医影在线

标题: CT18643B:请大家会诊!难难难 [打印本页]

作者: 火山    时间: 2009-3-13 05:39
标题: CT18643B:请大家会诊!难难难
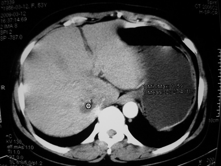
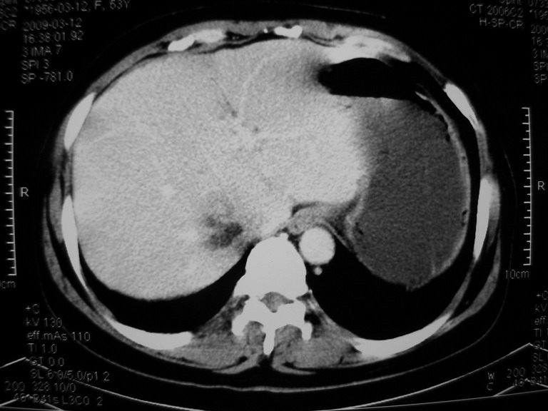
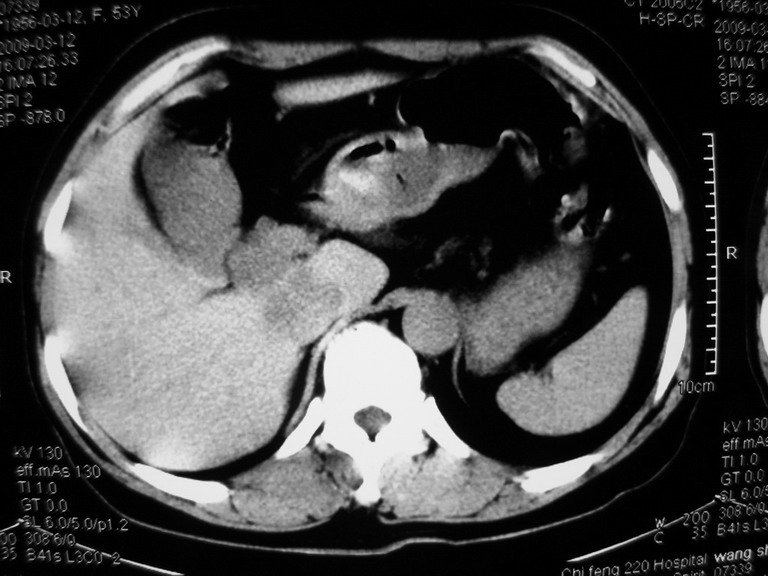
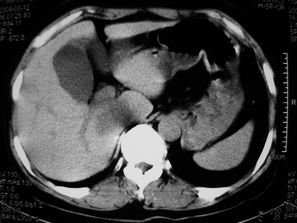
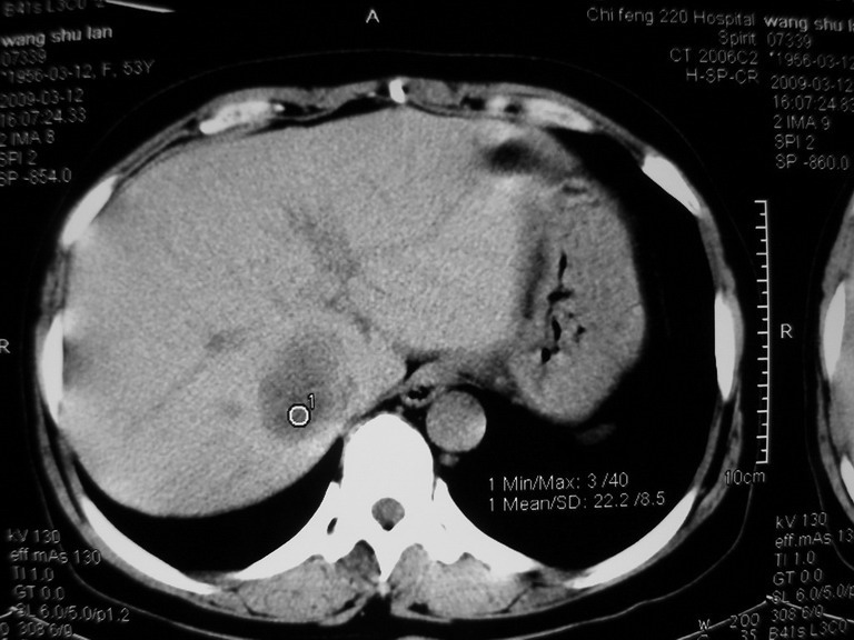
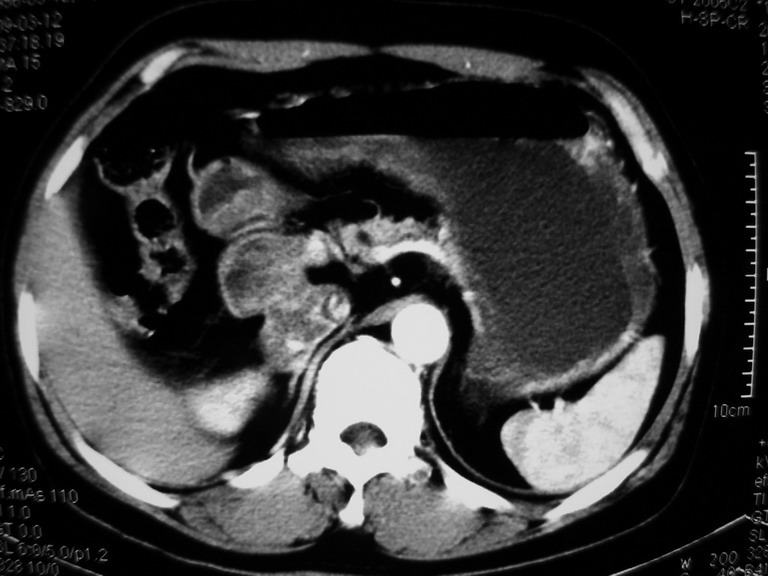
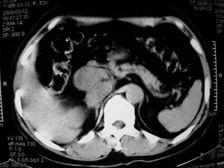
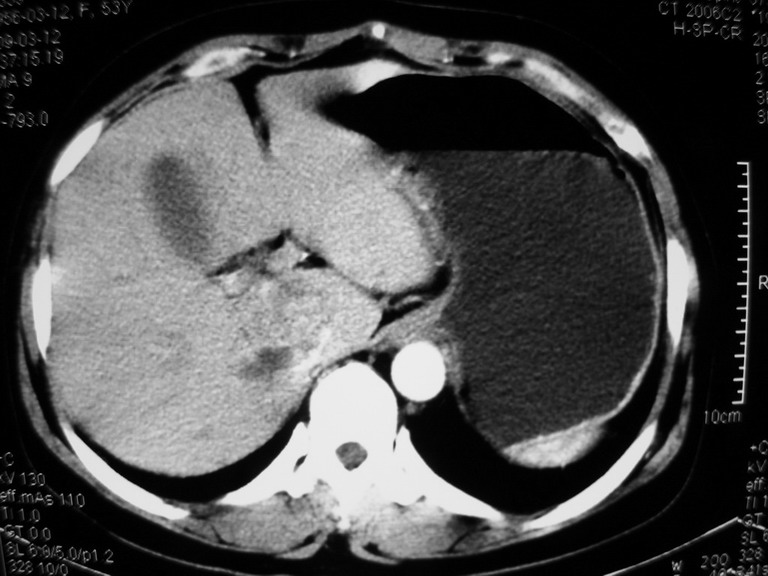
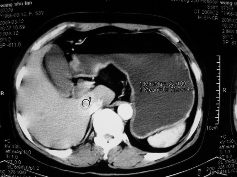
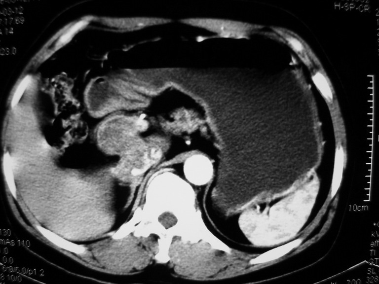
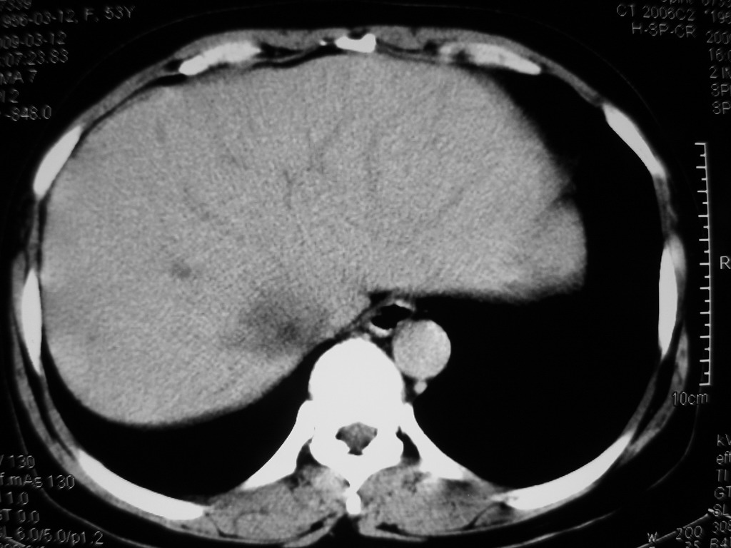
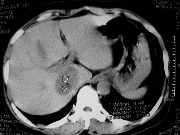
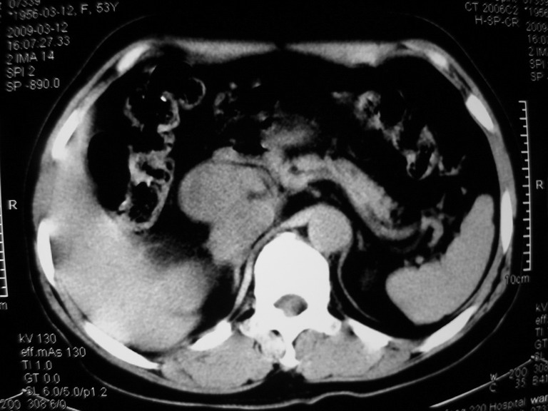
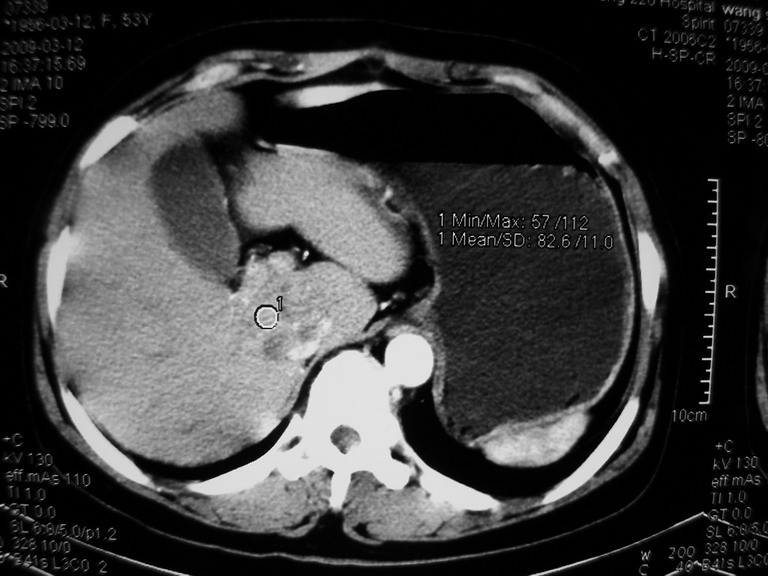
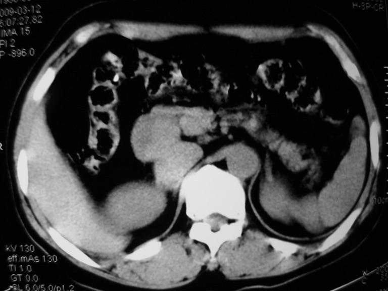
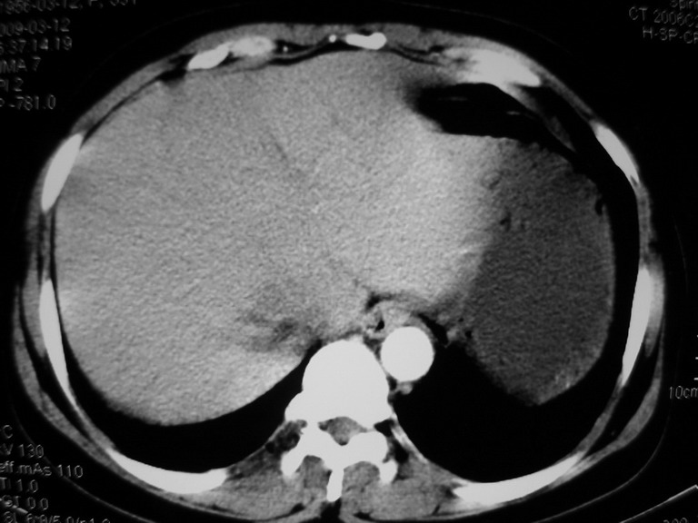
患者,女性50岁,上腹部不适2年余,既往多次腹部彩超未见异常,今日上午在我院查彩超发现肝右叶囊实性病变,外院辅助检查,afp,cea,ca199, 都在正常范围内,无肝炎史否认肿瘤史,生活在牧区

























[本贴已被 jiajie 于 2009-3-13 7:01:54 修改过]

作者: xulianj    时间: 2009-3-13 05:45
考虑肝癌。缺少延迟片。
作者: 火山    时间: 2009-3-13 05:56
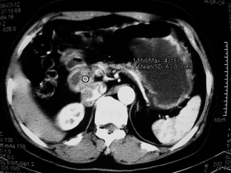
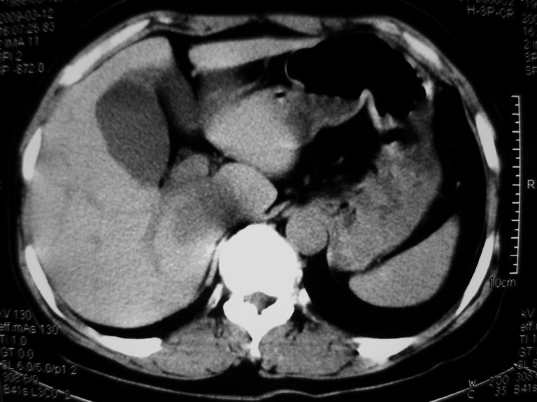
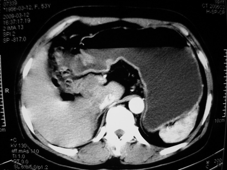
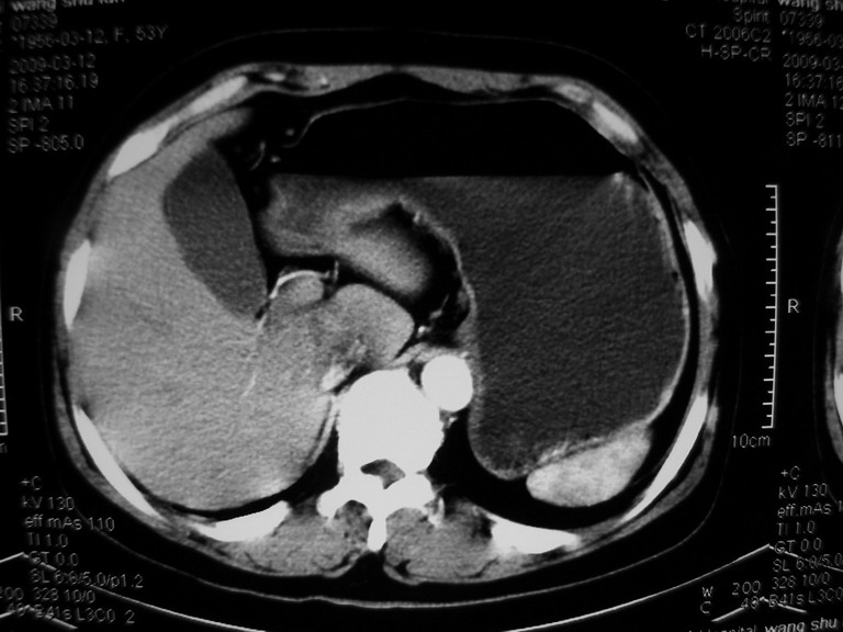
接着往下一贴看,有静脉期和延迟期,在看看和下腔静脉及十二指肠的关系,腔静脉内是不是栓子?
作者: huangxinghai    时间: 2009-3-13 06:06
考虑炎性假瘤
作者: 随光逐影    时间: 2009-3-13 16:20
考虑肝右叶与尾叶交界区肝癌(部分外生),侵犯下腔静脉并下腔静脉瘤栓形成。
作者: 518yan    时间: 2009-3-13 18:06
符合肝癌表现。
作者: 无泪之城    时间: 2009-3-13 21:02
肝包虫病可能性大
作者: 黑白光影    时间: 2009-3-13 23:17
考虑肝右叶与尾叶交界区肝癌(部分外生),侵犯下腔静脉并下腔静脉瘤栓形成。




欢迎光临 医影在线 (http://bbs.radida.com/bbs/) Powered by Discuz! X3.2