



















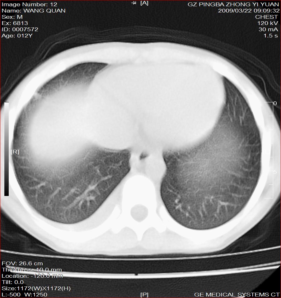
以下是引用dyqct在2009-3-22 21:12:00的发言:[br]右侧支气管内膜结核继发肺内感染,右侧胸膜腔少量积液。支持!
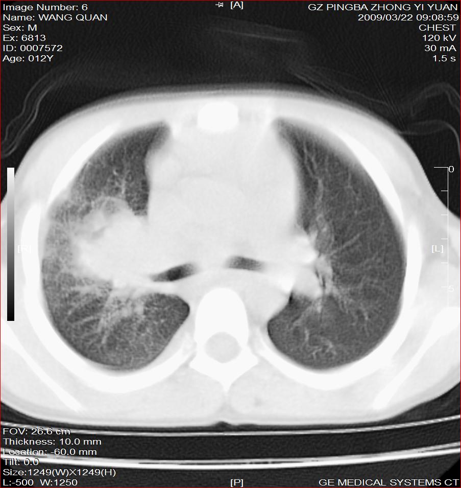
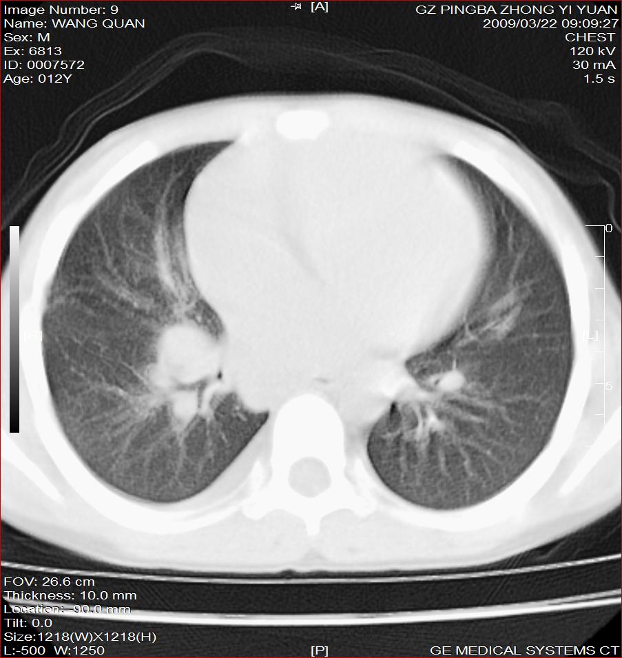
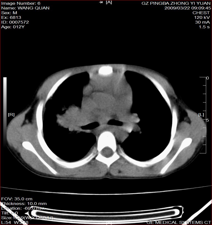
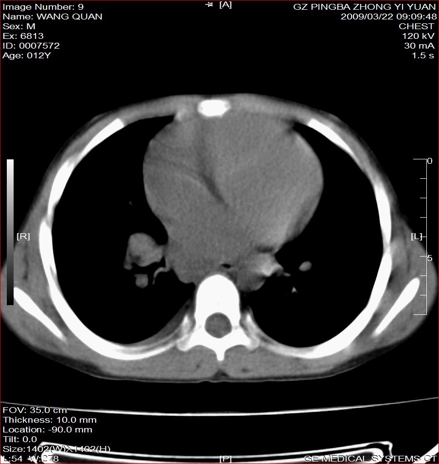
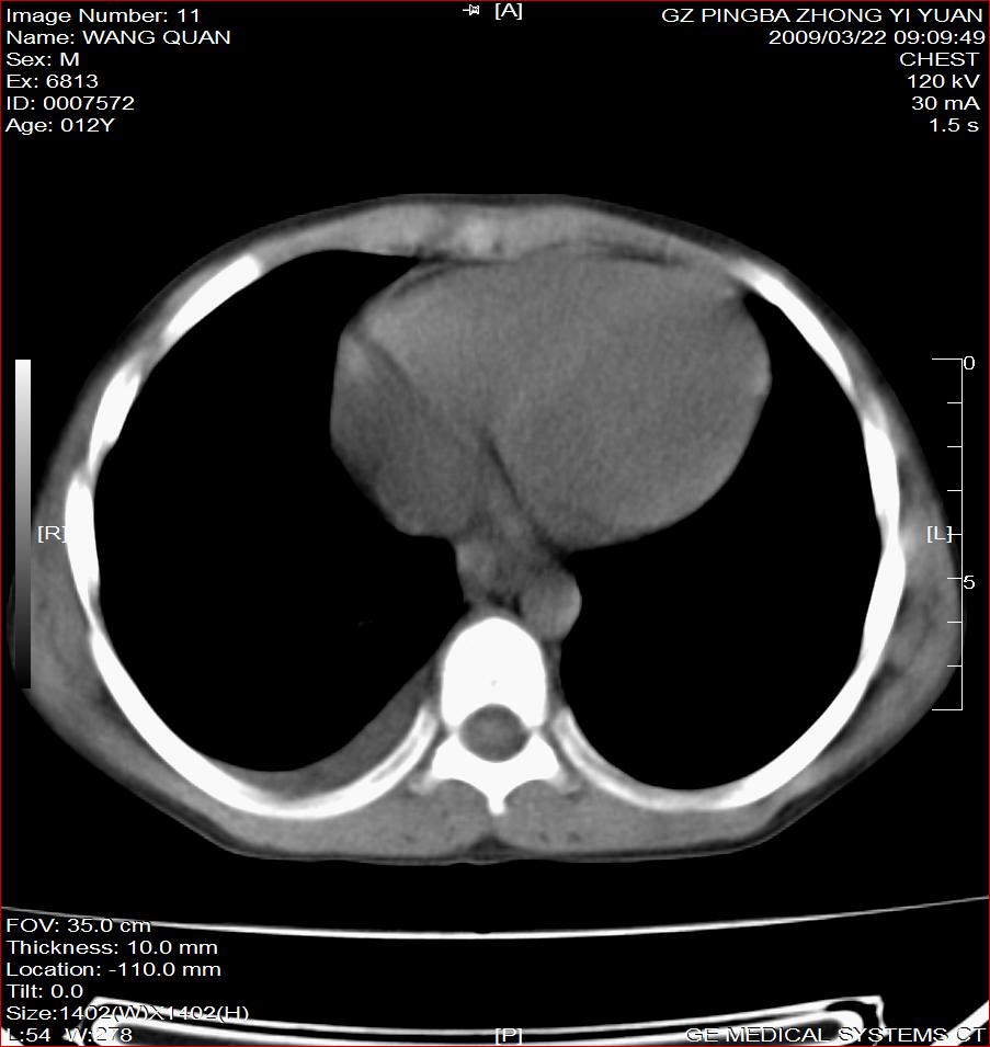
以下是引用随光逐影在2009-3-23 8:12:00的发言:[br]1)右肺门及纵隔淋巴结结核。2)两肺急性血行播散型肺结核可能。3)右侧支气管内膜结核?建议必要时行纤支镜检查。4)右侧少量胸腔积液。
以下是引用随光逐影在2009-3-23 8:12:00的发言:[br]1)右肺门及纵隔淋巴结结核。2)两肺急性血行播散型肺结核可能。3)右侧支气管内膜结核?建议必要时行纤支镜检查。4)右侧少量胸腔积液。
| 欢迎光临 医影在线 (http://bbs.radida.com/bbs/) | Powered by Discuz! X3.2 |