











































































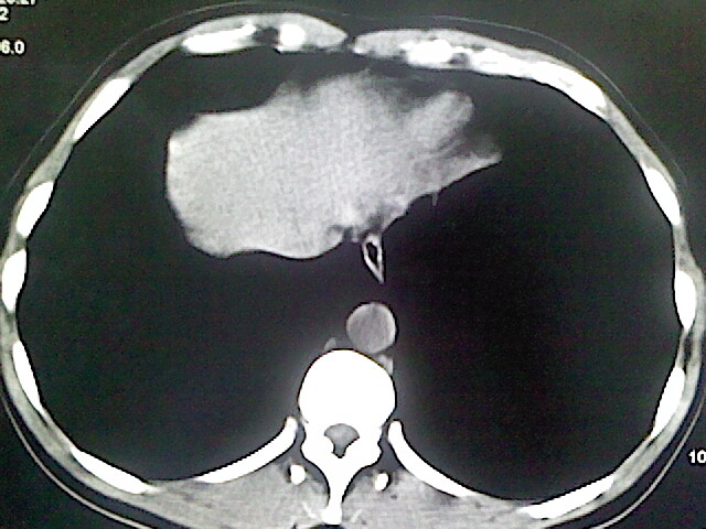
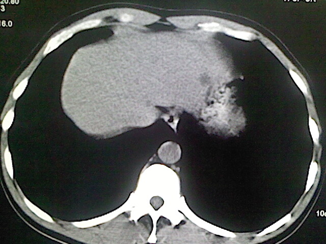
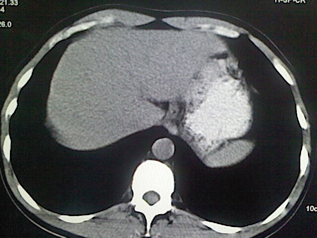
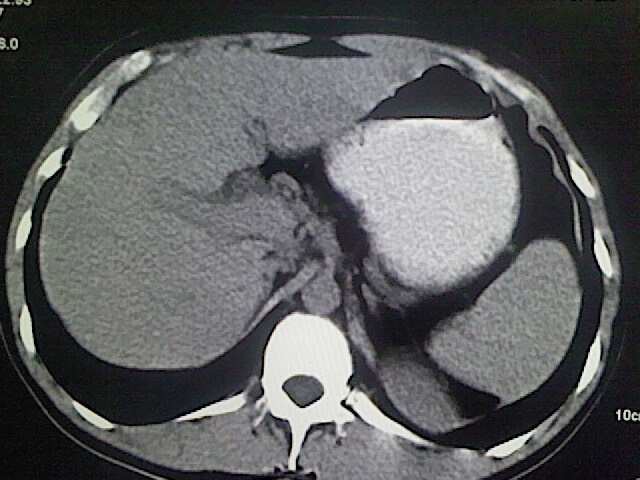
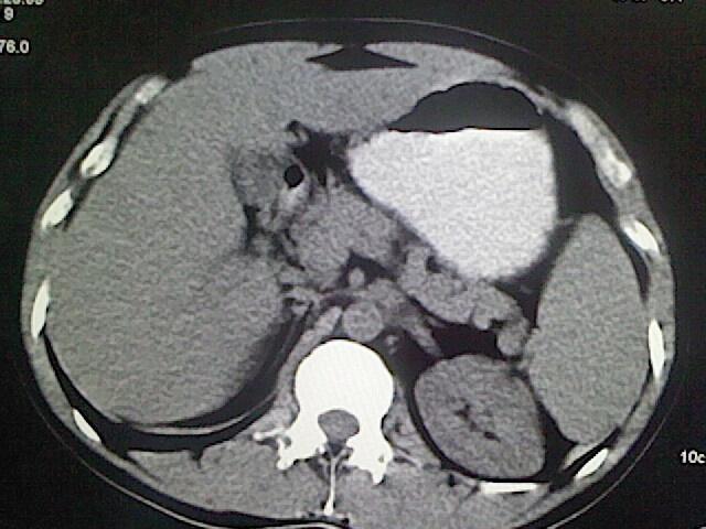
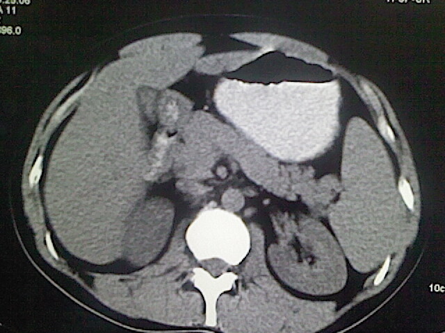
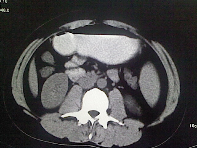
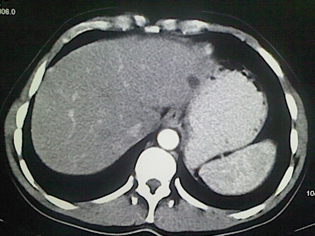
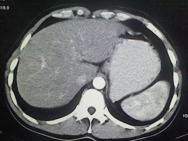
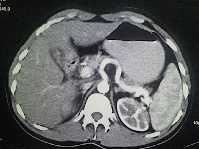
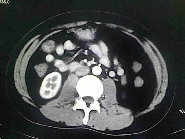
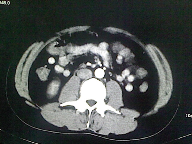
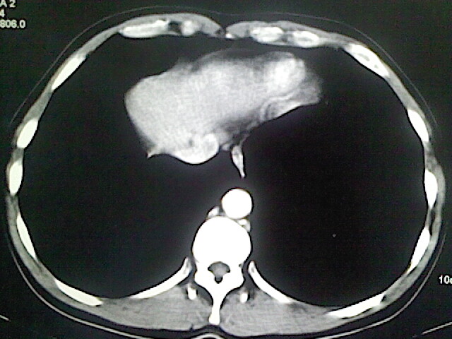
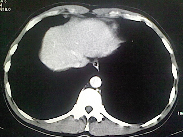
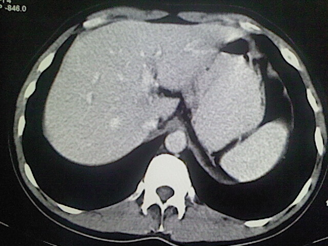
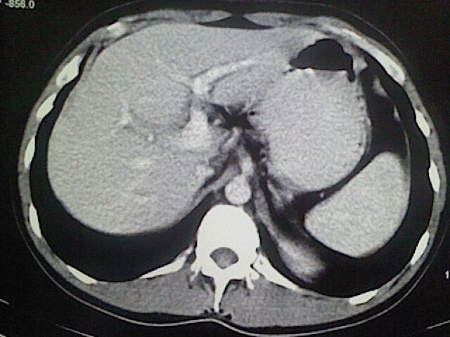
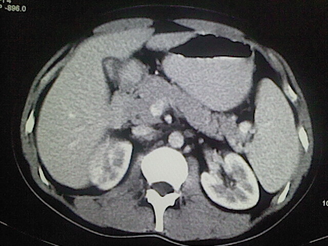
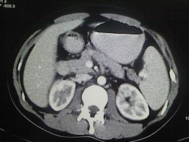
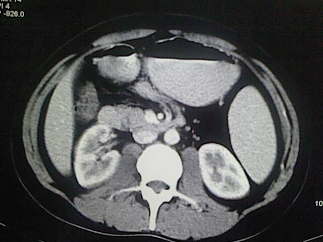
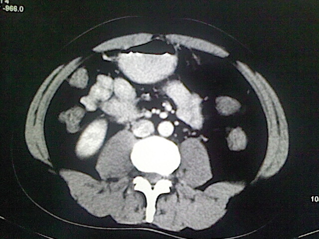
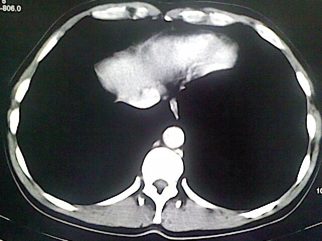
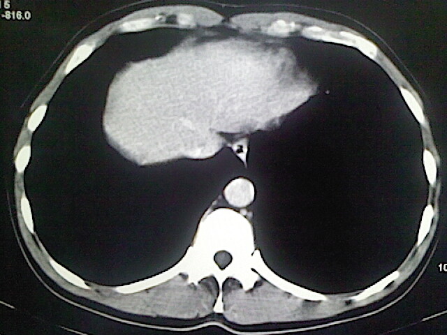
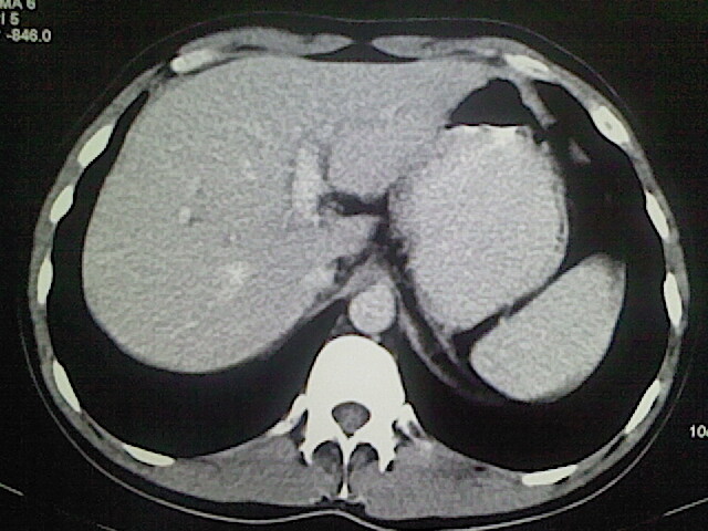
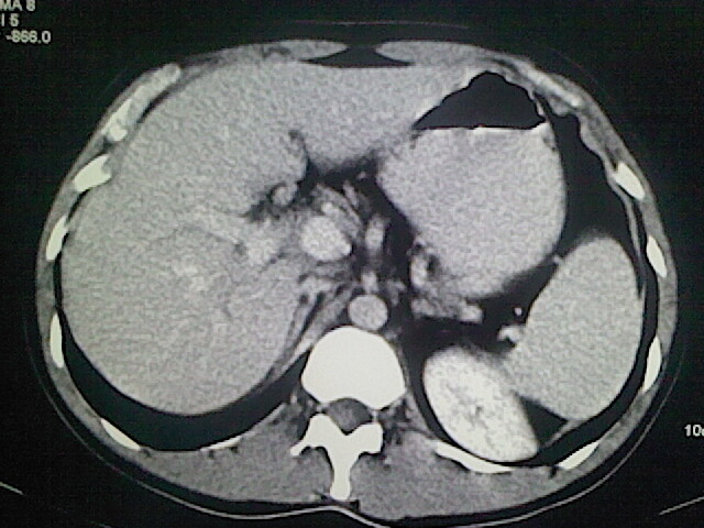
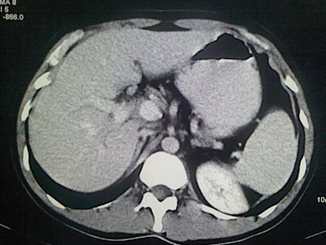
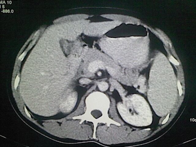
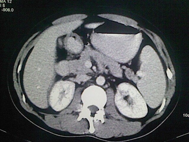
以下是引用卜一在2009-3-14 9:49:00的发言:[br]胆囊萎缩,胆囊壁不规则增厚,内部结构模糊,增强明显强化。另:肝左叶外侧段肝囊肿。支持:慢性胆囊炎!高度可疑:胆囊癌!
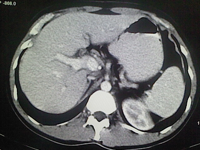
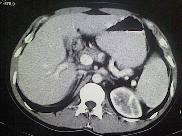
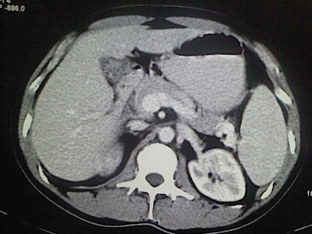
以下是引用余辉在2009-3-14 8:48:00的发言:[br]1)慢性胆囊炎。2)肝左叶外侧段肝囊肿。3)脂肪肝。[br]支持,胆囊萎缩,密度增高,不知b超具体有何提示,钙胆汁?结石?
以下是引用jiangjing在2009-3-14 10:18:00的发言:[br]1)慢性胆囊炎。2)肝左叶外侧段肝囊肿。3)脂肪肝。4.】建议行肝功能检查
以下是引用余辉在2009-3-14 8:48:00的发言:[br]1)慢性胆囊炎。2)肝左叶外侧段肝囊肿。3)脂肪肝。[br]支持,胆囊萎缩,密度增高,不知b超具体有何提示,钙胆汁?结石?
| 欢迎光临 医影在线 (http://bbs.radida.com/bbs/) | Powered by Discuz! X3.2 |