医影在线

标题: PED1790:女,7岁,三岁才说话、走路。现智力尚可,走路不 [打印本页]

作者: YU8531772    时间: 2009-3-13 20:37
标题: PED1790:女,7岁,三岁才说话、走路。现智力尚可,走路不
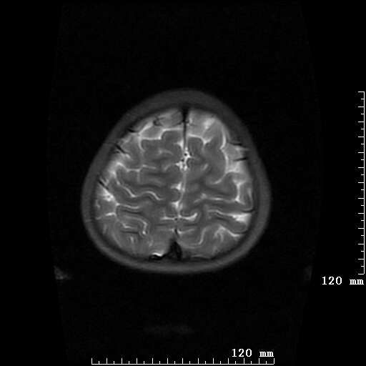
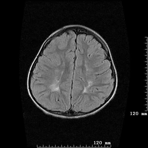
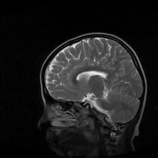
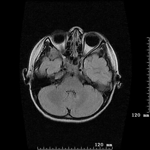
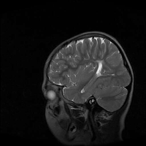
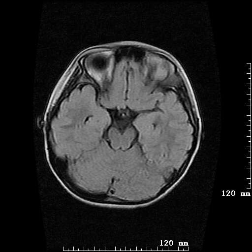
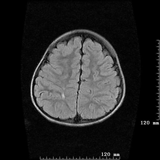
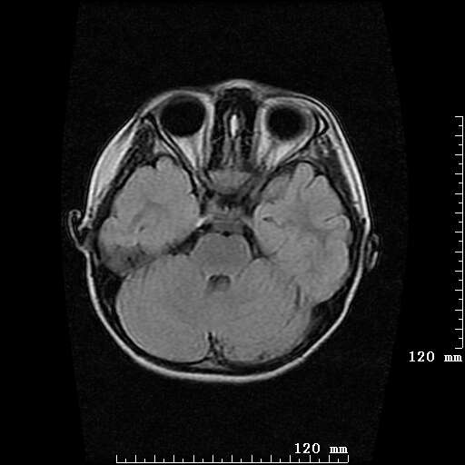
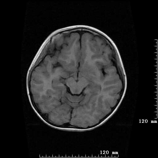
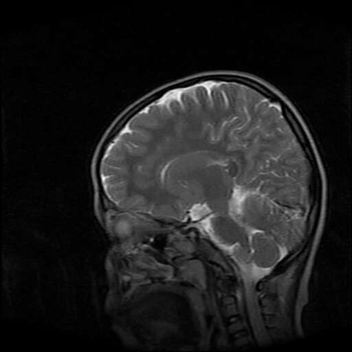
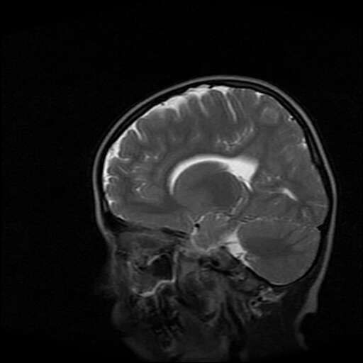
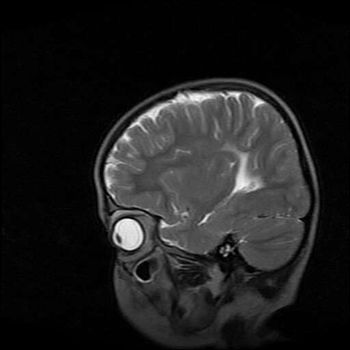
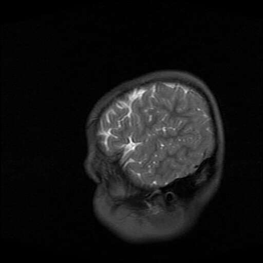
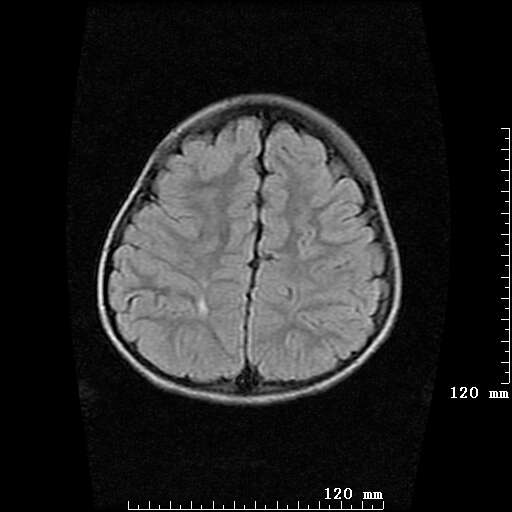
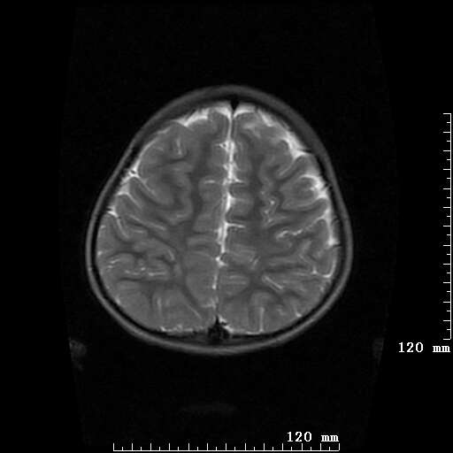
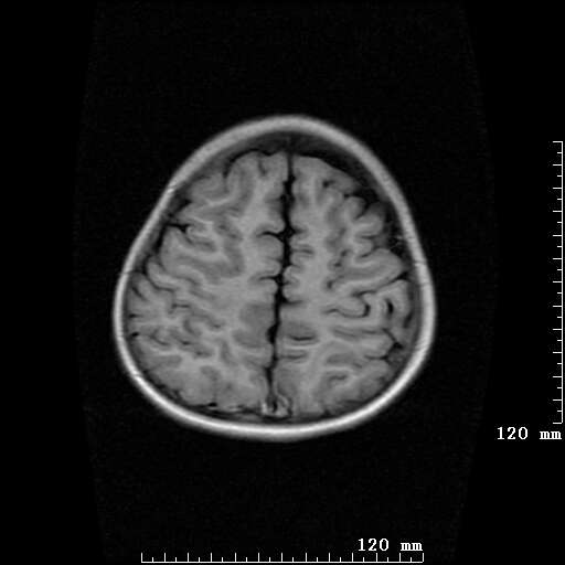
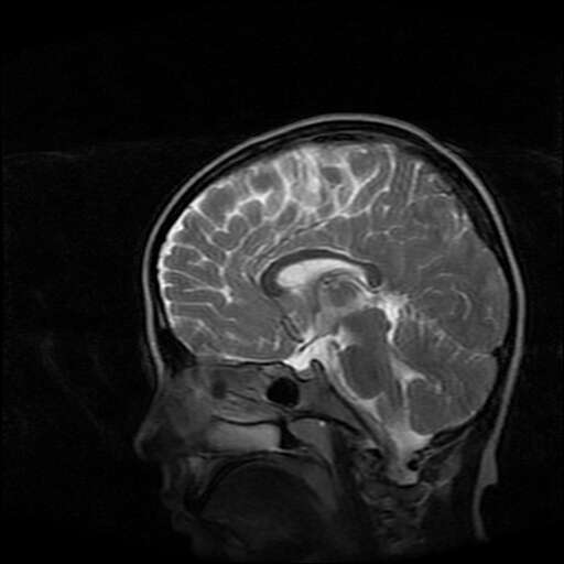
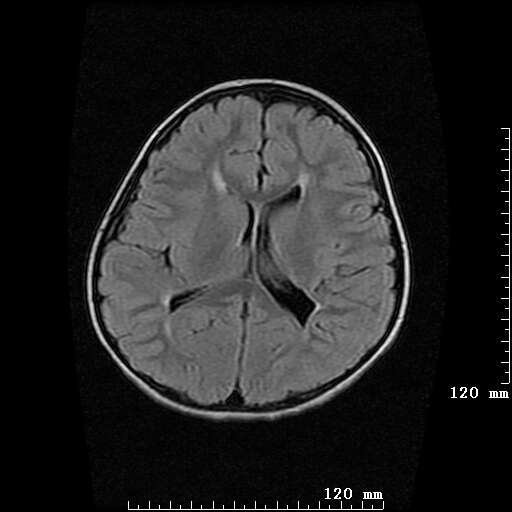
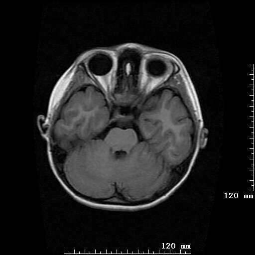
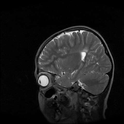
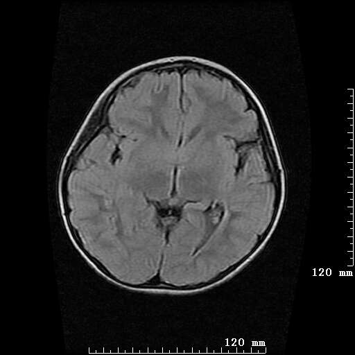
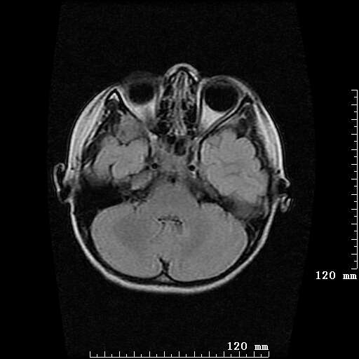
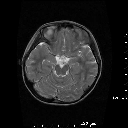
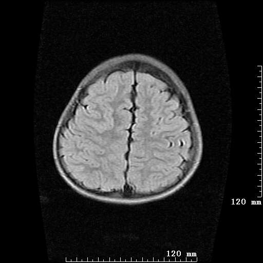
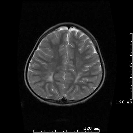
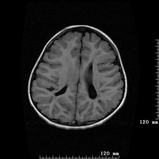
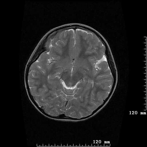
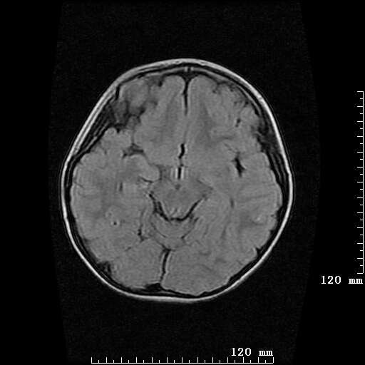
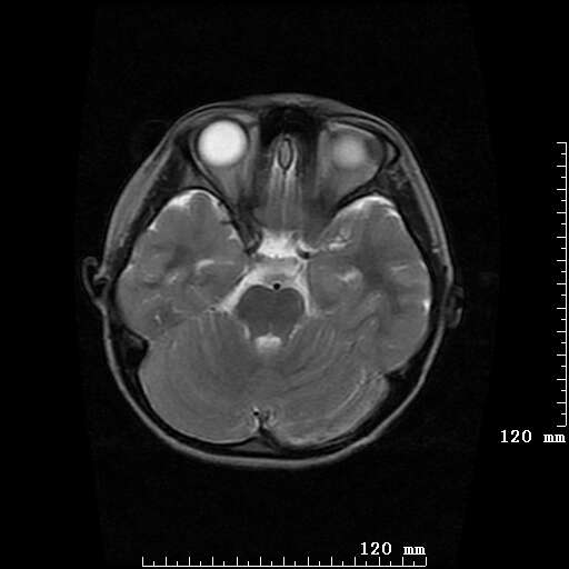
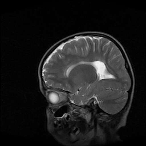
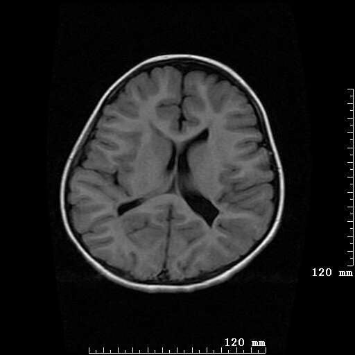
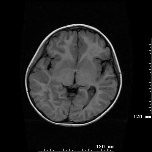
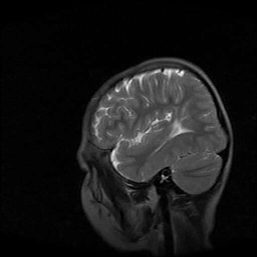
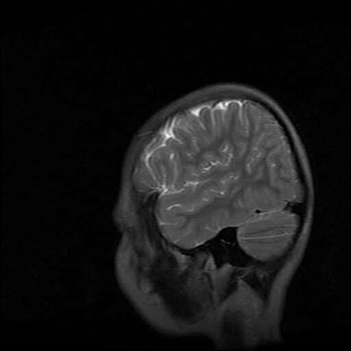
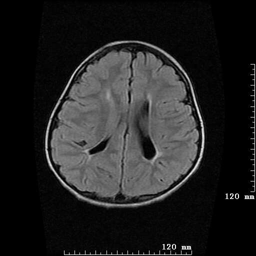
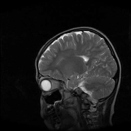
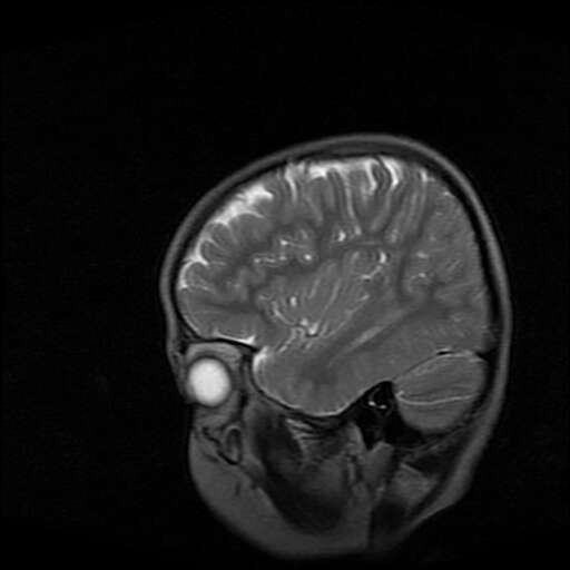
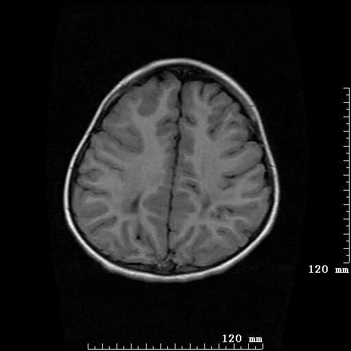
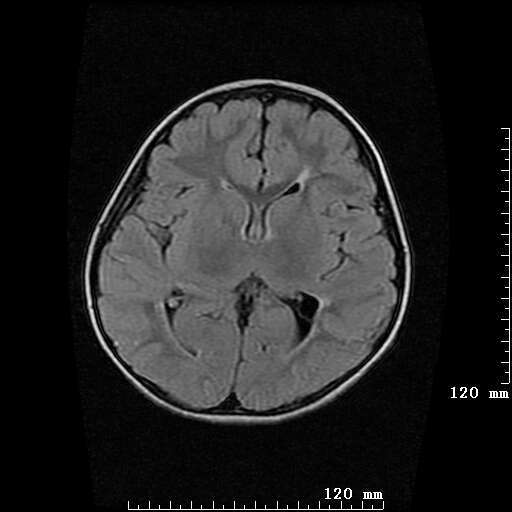
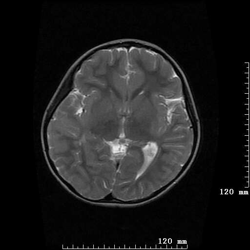
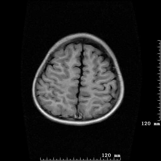
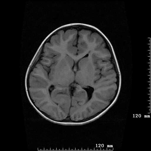
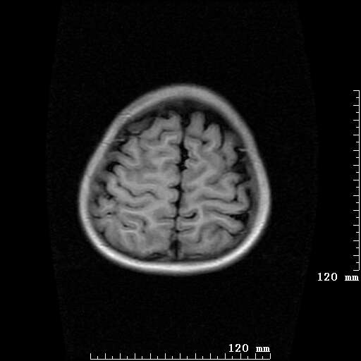
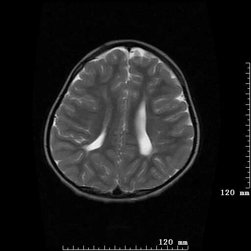
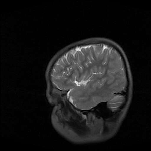
女,7岁,三岁才说话、走路。现智力尚可,走路不稳。临床怀疑大脑发育不全。































































[本贴已被 jiajie 于 2009-3-13 12:42:45 修改过]

作者: jiangjing    时间: 2009-3-13 23:17
考虑 脑白质发育不良
作者: 余辉    时间: 2009-3-14 01:25
脑折质变薄,双侧侧脑室稍扩张,支持考虑脑折质发育不良
作者: china    时间: 2009-3-14 06:00
侧脑室周围白质软化症。
作者: 随光逐影    时间: 2009-3-14 07:00
考虑胼胝体发育不全,髓鞘形成不良。
作者: 黑白光影    时间: 2009-3-14 07:23
支持考虑胼胝体发育不全,髓鞘形成不良。
作者: 杀毒软件    时间: 2009-3-14 09:40
期待结果
作者: 22222222    时间: 2009-3-15 04:17
脑裂畸形伴灰质异位
作者: 拾荒者    时间: 2009-3-15 04:28
侧脑室周围白质数量减少,侧脑室不对称性扩大,左侧侧脑室后角呈方形改变,脑沟加深,结合临床考虑脑室周围白质软化症(pvl)。期待结果!
作者: wangzhanshuang    时间: 2009-3-15 06:01
只看出灰质异位
作者: pujunzhi    时间: 2009-3-15 16:26
支持脑白质发育不良。




欢迎光临 医影在线 (http://bbs.radida.com/bbs/) Powered by Discuz! X3.2