医影在线

标题: CT18642:男,81岁,发热待查。 [打印本页]

作者: zhw974247    时间: 2009-3-13 05:26
标题: CT18642:男,81岁,发热待查。
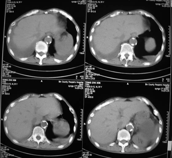
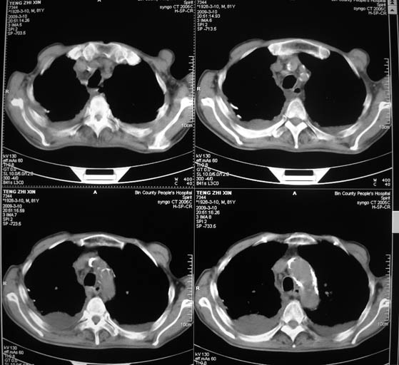
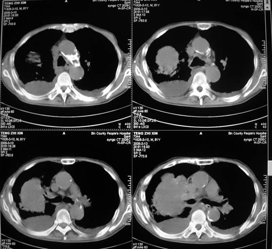
男,81岁,发热待查,右侧是占位还是膈疝?













作者: 伍星    时间: 2009-3-13 05:35
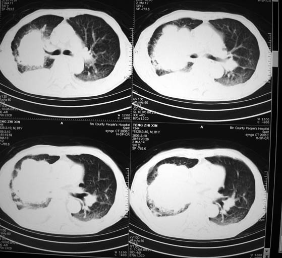
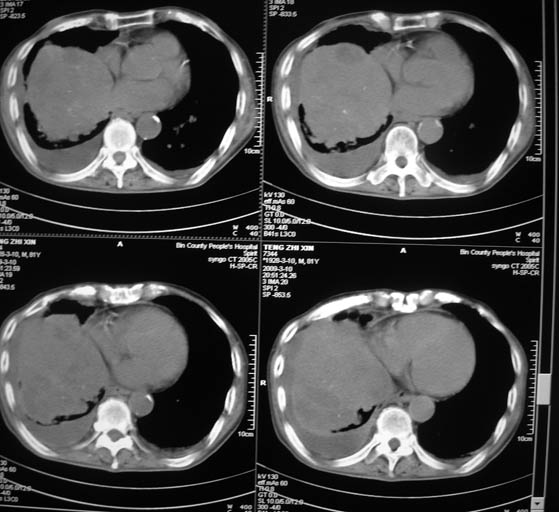
右肺中央型肺癌并胸水。
作者: guanaishengming    时间: 2009-3-13 05:56
右肺中央型肺癌并胸水
作者: huangxinghai    时间: 2009-3-13 06:10
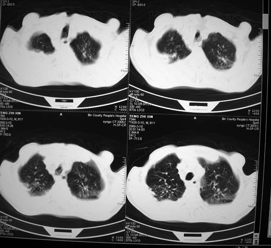
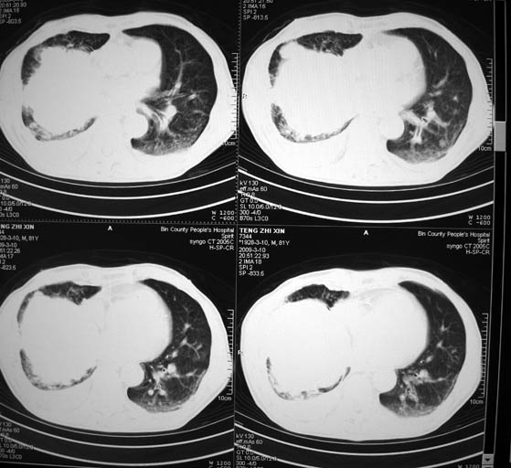
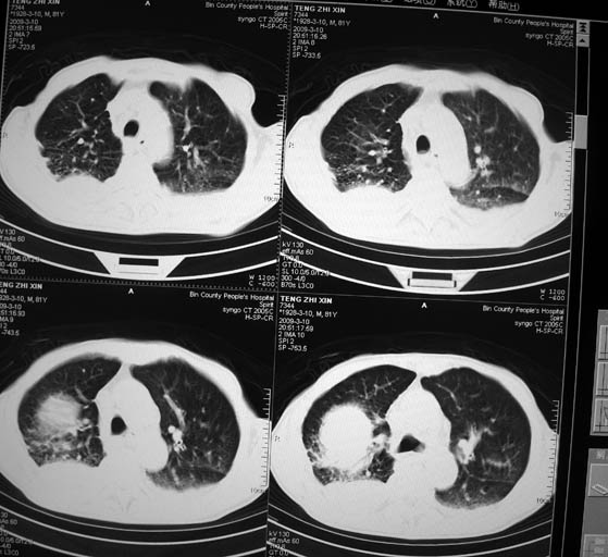
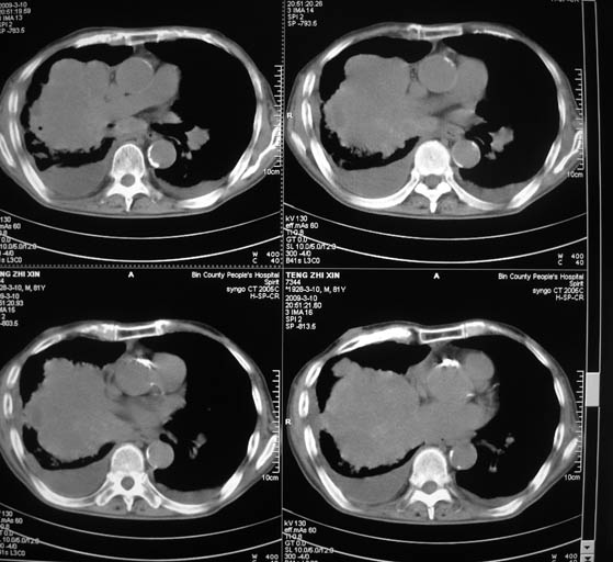
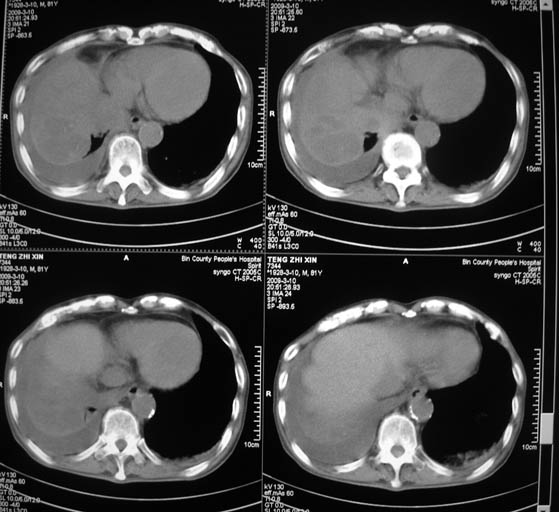
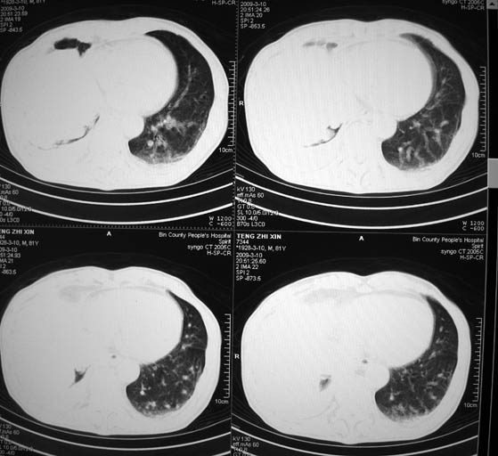
右肺中央型肺癌并两侧胸水,左肺转移,腹水
作者: wangyong1977    时间: 2009-3-13 06:37
右肺占位
作者: 随光逐影    时间: 2009-3-13 16:07
1)考虑右肺下叶中央型肺癌并左肺转移。2)两肺上叶结核(陈旧性)。3)双侧胸腔积液。4)腹水。
作者: zsl6918    时间: 2009-3-13 16:10
右肺癌并双肺及胸膜转移。
作者: xizhong    时间: 2009-3-13 16:29
右肺ca并肺对肺、胸膜转移。
作者: 深泽交通    时间: 2009-3-13 18:16
标题: 回复:ct18642:男,81岁,发热待查。
以下是引用伍星在2009-3-12 21:35:00的发言:[br]右肺中央型肺癌并胸水。

作者: 晓杰    时间: 2009-3-13 18:18
右中央型肺癌并双肺及胸膜、肝脏转移
作者: 余辉    时间: 2009-3-13 18:22
支持,肿块巨大,内有钙化\\坏死,肺肉瘤要考虑
作者: 卜一    时间: 2009-3-13 18:43
右中心型肺癌并双肺及胸膜、肝脏转移!
作者: songyi    时间: 2009-3-13 18:58
右肺癌并双肺及胸膜转移
作者: 影像之路    时间: 2009-3-13 19:22
很明显的排除膈疝。考虑右肺中央型肺癌,建议增强。胸腔恶性胸水。
作者: 缘    时间: 2009-3-13 21:03
标题: 回复:ct18642:男,81岁,发热待查。
考虑右侧中央型肺癌、双侧胸水,必要时做个增强看看
作者: guo430726    时间: 2009-3-13 21:43
右肺中心型肺癌,胸、腹水
作者: 黑白光影    时间: 2009-3-13 23:14
1)考虑右肺下叶中央型肺癌并左肺转移。2)两肺上叶结核(陈旧性)。3)双侧胸腔积液。4)腹水。
作者: xulianj    时间: 2009-3-14 03:36
右中央型肺癌并双肺及胸膜转移




欢迎光临 医影在线 (http://bbs.radida.com/bbs/) Powered by Discuz! X3.2