


以下是引用黑白光影在2009-3-13 13:00:00的发言:[br]考虑右股骨远端内侧缘絮样骨质密度影,髁上可见骨膜反应,相应侧软组织肿胀,考虑成骨肉瘤可能。
以下是引用黑白光影在2009-3-13 13:00:00的发言:[br]考虑右股骨远端内侧缘絮样骨质密度影,髁上可见骨膜反应,相应侧软组织肿胀,考虑成骨肉瘤可能。
以下是引用黑白光影在2009-3-13 13:00:00的发言:[br]考虑右股骨远端内侧缘絮样骨质密度影,髁上可见骨膜反应,相应侧软组织肿胀,考虑成骨肉瘤可能。
以下是引用黑白光影在2009-3-13 13:00:00的发言:[br]考虑右股骨远端内侧缘絮样骨质密度影,髁上可见骨膜反应,相应侧软组织肿胀,考虑成骨肉瘤可能。
以下是引用黑白光影在2009-3-13 13:00:00的发言:[br]考虑右股骨远端内侧缘絮样骨质密度影,髁上可见骨膜反应,相应侧软组织肿胀,考虑成骨肉瘤可能。
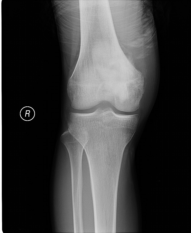
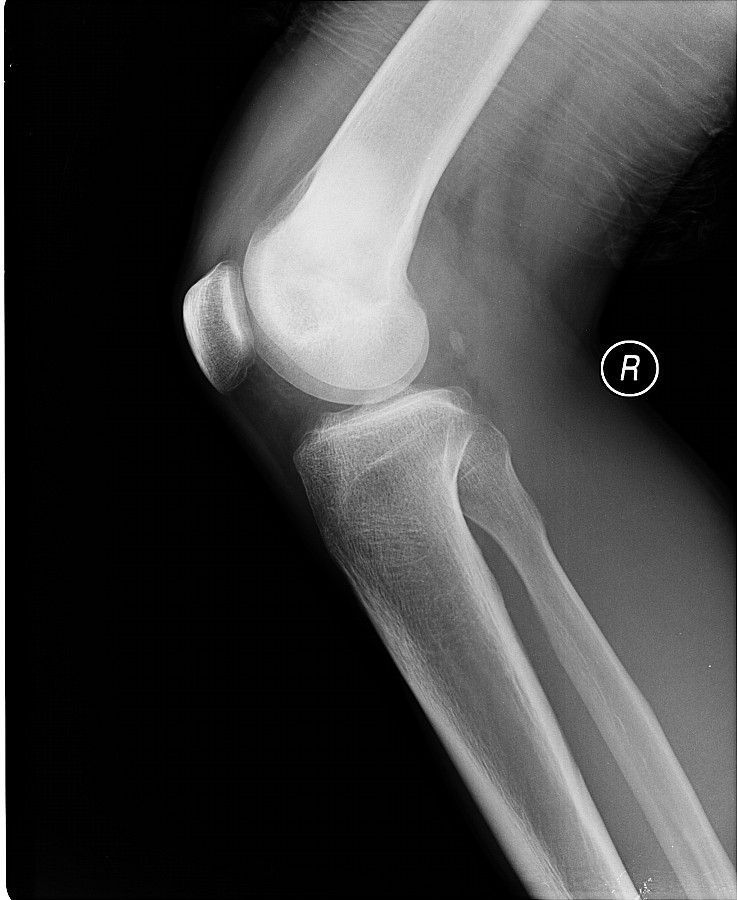
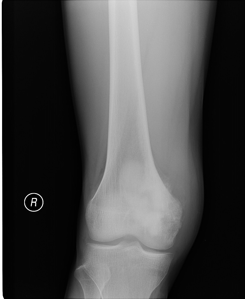
以下是引用guo430726在2009-3-13 13:50:00的发言:[br]考虑右股骨远端内侧缘絮样骨质密度影,髁上可见骨膜反应,相应侧软组织肿胀,考虑成骨肉瘤可能。[br]支持!
| 欢迎光临 医影在线 (http://bbs.radida.com/bbs/) | Powered by Discuz! X3.2 |