医影在线

标题: CT18655:时有咳漱、咳白色痰 [打印本页]

作者: wmsyy    时间: 2009-3-13 23:12
标题: CT18655:时有咳漱、咳白色痰
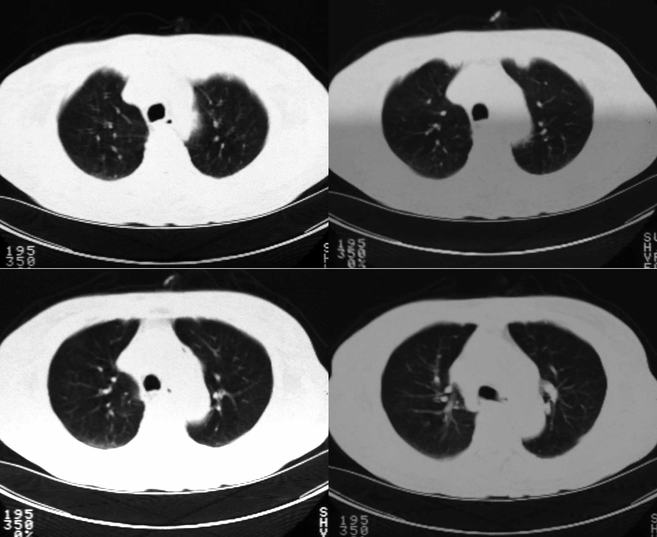
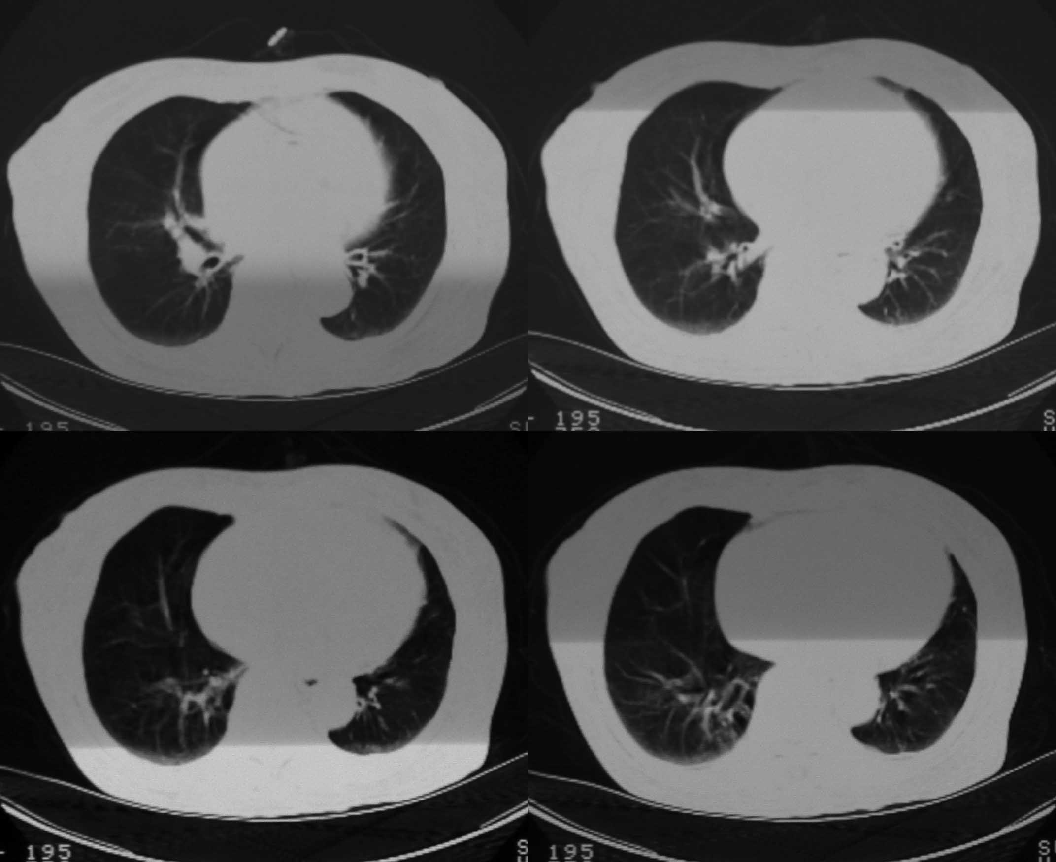
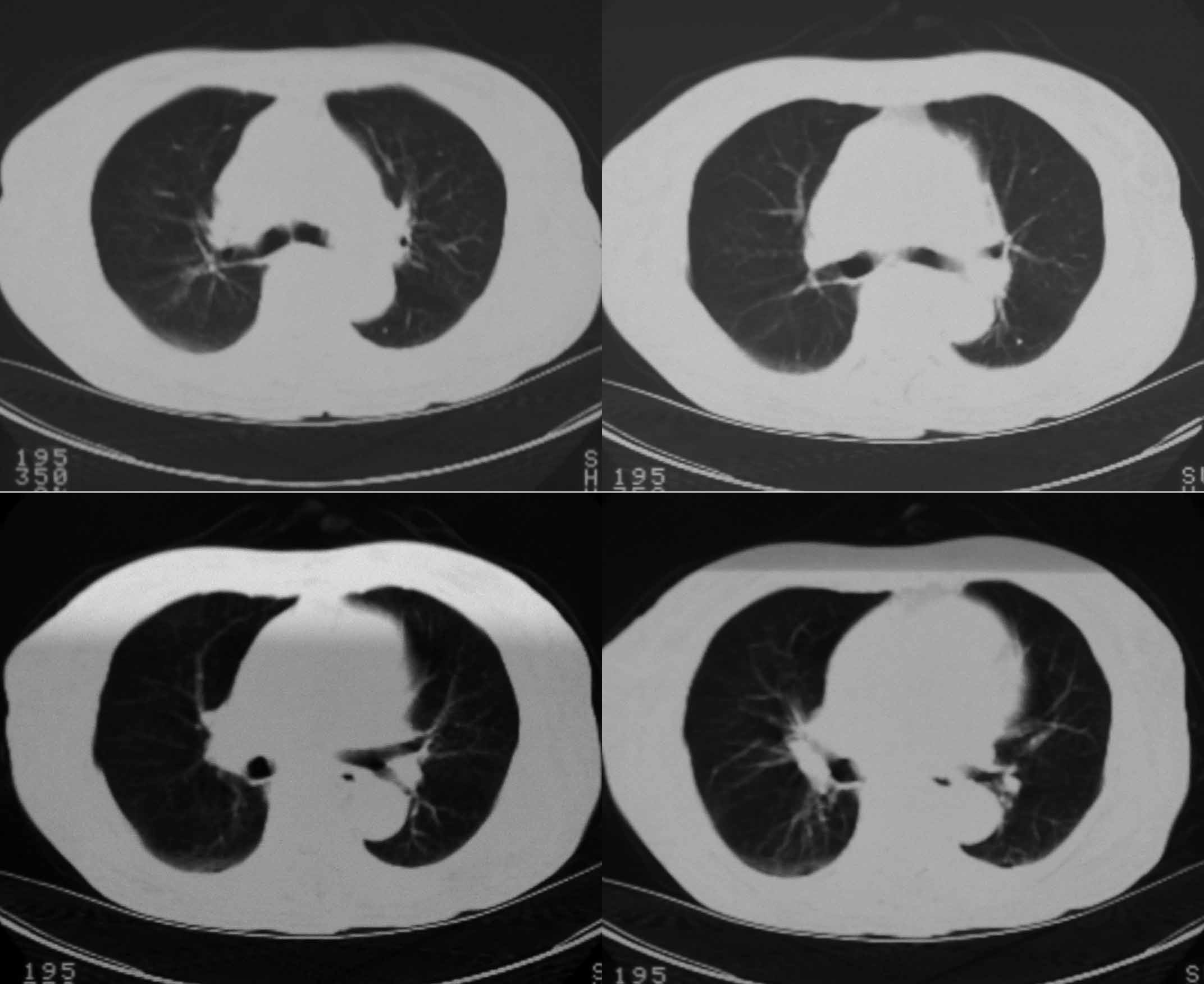
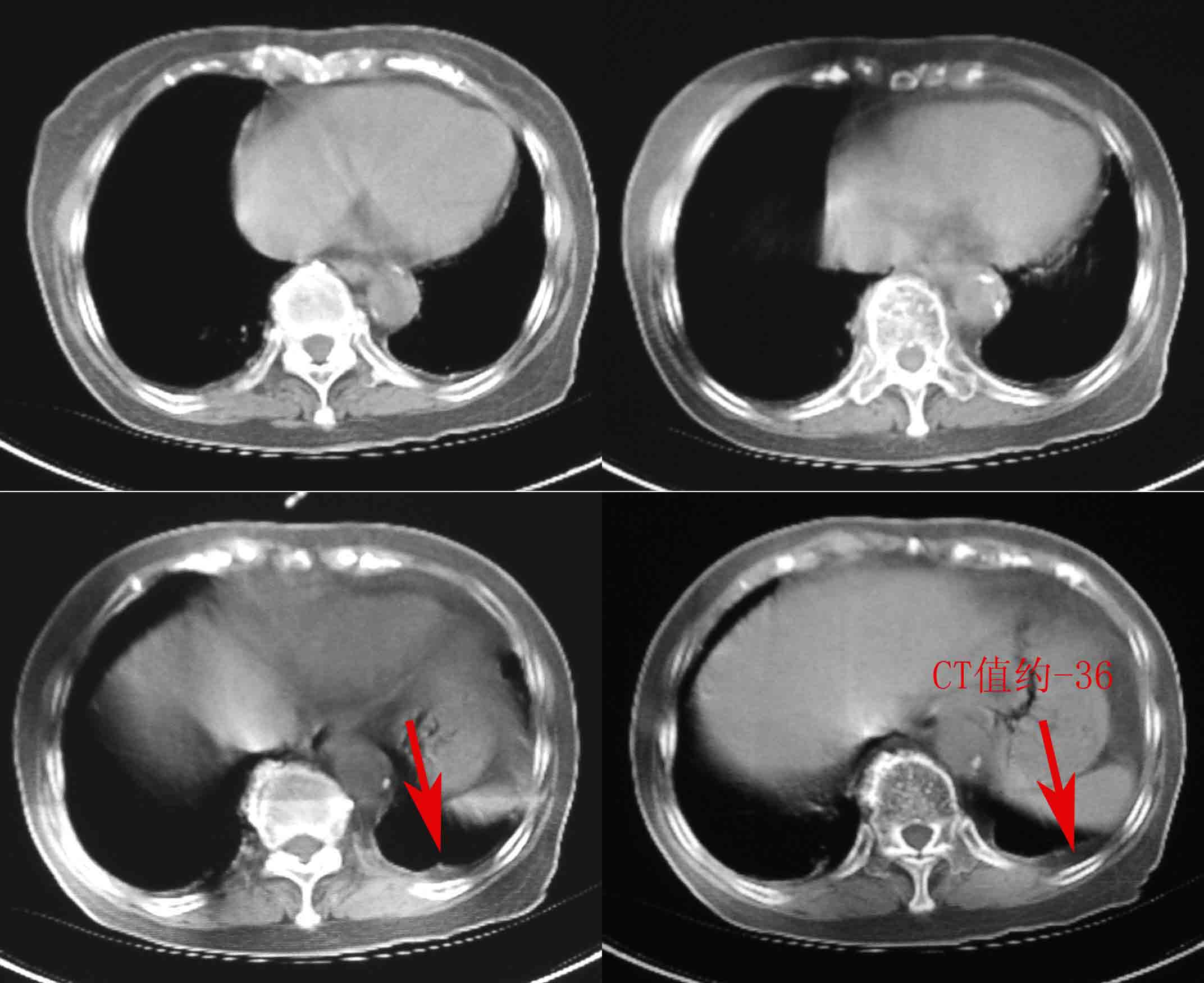
女69岁。时有咳漱、咳白色痰请老师们看看箭头所指是什么?ct值约-36.报告应该怎样写?谢谢!













[本贴已被 翁志蓬 于 2009-3-13 22:58:27 修改过]

作者: zsl6918    时间: 2009-3-13 23:16
说实话,图像质量一般,楼主所指为局部胸膜肥厚表现
作者: 随光逐影    时间: 2009-3-13 23:53
考虑左后下胸内侧壁与胸膜之间脂肪影。
作者: yifan2008    时间: 2009-3-14 00:13
标题: 回复:时有咳漱、咳白色痰
以下是引用zsl6918在2009-3-13 15:16:00的发言:[br]说实话,图像质量一般,楼主所指为局部胸膜肥厚表现

支持
作者: chinanyd    时间: 2009-3-14 00:46
机器质量不是很好,胸膜肥厚?
作者: songyi    时间: 2009-3-14 01:00
楼主所指为局限性胸膜肥厚
作者: 卜一    时间: 2009-3-14 01:00
左后下胸内侧壁与胸膜之间脂肪影。
作者: 边生丽    时间: 2009-3-14 01:31
楼主所指为局限性胸膜肥厚
作者: 影象小辈    时间: 2009-3-14 01:34
楼主所指为局限性胸膜肥厚  ct值是因为肺窗
作者: zhao_bin2008    时间: 2009-3-14 01:41
局限性胸膜肥厚  ct值有时也不准
作者: 余辉    时间: 2009-3-14 01:59
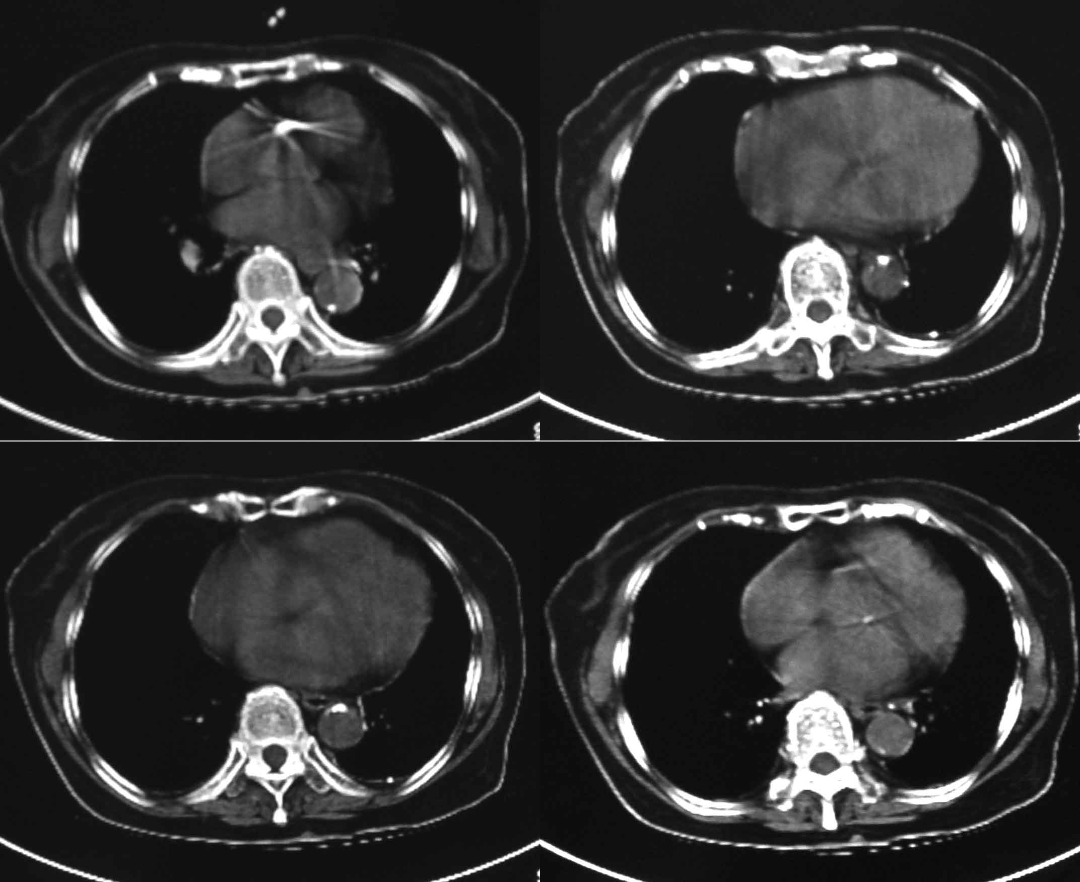
局限性胸膜肥厚,心影增大,建议心超检查
作者: 杀毒软件    时间: 2009-3-14 04:00
标题: 回复:时有咳漱、咳白色痰
以下是引用随光逐影在2009-3-13 15:53:00的发言:[br]考虑左后下胸内侧壁与胸膜之间脂肪影。

支持
作者: 黑白光影    时间: 2009-3-14 04:31
考虑左后下胸内侧壁与胸膜之间脂肪影。支持
作者: xulianj    时间: 2009-3-14 04:50
胸膜下脂肪影。
作者: dengkai    时间: 2009-3-14 07:55
左后下胸内侧壁与胸膜之间脂肪影。




欢迎光临 医影在线 (http://bbs.radida.com/bbs/) Powered by Discuz! X3.2