医影在线

标题: CT18663:女 58岁 左髂区庝痛一年余,加重两月 [打印本页]

作者: 小小大夫    时间: 2009-3-14 02:04
标题: CT18663:女 58岁 左髂区庝痛一年余,加重两月
考虑软骨肉瘤,谁给描述一下












[本贴已被 翁志蓬 于 2009-3-13 23:04:56 修改过]

作者: 杀毒软件    时间: 2009-3-14 02:27
谁说是软骨肉瘤?不支持----软骨肉瘤
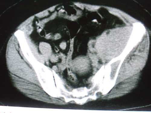
左髂翼内前方软组织样肿块,其密度不均匀,内部呈略低密度的改变,肿块边界清楚,呈宽基底与髂骨“接触”,髂骨骨质破坏。未见明显骨膜反应性增生,及骨旁瘤骨存在。病变不侵犯同侧骶髂关节。

考虑----1 纤维肉瘤-----年龄、表现符合,病变为低度恶性。  或    2  转移瘤-----为髂骨发病率第一病变,需警惕。
作者: 流浪星    时间: 2009-3-14 03:37
左侧髂內肌明显肿大,密度稍不均,可见略低密度的改变,其边界清楚,与髂腰肌间脂肪间隙清晰,与髂骨呈宽基底“接触”,髂骨骨质膨胀性破坏。
考虑左侧髂內肌恶性肿物,建议病检确诊。
作者: songyi    时间: 2009-3-14 04:25
考虑左髂骨转移瘤可能性大
作者: 沉默是金    时间: 2009-3-14 04:29
考虑左髂骨转移瘤可能性大
作者: 随光逐影    时间: 2009-3-14 04:31
考虑左侧髂骨恶性骨肿瘤。
作者: xulianj    时间: 2009-3-14 04:53
不支持软骨肉瘤,但一定是恶性肿瘤。
作者: 不学无术    时间: 2009-3-14 05:02
标题: 回复:女 58岁 左髂区庝痛一年余,加重两月
以下是引用随光逐影在2009-3-13 20:31:00的发言:[br]考虑左侧髂骨恶性骨肿瘤。

作者: 黑白光影    时间: 2009-3-14 05:10
左侧髂骨恶性骨肿瘤。
作者: 同    时间: 2009-3-14 05:30
标题: 回复:女 58岁 左髂区庝痛一年余,加重两月
以下是引用随光逐影在2009-3-13 20:31:00的发言:[br]考虑左侧髂骨恶性骨肿瘤。

作者: 卜一    时间: 2009-3-14 05:42
考虑左髂骨转移瘤或原发性髂骨恶性骨肿瘤。
作者: dengkai    时间: 2009-3-14 06:05
考虑左侧髂骨恶性骨肿瘤。
作者: huangxinghai    时间: 2009-3-14 06:22
左侧髂骨恶性肿瘤
作者: 伍星    时间: 2009-3-14 07:13
考虑左髂骨转移瘤可能性大
作者: LIAOQIANG    时间: 2009-3-14 19:34
左侧髂骨恶性骨肿瘤,转移瘤?
作者: 漫步者    时间: 2009-3-14 23:29
左侧髂骨恶性骨肿瘤.支持。




欢迎光临 医影在线 (http://bbs.radida.com/bbs/) Powered by Discuz! X3.2