医影在线

标题: CL0976:颅骨凹陷征 [打印本页]

作者: dianzi    时间: 2009-3-19 22:13
标题: CL0976:颅骨凹陷征
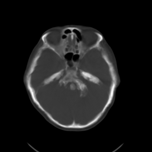
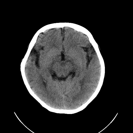
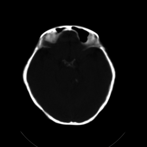
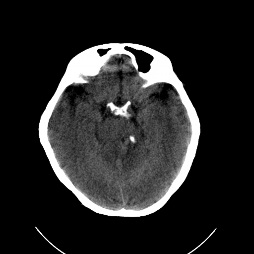
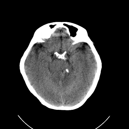
女,56岁,头痛,没有其他的神经系统的阳性体征










[本贴已被 jiajie 于 2009-3-19 19:02:10 修改过]

作者: sl789    时间: 2009-3-20 00:00
z再做个mri,看看有无合并脊髓空洞
作者: 祥云    时间: 2009-3-20 00:43
颅底凹陷症状,建议mr检查。
作者: 随光逐影    时间: 2009-3-20 01:03
感谢楼主提供共享。
作者: 张林148    时间: 2009-3-20 01:17
支持,顶。
作者: 杀毒软件    时间: 2009-3-20 01:49
学习了,谢谢
作者: 同    时间: 2009-3-20 02:19
标题: 回复:颅骨凹陷征
以下是引用sl789在2009-3-19 16:00:00的发言:[br]z再做个mri,看看有无合并脊髓空洞

作者: scdlc2008    时间: 2009-3-20 03:37
学习了
作者: 黑白光影    时间: 2009-3-20 04:48
感谢楼主提供共享。
作者: 拾荒者    时间: 2009-3-20 06:19
谢谢!
颅底陷入是枕大孔周围骨,包括枕骨基底部、髁部和鳞部上升向颅腔内陷入的畸形。环、枢椎也随之上升、突入。多属枕骨及环枢椎先天性发育异常,也可继发于引起颅底软化的疾病、成骨不全或佝偻病等。
作者: 水晶糖    时间: 2009-3-20 06:30
第一次看到
作者: songyi    时间: 2009-3-20 17:34
学习了
作者: 浪子~~~    时间: 2009-3-20 20:01
谢谢!患者的相貌是否有些特殊啊?
作者: ayi    时间: 2009-3-22 01:00
颅底凹陷症!这样横断位未见过,平时都是颈椎侧片所示。建议颈椎mr检查。
作者: wnlyq8688    时间: 2009-3-22 11:23
标题: 回复:cl0976:颅骨凹陷征
以下是引用祥云在2009-3-19 16:43:00的发言:[br]颅底凹陷症,建议mr检查。

作者: 影像孺子牛    时间: 2009-3-26 07:36
感谢楼主,学习了。
作者: 小同少一氏    时间: 2009-3-26 19:28
颅底凹陷是压迫小脑所以应该有受压的症状,如走路不稳,醉酒状态等.
作者: pujunzhi    时间: 2009-3-29 17:37
感谢楼主提供共享!!!
作者: 奕帆    时间: 2009-3-31 06:08
感谢楼主提供共享。
作者: 泪洒红尘    时间: 2009-4-1 07:21
第一次看到,感谢楼主提供共享
作者: shiqingfa    时间: 2009-4-2 05:25
感谢楼主提供共享
作者: zhai516    时间: 2009-4-2 23:14
学习了 ,谢谢
作者: 影像之路    时间: 2009-4-3 00:59
感谢楼主提供共享
作者: 李云飞    时间: 2009-4-3 19:02
学习了,谢谢
作者: jiangguowu    时间: 2009-4-5 00:35
感谢楼主提供共享
作者: SUNBIN    时间: 2009-4-8 00:00
颅底凹陷.典型.
作者: 小花    时间: 2009-4-9 06:57
谢谢
作者: gule    时间: 2009-5-2 06:57
谢!
作者: hexue    时间: 2009-7-22 06:54
谢谢! 学习了!
作者: yuhongjun    时间: 2010-6-17 17:03
感谢楼主,学习了。
作者: shibing    时间: 2012-5-27 09:09
感谢楼主提供共享。




欢迎光临 医影在线 (http://bbs.radida.com/bbs/) Powered by Discuz! X3.2