医影在线
标题: CT18933:大家发表意见 [打印本页]
作者: wuyingke 时间: 2009-3-22 07:08
标题: CT18933:大家发表意见
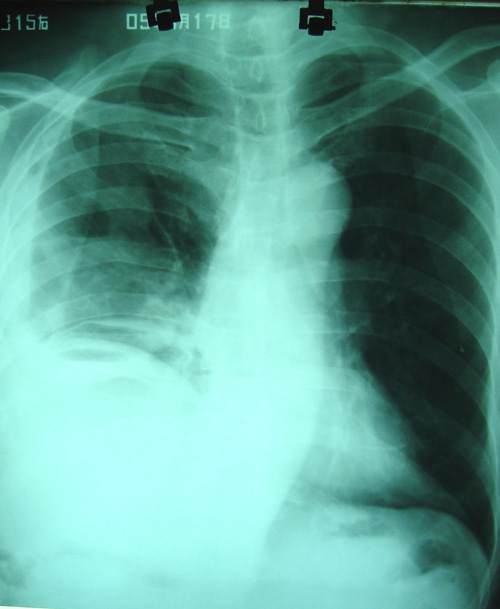
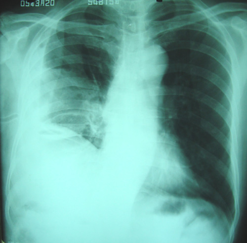
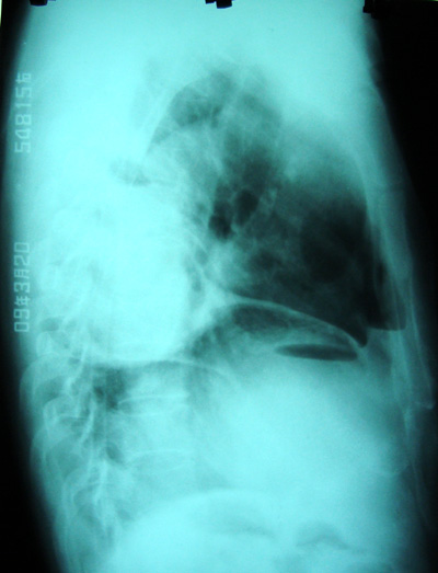
男,66岁.突发腹部疼痛,b超提示胆系水肿改变,抗生素治疗一周有好转.
后突发高热,血常规白总2万多.中性90%以上.
3月10日透视胸部未见异常.腹部平片未见异常.
经治疗至17日胸闷痛摄片如9号图,20日复查如7,8号片.
结论:右侧大量胸腔积液,可疑膈下脓肿.
20日院外ct检查,片示于后.
[本贴已被 wuyingke 于 2009-3-21 23:09:27 修改过]









[本贴已被 jiajie 于 2009-3-22 8:58:52 修改过]
作者: wuyingke 时间: 2009-3-22 07:16
胸部穿刺大量脓液,提示脓胸.
院外ct说排除膈下脓肿,请大家发表意见.
作者: 随光逐影 时间: 2009-3-22 15:41
1)考虑右肺感染性病变(化脓性肺炎或肺脓肿可能)。2)右侧液(脓)气胸,部分包裹。
作者: 刘立龙 时间: 2009-3-22 16:54
考虑1、右膈下脓肿并肺脓肿,2、右侧液气胸
作者: 余辉 时间: 2009-3-22 16:56
右肝上间隙积液,支持考虑膈下脓肿,
作者: 323 时间: 2009-3-22 17:37
有瘘道进入右侧胸壁
作者: 深泽交通 时间: 2009-3-22 17:41
从侧位平片看,有气体影,结合断层考虑膈下脓肿
作者: LIAOQIANG 时间: 2009-3-22 17:49
右侧脓胸、右膈下脓肿。不除外右肺化脓性肺炎。
作者: xulianj 时间: 2009-3-22 18:03
标题: 回复:ct18933:大家发表意见
以下是引用liaoqiang在2009-3-22 9:49:00的发言:[br]右侧脓胸、右膈下脓肿。不除外右肺化脓性肺炎。
作者: wg80882003 时间: 2009-3-22 18:55
膈下可见气液平面,结合临床应该考虑膈下脓肿并同侧胸腔积液(脓)
作者: lyjccwjj 时间: 2009-3-22 19:11
右侧膈肌抬高明显,胸腔内无明显积液,表现为胸膜反应,肝脏周围大量积液,并见多个液气平面。右下肺不均匀密度增高影。结合临床考虑右侧膈下脓肿并腹腔内积液、右下肺并发感染及胸膜反应,节段性肺不张不除外。
作者: 518yan 时间: 2009-3-22 19:15
右侧肺脓肿,右侧包裹性脓气胸
作者: 老爱克斯 时间: 2009-3-22 21:55
右肺下叶见大片状病灶,密度不均,其内见透光区。沿右侧胸壁见多发含气腔,其间可见间隔,其内部分可见液平。膈肌下未见异常(纵隔窗窗位太低)。应该是典型的化脓性肺炎合并脓胸。
作者: dsl555 时间: 2009-3-23 00:28
右肝上间隙积液,支持考虑膈下脓肿,
作者: 爱LOCROSSE 时间: 2009-3-23 00:31
右隔下积脓并右侧肺脓肿;右侧液气胸
作者: 杀毒软件 时间: 2009-3-23 01:31
标题: 回复:ct18933:大家发表意见
以下是引用老爱克斯新网客在2009-3-22 13:55:00的发言:[br]右肺下叶见大片状病灶,密度不均,其内见透光区。沿右侧胸壁见多发含气腔,其间可见间隔,其内部分可见液平。膈肌下未见异常(纵隔窗窗位太低)。应该是典型的化脓性肺炎合并脓胸。
支持
作者: 黑白光影 时间: 2009-3-23 05:03
标题: 回复:ct18933:大家发表意见
以下是引用老爱克斯新网客在2009-3-22 13:55:00的发言:[br]右肺下叶见大片状病灶,密度不均,其内见透光区。沿右侧胸壁见多发含气腔,其间可见间隔,其内部分可见液平。膈肌下未见异常(纵隔窗窗位太低)。应该是典型的化脓性肺炎合并脓胸。
支持
作者: 黑白光影 时间: 2009-3-23 05:04
标题: 回复:ct18933:大家发表意见
以下是引用老爱克斯新网客在2009-3-22 13:55:00的发言:[br]右肺下叶见大片状病灶,密度不均,其内见透光区。沿右侧胸壁见多发含气腔,其间可见间隔,其内部分可见液平。膈肌下未见异常(纵隔窗窗位太低)。应该是典型的化脓性肺炎合并脓胸。
支持
| 欢迎光临 医影在线 (http://bbs.radida.com/bbs/) |
Powered by Discuz! X3.2 |