医影在线
标题: X5497:风心病 [打印本页]
作者: 刘立龙 时间: 2009-3-23 21:23
标题: X5497:风心病
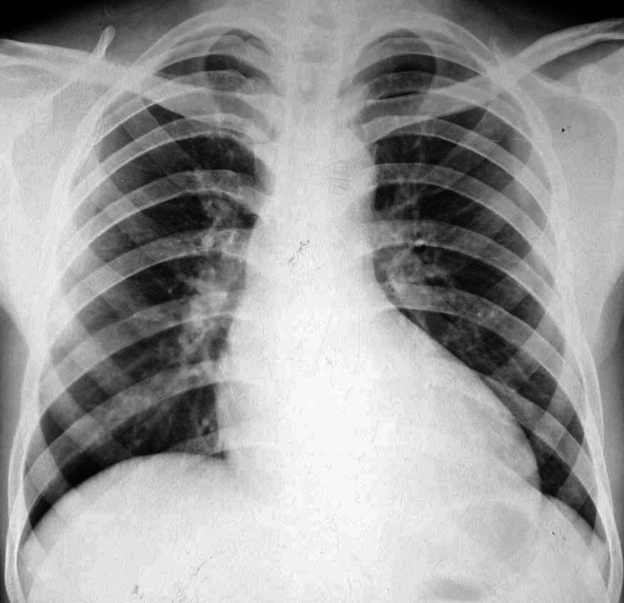
升主动脉增宽,左心室增大,

[本贴已被 jiajie 于 2009-3-23 13:29:24 修改过]
作者: 泪洒红尘 时间: 2009-3-23 21:47
主动脉型心,请结合临床。不支持风心病。
作者: lth7110 时间: 2009-3-23 23:20
做心脏超声,除外瓣膜病变
作者: clinux98 时间: 2009-3-23 23:20
标题: 循环
左室稍大,主动脉结增宽不明显,风心病所致单一主动脉瓣病变少,不太支持。
[本贴已被 clinux98 于 2009-3-23 15:22:35 修改过]
作者: 凌云刘德华 时间: 2009-3-23 23:22
请教老师,怎么把图像发上来。
作者: ncy888888 时间: 2009-3-23 23:47
单一的左室增大,应结合心电图、心彩。
作者: 随光逐影 时间: 2009-3-23 23:53
“主动脉型”心影,不排除法四可能;请结合临床及心脏超声检查。
作者: 杀毒软件 时间: 2009-3-24 01:06
没看出来
作者: jinguoji 时间: 2009-3-24 01:32
不支持风心病!
作者: real520 时间: 2009-3-24 01:47
麻烦来个病史?建议彩超
作者: 余辉 时间: 2009-3-24 02:03
左室大小好像也还可以,建议心超检查
作者: ZHANGZHONGSHOU 时间: 2009-3-24 02:52
支持主动脉型心脏,建议进一步检查。
作者: 天亮时晚安 时间: 2009-3-24 03:49
主动脉型心脏,建议进一步检查
作者: songyi 时间: 2009-3-24 03:49
主动脉型心,首先不应该考虑风心病,建议心脏彩超检查
作者: 拾荒者 时间: 2009-3-24 03:56
不同意风心诊断;结合临床或b超检查。
作者: PANPAN 时间: 2009-3-24 04:25
标题: 回复:x5497:风心病
以下是引用泪洒红尘在2009-3-23 13:47:00的发言:[br]主动脉型心,请结合临床。不支持风心病。
作者: gjj6818 时间: 2009-3-24 05:17
标题: 回复:x5497:风心病
以下是引用ncy888888在2009-3-23 15:47:00的发言:[br]单一的左室增大,应结合心电图、心彩。
作者: 黑白光影 时间: 2009-3-24 05:47
支持主动脉型心脏,建议来点临床检查资料,要不就作进一步检查。
作者: zhanggenliang 时间: 2009-3-24 06:02
主动脉型心,建议进一步检查
作者: dr.yang 时间: 2009-3-24 06:02
单从片子上讲不支持,请结合临床。
作者: dyqct 时间: 2009-3-24 07:05
心脏起码就有听诊吧!不应把最基本的记掉。
作者: 眼睛 时间: 2009-3-24 15:57
支持
作者: wangyong1977 时间: 2009-3-24 19:02
单纯左室增大,建议心电图,看是否有左室高电压。
作者: zjp885 时间: 2009-3-29 06:54
就是左心缘略大
别的什么
做个心电图
作者: wanchuanyi1982 时间: 2009-3-29 09:17
是彩超证实的吗
作者: 医盲 时间: 2009-4-3 01:26
主动脉增宽不明显,左心室增大,风心病可能不大,请提供临床资料。
作者: shibing 时间: 2014-5-27 07:46
“主动脉型”心影,不排除法四可能;请结合临床及心脏超声检查。
| 欢迎光临 医影在线 (http://bbs.radida.com/bbs/) |
Powered by Discuz! X3.2 |