医影在线

标题: CT19074:患者男60岁头晕头痛一月, [打印本页]

作者: mohaiyidi    时间: 2009-3-28 19:25
标题: CT19074:患者男60岁头晕头痛一月,












[本贴已被 翁志蓬 于 2009-3-28 22:01:32 修改过]

作者: songyi    时间: 2009-3-28 19:54
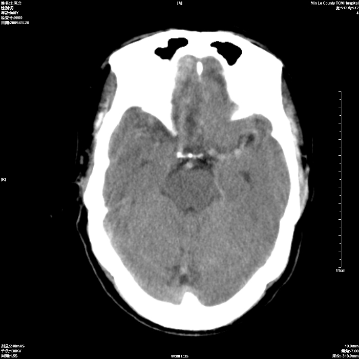
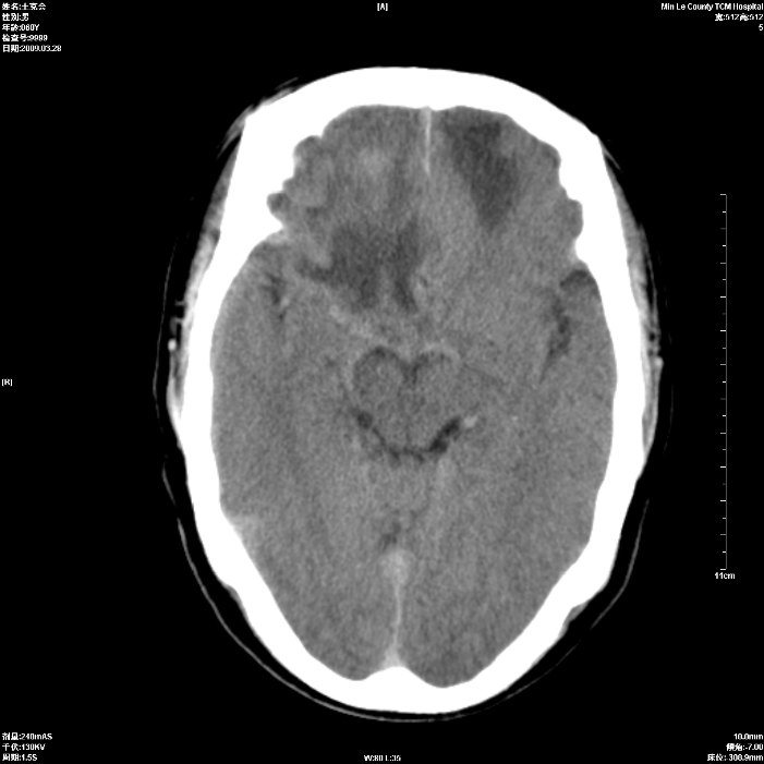
考虑额叶脑转移瘤,建议ct增强
作者: 随光逐影    时间: 2009-3-28 19:56
考虑双侧额叶脑转移瘤;建议行进一步检查。
作者: 深泽交通    时间: 2009-3-28 20:01
双侧额叶转移瘤
作者: 杀毒软件    时间: 2009-3-28 20:33
支持
作者: xupengjie    时间: 2009-3-28 21:30
支持
作者: kh    时间: 2009-3-28 21:35
占位征像加水肿带,建议ct增强。
作者: ncy888888    时间: 2009-3-28 21:47
增强一下不就明白多了
作者: 宇宙CT    时间: 2009-3-28 23:43
考虑双侧额叶脑转移瘤;建议行进一步检查。
作者: 卜一    时间: 2009-3-28 23:56
考虑额叶占位,建议ct增强!
作者: 余辉    时间: 2009-3-29 00:40
标题: 回复:患者男60岁头晕头痛一月,
以下是引用songyi在2009-3-28 11:54:00的发言:[br]考虑额叶脑转移瘤,建议ct增强

支持
作者: zbp537    时间: 2009-3-29 01:40
双侧额叶均有低密度影,考虑:1、嗅沟脑膜瘤。2、转移瘤。 建议增强扫描进一步检查。
作者: dsl555    时间: 2009-3-29 02:56
考虑额叶占位,建议ct增强!
作者: xulianj    时间: 2009-3-29 04:12
考虑额叶占位,建议ct增强!
作者: zsl6918    时间: 2009-3-29 16:27
支持转移,建议强化
作者: pujunzhi    时间: 2009-3-29 16:34
考虑双侧额叶脑转移瘤;建议行进一步检查。
作者: sharp1900b    时间: 2009-3-29 17:08
希望楼主及时将临床确诊的结论贴出来,让大家都来学习增长经验,很多帖子都是这样,不知不觉的沉了,连最后的结论都不知道,起不到学习的目的。
作者: 黑白光影    时间: 2009-3-29 17:37
考虑双侧额叶脑转移瘤;建议行进一步检查。
作者: 奥特之父    时间: 2009-3-29 17:42
拍个胸部片问问病史必要性很大.考虑 转移瘤可能性大.
作者: jinguoji    时间: 2009-4-9 22:55
考虑双侧额叶脑转移瘤,建议进一步检查。




欢迎光临 医影在线 (http://bbs.radida.com/bbs/) Powered by Discuz! X3.2