医影在线

标题: CT18955:F59Y,胸部CT平扫 [打印本页]

作者: 同    时间: 2009-3-23 20:51
标题: CT18955:F59Y,胸部CT平扫
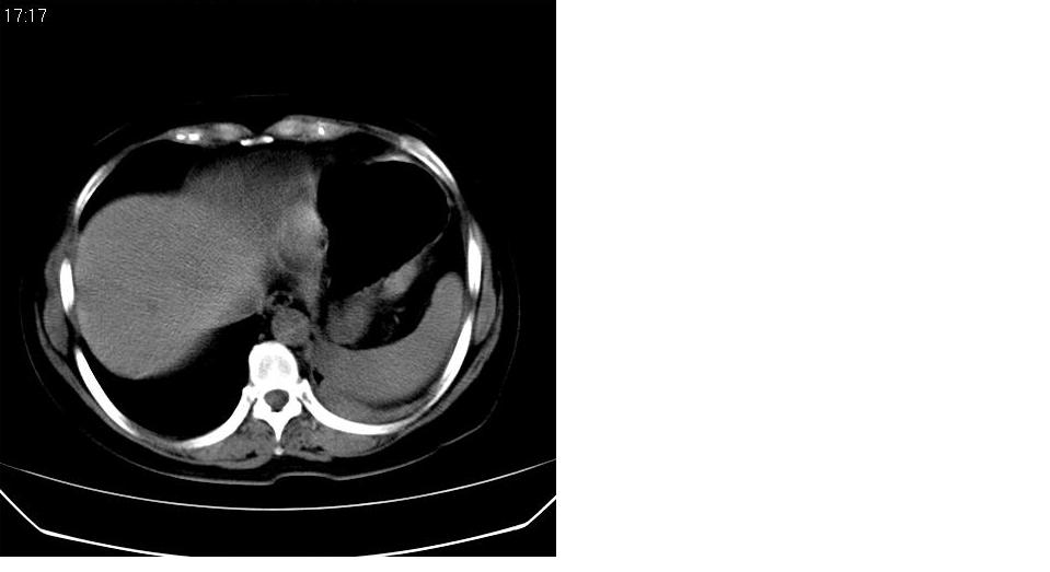
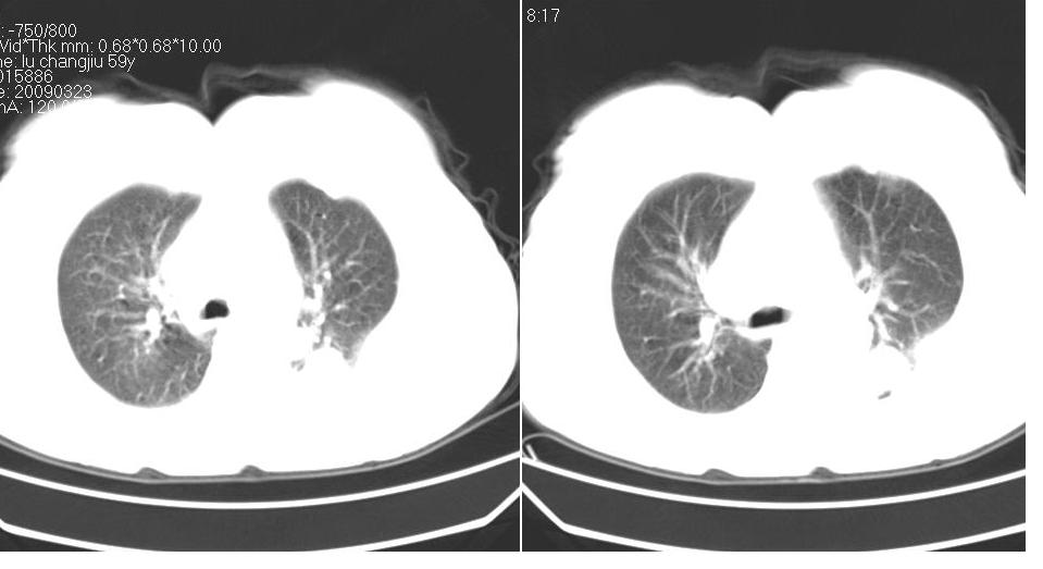
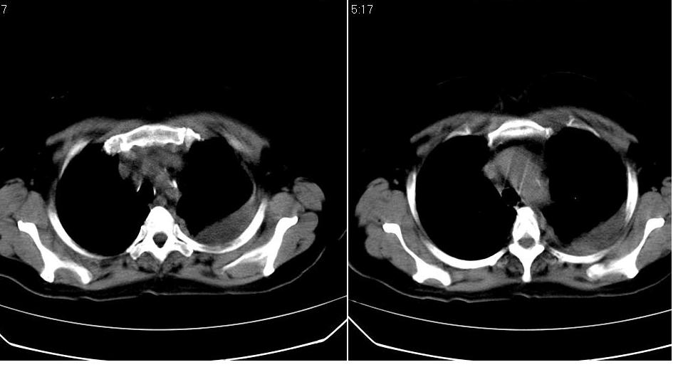
女 59岁,胸背疼,不咳嗽,不咳痰,不发热。


























[本贴已被 jiajie 于 2009-3-23 13:23:07 修改过]

作者: 深泽交通    时间: 2009-3-23 22:07
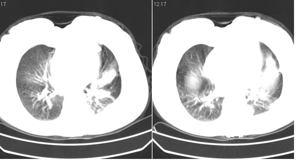
左肺下叶中心性肺癌?tb?;并气胸
作者: 随光逐影    时间: 2009-3-23 22:54
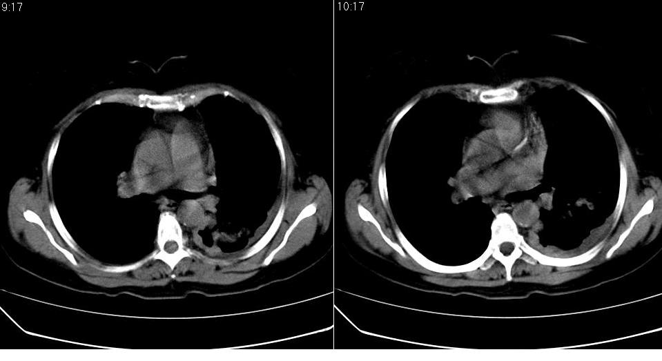
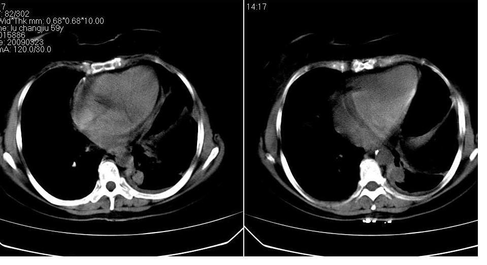
1)考虑左肺下叶背段周围型肺癌并左肺下叶及左侧胸膜转移。2)左侧胸腔积液。3)左冠状动脉钙化。
作者: zhai516    时间: 2009-3-23 23:52
支持楼上
作者: 看图说话    时间: 2009-3-24 00:00
支持3楼的诊断,还希望看骨窗,问既往病史及检查胸水。
作者: 杀毒软件    时间: 2009-3-24 01:15
标题: 回复:ct18955:f59y,胸部ct平扫
以下是引用随光逐影在2009-3-23 14:54:00的发言:[br]1)考虑左肺下叶背段周围型肺癌并左肺下叶及左侧胸膜转移。2)左侧胸腔积液。3)左冠状动脉钙化。

支持
作者: 余辉    时间: 2009-3-24 02:48
下叶背段也是结核灶多发区,考虑结核可能性大,建议抽胸水检查,肺癌不排除
作者: songyi    时间: 2009-3-24 03:27
支持
1)考虑左肺下叶背段周围型肺癌并左肺下叶及左侧胸膜转移。2)左侧胸腔积液。3)左冠状动脉钙化。
作者: 影像之王    时间: 2009-3-24 04:06
左肺癌不除外。建议穿刺,一针见血,又省钱,又省力。
作者: qyfsk    时间: 2009-3-24 04:14
支持楼上,左侧膈肌抬高,考虑膈疝或膈麻癖可能。
作者: 黄毛小子    时间: 2009-3-24 04:21
考虑结核可能性大,建议胸水检查
作者: xulianj    时间: 2009-3-24 04:45
结核可能性大,建议胸水检查除外占位。
作者: scdlc2008    时间: 2009-3-24 05:05
支持
作者: 黑白光影    时间: 2009-3-24 06:14
1)考虑左肺下叶背段周围型肺癌并左肺下叶及左侧胸膜转移。2)左侧胸腔积液。
作者: dr.yang    时间: 2009-3-24 06:31
1)考虑左肺下叶背段周围型肺癌(腺癌可能性大)并左肺下叶及左侧胸膜转移。2)左侧胸腔积液。3)左冠状动脉钙化。
作者: 学医    时间: 2009-3-24 06:35
1)考虑左肺下叶背段周围型肺癌并左肺下叶及左侧胸膜转移。2)左侧胸腔积液。3)左冠状动脉钙化。
作者: 黄毛小子    时间: 2009-4-8 04:07
标题: 回复:ct18955:f59y,胸部ct平扫
以下是引用qyfsk在2009-3-23 20:14:00的发言:[br]支持楼上,左侧膈肌抬高,考虑膈疝或膈麻癖可能。





欢迎光临 医影在线 (http://bbs.radida.com/bbs/) Powered by Discuz! X3.2