医影在线
标题: CT19070:女 91岁 纳差 黄疸一月 [打印本页]
作者: zjb 时间: 2009-3-28 02:45
标题: CT19070:女 91岁 纳差 黄疸一月
















[本贴已被 jiajie 于 2009-3-27 19:00:08 修改过]
作者: 黄毛小子 时间: 2009-3-28 02:51
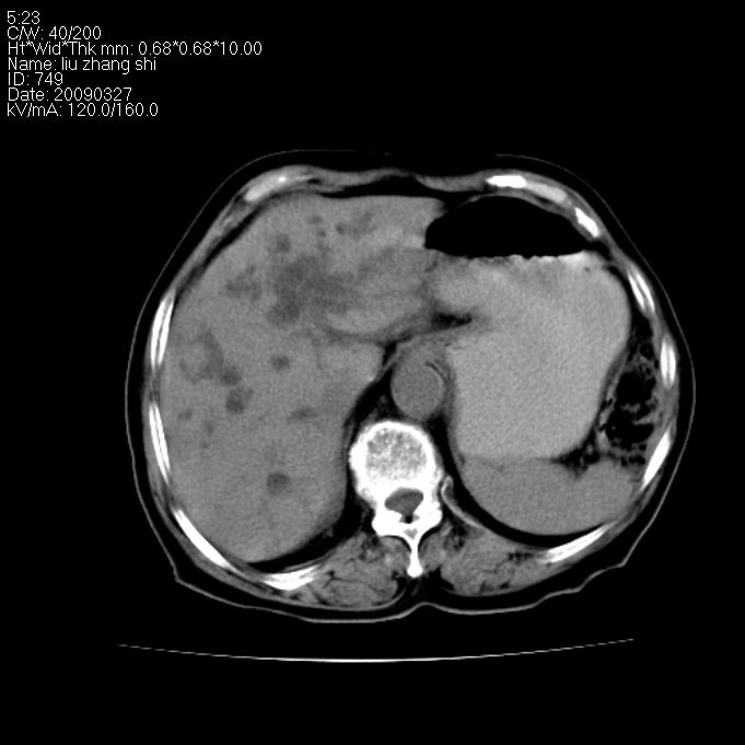
建议增强,胆囊张力大
作者: 杀毒软件 时间: 2009-3-28 02:57
考虑----肝门部胆管癌可能---肝内胆管结石---胆囊炎 增强吧
作者: 光影相伴 时间: 2009-3-28 02:57
肝内外胆管扩张,胆囊增大。建议:行ct增强扫描。
作者: ct诊断高手 时间: 2009-3-28 03:10
肝内胆管结石并肝总管肝内外胆管扩张,胆总管占位?胆囊腺肌症
[本贴已被 ct诊断高手 于 2009-3-27 19:12:38 修改过]
作者: dsl555 时间: 2009-3-28 03:11
肝内外胆管扩张,胆囊增大。建议:行ct增强扫描。
作者: 同 时间: 2009-3-28 03:20
标题: 回复:ct19070:女 91岁 纳差 黄疸一月
以下是引用杀毒软件在2009-3-27 18:57:00的发言:[br][br]考虑----肝门部胆管癌可能---肝内胆管结石---胆囊炎 增强吧
作者: 卜一 时间: 2009-3-28 03:54
考虑----肝门部胆管癌可能---肝内胆管结石---胆囊炎 增强吧!支持!
作者: 余辉 时间: 2009-3-28 04:11
胆部管扩张致胰段,胰段下部胆管及胰管显影,但在正常范围内,考虑胆总管胰段上部梗阻,梗阻区未见明显结石影,胆囊症症征像,考虑胆部管炎性梗阻可能,不除外占位
作者: wangyang2009 时间: 2009-3-28 04:19
胆囊明显增大,肝内胆管呈囊状及枯枝状扩张,肝右叶点状钙化灶:肝门部胆管癌可能.
作者: 沉默是金 时间: 2009-3-28 04:22
标题: 回复:ct19070:女 91岁 纳差 黄疸一月
以下是引用杀毒软件在2009-3-27 18:57:00的发言:[br][br]考虑----肝门部胆管癌可能---肝内胆管结石---胆囊炎 增强吧
作者: xulianj 时间: 2009-3-28 04:53
肝门部胆管癌可能
作者: 黑白光影 时间: 2009-3-28 05:04
肝内胆管结石并肝总管肝内外胆管扩张,胆囊增大。考虑胆总管胰段上部梗阻,不排除占位可能,建议增强扫描。
作者: zsl6918 时间: 2009-3-28 14:37
无恶性征象,考虑结石惹得祸。
作者: zgjldq 时间: 2009-3-28 15:13
肝内外胆管扩张,胆囊增大。建议:行ct增强扫描。
作者: 随光逐影 时间: 2009-3-28 16:29
1)胆系低位梗阻(肝内外胆管扩张,主胰管扩张,胆囊增大),原因待查;不排除壶腹癌所致可能。2)肝右叶后下段肝内胆管结石(或钙化)。
作者: xupengjie 时间: 2009-3-28 16:33
肝内外胆管扩张,胆囊增大。肝右叶点状钙化灶 建议:行ct增强扫描。
作者: 深泽交通 时间: 2009-3-28 17:21
胰头【钩突】癌
作者: zhg2005 时间: 2009-3-28 17:36
胆系扩张,考虑壶腹部占位,肝门区占位考虑胆管癌
作者: 漫步者 时间: 2009-3-28 19:19
以下是引用杀毒软件在2009-3-27 18:57:00的发言:
考虑----肝门部胆管癌可能---肝内胆管结石---胆囊炎 增强吧
作者: jiangjing 时间: 2009-3-28 19:35
肝内胆管结石,肝总管肝内外胆管扩张,胆囊增大,胆总管胰头上部区占位【注意观察8,9两幅图像】--建议增强检查加mri 检查
作者: songyi 时间: 2009-3-28 19:46
肝内外胆管扩张,胆囊增大。建议:行ct增强扫描。
作者: jinguoji 时间: 2009-4-9 23:19
肝内胆管结石、胆囊炎、肝门部胆管癌可能,建议增强扫描。
| 欢迎光临 医影在线 (http://bbs.radida.com/bbs/) |
Powered by Discuz! X3.2 |