












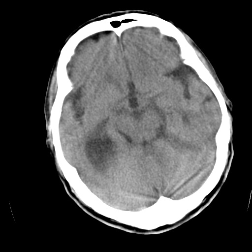
以下是引用ct诊断高手在2009-3-23 19:48:00的发言:[br]脑积水,原因待查
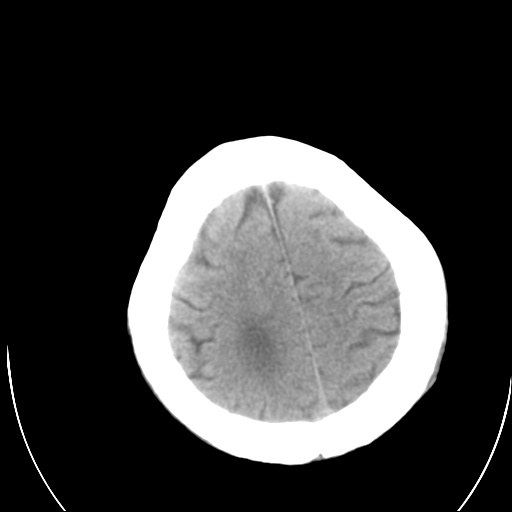
以下是引用泪洒红尘在2009-3-23 19:53:00的发言:[br]第四脑室以上脑室明显扩大,脑沟脑裂无明显增宽加深征象,符合交通性脑积水ct表现。
以下是引用泪洒红尘在2009-3-23 19:53:00的发言:[br]第四脑室以上脑室明显扩大,脑沟脑裂无明显增宽加深征象,符合交通性脑积水ct表现。
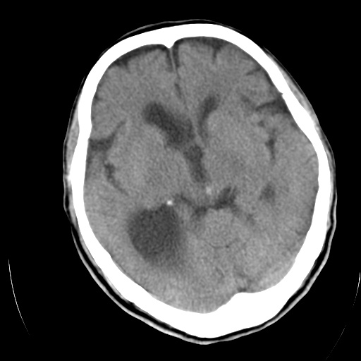
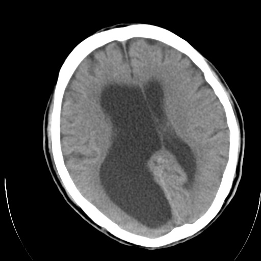
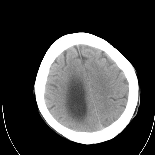
以下是引用xulianj在2009-3-23 20:31:00的发言:[br]右侧侧脑室扩大,中线结构左移,考虑梗阻性脑积水,建议mri检查。
以下是引用xulianj在2009-3-23 20:31:00的发言:[br]右侧侧脑室扩大,中线结构左移,考虑梗阻性脑积水,建议mri检查。
以下是引用xulianj在2009-3-23 20:31:00的发言:[br]右侧侧脑室扩大,中线结构左移,考虑梗阻性脑积水,建议mri检查。
以下是引用吴承学在2009-3-24 6:44:00的发言:[br][quote]以下是引用xulianj在2009-3-23 20:31:00的发言:[br]右侧侧脑室扩大,中线结构左移,考虑梗阻性脑积水,建议mri检查。
| 欢迎光临 医影在线 (http://bbs.radida.com/bbs/) | Powered by Discuz! X3.2 |