医影在线

标题: CT18666:上腹部 [打印本页]

作者: 还珠格格    时间: 2009-3-14 02:34
标题: CT18666:上腹部
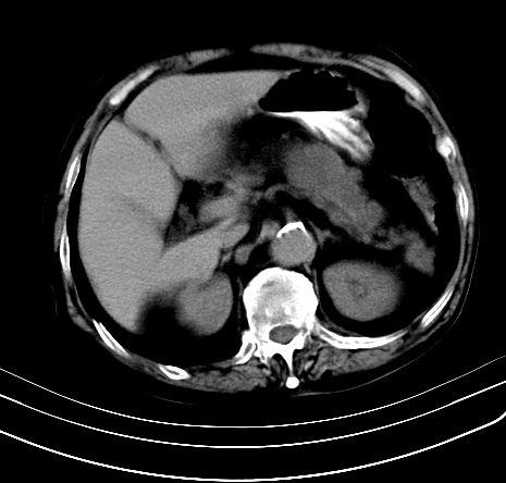
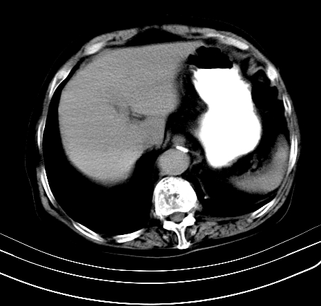
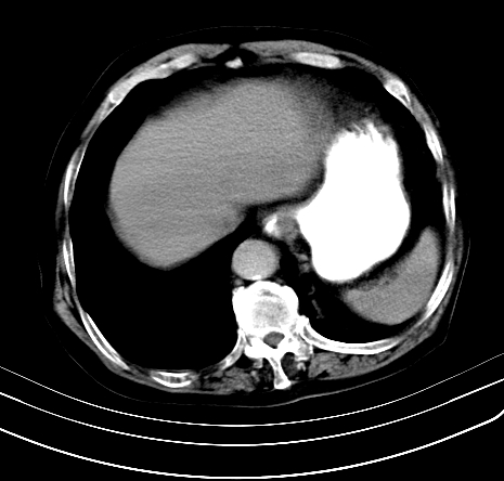
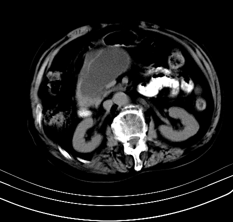
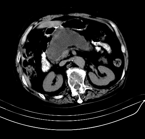
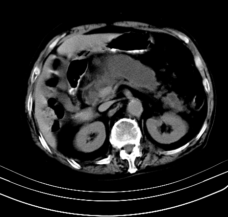
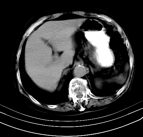
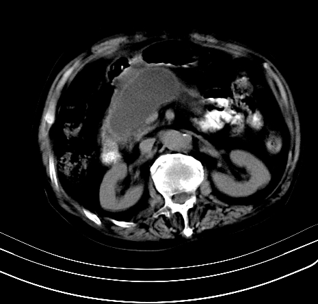
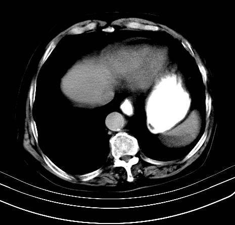
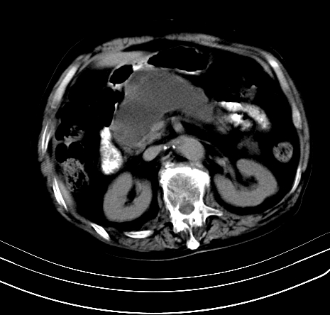
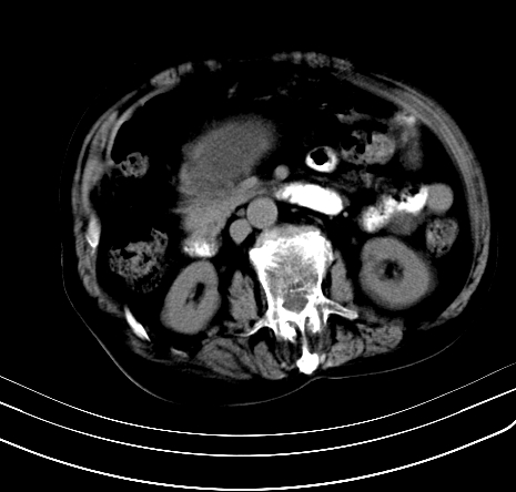
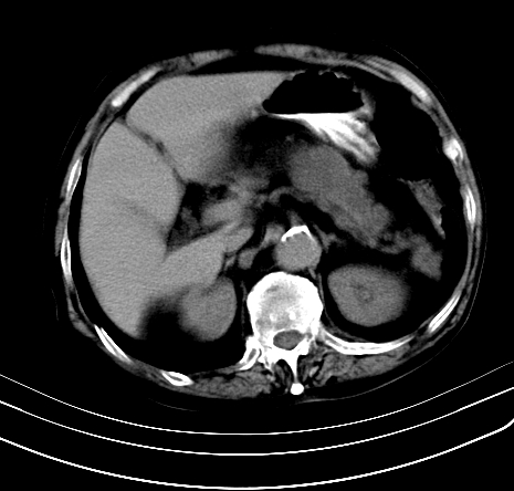
上腹部疼痛不适,行ct检查
















[本贴已被 翁志蓬 于 2009-3-13 23:08:19 修改过]

作者: 杀毒软件    时间: 2009-3-14 03:06
增强看看,考虑----胰腺淋巴管囊肿可能。
作者: 流浪星    时间: 2009-3-14 03:51
胰腺明显肿大,密度减低,考虑慢性胰腺炎,假性囊肿形成不除外。
作者: 随光逐影    时间: 2009-3-14 04:10
不排除胰腺癌可能。
作者: songyi    时间: 2009-3-14 04:42
考虑胰腺炎,假性囊肿形成
作者: xulianj    时间: 2009-3-14 05:04
建议增强。请提供更多病史。
作者: 黑白光影    时间: 2009-3-14 05:24
胰腺明显肿大,考虑慢性胰腺炎假性囊肿形成,不除外胰腺癌可能。
作者: huangxinghai    时间: 2009-3-14 05:47
考虑胰腺炎,假性囊肿形成
作者: 卜一    时间: 2009-3-14 05:55
胰腺明显肿大,密度减低,考虑慢性胰腺炎,假性囊肿形成不除外!支持!
作者: 子期    时间: 2009-3-14 06:00
支持慢性胰腺炎假性囊肿形成.
作者: 学医    时间: 2009-3-14 06:07
胰腺明显肿大,考虑慢性胰腺炎假性囊肿形成,不除外胰腺癌可能
作者: 野鹅    时间: 2009-3-14 06:23
胰腺较明显扩大,胰周有渗出;肾周筋膜有增厚渗出,以左肾为著。应考虑急性胰腺炎。
作者: dengkai    时间: 2009-3-14 06:36
胰腺明显肿大,考虑慢性胰腺炎假性囊肿形成,不除外胰腺癌可能。
作者: 岚儿    时间: 2009-3-14 06:52
慢性胰腺炎伴假性囊肿形成。
作者: 清晨的小雨    时间: 2009-3-14 07:03
支持慢性胰腺炎假性囊肿形成
作者: wanggang1972    时间: 2009-3-14 16:23
慢性胰腺炎,假囊肿形成,脂肪肝。
作者: 余辉    时间: 2009-3-14 17:11
考虑慢性胰腺炎伴潴留囊肿,假性囊肿不除外
作者: 王仕学    时间: 2009-3-14 17:30
支持慢性胰腺炎假性囊肿形成.
作者: 深泽交通    时间: 2009-3-14 17:35
标题: 回复:ct18666:上腹部
以下是引用流浪星在2009-3-13 19:51:00的发言:[br]胰腺明显肿大,密度减低,考虑慢性胰腺炎,假性囊肿形成不除外。

作者: 张林148    时间: 2009-3-14 17:46
慢性胰腺炎并假性囊肿可能大。建议增强,待排除胰腺癌。
作者: 宇宙CT    时间: 2009-3-14 18:21
胰腺明显肿大,密度减低,考虑慢性胰腺炎,假性囊肿形成不除外!支持!
作者: 泪洒红尘    时间: 2009-3-14 18:28
考虑慢性胰腺炎急性发作并假性囊肿形成.
作者: jiangjing    时间: 2009-3-14 18:32
支持慢性胰腺炎假性囊肿形成.
作者: CTqiu    时间: 2009-3-14 18:34
慢性胰腺炎并假性囊肿.
作者: LIAOQIANG    时间: 2009-3-14 19:09
考虑慢性胰腺炎并假性囊肿形成,不除外胰腺癌可能。
作者: wxhjlw    时间: 2009-3-14 19:38
支持慢性胰腺炎假性囊肿形成.
作者: yifan2008    时间: 2009-3-14 20:38
标题: 回复:ct18666:上腹部
以下是引用黑白光影在2009-3-13 21:24:00的发言:[br]胰腺明显肿大,考虑慢性胰腺炎假性囊肿形成,不除外胰腺癌可能。

支持
作者: 漫步者    时间: 2009-3-14 22:21
考虑慢性胰腺炎假性囊肿形成,不除外胰腺癌粘液状乳头状瘤可能。建议增强必要时ercp检查。
作者: zhw974247    时间: 2009-3-14 23:41
支持慢性胰腺炎假性囊肿形成.
作者: ct诊断高手    时间: 2009-3-15 00:29
支持
作者: zbp537    时间: 2009-3-15 01:39
考虑慢性胰腺炎并胰腺内假性囊肿可能。




欢迎光临 医影在线 (http://bbs.radida.com/bbs/) Powered by Discuz! X3.2