
























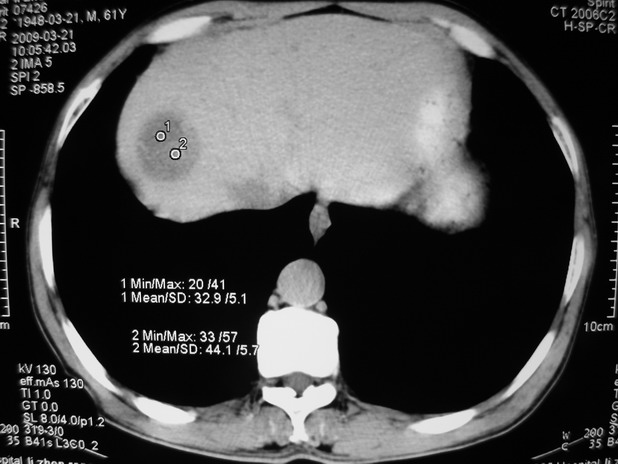
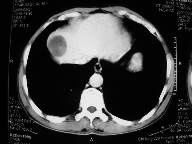
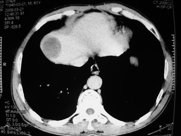
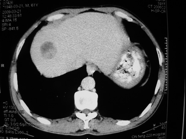
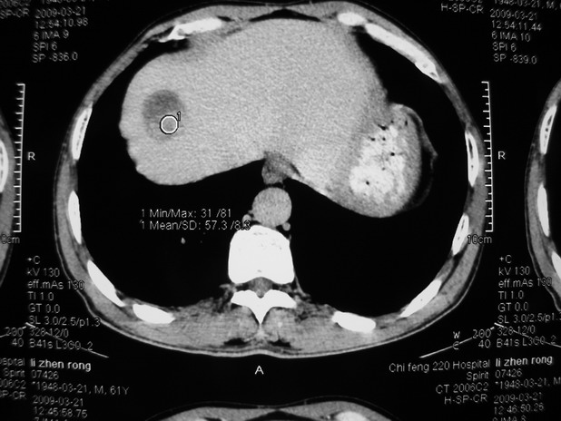
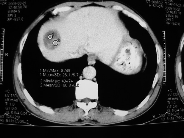
以下是引用余辉在2009-3-21 21:36:00的发言:[br]图像太乱了,建议楼主直接将强化数据按顺序列出来,病灶位置较表浅薄,有肝炎病史,灶内实性成分有显著强化,动脉期约60hu,考虑肝癌可能性大,进一步检查。
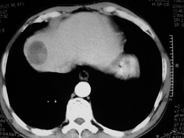
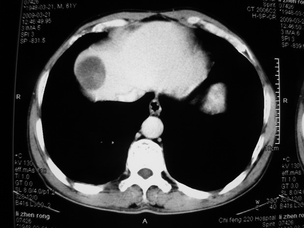
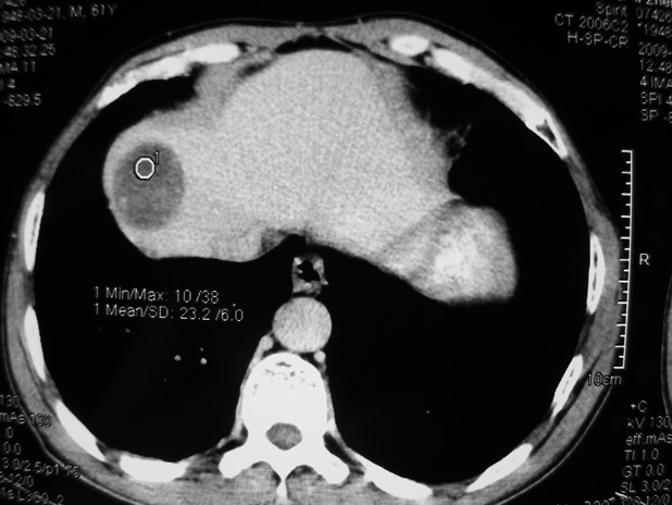
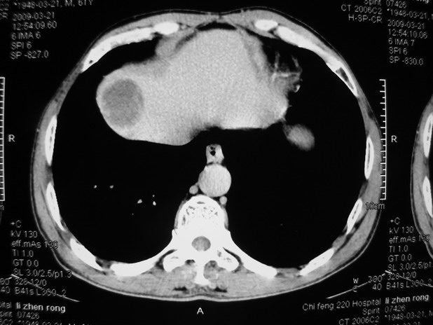
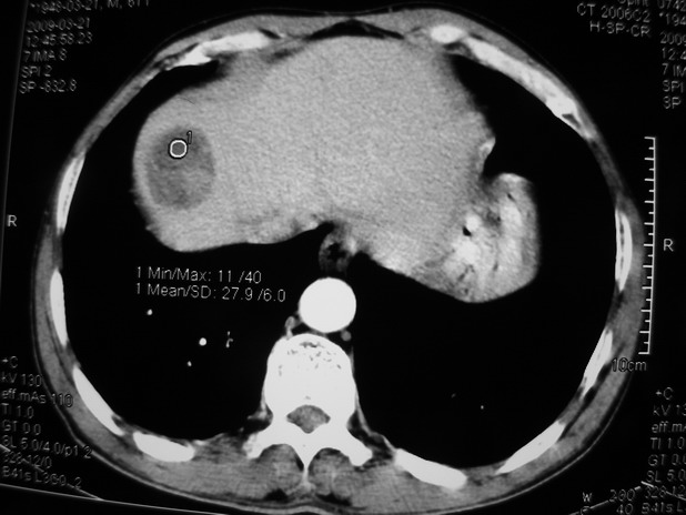
以下是引用余辉在2009-3-21 21:36:00的发言:[br]图像太乱了,建议楼主直接将强化数据按顺序列出来,病灶位置较表浅薄,有肝炎病史,灶内实性成分有显著强化,动脉期约60hu,考虑肝癌可能性大,进一步检查。
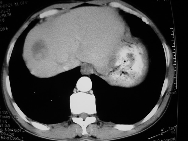
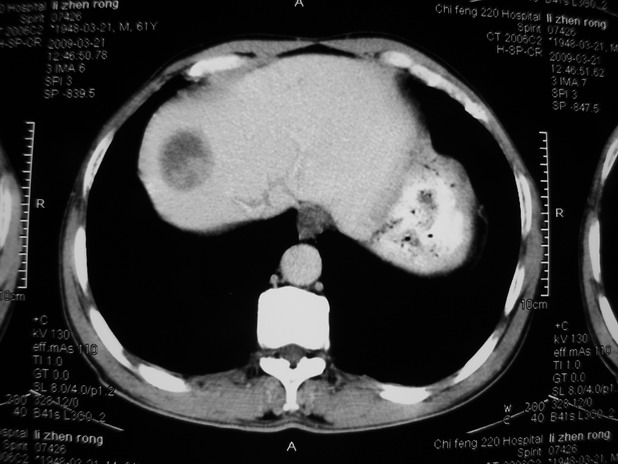
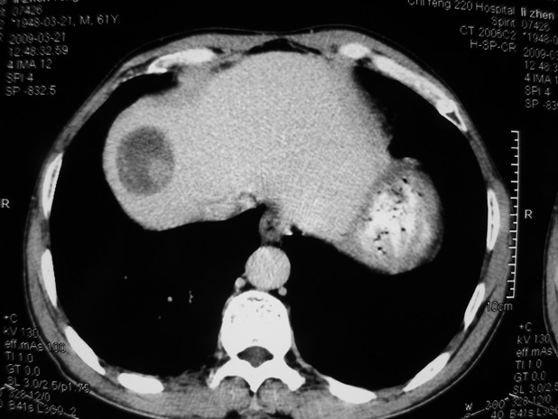
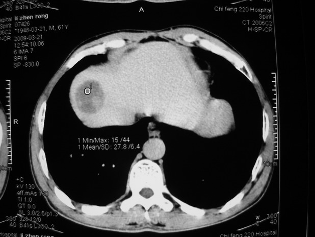
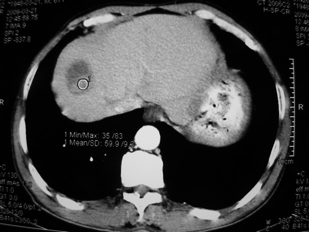
以下是引用余辉在2009-3-21 21:36:00的发言:[br]图像太乱了,建议楼主直接将强化数据按顺序列出来,病灶位置较表浅薄,有肝炎病史,灶内实性成分有显著强化,动脉期约60hu,考虑肝癌可能性大,进一步检查。
| 欢迎光临 医影在线 (http://bbs.radida.com/bbs/) | Powered by Discuz! X3.2 |