医影在线

标题: CT19025:女,60岁,突感头痛,忘事两天 [打印本页]

作者: zcy6336752    时间: 2009-3-26 02:23
标题: CT19025:女,60岁,突感头痛,忘事两天
[face=黑体][/face]










[本贴已被 jiajie 于 2009-3-25 18:25:42 修改过]

作者: 尚峰    时间: 2009-3-26 02:54
未见异常。
作者: xiaoyou319    时间: 2009-3-26 03:10
未见确切异常密度灶
作者: 卜一    时间: 2009-3-26 03:24
未见异常。
作者: 影象小辈    时间: 2009-3-26 03:30
没事
作者: kbzyycm    时间: 2009-3-26 03:42
脑ct平扫未见异常
作者: 黄毛小子    时间: 2009-3-26 03:43
正常
作者: 随光逐影    时间: 2009-3-26 05:14
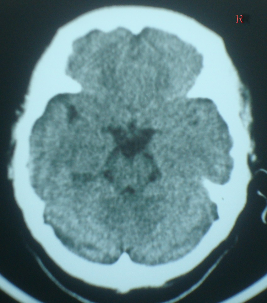
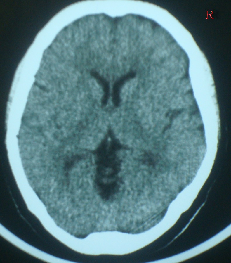
右侧颞顶叶交界区片状低密度灶;建议行进一步检查。
作者: 杀毒软件    时间: 2009-3-26 05:36
标题: 回复:ct19025:女,60岁,突感头痛,忘事两天
以下是引用随光逐影在2009-3-25 21:14:00的发言:[br]右侧颞顶叶交界区片状低密度灶;建议行进一步检查。

支持
作者: xulianj    时间: 2009-3-26 06:05
建议mri检查
作者: 黑白光影    时间: 2009-3-26 21:17
标题: 回复:ct19025:女,60岁,突感头痛,忘事两天
以下是引用随光逐影在2009-3-25 21:14:00的发言:[br]右侧颞顶叶交界区片状低密度灶;建议行进一步检查。

作者: jinguoji    时间: 2009-4-11 05:11
右侧颞顶叶交界区片状低密度灶;建议行进一步检查。-----支持!
作者: 513ytb    时间: 2009-6-23 07:57
右侧颞顶叶交界区片状低密度灶;建议行进一步检查.




欢迎光临 医影在线 (http://bbs.radida.com/bbs/) Powered by Discuz! X3.2