医影在线

标题: CT19080:左眼疼痛,视力模糊 [打印本页]

作者: yjr1217    时间: 2009-3-28 19:26
标题: CT19080:左眼疼痛,视力模糊
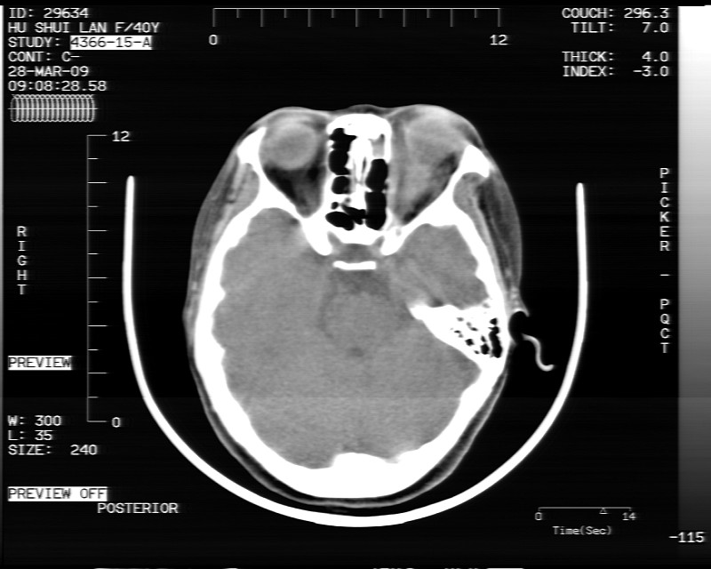
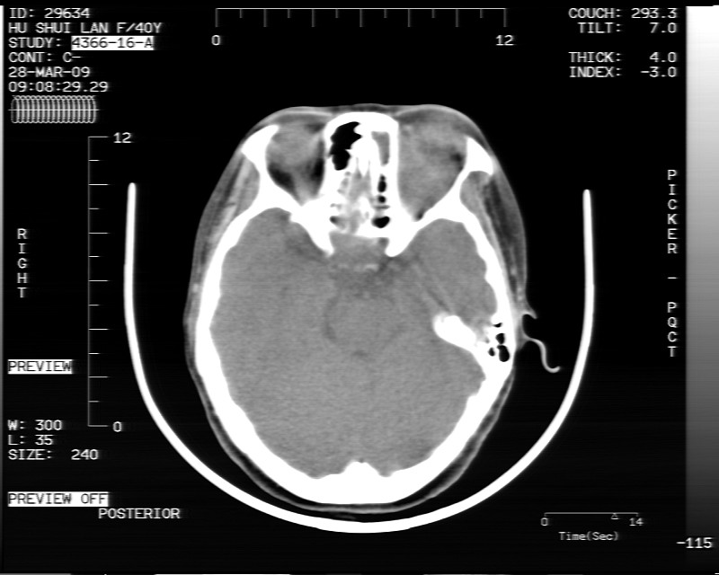
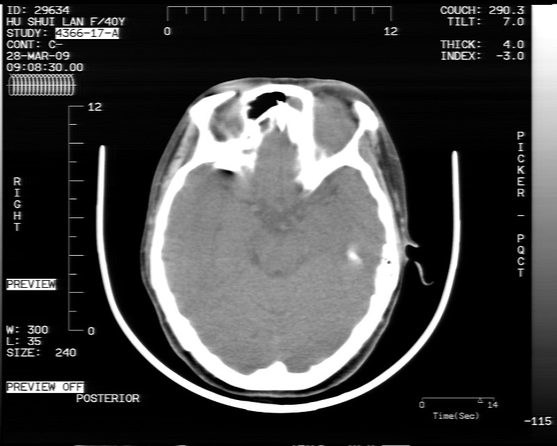
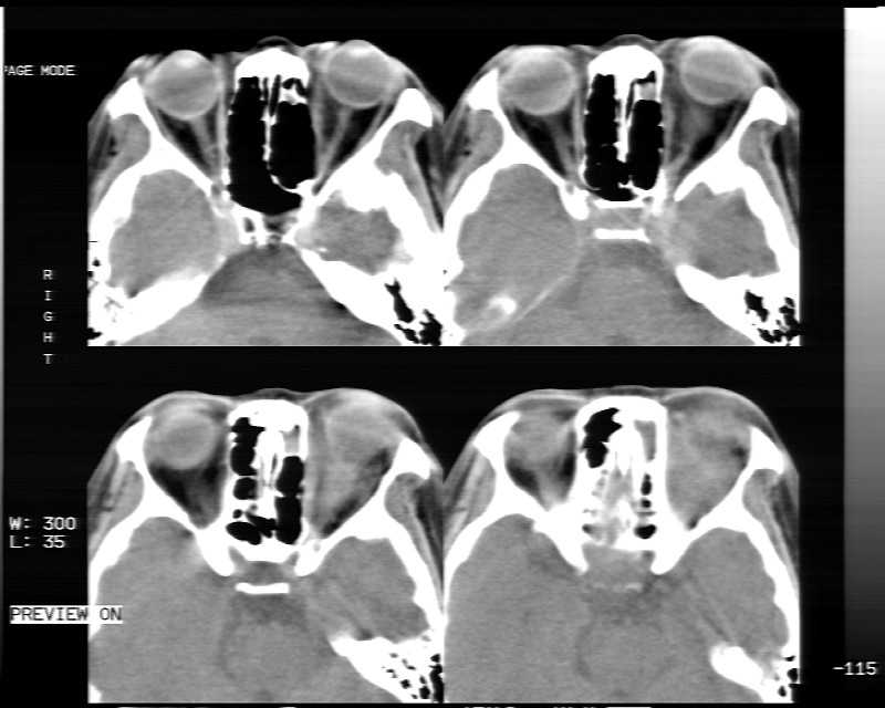
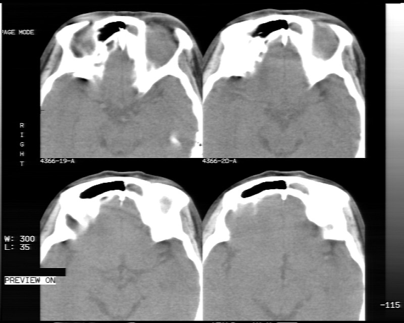
女性,40岁,左眼疼痛,视力模糊,五年曾行左眼脂肪瘤手术。









[本贴已被 翁志蓬 于 2009-3-28 22:09:04 修改过]

作者: 余辉    时间: 2009-3-28 19:54
患者现病史不知持续有多久了,现片示眶内病灶边缘较模糊,眶脂混浊,多考虑炎性假瘤,不除外肿瘤
作者: 随光逐影    时间: 2009-3-28 19:55
1)左眼眶内占位性病变,性质待定(不排除炎性假瘤);建议行进一步检查。2)左侧额窦炎。
作者: songyi    时间: 2009-3-28 19:56
考虑炎性假瘤
作者: 深泽交通    时间: 2009-3-28 19:59
考虑炎性假瘤
作者: 漫步者    时间: 2009-3-28 20:18
考虑炎性假瘤
作者: 杀毒软件    时间: 2009-3-28 20:31
标题: 回复:左眼疼痛,视力模糊
以下是引用余辉在2009-3-28 11:54:00的发言:[br]患者现病史不知持续有多久了,现片示眶内病灶边缘较模糊,眶脂混浊,多考虑炎性假瘤,不除外肿瘤

支持
作者: 康鹏    时间: 2009-3-28 21:00
建议做加强ct
请用分辨率高的ct做
作者: kh    时间: 2009-3-28 21:37
支持
作者: 宇宙CT    时间: 2009-3-28 23:46
1)左眼眶内占位性病变,性质待定(不排除炎性假瘤);建议行进一步检查。2)左侧额窦炎。
作者: 卜一    时间: 2009-3-28 23:57
炎性假瘤?建议增强!
作者: dsl555    时间: 2009-3-29 03:07
考虑炎性假瘤
作者: xulianj    时间: 2009-3-29 04:22
建议增强!炎性可能大。
作者: zsl6918    时间: 2009-3-29 16:25
结合病史首先考虑炎性假瘤
作者: pujunzhi    时间: 2009-3-29 16:41
支持炎性假瘤,建议增强!
作者: 黑白光影    时间: 2009-3-29 17:39
结合病史首先考虑炎性假瘤。
作者: jinguoji    时间: 2009-4-9 22:53
标题: 回复:ct19080:左眼疼痛,视力模糊
以下是引用随光逐影在2009-3-28 11:55:00的发言:[br]1)左眼眶内占位性病变,性质待定(不排除炎性假瘤);建议行进一步检查。2)左侧额窦炎。





欢迎光临 医影在线 (http://bbs.radida.com/bbs/) Powered by Discuz! X3.2