先考虑急性化脓性骨髓炎,骨肉瘤?
作者: shibing 时间: 2014-7-14 14:47
考虑骨肉瘤
| 欢迎光临 医影在线 (http://bbs.radida.com/bbs/) |
Powered by Discuz! X3.2 |