医影在线

标题: CT18644:男,82岁,体检发现左肺阴影. [打印本页]

作者: luanhai    时间: 2009-3-13 06:28
标题: CT18644:男,82岁,体检发现左肺阴影.















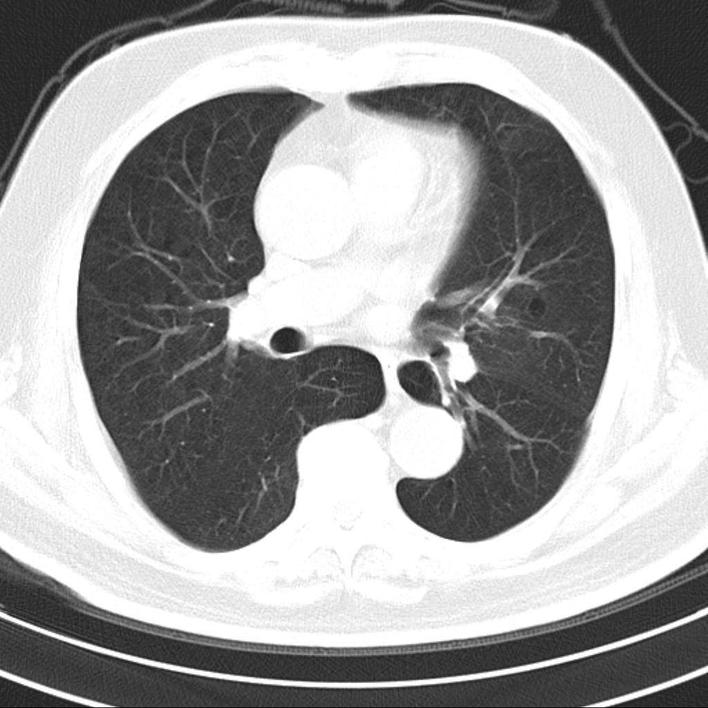
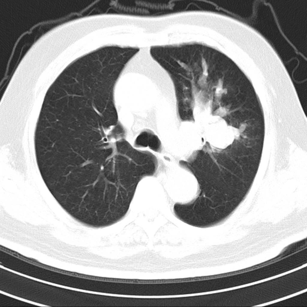
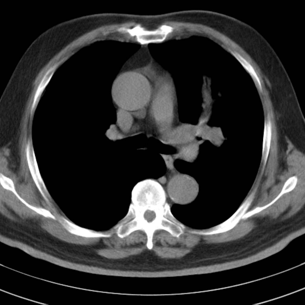
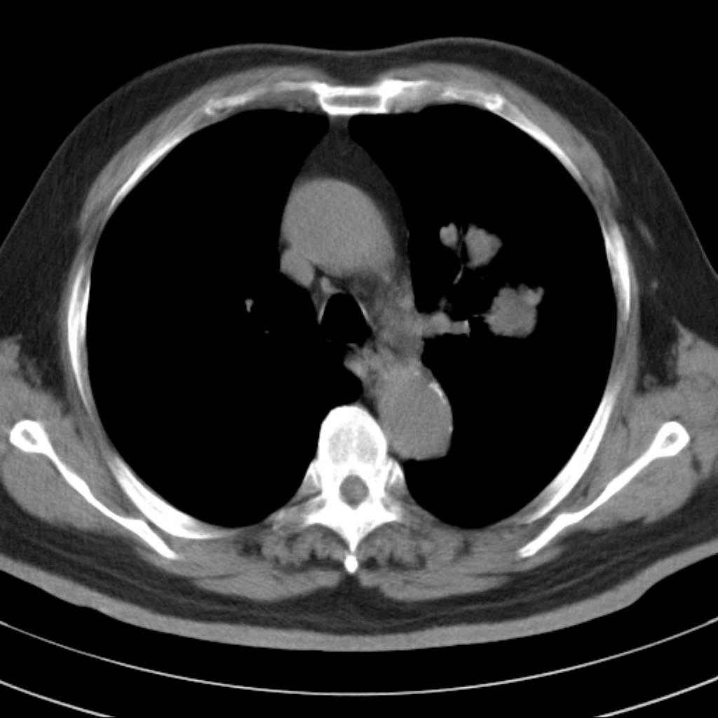
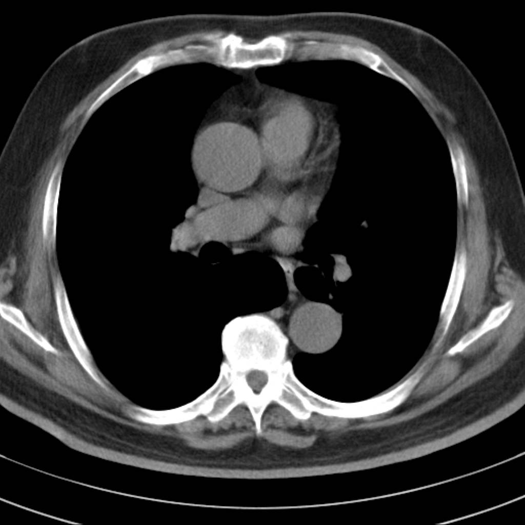
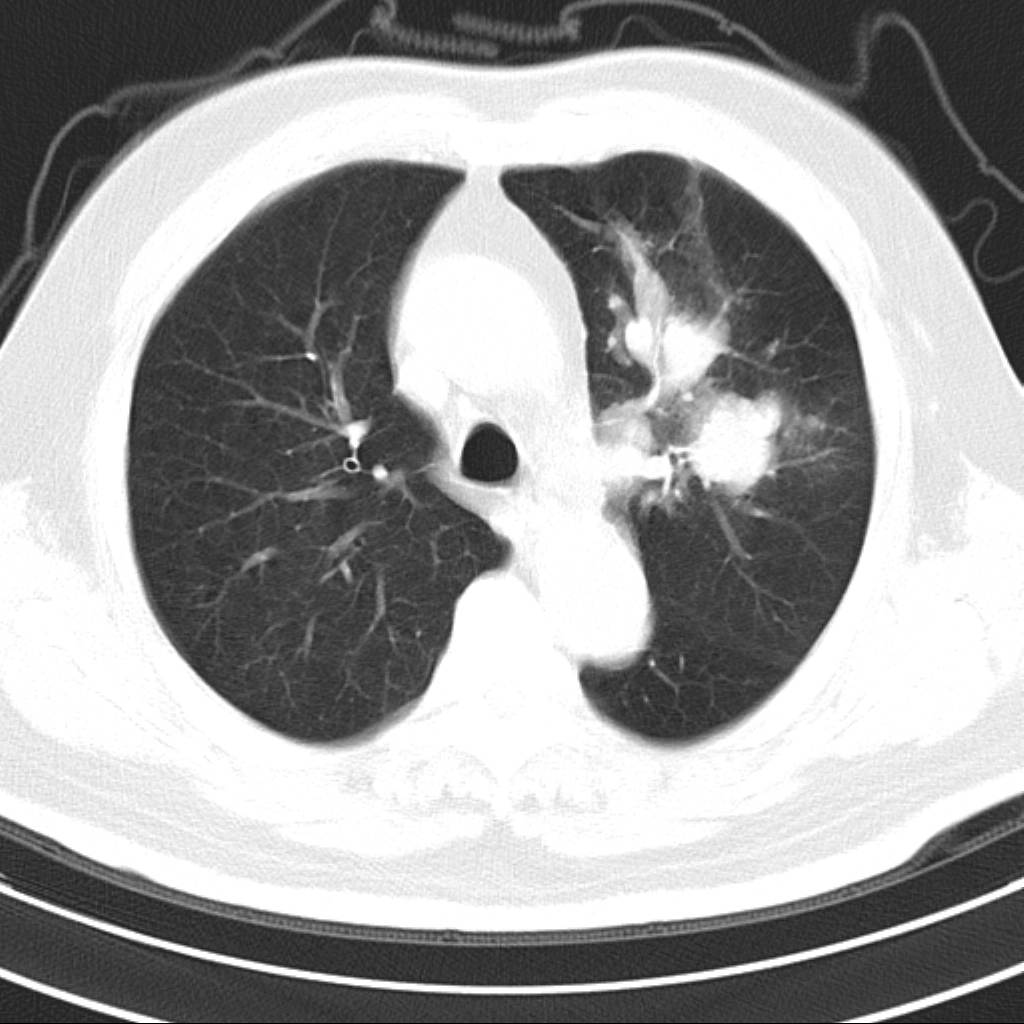
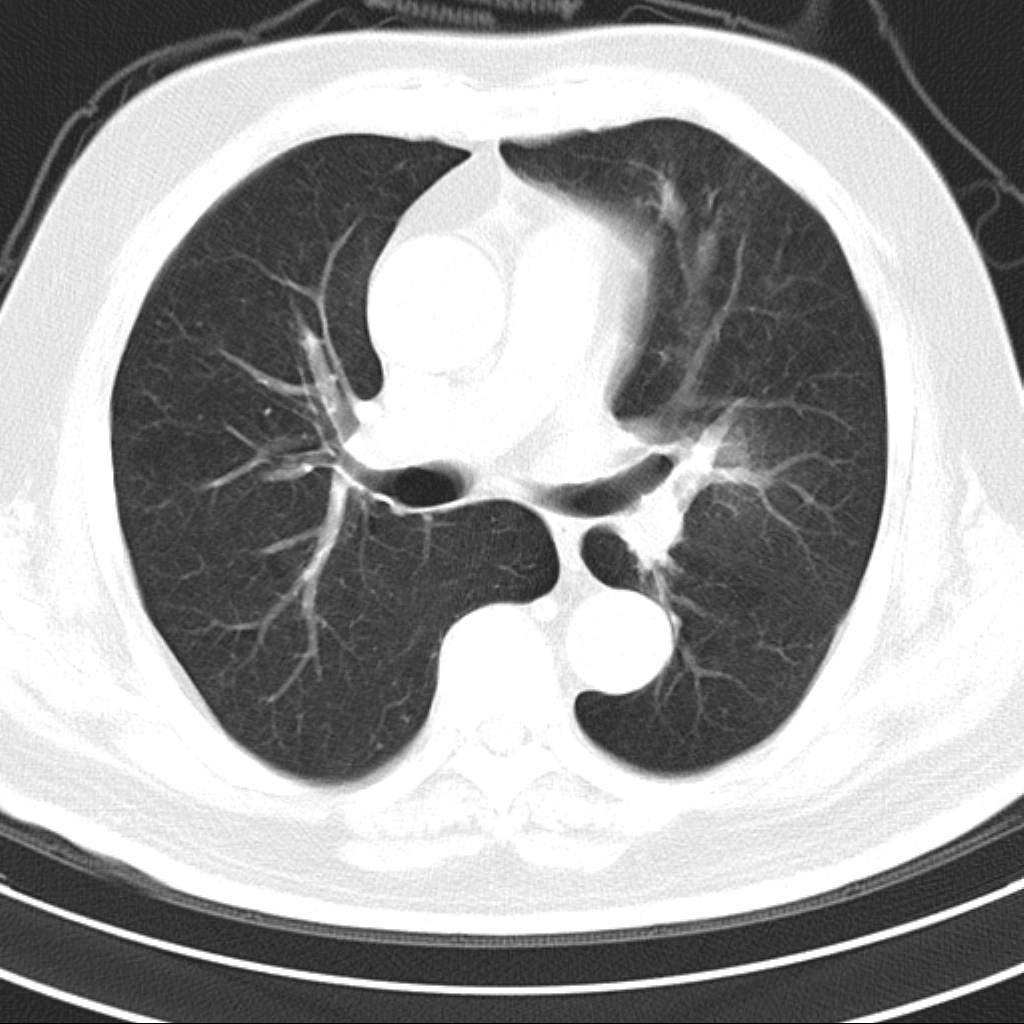
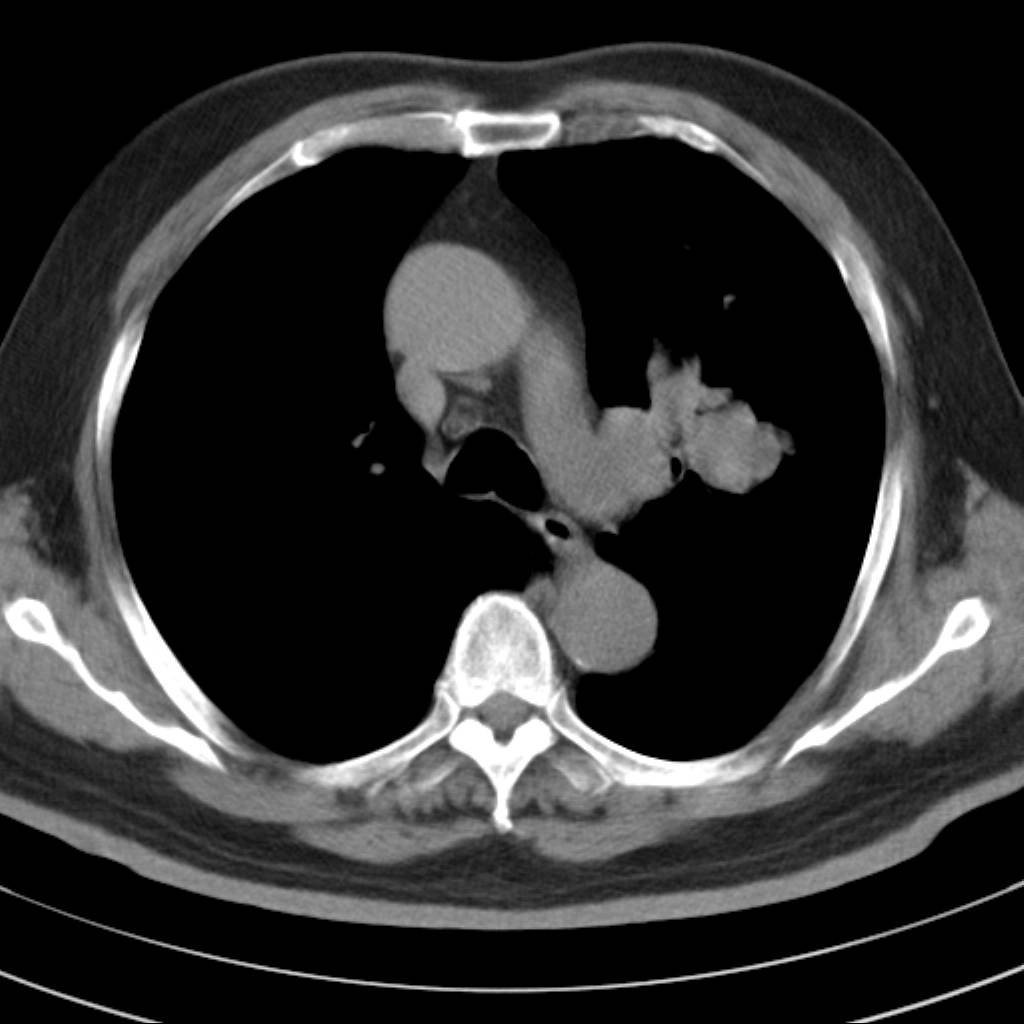
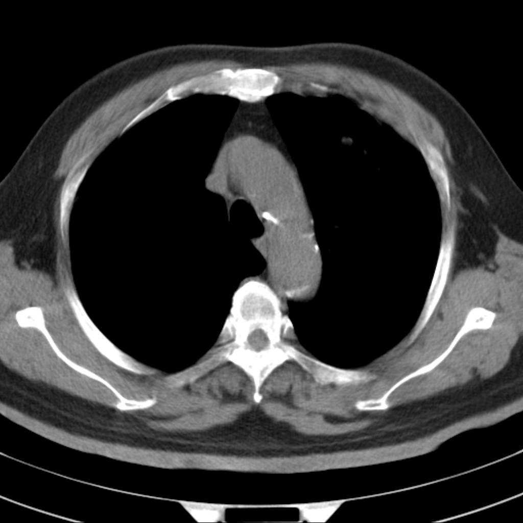
岁数太大,没有增强。麻烦见过的,给个诊断,顺便再说说病因

>谢谢



[本贴已被 jiajie 于 2009-3-13 7:03:23 修改过]

作者: syfszcw    时间: 2009-3-13 07:15
左肺感染性病变,结核待排.
建议:治疗后复查或进一步检查.
作者: 光线    时间: 2009-3-13 07:20
建议抗议治疗后复查。
作者: luanhai    时间: 2009-3-13 07:32
...........难道没有和我观点近似的?
作者: xiaomeng    时间: 2009-3-13 08:13
考虑肺癌
作者: luoyanmin    时间: 2009-3-13 14:24
肺血管畸形
作者: zsl6918    时间: 2009-3-13 16:02
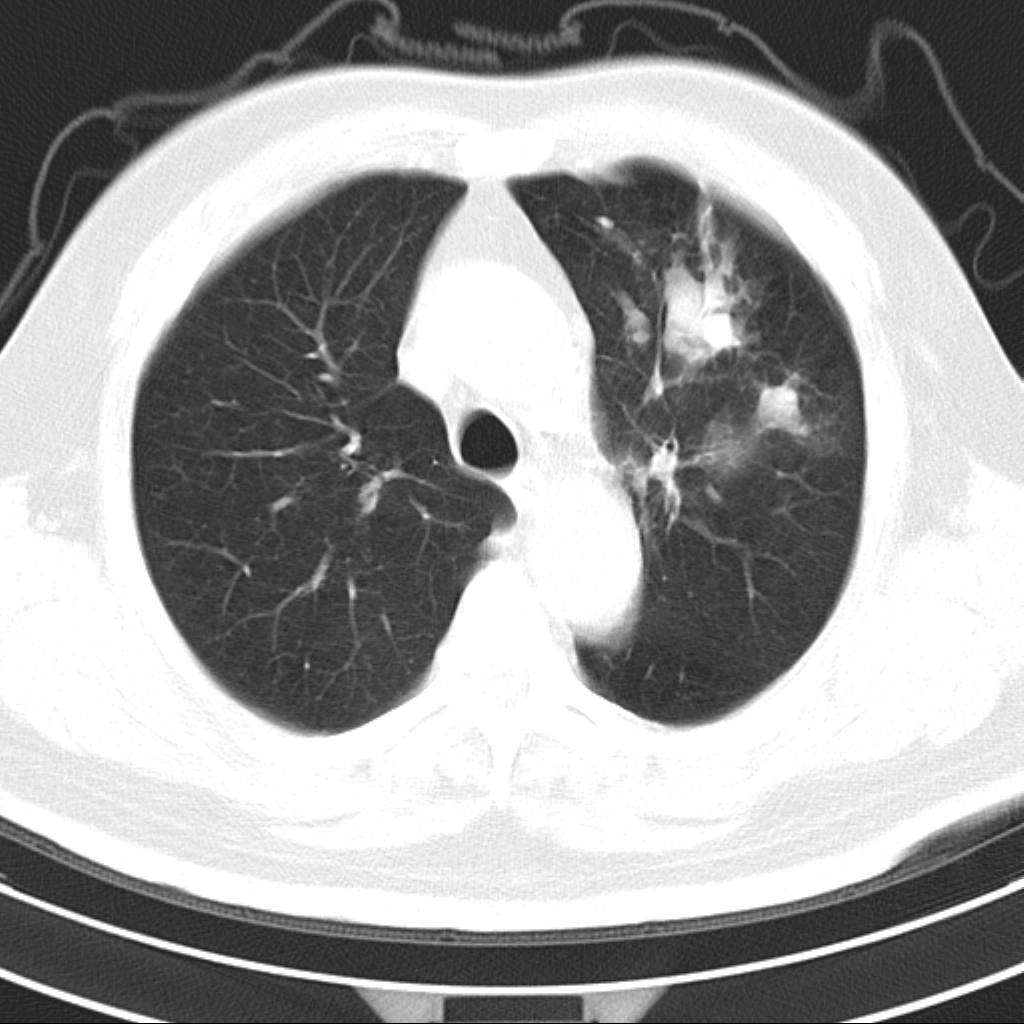
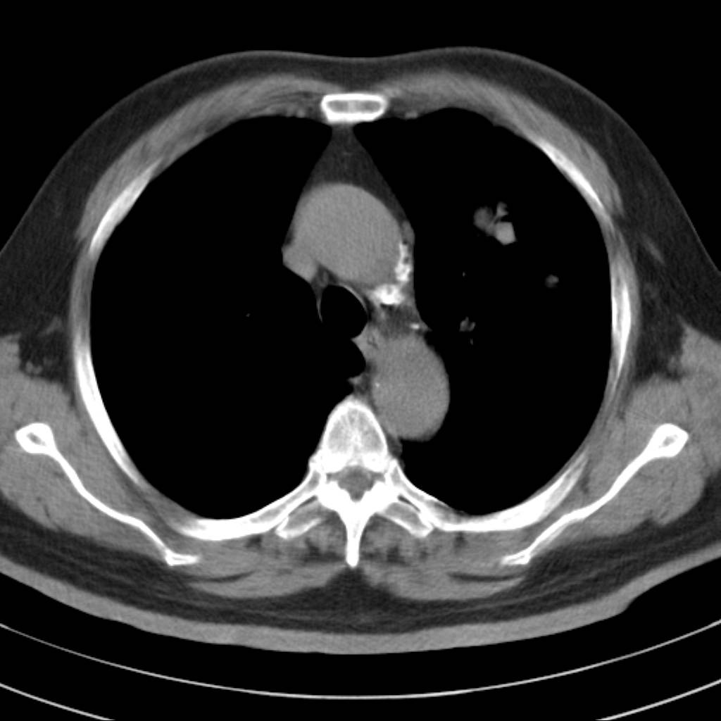
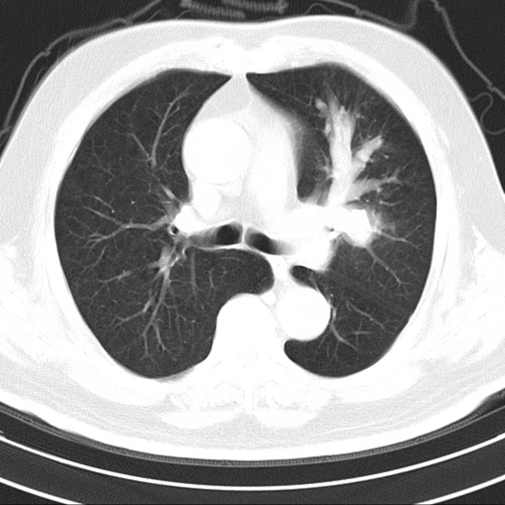
左侧中心型肺癌并粘液栓形成。很典型的。手套征。
作者: 随光逐影    时间: 2009-3-13 16:24
支持 左肺上叶中央型肺癌并支气管内粘液栓形成。
作者: xizhong    时间: 2009-3-13 16:40
支持 左肺上叶中央型肺癌并支气管内粘液栓形成。
作者: wangyong1977    时间: 2009-3-13 16:44
能麻烦zsl6918老师用图解给我讲一下此片吗?谢谢
作者: 余辉    时间: 2009-3-13 17:00
支持考支气管扩张伴粘液栓,但导致粘粘液栓的病因有待进一步检查。支持左上叶支气管基部肿物,肺癌可能性大,但肿块似与肺动脉右支保持良好的伙伴关系,不除外为肺动脉扩张所致,建议增强。
还有就是“粘液”应该是“黏液”
粘作nian读时用于姓,做zhan读时用于动词,如zhan贴等,只有这两种用法。
当做形容词时,如nain液nian稠时只能用“黏”
作者: 余辉    时间: 2009-3-13 17:01
因此本例考虑为黏液栓
作者: muzi888    时间: 2009-3-13 17:05
支持 左肺上叶中央型肺癌并支气管内粘液栓形成。
作者: zwz    时间: 2009-3-13 17:21
肺血管畸形
作者: 深泽交通    时间: 2009-3-13 18:05
标题: 回复:ct18644:男,82岁,体检发现左肺阴影.
以下是引用随光逐影在2009-3-13 8:24:00的发言:[br]支持 左肺上叶中央型肺癌并支气管内粘液栓形成。

作者: 影像之路    时间: 2009-3-13 18:35
左肺动静脉畸形,肺动静脉畸形(pavms)是肺血管发育异常,是肺动脉与肺静脉直接相通形成短路,通常包括一条供血动脉及一条或数条引流静脉,以及他们之间的异常血管团。约70%的患者伴发遗传性出血性毛细血管扩张症。 影像检查的目的在于确定病灶位置、大小、形态、数目。x线可表现为:1.结节型(直径小于3cm)2.团块型(直径大于3cm)3.弥漫型(肺内散在逗点状影),以团块状居多。 ct扫描可见单发或多发肺内结节,有的有蜿蜒迂曲的团块影,边缘光滑、锐利,增强ct扫描可见增粗、扭曲的血管影和/或类圆形的增粗的血管断面,甚至供血动脉及引流静脉。
作者: 张林148    时间: 2009-3-13 18:37
尚不除外非感染炎症,过敏及哮喘曲霉菌病所致黏液栓塞,纸套征比较形象妾有一定特异性
作者: 卜一    时间: 2009-3-13 18:40
左肺动静脉畸形,肺动静脉畸形(pavms)是肺血管发育异常,是肺动脉与肺静脉直接相通形成短路,通常包括一条供血动脉及一条或数条引流静脉,以及他们之间的异常血管团。约70%的患者伴发遗传性出血性毛细血管扩张症。 影像检查的目的在于确定病灶位置、大小、形态、数目。x线可表现为:1.结节型(直径小于3cm)2.团块型(直径大于3cm)3.弥漫型(肺内散在逗点状影),以团块状居多。 ct扫描可见单发或多发肺内结节,有的有蜿蜒迂曲的团块影,边缘光滑、锐利,增强ct扫描可见增粗、扭曲的血管影和/或类圆形的增粗的血管断面,甚至供血动脉及引流静脉。

支持!
作者: xly    时间: 2009-3-13 18:46
平扫似avm,建议增强扫描。
作者: zgjldq    时间: 2009-3-13 19:05
支持 左肺上叶中央型肺癌并支气管内粘液栓形成
作者: songyi    时间: 2009-3-13 19:08
建议抗议治疗后复查
作者: 缘    时间: 2009-3-13 21:24
标题: 回复:ct18644:男,82岁,体检发现左肺阴影.
考虑肺癌并左上肺阻塞性肺炎
作者: 蓝星    时间: 2009-3-13 22:10
考虑左肺上叶中央型肺癌并支气管内粘液栓形成。
作者: jiangjing    时间: 2009-3-13 22:41
支持 左肺上叶中央型肺癌并支气管内粘液栓形成,阻塞性肺炎
作者: 黑白光影    时间: 2009-3-13 23:32
考虎左肺上叶中央型肺癌并支气管内黏液栓形成,不能增强是个遗憾,期待复查结果。
作者: 杀毒软件    时间: 2009-3-14 03:30
标题: 回复:ct18644:男,82岁,体检发现左肺阴影.
以下是引用zsl6918在2009-3-13 8:02:00的发言:[br]左侧中心型肺癌并粘液栓形成。很典型的。手套征。

支持
作者: xulianj    时间: 2009-3-14 04:12
支持 左肺上叶中央型肺癌并支气管内粘液栓形成。
作者: luanhai    时间: 2009-3-14 05:38
谢谢  学习了

  病人已经去做mr了  等待结果中  有消息 我会进一步将结果发在网上
作者: dengkai    时间: 2009-3-14 06:55
左肺上叶中央型肺癌




欢迎光临 医影在线 (http://bbs.radida.com/bbs/) Powered by Discuz! X3.2