医影在线

标题: CT18660:肝脏病变,请各位高手指教 [打印本页]

作者: czhszbd    时间: 2009-3-13 23:45
标题: CT18660:肝脏病变,请各位高手指教
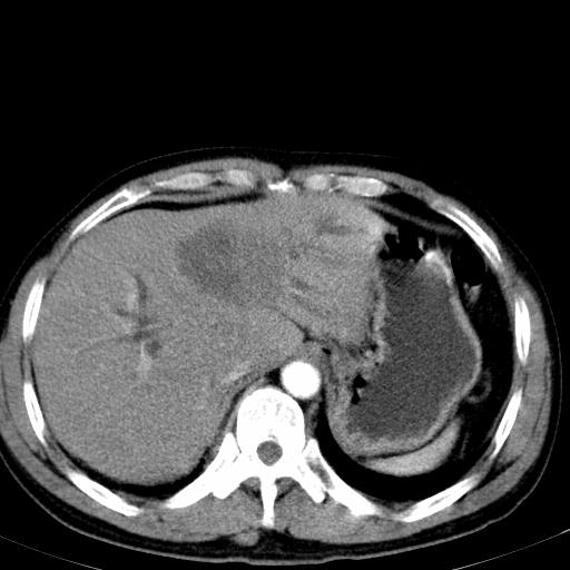
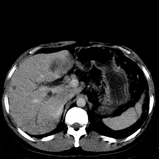
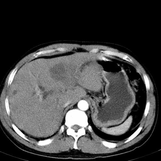
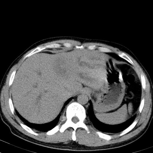
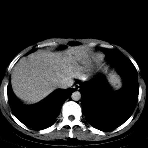
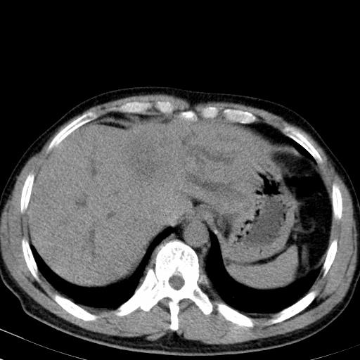
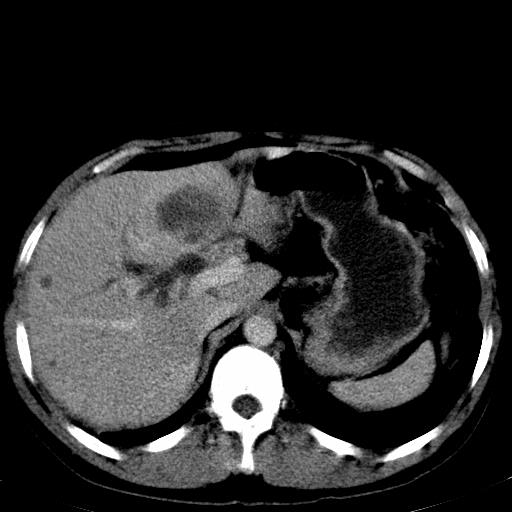
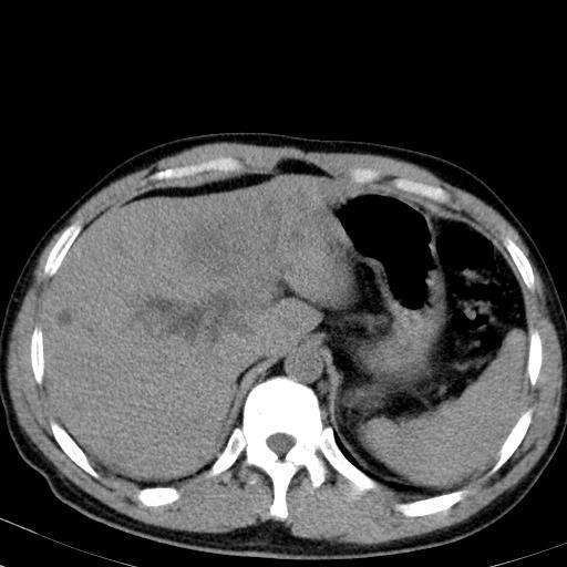
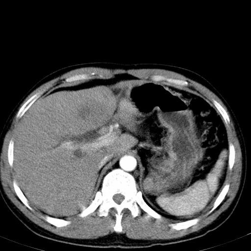
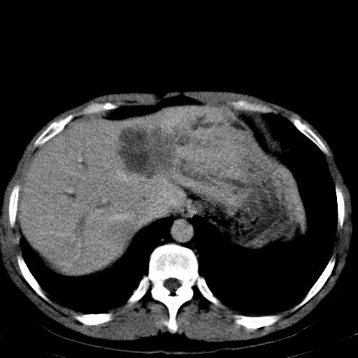
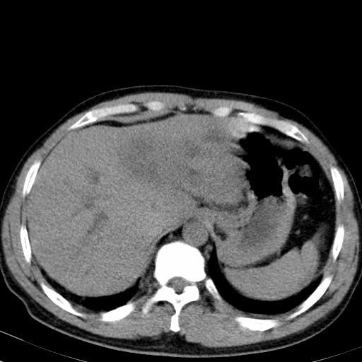
患者上腹部疼痛一月余,伴巩膜黄染;





















[本贴已被 翁志蓬 于 2009-3-13 23:02:14 修改过]

作者: zsl6918    时间: 2009-3-13 23:50
实事求是的说,强化效果很一般,重点部位应重点观察,但有一点可以明确:肝门部胆管细胞癌。
作者: 随光逐影    时间: 2009-3-13 23:59
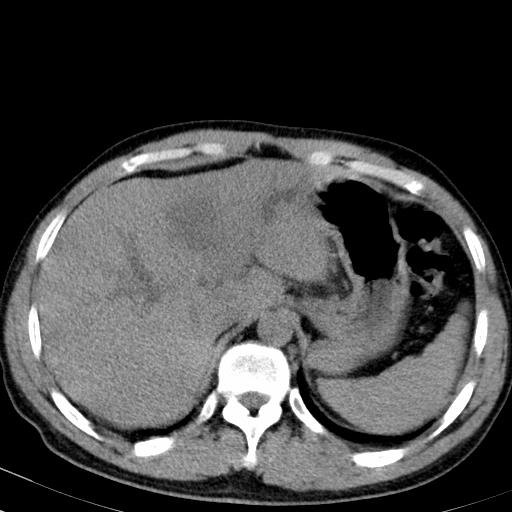
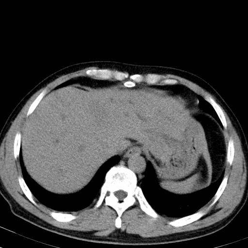
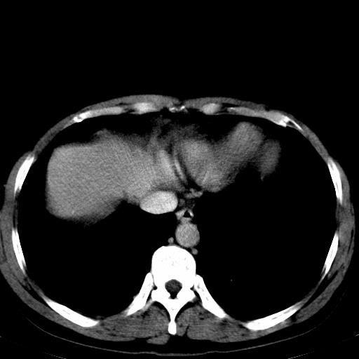
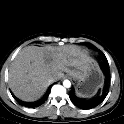
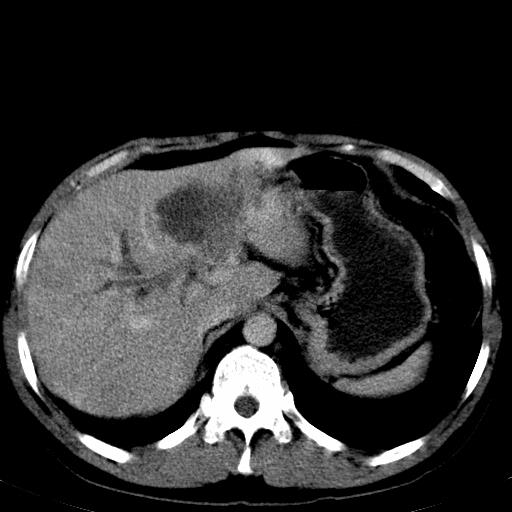
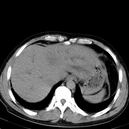
考虑肝左叶胆管细胞癌侵犯肝门区并肝内胆管及肝总管扩张。
作者: 珠江医院    时间: 2009-3-14 00:26
胆管细胞癌吧
作者: ncy888888    时间: 2009-3-14 00:30
肝左叶肿块清度增强,所在的叶胆管扩张。考虑胆管细胞癌。
作者: chinanyd    时间: 2009-3-14 00:33
胆管细胞癌,增强效果不是很好
作者: chinanyd    时间: 2009-3-14 00:35
胆管细胞癌
作者: 卜一    时间: 2009-3-14 01:03
考虑肝左叶胆管细胞癌侵犯肝门区并肝内胆管及肝总管扩张。

支持!
作者: songyi    时间: 2009-3-14 01:08
肝左叶胆管细胞癌侵犯肝门区并肝内胆管及肝总管扩张
作者: zhao_bin2008    时间: 2009-3-14 01:25
考虑肝左叶胆管细胞癌侵犯肝门区并肝内胆管及肝总管扩张。

支持!
作者: 边生丽    时间: 2009-3-14 01:28
肝左叶胆管细胞癌侵犯肝门区并肝内胆管及肝总管扩张
作者: 影象小辈    时间: 2009-3-14 01:38
考虑肝左叶胆管细胞癌侵犯肝门区并肝内胆管及肝总管扩张。
作者: 杀毒软件    时间: 2009-3-14 03:55
胆管细胞癌
作者: xulianj    时间: 2009-3-14 03:56
考虑肝左叶胆管细胞癌侵犯肝门区并肝内胆管及肝总管扩张。
作者: 黑白光影    时间: 2009-3-14 04:33
考虑肝左叶胆管细胞癌侵犯肝门区并肝内胆管及肝总管扩张。
作者: 清晨的小雨    时间: 2009-3-14 07:56
期待病理结果
作者: dengkai    时间: 2009-3-14 08:06
考虑肝左叶胆管细胞癌侵犯肝门区并肝内胆管及肝总管扩张。

   支持!
作者: 余辉    时间: 2009-3-14 17:40
考虑肝左叶胆管细胞癌侵犯肝门区并肝内胆管及肝总管扩张。
作者: LIAOQIANG    时间: 2009-3-14 19:52
考虑肝左叶胆管细胞癌侵犯肝门区并肝内胆管及肝总管扩张、肝门淋巴结肿大。
作者: 寂寞沙洲冷    时间: 2009-3-14 20:31
支持
作者: panyishengct    时间: 2009-3-14 20:48
考虑肝左叶胆管细胞癌侵犯肝门区并肝内胆管及肝总管扩张。

支持!
作者: 漫步者    时间: 2009-3-14 22:15
考虑肝左叶胆管细胞癌侵犯肝门区并肝内胆管及肝总管扩张。

支持!
作者: dr.yang    时间: 2012-6-14 20:16
考虑肝左叶胆管细胞癌侵犯肝门区并肝内胆管及肝总管扩张。




欢迎光临 医影在线 (http://bbs.radida.com/bbs/) Powered by Discuz! X3.2