医影在线

标题: CT18652:腹痛,既往有胰腺炎病史,经治疗好转出院。 [打印本页]

作者: yjr1217    时间: 2009-3-13 22:28
标题: CT18652:腹痛,既往有胰腺炎病史,经治疗好转出院。
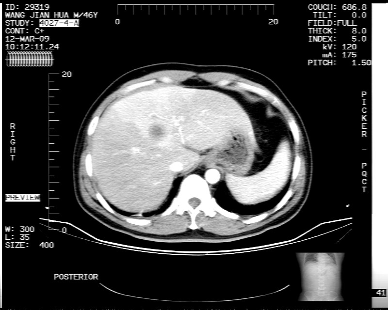
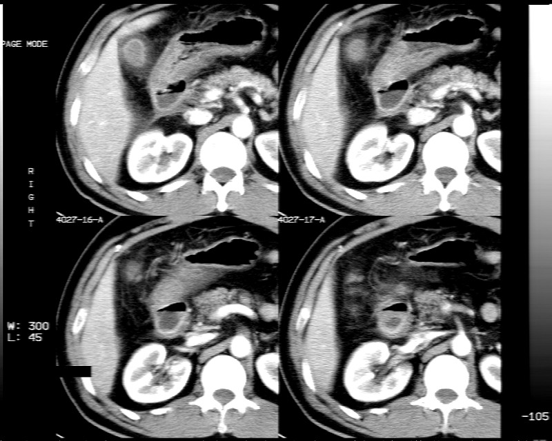
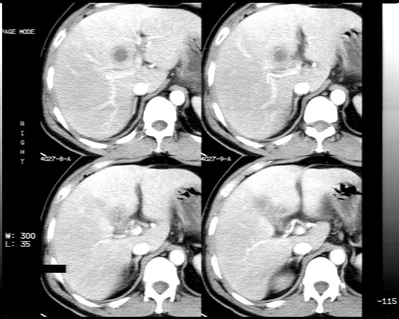
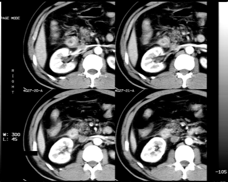
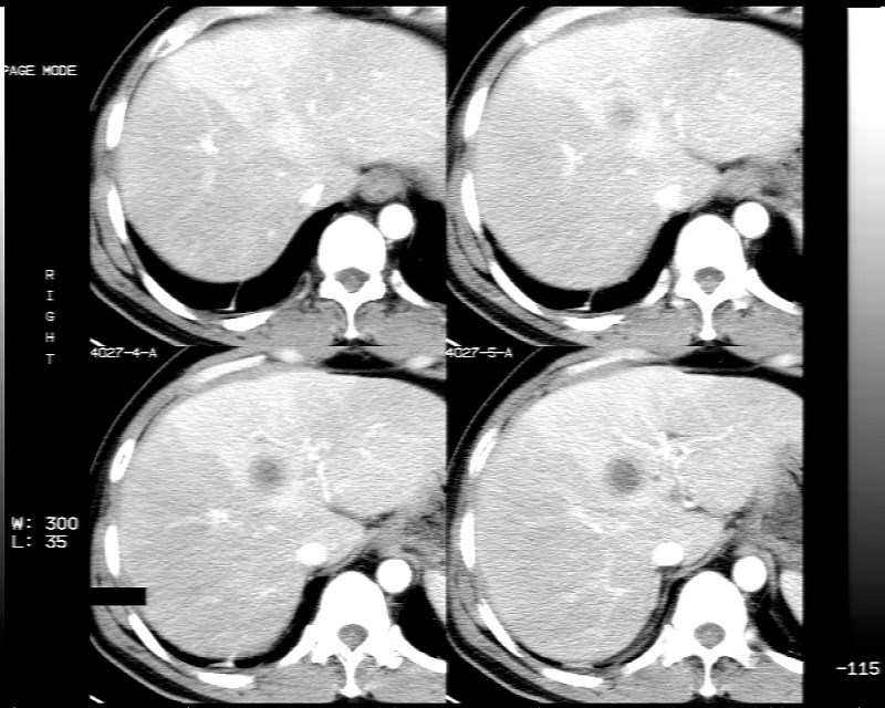
男性,52岁,腹痛,无发热,生化检查无明显异常,既往有胰腺炎病史,经治疗好转出院。











[本贴已被 翁志蓬 于 2009-3-13 22:51:32 修改过]

作者: zsl6918    时间: 2009-3-13 23:03
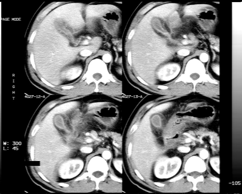
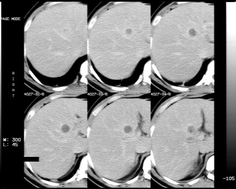
胆囊炎,肝脓肿(周围可见异常灌注)
作者: 吃草吐奶    时间: 2009-3-13 23:03
1.脂肪肝。2.肝囊肿。
作者: qwerty111    时间: 2009-3-13 23:33
胆囊炎,肝脓肿(周围可见异常灌注)
作者: 随光逐影    时间: 2009-3-13 23:40
1)考虑肝左叶内侧段肝脓肿,不排除转移瘤。2)脂肪肝。3)慢性胆囊炎。4)十二指肠降部肿瘤可能。
作者: yifan2008    时间: 2009-3-14 00:03
标题: 回复:腹痛,既往有胰腺炎病史,经治疗好转出院。
以下是引用zsl6918在2009-3-13 15:03:00的发言:[br]胆囊炎,肝脓肿(周围可见异常灌注)
脂肪肝。

支持
作者: 黑白光影    时间: 2009-3-14 00:08
1)考虑肝左叶内侧段肝脓肿,不排除转移瘤。2)脂肪肝。3)慢性胆囊炎。4)十二指肠降部肿瘤可能。支持
作者: chinanyd    时间: 2009-3-14 01:02
胆囊炎、脂肪肝、肝脓肿。
作者: 杀毒软件    时间: 2009-3-14 03:47
标题: 回复:腹痛,既往有胰腺炎病史,经治疗好转出院。
[quote]以下是引用随光逐影在2009-3-13 15:40:00的发言:[br]1)考虑肝左叶内侧段肝脓肿,不排除转移瘤。2)脂肪肝。3)慢性胆囊炎。
作者: xulianj    时间: 2009-3-14 04:39
胆囊炎、脂肪肝、肝脓肿。支持
作者: dengkai    时间: 2009-3-14 07:38
胆囊炎、脂肪肝、肝脓肿。




欢迎光临 医影在线 (http://bbs.radida.com/bbs/) Powered by Discuz! X3.2