医影在线

标题: CT18920:平时体健,体检时发现以下问题。 [打印本页]

作者: 黑白影子    时间: 2009-3-21 06:21
标题: CT18920:平时体健,体检时发现以下问题。

















[本贴已被 jiajie 于 2009-3-20 22:27:04 修改过]

作者: 杀毒软件    时间: 2009-3-21 06:54
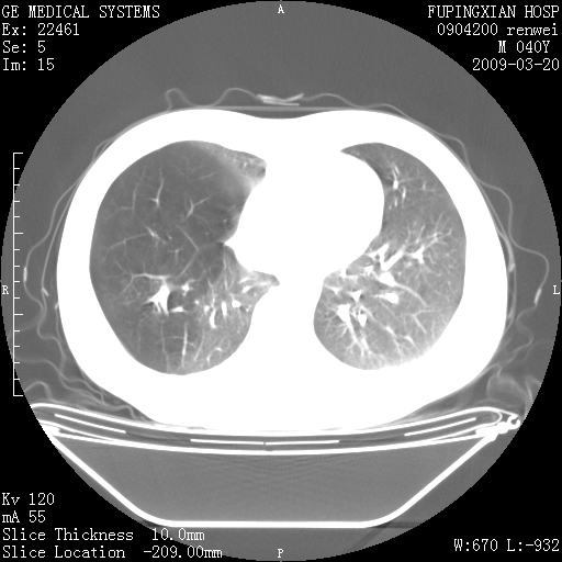
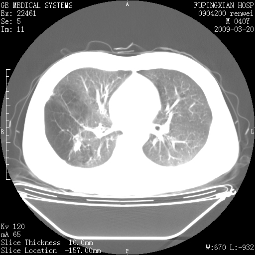
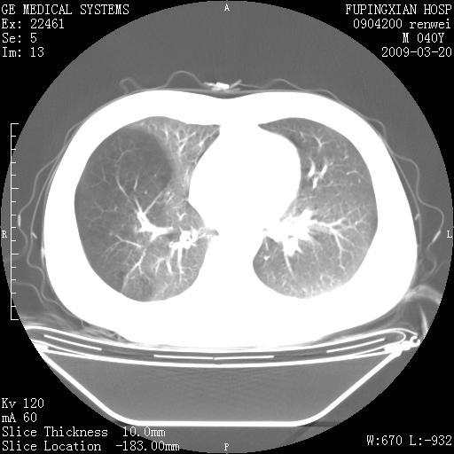
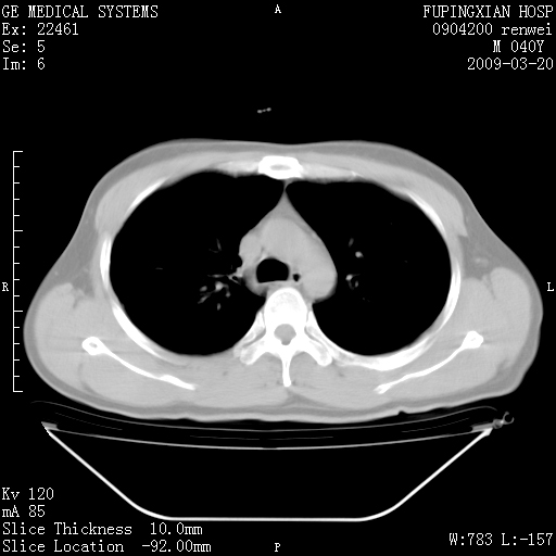
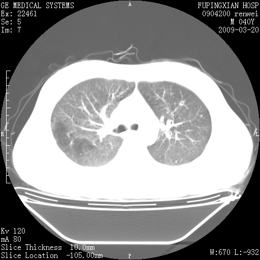
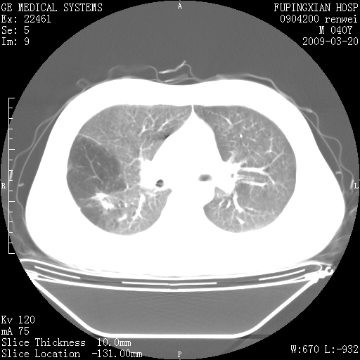
单侧肺气肿表现,原因?   特发性或先天性可能
作者: zhaozejun1    时间: 2009-3-21 07:07
肺气肿
作者: chinazhouhua    时间: 2009-3-21 07:14
标题: 回复:ct18920:平时体健,体检时发现以下问题。
还是做个增强吧。
作者: 光线    时间: 2009-3-21 07:26
右肺气肿。
作者: 卜一    时间: 2009-3-21 13:07
局限性肺气肿!
作者: songyi    时间: 2009-3-21 15:32
右肺局限性肺气肿
作者: 随光逐影    时间: 2009-3-21 16:05
右肺局限性肺气肿。
作者: zwjyr    时间: 2009-3-21 16:14
局限性肺气肿!
作者: xizhong    时间: 2009-3-21 16:44
右肺局限性肺气肿,有无呛咳史?
作者: 宇宙CT    时间: 2009-3-21 17:32
右肺局限性肺正常
作者: 深泽交通    时间: 2009-3-21 17:41
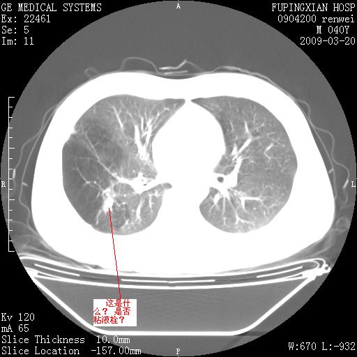
双肺弥漫磨玻样改变,肺纹理增重,考虑早期间质纤维化伴局部阻塞肺气肿,[考虑黏液栓]
作者: qc80012345    时间: 2009-3-21 19:56
右肺局限性肺气肿;[考虑黏液栓]所致。
作者: huqi8888    时间: 2009-3-21 20:11
透明肺
作者: 黑白光影    时间: 2009-3-21 21:58
右肺局限性肺气肿。
作者: xulianj    时间: 2009-3-22 00:10
双肺弥漫磨玻样改变,右肺局限性肺气肿。病人没有症状?
作者: zhw974247    时间: 2009-3-22 00:59
右肺局限性肺气肿。
作者: ayi    时间: 2009-3-22 01:55
考虑间质性肺炎伴右侧局限性肺气肿,
作者: ZJB    时间: 2009-3-22 01:59
右肺局限性肺气肿;[考虑黏液栓]所致
作者: lizhjie    时间: 2009-3-22 02:24
先天性支气管闭锁
作者: LIAOQIANG    时间: 2009-3-22 17:45
右肺局限性肺气肿,原因?先天支气管闭锁?粘液栓?
作者: lyjccwjj    时间: 2009-3-22 19:58
局限性肺气肿!
作者: zbp537    时间: 2009-3-22 21:46
右肺局限性肺气肿。
作者: dsl555    时间: 2009-3-23 00:54
右肺局限性肺气肿。
作者: scdlc2008    时间: 2009-3-23 03:29
局限性肺气肿




欢迎光临 医影在线 (http://bbs.radida.com/bbs/) Powered by Discuz! X3.2