医影在线

标题: PED1810:F,9岁。头痛,昏倒,一周一次,共半年。 [打印本页]

作者: ydx_74    时间: 2009-3-25 21:03
标题: PED1810:F,9岁。头痛,昏倒,一周一次,共半年。
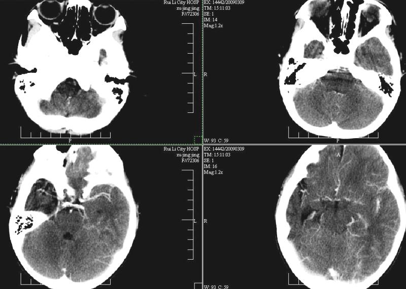
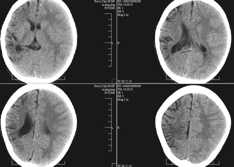
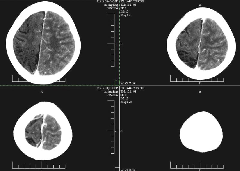
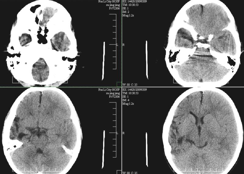
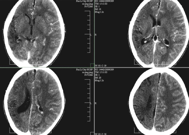
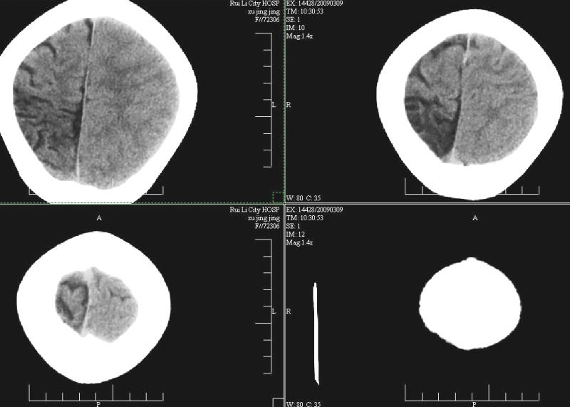
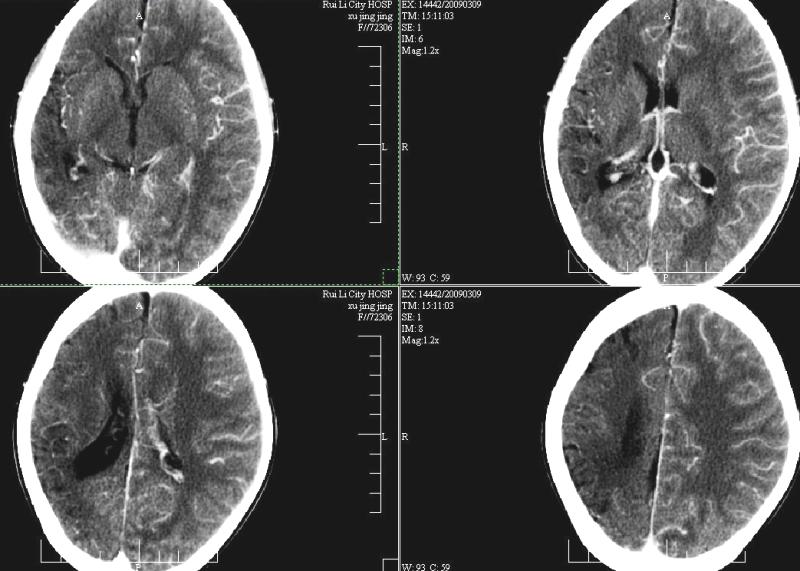
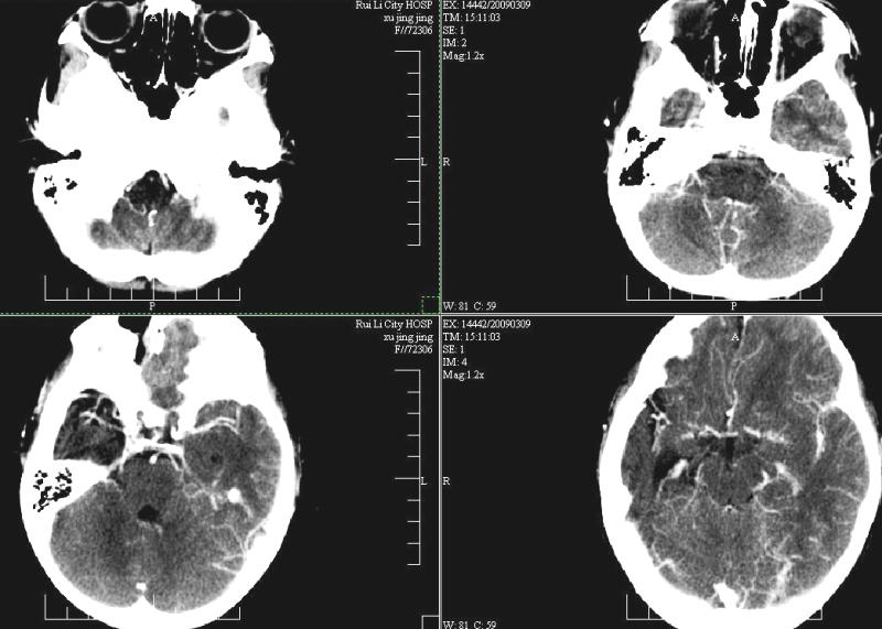
ct:右顶叶脑软化灶合并右侧大脑半球发育不良可能。









[本贴已被 jiajie 于 2009-3-25 18:23:06 修改过]

作者: 影象小泰斗    时间: 2009-3-25 21:48
支持大脑发育不良!!
作者: XIZHONG    时间: 2009-3-25 22:13
支持楼主。
作者: 随光逐影    时间: 2009-3-25 22:20
右侧大脑半球脑萎缩。
作者: 深泽交通    时间: 2009-3-25 22:22
中线平移,象发育不良
作者: shenhs    时间: 2009-3-25 22:24
支持楼主!右侧强化明显较左侧低.可能血管引起的吧.
作者: 黑白光影    时间: 2009-3-26 01:02
标题: 回复:f,9岁。头痛,昏倒,一周一次,共半年。
以下是引用shenhs在2009-3-25 14:24:00的发言:[br]支持楼主!右侧强化明显较左侧低.可能血管引起的吧.

作者: 同    时间: 2009-3-26 03:25
支持大脑发育不全。
作者: 杀毒软件    时间: 2009-3-26 04:28
支持大家
作者: 拾荒者    时间: 2009-3-26 05:09
支持楼主!右侧强化明显较左侧低.可能由血管发育不良引起的吧.
作者: 22222222    时间: 2009-3-26 06:07
支持大脑发育不良
作者: wangyong1977    时间: 2009-3-26 06:23
支持大家
作者: dyqct    时间: 2009-3-26 15:46
支持右侧大脑发育不良。
作者: zsl6918    时间: 2009-3-26 16:18
右侧大脑发育不良
作者: jiangjing    时间: 2009-3-26 23:38
支持大脑发育不全----右侧大脑中动脉较对侧细小。建议cta 或mra 检查
作者: 吴承学    时间: 2009-3-29 17:27
标题: 回复:ped1810:f,9岁。头痛,昏倒,一周一次,共半年。
以下是引用同在2009-3-25 19:25:00的发言:[br]支持大脑发育不全。

作者: SUNBIN    时间: 2009-3-31 05:06
支持楼主.
作者: 影像之路    时间: 2009-3-31 06:48
支持
作者: pujunzhi    时间: 2009-4-1 02:47
右侧大脑半球脑萎缩。




欢迎光临 医影在线 (http://bbs.radida.com/bbs/) Powered by Discuz! X3.2