医影在线

标题: CT18657:肺部病变,请帮忙看看 [打印本页]

作者: czhszbd    时间: 2009-3-13 23:56
标题: CT18657:肺部病变,请帮忙看看
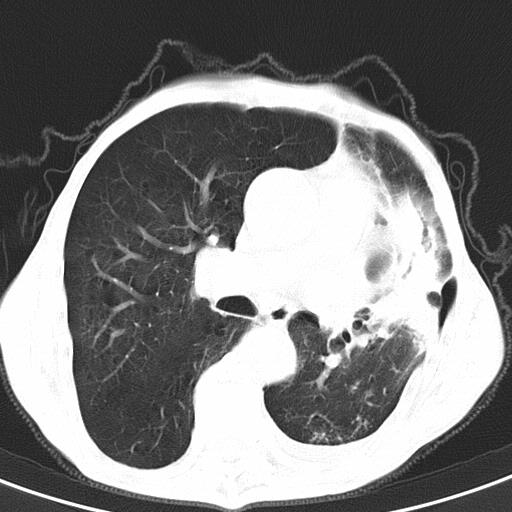
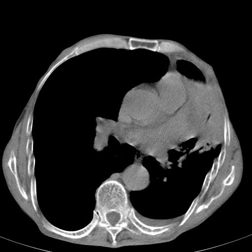
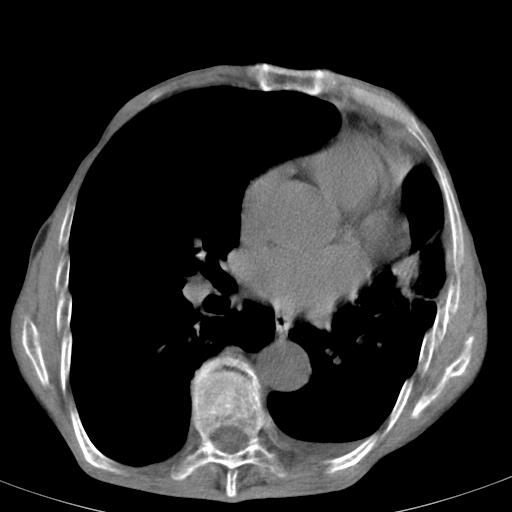
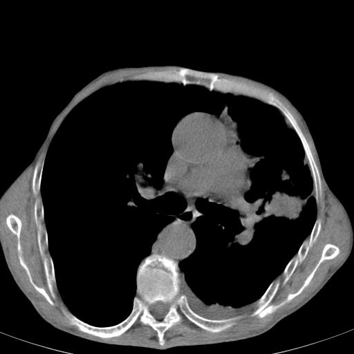
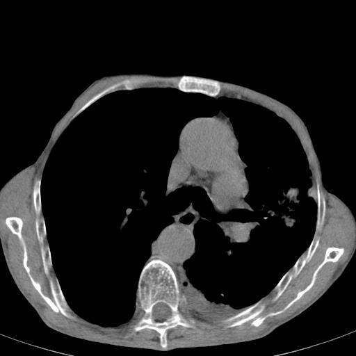
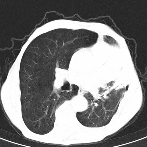
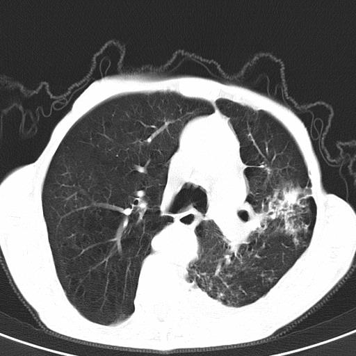
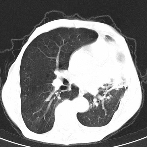
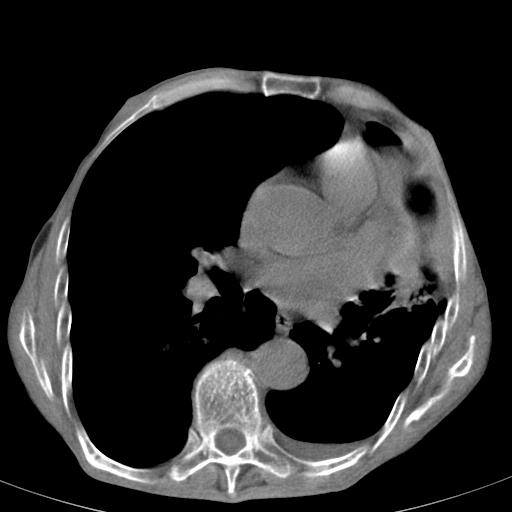
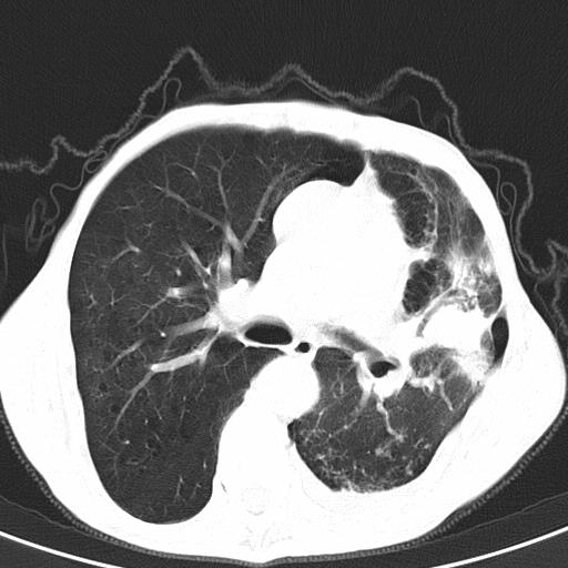
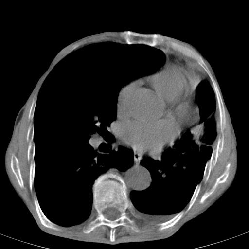
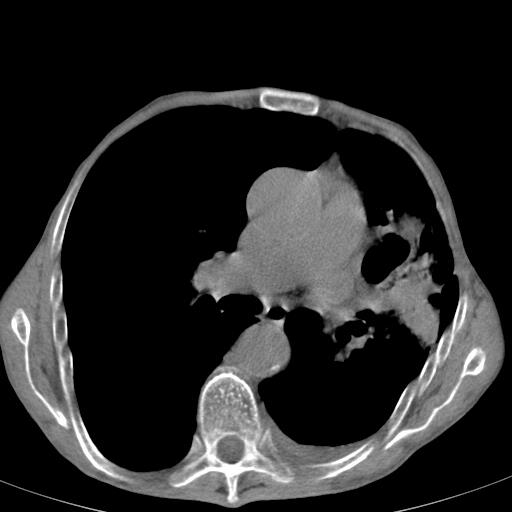
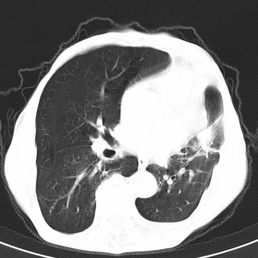
患者78岁,咳嗽胸闷一年余,近月来左侧胸痛;





















[本贴已被 翁志蓬 于 2009-3-13 23:00:15 修改过]

作者: zsl6918    时间: 2009-3-13 23:58
建议强化,首先考虑左肺癌胸膜转移。
作者: zsl6918    时间: 2009-3-13 23:59
建议强化,首先考虑左肺癌胸膜转移。
作者: SRK    时间: 2009-3-14 00:09
左侧少量胸腔积液,局限胸膜增厚,结合病史,考虑慢性肺炎.
作者: chinanyd    时间: 2009-3-14 00:21
患者左侧胸廓塌陷说明是长期病变,考虑tb性胸膜炎可能性大,另外有明显的肺气肿,建议行结核菌素实验,或者增强扫描
作者: yifan2008    时间: 2009-3-14 00:23
1.慢支肺气肿。2.左肺感染,建议治疗后复查。3.左侧少量胸水。
作者: 珠江医院    时间: 2009-3-14 00:24
不能排除瘢痕癌噢
作者: 卜一    时间: 2009-3-14 01:04
1.慢支肺气肿。2.左肺感染,建议治疗后复查,待除外继发性肺结核合并感染。3.左侧少量胸水。
作者: zrs    时间: 2009-3-14 01:08
标题: 回复:肺部病变,请帮忙看看
以下是引用卜一在2009-3-13 17:04:00的发言:[br]1.慢支肺气肿。2.左肺感染,建议治疗后复查,待除外继发性肺结核合并感染。3.左侧少量胸水。

作者: 边生丽    时间: 2009-3-14 01:11
1.慢支肺气肿。2.左肺感染,建议治疗后复查,待除外继发性肺结核合并感染。3.左侧少量胸水。
作者: 随光逐影    时间: 2009-3-14 01:14
1)考虑左肺慢性感染性病变(结核可能)。2)左肺上叶周围型肺癌不排除;建议追踪复查。3)肺气肿。4)左侧胸腔积液,左侧胸膜增厚、粘连。
作者: zhao_bin2008    时间: 2009-3-14 01:33
1.慢支肺气肿。2.左肺感染,建议治疗后复查,待除外继发性肺结核合并感染。3.左侧少量胸水。
作者: 影象小辈    时间: 2009-3-14 01:36
1.慢支肺气肿。2.左肺感染,建议治疗后复查,待除外继发性肺结核合并感染。3.左侧少量胸水。
作者: 杀毒软件    时间: 2009-3-14 03:54
标题: 回复:肺部病变,请帮忙看看
以下是引用卜一在2009-3-13 17:04:00的发言:[br]1.慢支肺气肿。2.左肺感染,建议治疗后复查,待除外继发性肺结核合并感染。3.左侧少量胸水。

支持
作者: xulianj    时间: 2009-3-14 03:54
1)考虑左肺慢性感染性病变(结核可能)。2)左肺上叶周围型肺癌不排除;建议追踪复查。3)肺气肿。4)左侧胸腔积液,左侧胸膜增厚、粘连。
作者: 黑白光影    时间: 2009-3-14 04:42
1)考虑左肺慢性感染性病变(结核可能)。2)肺气肿。4)左侧胸腔积液,左侧胸膜增厚、粘连。3)左肺上叶周围型肺癌不排除;建议追踪复查。
作者: dengkai    时间: 2009-3-14 08:02
左肺感染,建议治疗后复查,待除外继发性肺结核合并感染。.左侧少量胸水。




欢迎光临 医影在线 (http://bbs.radida.com/bbs/) Powered by Discuz! X3.2