医影在线

标题: CT18670:男,36岁,胸闷气喘三天来诊,胸部典型病变 [打印本页]

作者: wanchuanyi1982    时间: 2009-3-14 08:30
标题: CT18670:男,36岁,胸闷气喘三天来诊,胸部典型病变
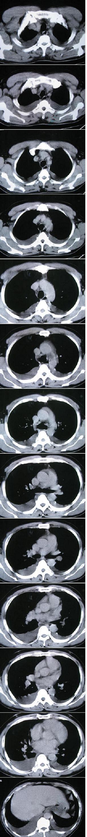
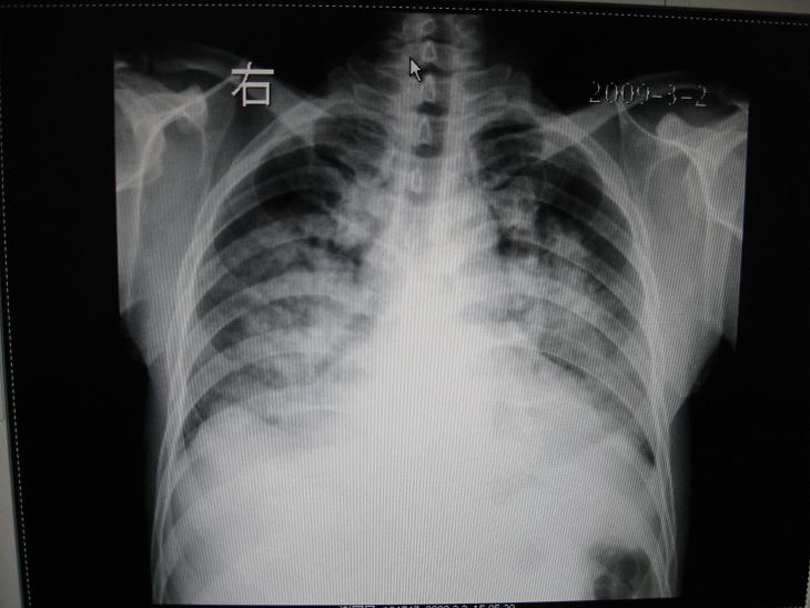
男,36岁,胸闷气喘三天来诊






[本贴已被 jiajie 于 2009-3-14 11:29:05 修改过]

作者: 杀毒软件    时间: 2009-3-14 09:35
考虑---肺水肿,双侧胸水。
作者: ct诊断高手    时间: 2009-3-14 09:49
双肺弥漫性病变 支持肺水肿 双侧胸水
作者: 随光逐影    时间: 2009-3-14 15:44
支持 1)肺水肿。2)双侧胸腔积液。
作者: wanggang1972    时间: 2009-3-14 16:05
支持肺水肿 双侧胸腔积液。
作者: 余辉    时间: 2009-3-14 17:03
支持肺水肿 双侧胸腔积液
作者: 张林148    时间: 2009-3-14 17:14
符合肺水肿改变,支持楼上诸诊断。
作者: 王仕学    时间: 2009-3-14 17:24
支持肺水肿,双侧胸积液。
作者: 深泽交通    时间: 2009-3-14 17:29
标题: 回复:胸部典型病变
以下是引用杀毒软件在2009-3-14 1:35:00的发言:[br]考虑---肺水肿,双侧胸水。

作者: 卜一    时间: 2009-3-14 17:50
支持:肺水肿 双侧胸腔积液。
作者: songyi    时间: 2009-3-14 17:52
支持:肺水肿 双侧胸腔积液
作者: jiangjing    时间: 2009-3-14 18:22
支持  肺水肿,双侧胸腔积液。心包少量积液。注意心功能检查
作者: CTqiu    时间: 2009-3-14 18:37
心衰\\肺水肿\\胸积液
作者: dengkai    时间: 2009-3-14 18:46
支持肺水肿 双侧胸腔积液。原因?低蛋白?心源性好像不像!
作者: LIAOQIANG    时间: 2009-3-14 18:58
考虑肺水肿,双侧胸腔积液。
作者: 黑白光影    时间: 2009-3-14 19:12
支持 1)肺水肿。2)双侧胸腔积液。
作者: gyh6308    时间: 2009-3-14 21:27
胸膜炎胸腔积液,肺水肿
作者: 漫步者    时间: 2009-3-14 22:06
典型肺泡性肺水肿伴双侧胸腔积液。
作者: zhw974247    时间: 2009-3-14 23:13
典型肺泡性肺水肿伴双侧胸腔积液,病因呢?
作者: 吴承学    时间: 2009-3-14 23:48
标题: 回复:ct18670:男,36岁,胸闷气喘三天来诊,胸部典型病变
以下是引用wanggang1972在2009-3-14 8:05:00的发言:[br]支持肺水肿 双侧胸腔积液。

作者: zbp537    时间: 2009-3-15 01:44
肺泡性肺水肿并双侧胸腔积液。
作者: pujunzhi    时间: 2009-3-15 02:45
支持 1)肺水肿。2)双侧胸腔积液。
作者: xulianj    时间: 2009-3-15 04:01
支持肺水肿 双侧胸水
作者: 梦杰    时间: 2009-3-15 06:17
肺水肿,双侧胸水,不会差,要找以下原因。
作者: dyqct    时间: 2009-3-15 23:53
支持 1)肺水肿。2)双侧胸腔积液。3)建议进一步检查,并更多的提供病情资料。




欢迎光临 医影在线 (http://bbs.radida.com/bbs/) Powered by Discuz! X3.2