医影在线

标题: CT18977:M,15岁。右股骨下段外疼痛。 [打印本页]

作者: ydx_74    时间: 2009-3-24 23:16
标题: CT18977:M,15岁。右股骨下段外疼痛。
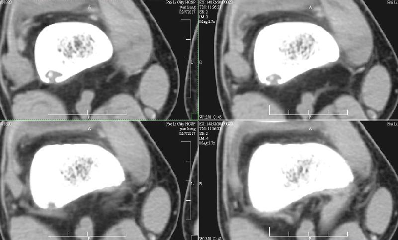
x光:右股骨下段外侧骨质病变,骨囊肿?
ct:右侧股骨下段后份局限性骨质破坏并病灶区细点状高密度影,性质?骨tb可能性大,软骨瘤、纤维骨皮质缺损及其它待除外,建议结合临床及相关检查考虑。 2、右膝关节腔少量积液。





[本贴已被 jiajie 于 2009-3-24 19:22:24 修改过]

作者: zgb5618    时间: 2009-3-24 23:25
是骨结核?
作者: zsl6918    时间: 2009-3-24 23:50
纤维骨皮质缺损.
作者: xysheng    时间: 2009-3-25 00:27
支持纤维性骨皮质缺损
作者: 道哥    时间: 2009-3-25 00:27
纤维骨皮质缺损.
作者: 随光逐影    时间: 2009-3-25 00:29
支持 右股骨下段纤维骨皮质缺损。
作者: 杀毒软件    时间: 2009-3-25 02:08
纤维骨皮质缺损
作者: 形影不离    时间: 2009-3-25 02:45
支持 右股骨下段纤维骨皮质缺损。
作者: 余辉    时间: 2009-3-25 02:48
支持纤维性骨皮质缺损
作者: xulianj    时间: 2009-3-25 05:14
骨皮质缺损
作者: dsl555    时间: 2009-3-25 06:33
纤维骨皮质缺损.
作者: 黑白光影    时间: 2009-3-26 00:02
支持纤维性骨皮质缺损。
作者: jinguoji    时间: 2009-4-10 16:57
支持右股骨下段纤维性骨皮质缺损。
作者: 奥特之父    时间: 2009-4-24 00:10
纤维性骨皮质缺损.
作者: yangyang2000    时间: 2009-5-10 18:20
纤维骨皮质却损,支持
作者: LIAOQIANG    时间: 2009-5-10 19:06
支持纤维性骨皮质缺损。
作者: 513ytb    时间: 2009-6-29 01:31
右股骨下段纤维骨皮质缺损或非骨化性纤维瘤




欢迎光临 医影在线 (http://bbs.radida.com/bbs/) Powered by Discuz! X3.2