















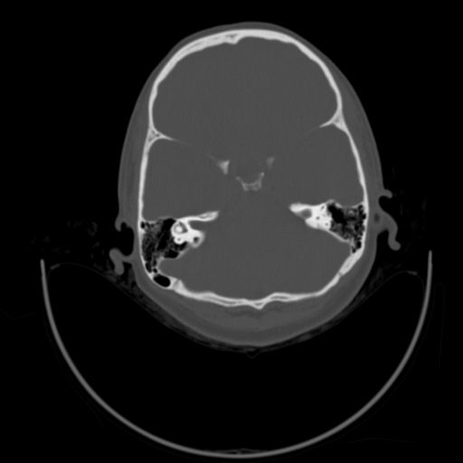
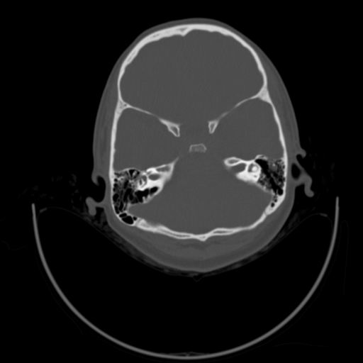
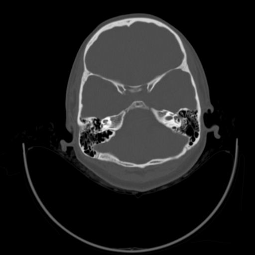
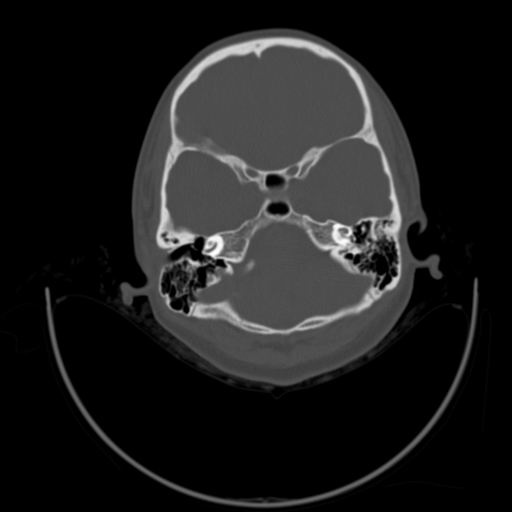
以下是引用随光逐影在2009-3-14 7:58:00的发言:[br]双耳——颞骨ct轴位平扫未见明确异常。
以下是引用随光逐影在2009-3-14 7:58:00的发言:[br]双耳——颞骨ct轴位平扫未见明确异常。
以下是引用随光逐影在2009-3-14 7:58:00的发言:[br]双耳——颞骨ct轴位平扫未见明确异常。
以下是引用杀毒软件在2009-3-14 8:55:00的发言:[br]未见明显异常
| 欢迎光临 医影在线 (http://bbs.radida.com/bbs/) | Powered by Discuz! X3.2 |