医影在线

标题: CT19015:M,43Y。左侧多囊肾?左侧多发性肾囊肿? [打印本页]

作者: 随光逐影    时间: 2009-3-25 21:49
标题: CT19015:M,43Y。左侧多囊肾?左侧多发性肾囊肿?
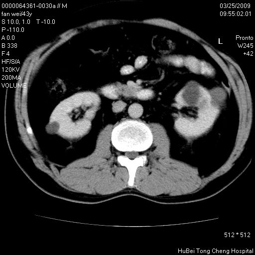
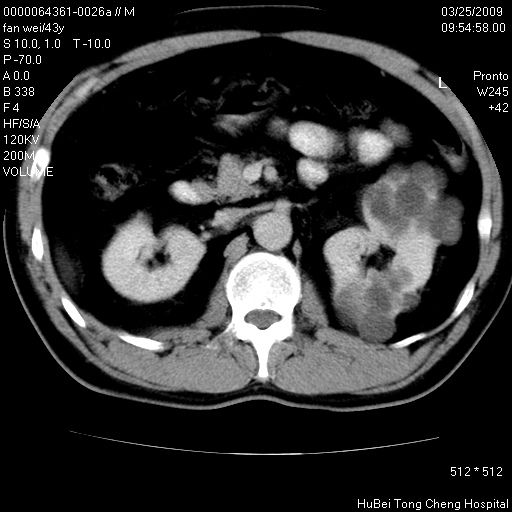
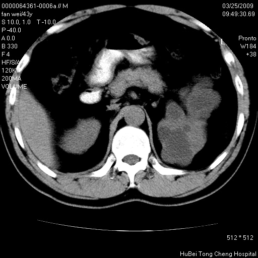
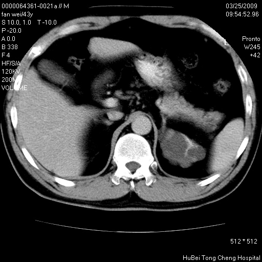
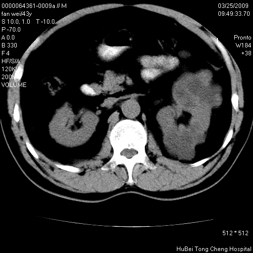
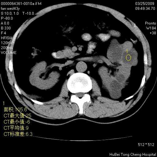
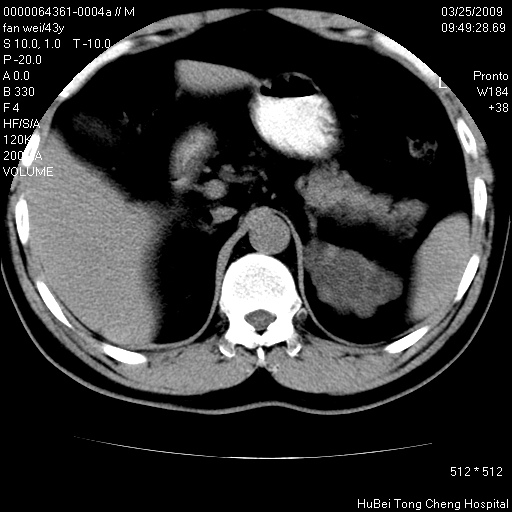
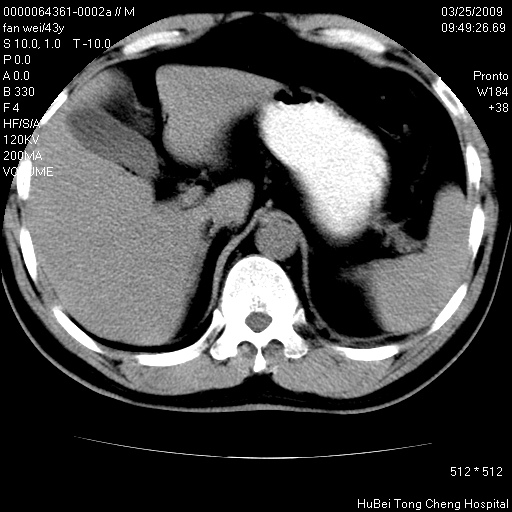
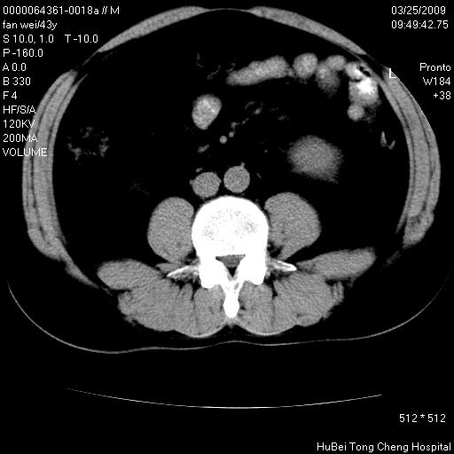
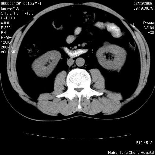
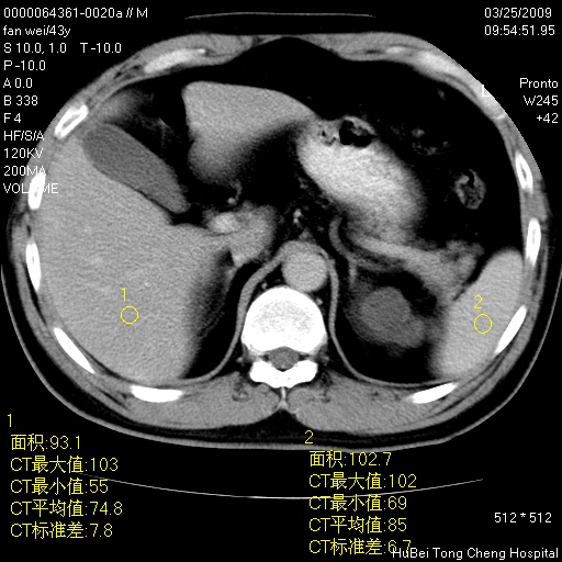
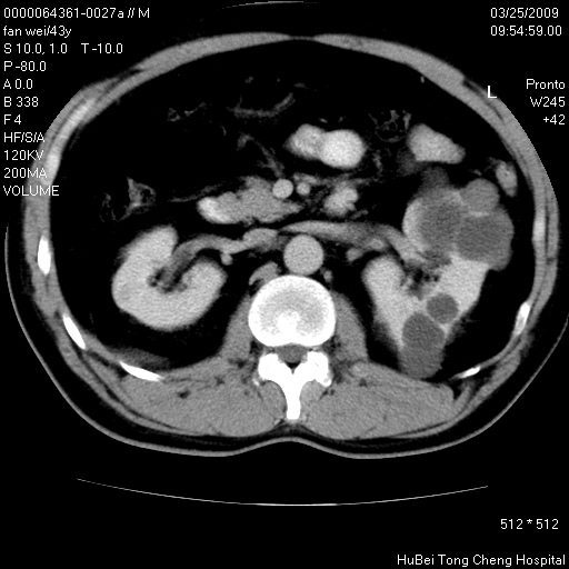
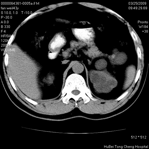
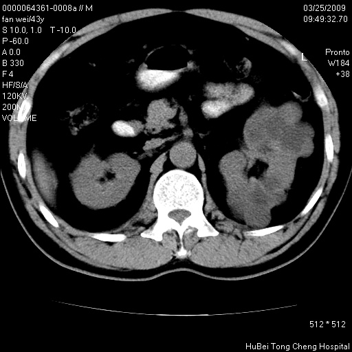
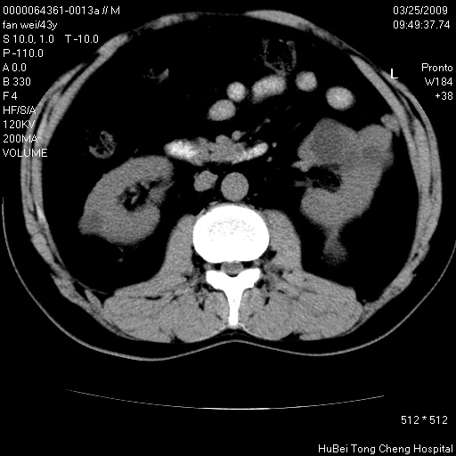
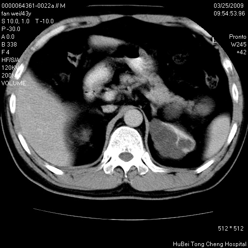
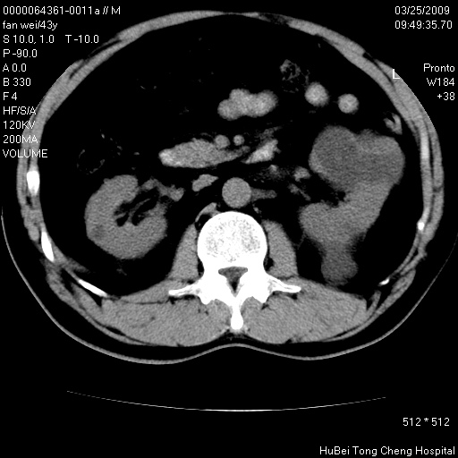
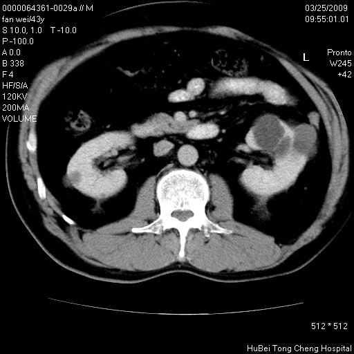
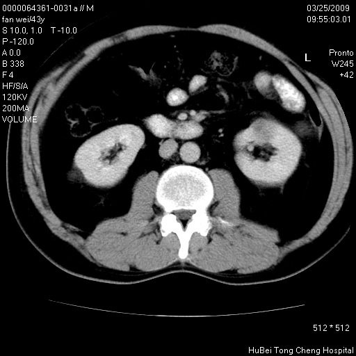
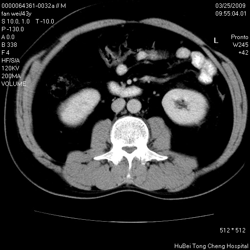
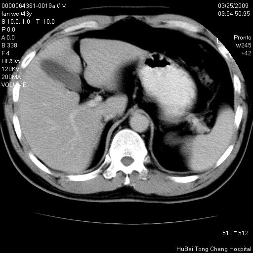
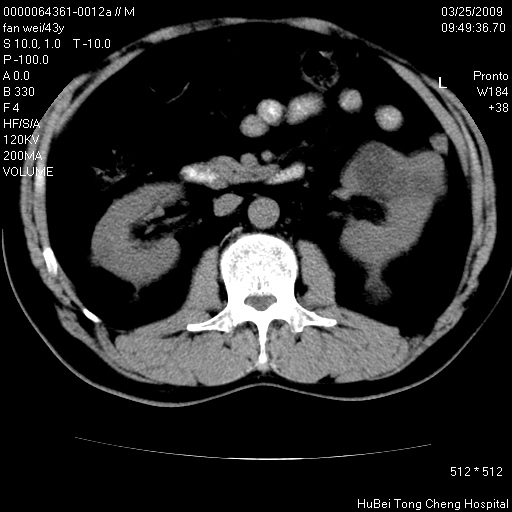
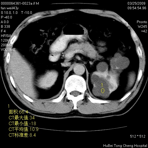
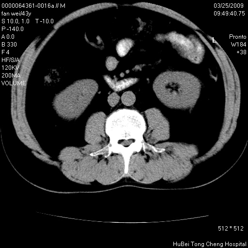
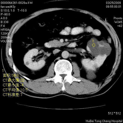
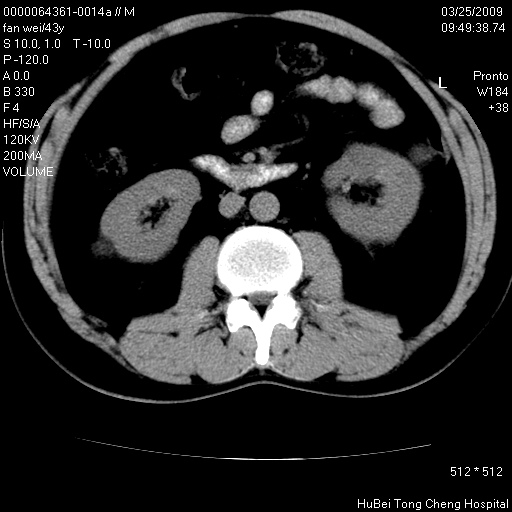
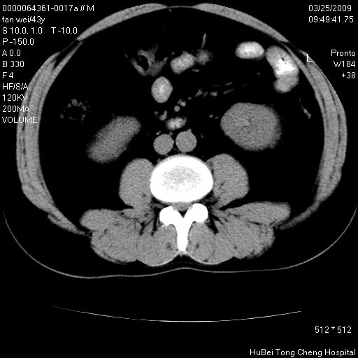
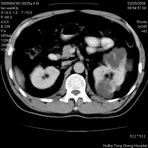
患者 男,43岁。左侧腰部不适两天。平素健康。无家族遗传病史。

腹部彩超提示:1)轻度脂肪肝。2)左肾多发囊性占位性病变;建议行进一步检查。

临床诊断:左肾多发囊性占位性病变,性质待定(多发肾囊肿?)。

双肾ct轴位平扫+增强扫描(层厚10mm,螺距1.0,重建间隔10mm),图像如下:



































[本贴已被 jiajie 于 2009-3-25 18:01:46 修改过]

作者: 深泽交通    时间: 2009-3-25 22:12
多发性囊肿?多囊肾?
作者: shenhs    时间: 2009-3-25 22:55
多囊肾
作者: hhcckk    时间: 2009-3-25 23:25
多囊肾的影像诊断标准:有阳性家族史,年龄<30岁,单侧或双侧肾脏有两个肾囊肿;30~59岁,两侧肾脏各有两个肾囊肿;60岁以上,每侧肾脏有4个囊肿。敏感性和特异性达86%和80%。

此病例影像诊断符合,要结合家族史,腰痛、血尿、尿路感染史,有无高血压等综合判断,如无相应的临床症状,本身病变也无意义了(个人观点)
作者: 康鹏    时间: 2009-3-26 00:13
双肾多发性囊肿
作者: XIZHONG    时间: 2009-3-26 00:34
左肾体积变大,支持多囊肾。
作者: 卜一    时间: 2009-3-26 00:41
双侧多囊肾!
作者: songyi    时间: 2009-3-26 00:46
双肾多发性囊肿   脂肪肝
作者: jiangjing    时间: 2009-3-26 01:33
双肾多发性囊肿   脂肪肝
作者: dsl555    时间: 2009-3-26 01:36
左肾体积变大,支持多囊肾。
作者: xulianj    时间: 2009-3-26 05:09
双肾多发性囊肿   脂肪肝
作者: 杀毒软件    时间: 2009-3-26 06:15
双肾多发性囊肿   脂肪肝
作者: lkc8963    时间: 2009-3-26 06:20
囊肿数得清,肾功能正常,考虑多发肾囊肿.另外,右肾后极突向肾周间隙的那个病灶是不是错构瘤,请楼主调窗看看.
作者: eunise8888    时间: 2009-3-26 06:36
多囊肾,脂肪肝
作者: jinguoji    时间: 2009-4-9 02:59
多囊肾




欢迎光临 医影在线 (http://bbs.radida.com/bbs/) Powered by Discuz! X3.2