医影在线

标题: CT18648:急!!!男,71岁,咳嗽,气喘10年,再发并咯血.胸片见气胸 [打印本页]

作者: zmdxx880    时间: 2009-3-13 21:13
标题: CT18648:急!!!男,71岁,咳嗽,气喘10年,再发并咯血.胸片见气胸
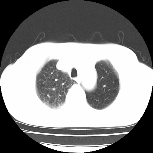
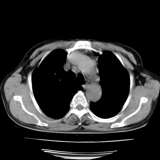
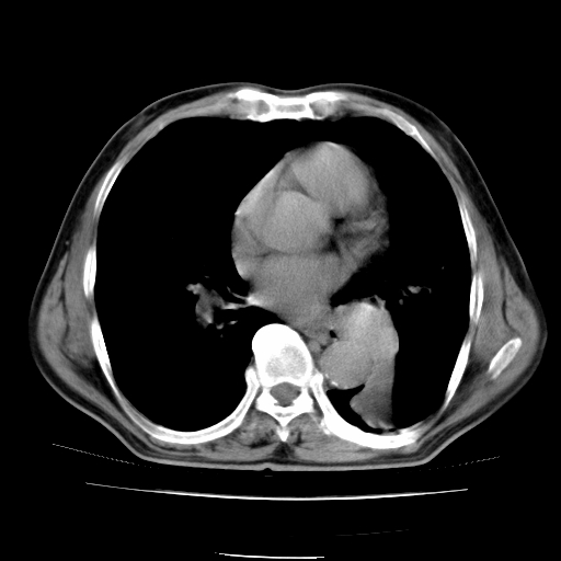
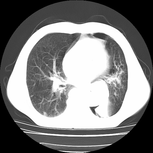
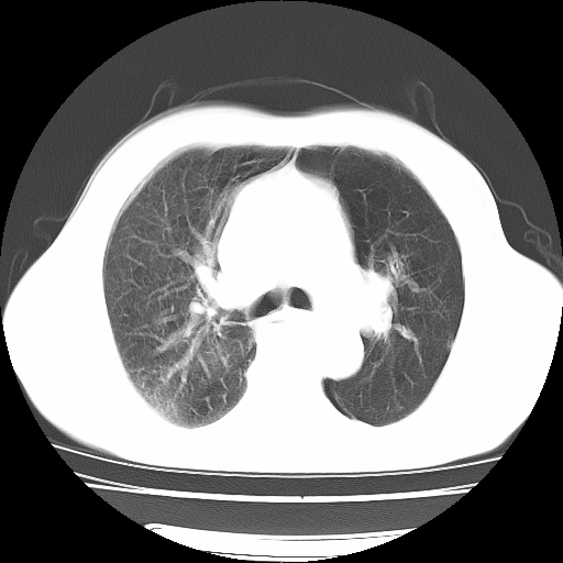
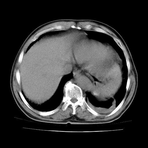
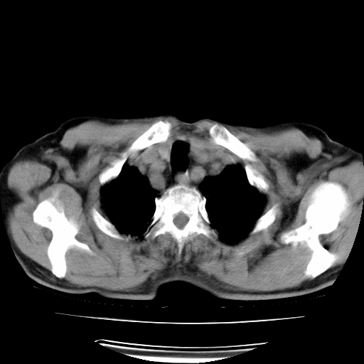
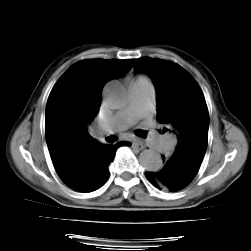
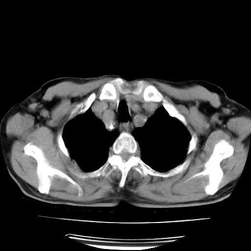
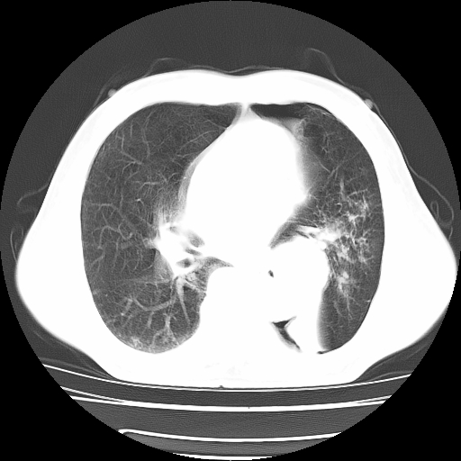
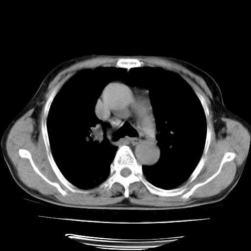
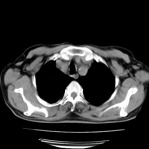
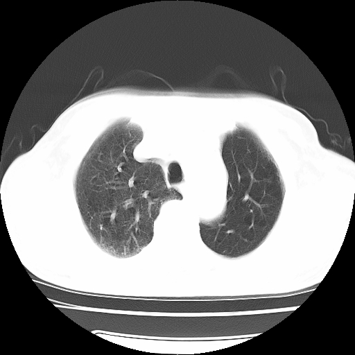
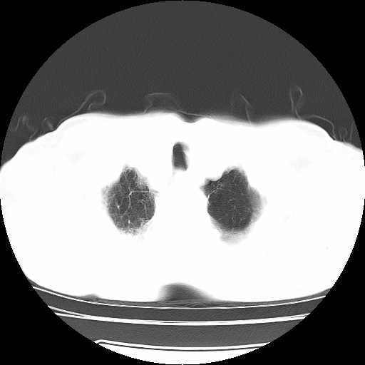
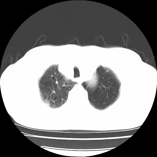
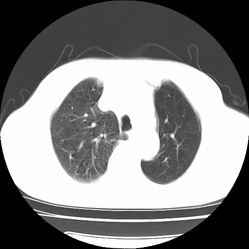
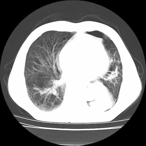
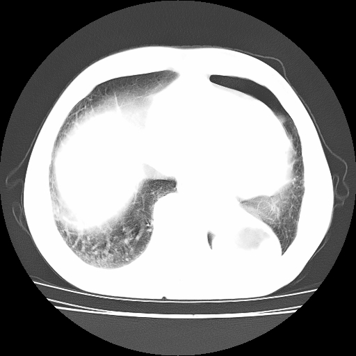
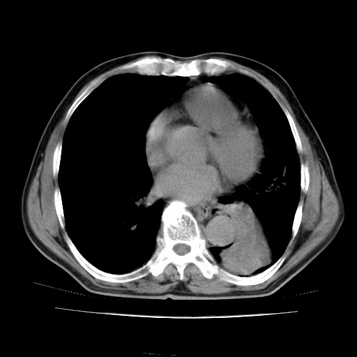
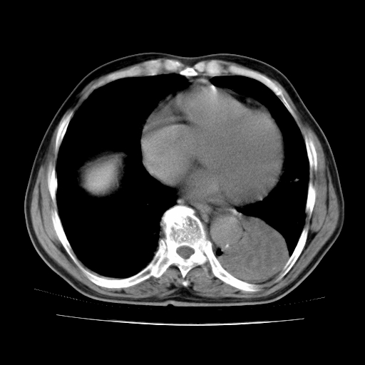
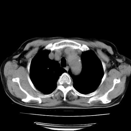
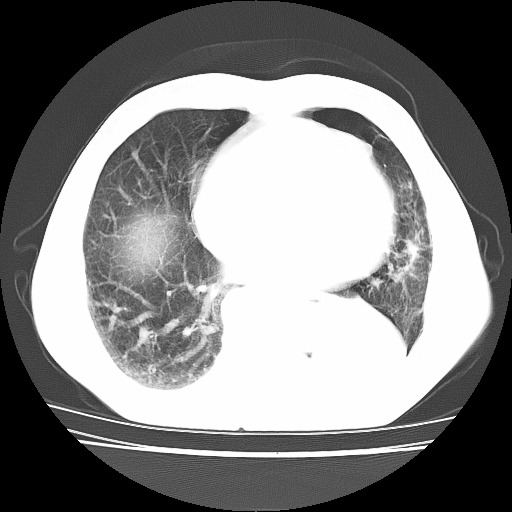
男,71岁,咳嗽,气喘10年,再发并咯血.胸片见气胸














































[本贴已被 jiajie 于 2009-3-13 13:54:43 修改过]

作者: jiangjing    时间: 2009-3-13 21:50
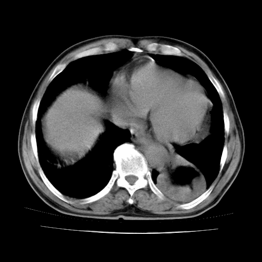
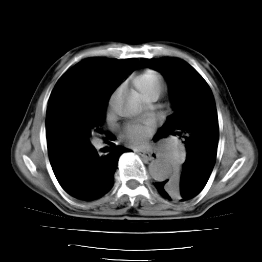
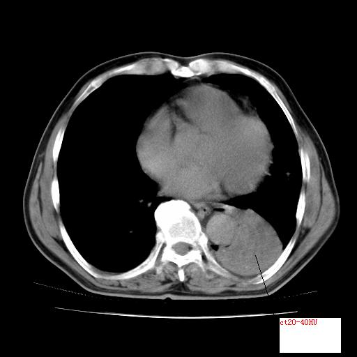
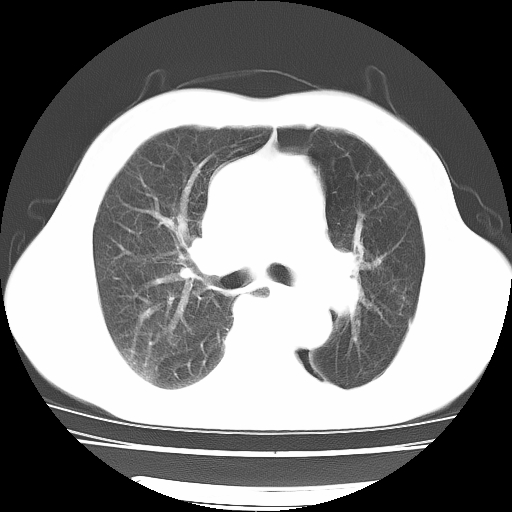
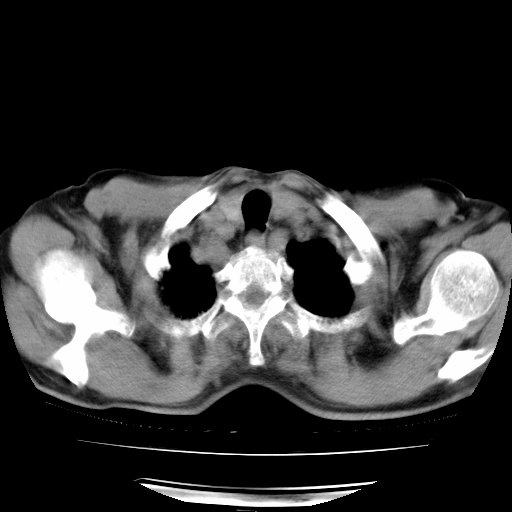
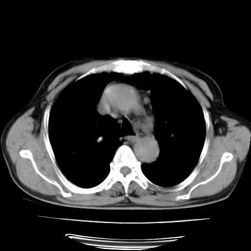
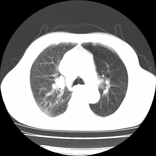
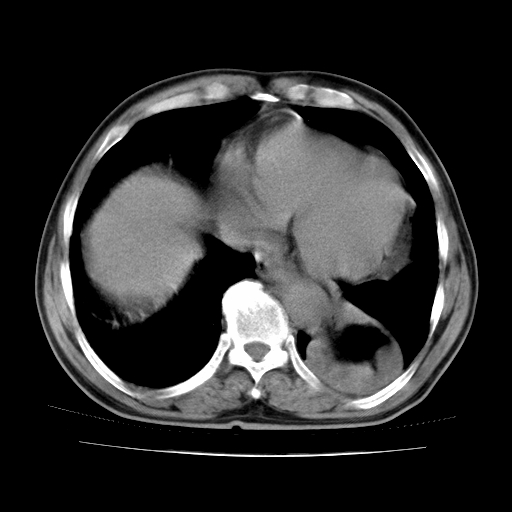
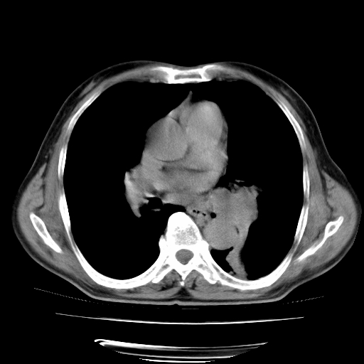
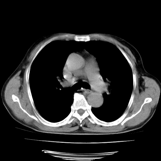
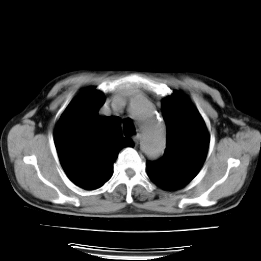
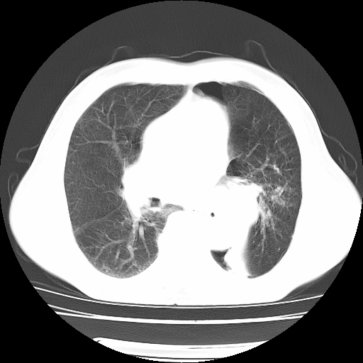
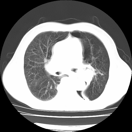
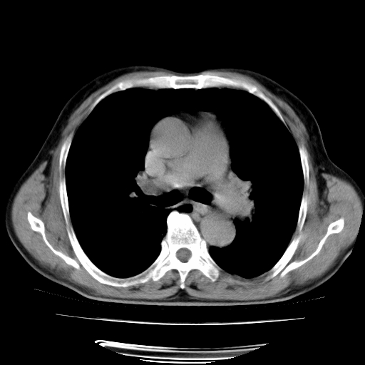
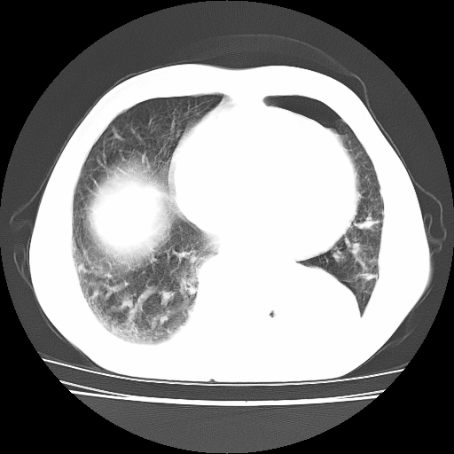
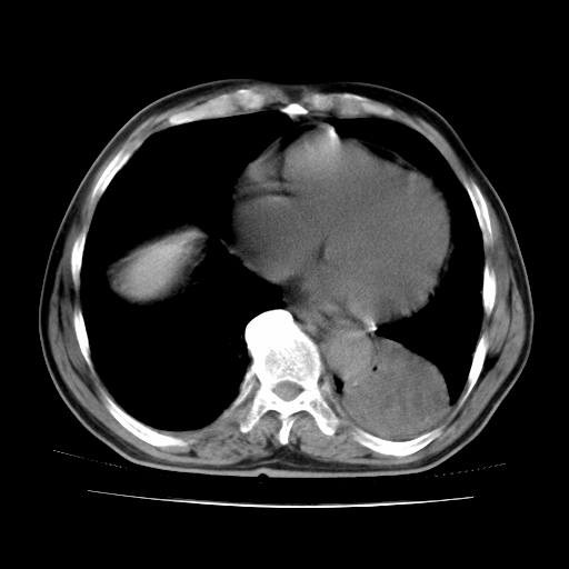
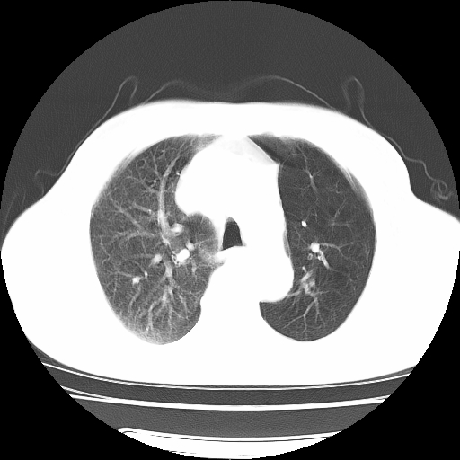
考虑  左肺中心型肺癌伴阻塞性肺炎,肺不张,纵膈淋巴结肿大。慢支炎,肺气肿,左侧气胸肺压缩5%
作者: 飞毛腿    时间: 2009-3-13 22:01
左侧中央型肺癌伴纵膈淋巴结转移。
作者: guanaishengming    时间: 2009-3-13 22:02
左肺中心型肺癌伴阻塞性肺炎,肺不张,纵膈淋巴结肿大
作者: 深泽交通    时间: 2009-3-13 22:20
标题: 回复:ct18648:急!!!男,71岁,咳嗽,气喘10年,再发并咯血.胸片见
以下是引用jiangjing在2009-3-13 13:50:00的发言:[br]考虑  左肺中心型肺癌伴阻塞性肺炎,肺不张,纵膈淋巴结肿大。慢支炎,肺气肿,左侧气胸肺压缩5%

作者: 随光逐影    时间: 2009-3-13 22:45
1)考虑左肺中心型肺癌伴阻塞性肺炎、左肺下叶肺不张、左侧肺气肿,纵膈淋巴结转移。2)左侧气胸(肺组织压缩约5%)。
作者: zsl6918    时间: 2009-3-13 22:53
左肺中心型肺癌伴阻塞性肺不张、肺气肿 。
作者: qwerty111    时间: 2009-3-13 23:39
左肺中心型肺癌伴阻塞性肺不张、肺气肿 。
作者: 黑白光影    时间: 2009-3-13 23:54
1)考虑左肺中心型肺癌伴阻塞性肺炎、左肺下叶肺不张、左侧肺气肿,纵膈淋巴结转移。2)左侧气胸。
作者: 杀毒软件    时间: 2009-3-14 03:39
标题: 回复:ct18648:急!!!男,71岁,咳嗽,气喘10年,再发并咯血.胸片见
以下是引用随光逐影在2009-3-13 14:45:00的发言:[br]1)考虑左肺中心型肺癌伴阻塞性肺炎、左肺下叶肺不张、左侧肺气肿,纵膈淋巴结转移。2)左侧气胸(肺组织压缩约5%)。

支持
作者: xulianj    时间: 2009-3-14 03:43
1)考虑左肺中心型肺癌伴阻塞性肺炎、左肺下叶肺不张、左侧肺气肿,纵膈淋巴结转移。2)左侧气胸。
作者: dengkai    时间: 2009-3-14 07:18
左肺中心型肺癌伴阻塞性肺不张、肺气肿 。




欢迎光临 医影在线 (http://bbs.radida.com/bbs/) Powered by Discuz! X3.2