医影在线

标题: CT18665:F47y,下腹部疼痛半月。 [打印本页]

作者: lczeng    时间: 2009-3-14 02:25
标题: CT18665:F47y,下腹部疼痛半月。
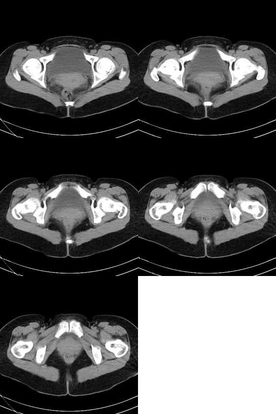
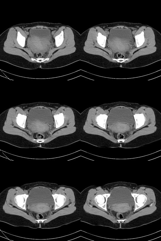
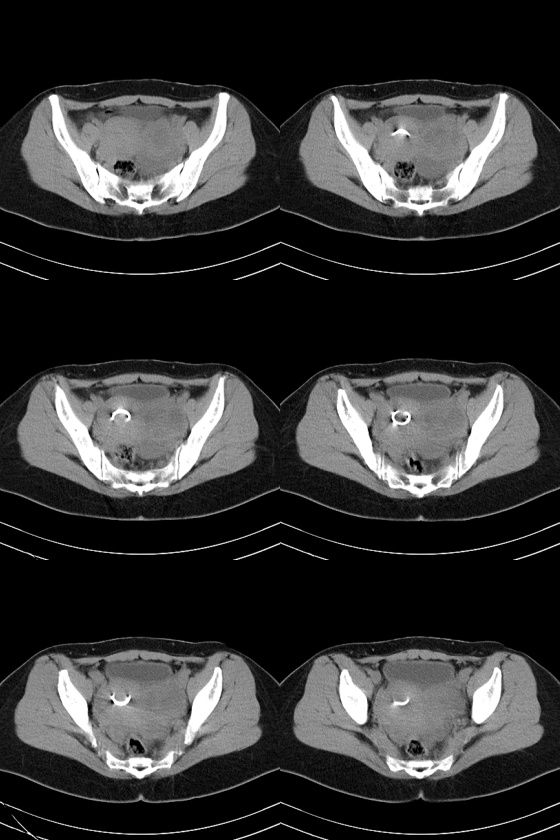
47岁女性,下腹部疼痛伴发热(38度)半月。b超提示宫底见3.0cm弱回声团块,边界清楚,形态规则,左侧附件区见不规则形态杂乱回声团块,其内可见液性暗区。b超同时提示肝脏见多个1.5cm的占位性病变。患者不同意做增强扫描。






[本贴已被 翁志蓬 于 2009-3-13 23:07:13 修改过]

作者: 杀毒软件    时间: 2009-3-14 02:35
没看见肝呀。不增强,只能猜。
  
考虑----左侧卵巢癌继发肝转移? 子宫及左附件区感染性病变?
作者: 流浪星    时间: 2009-3-14 03:45
首先考虑子宫及左附件区感染性病变,抗炎治疗后复查。
作者: 影象小辈    时间: 2009-3-14 03:49
平扫子宫附件病变多考虑为炎性包块
作者: 随光逐影    时间: 2009-3-14 04:24
1)左侧附件区囊实性占位性病变,性质待定;建议行进一步检查。2)子宫肌瘤?3)盆腔积液。
作者: songyi    时间: 2009-3-14 04:35
考虑左侧附件区炎性包块可能性大
作者: xulianj    时间: 2009-3-14 04:59
左侧附件区囊实性占位性病变,囊腺瘤或癌。
作者: 黑白光影    时间: 2009-3-14 05:17
左侧附件区囊实性占位性病变,建议行进一步检查。
作者: 卜一    时间: 2009-3-14 05:50
左侧附件区囊实性占位性病变,囊腺瘤或癌不排除!
作者: huangxinghai    时间: 2009-3-14 06:04
左侧附件区占位
作者: dengkai    时间: 2009-3-14 06:29
考虑左侧附件区炎性包块可能性大
作者: 深泽交通    时间: 2009-3-14 17:36
标题: 回复:ct18665:f47y,下腹部疼痛半月。
以下是引用流浪星在2009-3-13 19:45:00的发言:[br]首先考虑子宫及左附件区感染性病变,抗炎治疗后复查。

作者: 宇宙CT    时间: 2009-3-14 18:11
左侧附件区囊实性占位性病变,囊腺瘤或癌不排除!
作者: jiangjing    时间: 2009-3-14 18:36
首先考虑子宫及左附件区感染性病变,抗炎治疗后复查。2)子宫肌瘤?3)盆腔积液。
作者: CTqiu    时间: 2009-3-14 18:55
左附件区囊性病变,囊内密度不均,也不能话是实性,也可以出血啊,所以还是做个增强或mri好点.不要作出太过重诊断.而且也没出见过肝ct图像.患者痛半月,可能囊肿伴出血或巧克力囊肿呢.
作者: ncy888888    时间: 2009-3-14 18:57
左附件囊实性肿块。结合病史,应考虑炎性包块。
作者: CTqiu    时间: 2009-3-14 18:57
所示盆腔区未见什么恶性征象,连一点积液也没有,炎性包块也慎重.
作者: wxhjlw    时间: 2009-3-14 19:40
左侧附件区囊实性占位性病变,囊腺瘤或癌
作者: 漫步者    时间: 2009-3-14 23:03
左侧附件区囊实性占位性病变,囊腺瘤或癌。
作者: zhw974247    时间: 2009-3-14 23:22
左侧附件区囊实性占位性病变,囊腺瘤或癌不排除!
作者: zbp537    时间: 2009-3-15 02:06
1、考虑左侧卵巢癌并肝转移(依据:左侧附件区囊实性包块,盆腔有积液,肝脏有多个占位),当然没有增强只是提示一种可能性。
2、病人有发烧,又不能排除左侧输卵管感染性病变,如病人不增强那就抗炎治疗后复查有助诊断。
作者: pujunzhi    时间: 2009-3-15 02:29
左侧附件区囊实性占位性病变(囊腺瘤或癌),建议行进一步检查。




欢迎光临 医影在线 (http://bbs.radida.com/bbs/) Powered by Discuz! X3.2