医影在线

标题: CT18651:左肾上腺占位,请会诊! [打印本页]

作者: zhangws    时间: 2009-3-13 21:53
标题: CT18651:左肾上腺占位,请会诊!
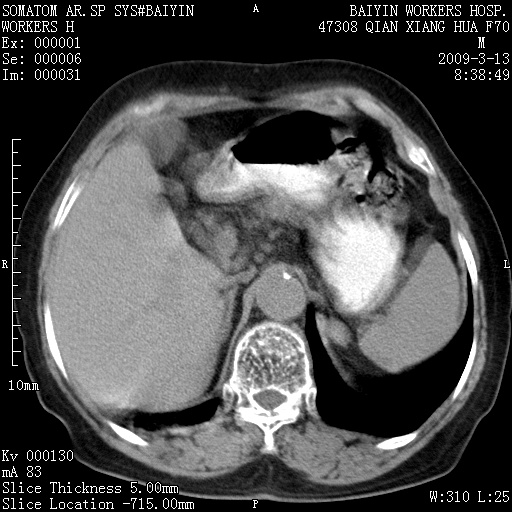
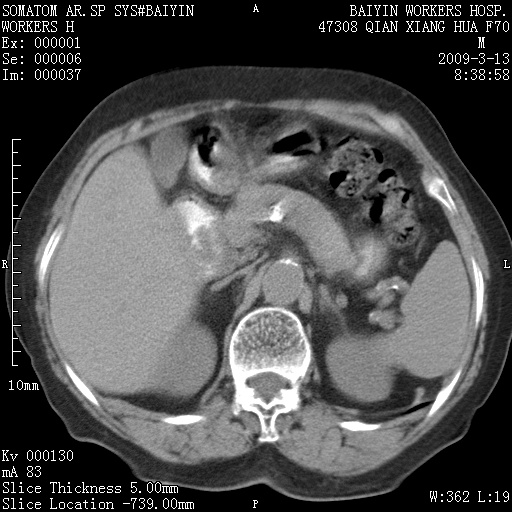
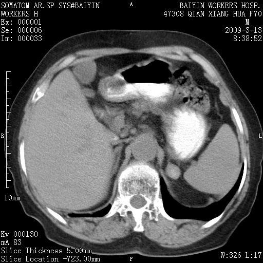
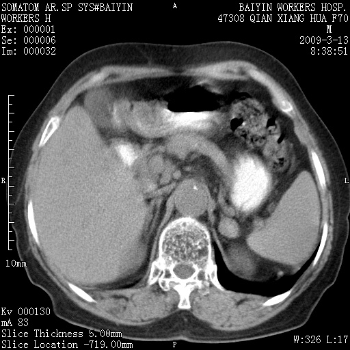
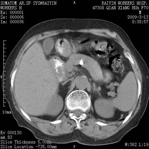
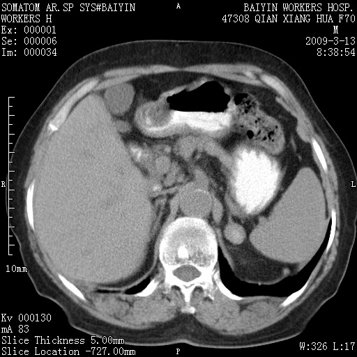
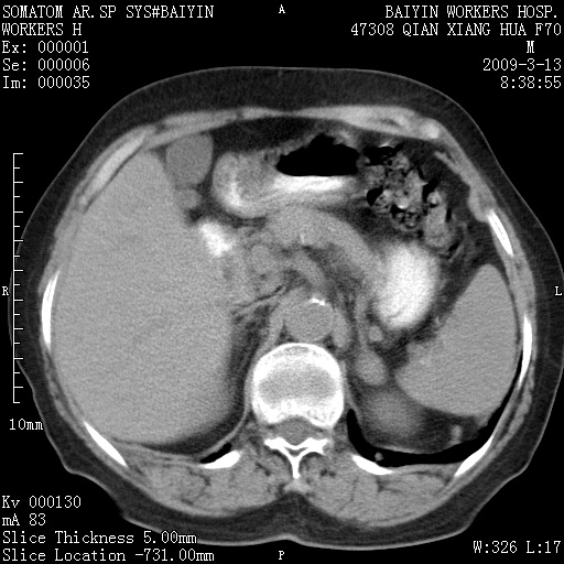
女,70岁,体检发现。








[本贴已被 jiajie 于 2009-3-13 13:58:48 修改过]

作者: guanaishengming    时间: 2009-3-13 21:56
左肾上腺腺瘤
作者: 深泽交通    时间: 2009-3-13 22:11
标题: 回复:ct18651:左肾上腺占位,请会诊!
以下是引用guanaishengming在2009-3-13 13:56:00的发言:[br]左肾上腺腺瘤

胰腺钙化灶,胰腺炎史?
作者: 随光逐影    时间: 2009-3-13 22:58
左侧肾上腺结节状软组织密度影;考虑肿瘤(肾上腺腺瘤?转移瘤?)。
作者: zsl6918    时间: 2009-3-13 23:01
左侧肾上腺占位,腺瘤?不除外转移。
作者: 黑白光影    时间: 2009-3-14 00:06
标题: 回复:ct18651:左肾上腺占位,请会诊!
以下是引用zsl6918在2009-3-13 15:01:00的发言:[br]左侧肾上腺占位,腺瘤?不除外转移。

作者: zhangws    时间: 2009-3-14 00:11
谢谢!
作者: 杀毒软件    时间: 2009-3-14 03:42
标题: 回复:ct18651:左肾上腺占位,请会诊!
以下是引用随光逐影在2009-3-13 14:58:00的发言:[br]左侧肾上腺结节状软组织密度影;考虑肿瘤(肾上腺腺瘤?转移瘤?)。

支持
作者: xulianj    时间: 2009-3-14 04:37
左侧肾上腺占位,腺瘤可能。
作者: dengkai    时间: 2009-3-14 07:37
左侧肾上腺占位,考虑腺瘤可能。




欢迎光临 医影在线 (http://bbs.radida.com/bbs/) Powered by Discuz! X3.2