医影在线
标题: CT19071:男,72岁,反复咳嗽、憋气一年余。 [打印本页]
作者: wpf 时间: 2009-3-28 04:12
标题: CT19071:男,72岁,反复咳嗽、憋气一年余。
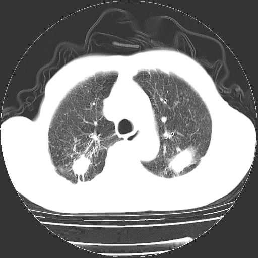
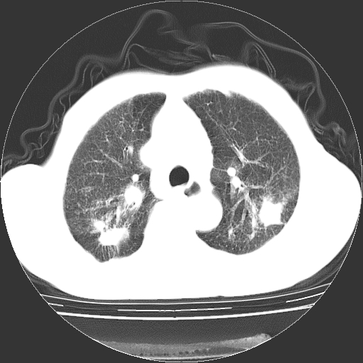
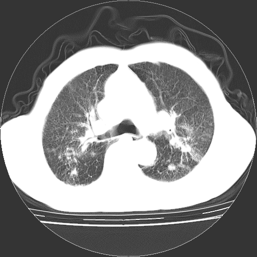
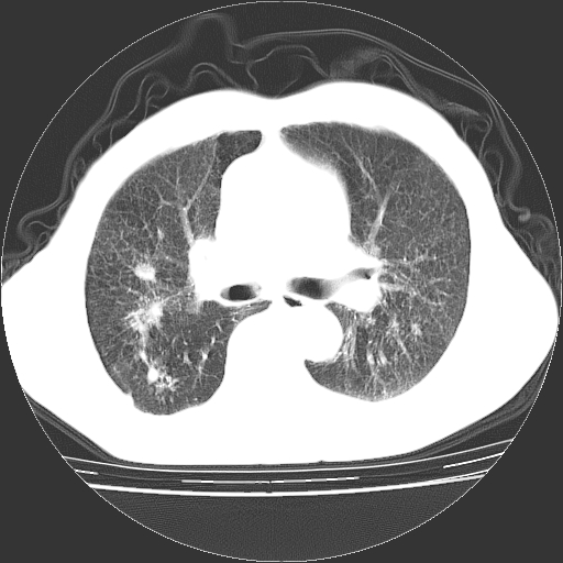
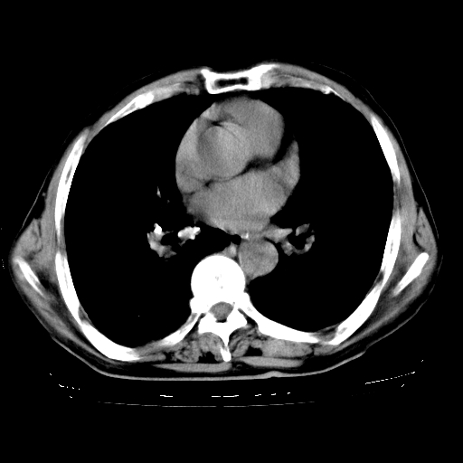
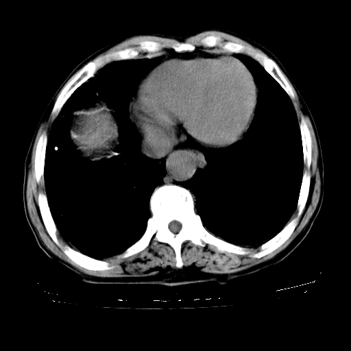
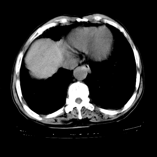
男,72岁,反复咳嗽、憋气一年余,有15年的煤矿井下工作史。









































[本贴已被 jiajie 于 2009-3-28 7:00:34 修改过]
作者: zbp537 时间: 2009-3-28 04:18
典型的尘肺。
作者: wangyang2009 时间: 2009-3-28 04:29
尘肺。
作者: ct诊断高手 时间: 2009-3-28 04:39
结合病史考虑矽肺
作者: 余辉 时间: 2009-3-28 04:48
标题: 回复:男,72岁,反复咳嗽、憋气一年余。
以下是引用ct诊断高手在2009-3-27 20:39:00的发言:[br]结合病史考虑矽肺
支持
作者: 泪洒红尘 时间: 2009-3-28 04:49
标题: 回复:男,72岁,反复咳嗽、憋气一年余。
以下是引用zbp537在2009-3-27 20:18:00的发言:[br]典型的尘肺。
所谓典型,只不过是结合了临床而已,如果临床没有15年的煤矿井下工作史。我看你怎么来诊断所谓的典型的尘肺。
支持:结合病史考虑矽肺
[本贴已被 泪洒红尘 于 2009-3-27 20:51:20 修改过]
作者: xulianj 时间: 2009-3-28 04:59
考虑矽肺
作者: 黑白光影 时间: 2009-3-28 05:08
标题: 回复:男,72岁,反复咳嗽、憋气一年余。
以下是引用ct诊断高手在2009-3-27 20:39:00的发言:[br]结合病史考虑矽肺
作者: 518yan 时间: 2009-3-28 05:13
两上肺为主的大小不等结节影伴广泛纤维化,结合病史考虑尘肺。
作者: 杀毒软件 时间: 2009-3-28 05:30
支持
作者: 光影相伴 时间: 2009-3-28 05:55
支持:结合病史考虑矽肺
作者: zhg2005 时间: 2009-3-28 06:07
1、双肺中上叶结节影结合病史考虑巨块型矽肺结节。
2、慢支炎并肺气肿
3、双下肺纤维化灶并左下肺局限性肺气肿。
作者: 影象小泰斗 时间: 2009-3-28 06:15
考虑尘肺并肺结核!
作者: 卜一 时间: 2009-3-28 07:14
支持:结合病史考虑矽肺!
作者: zhangrui 时间: 2009-3-28 09:29
结合病史,考虑矽肺!
作者: zsl6918 时间: 2009-3-28 14:25
结合病史符合尘肺
作者: 吴承学 时间: 2009-3-28 15:00
标题: 回复:男,72岁,反复咳嗽、憋气一年余。
以下是引用xulianj在2009-3-27 20:59:00的发言:[br]考虑矽肺
作者: zgjldq 时间: 2009-3-28 15:11
矽肺
作者: xupengjie 时间: 2009-3-28 16:30
支持:结合病史考虑矽肺
作者: 随光逐影 时间: 2009-3-28 16:30
结合病史,考虑矽肺。
作者: 深泽交通 时间: 2009-3-28 17:18
矽肺,冠心病
作者: jhz1218 时间: 2009-3-28 18:17
肺间质纤维化,并硬结节形成———考虑矽肺。(建议结合临床)。
作者: 漫步者 时间: 2009-3-28 19:07
支持:结合病史考虑矽肺
作者: jiangjing 时间: 2009-3-28 19:26
支持 尘肺,肺心病?-------15年的煤矿井下工作史,双上肺叫对称的片团结节影,内见斑状钙化,边缘见粗长毛刺影,肺纹理混乱,可见网状及磨玻璃样影,肺门纵膈见多个淋巴结钙化
作者: songyi 时间: 2009-3-28 19:48
考虑尘肺
作者: 康鹏 时间: 2009-3-28 21:13
尘肺
作者: dsl555 时间: 2009-3-29 03:19
两上肺为主的大小不等结节影伴广泛纤维化,结合病史考虑尘肺。
作者: 黄毛小子 时间: 2009-3-30 04:15
支持矽肺
作者: jinguoji 时间: 2009-4-9 23:12
结合病史考虑矽肺。
| 欢迎光临 医影在线 (http://bbs.radida.com/bbs/) |
Powered by Discuz! X3.2 |