医影在线

标题: CT18662:五官病变,看大家考虑什么? [打印本页]

作者: 516429ASDF    时间: 2009-3-14 01:44
标题: CT18662:五官病变,看大家考虑什么?
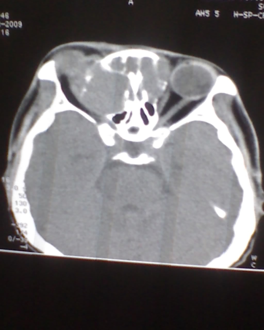
女,45岁,右眼突出,视力模糊来诊。













[本贴已被 翁志蓬 于 2009-3-13 23:04:10 修改过]

作者: 余辉    时间: 2009-3-14 01:55
明显的骨质改变,考虑内翻乳头状瘤,其他如筛窦炎伴双眶炎性假瘤及其他占位性病变不除外
作者: whzht    时间: 2009-3-14 02:09
考虑筛窦粘液囊肿。
作者: 516429ASDF    时间: 2009-3-14 02:11
要不要考虑筛窦癌?

此例偏向于良性还是恶性?

筛窦很少长良性肿瘤,但这例恶性征象又不太明显,骨质有膨胀改变。

请大家多多指教。
作者: 杀毒软件    时间: 2009-3-14 02:15
首选考虑---恶性淋巴瘤侵犯眶内
作者: 流浪星    时间: 2009-3-14 03:27
考虑付鼻窦炎伴双眶炎性假瘤可能性大。
作者: zhw974247    时间: 2009-3-14 03:47
考虑筛窦粘液囊肿,不除外恶变?
作者: 随光逐影    时间: 2009-3-14 03:52
1)不排除嗅神经母细胞瘤侵犯双侧眼眶可能。2)双侧额窦及双侧蝶窦炎症。
作者: xulianj    时间: 2009-3-14 04:46
考虑筛窦粘液囊肿。双筛窦、额窦、蝶窦炎症。
作者: 黑白光影    时间: 2009-3-14 05:07
标题: 回复:五官病变,看大家考虑什么?
以下是引用随光逐影在2009-3-13 19:52:00的发言:[br]1)不排除嗅神经母细胞瘤侵犯双侧眼眶可能。2)双侧额窦及双侧蝶窦炎症。

支持
作者: cefcmj    时间: 2009-3-14 05:08
双侧筛窦可见软组织影充填,筛板破坏,肿块突向双侧眼眶内,以右侧为明显,右侧眼球向前外推压,右视神经稍外移。
考虑良性病变,内翻乳头状瘤可能性大,不除外息肉等。
作者: 同    时间: 2009-3-14 05:29
标题: 回复:五官病变,看大家考虑什么?
以下是引用随光逐影在2009-3-13 19:52:00的发言:[br]1)不排除嗅神经母细胞瘤侵犯双侧眼眶可能。2)双侧额窦及双侧蝶窦炎症。

作者: 卜一    时间: 2009-3-14 05:40
双侧筛窦可见软组织影充填,筛板破坏,肿块突向双侧眼眶内,以右侧为明显,右侧眼球向前外推压,右视神经稍外移。
考虑良性病变,内翻乳头状瘤可能性大,不除外息肉等。支持!(病灶明显起源于鼻窦,呈膨胀性生长,周边骨质吸收 破坏)。
作者: zwjyr    时间: 2009-3-14 06:22
双侧额窦,筛窦可见软组织影充填,筛板破坏,肿块突向双侧眼眶内,以右侧为明显,右侧眼球向前外推压,右视神经稍外移。
考虑良性病变,黏液囊肿可能性大,不除外内翻乳头状瘤等,建议强化.前者不增强.
作者: huangxinghai    时间: 2009-3-14 06:26
支持筛窦粘液囊肿
作者: dengkai    时间: 2009-3-14 07:50
考虑筛窦粘液囊肿,不除外恶变?
作者: LIAOQIANG    时间: 2009-3-14 19:40
考虑筛窦和额窦炎伴筛窦粘液囊肿。
作者: 漫步者    时间: 2009-3-14 23:06
考虑筛窦粘液囊肿。双筛窦、额窦、蝶窦炎症,双眶炎性假瘤待排。
作者: zbp537    时间: 2009-3-15 01:56
来个冠状位看看肿块主体究竟在哪。
作者: panyishengct    时间: 2009-3-15 05:01
1)不排除嗅神经母细胞瘤侵犯双侧眼眶可能。2)双侧额窦及双侧蝶窦炎症。
作者: zss关东大先    时间: 2009-3-15 05:57
考虑筛窦内的乳头状瘤或者是恶性肿瘤部除外




欢迎光临 医影在线 (http://bbs.radida.com/bbs/) Powered by Discuz! X3.2